抗lgi1抗体自身免疫性脑炎作为与胃肠道间质瘤相关的神经副肿瘤综合征:1例报告

Postepy psychiatrii neurologii Pub Date : 2025-06-01 Epub Date: 2025-06-23 DOI:10.5114/ppn.2025.150016
Anna D Kwaszewska, Marta Betka, Karol Jastrzębski
{"title":"抗lgi1抗体自身免疫性脑炎作为与胃肠道间质瘤相关的神经副肿瘤综合征:1例报告","authors":"Anna D Kwaszewska, Marta Betka, Karol Jastrzębski","doi":"10.5114/ppn.2025.150016","DOIUrl":null,"url":null,"abstract":"<p><strong>Purpose: </strong>The aim of the case is to present the significance of a thorough analysis of the cases of patients with newly developed memory disorders accompanied by epileptic seizures.</p><p><strong>Case description: </strong>We present a case of a 61-year-old male patient who was admitted to the hospital due to unexplained memory disorders and seizures. Further examination showed the presence of anti-LGI1 (leucine-rich glioma-inactivated 1) antibodies. Computed tomography of the abdominal cavity revealed a mass located between the stomach and the spleen. Histopathological examination identified the mass as a gastrointestinal tumour (GIST). After the surgical removal of the tumour the symptoms were significantly reduced. The early diagnosis and treatment of the tumour contributed to favourable neurological and oncological outcomes for the patient.</p><p><strong>Comment: </strong>Paraneoplastic neurological syndrome is a clinical condition in which the functioning of the nervous system is impaired, not resulting from local tumour growth or metastases. The currently recognized underlaying mechanism of this condition is an autoimmune reaction occurring in the patient's body. In response to the presence of tumour, the antibodies called onconeural antibodies are produced, which are then directed against antigens present on the nervous system cells. To the best of our knowledge this is the first and so far only anti-LGI1-antibody autoimmune encephalitis as a neurological paraneoplastic syndrome associated with GIST.</p>","PeriodicalId":74481,"journal":{"name":"Postepy psychiatrii neurologii","volume":"34 2","pages":"108-115"},"PeriodicalIF":0.0000,"publicationDate":"2025-06-01","publicationTypes":"Journal Article","fieldsOfStudy":null,"isOpenAccess":false,"openAccessPdf":"https://www.ncbi.nlm.nih.gov/pmc/articles/PMC12257616/pdf/","citationCount":"0","resultStr":"{\"title\":\"Anti-LGI1-antibody autoimmune encephalitis as a neurological paraneoplastic syndrome associated with gastrointestinal stromal tumour: a case report.\",\"authors\":\"Anna D Kwaszewska, Marta Betka, Karol Jastrzębski\",\"doi\":\"10.5114/ppn.2025.150016\",\"DOIUrl\":null,\"url\":null,\"abstract\":\"<p><strong>Purpose: </strong>The aim of the case is to present the significance of a thorough analysis of the cases of patients with newly developed memory disorders accompanied by epileptic seizures.</p><p><strong>Case description: </strong>We present a case of a 61-year-old male patient who was admitted to the hospital due to unexplained memory disorders and seizures. Further examination showed the presence of anti-LGI1 (leucine-rich glioma-inactivated 1) antibodies. Computed tomography of the abdominal cavity revealed a mass located between the stomach and the spleen. Histopathological examination identified the mass as a gastrointestinal tumour (GIST). After the surgical removal of the tumour the symptoms were significantly reduced. The early diagnosis and treatment of the tumour contributed to favourable neurological and oncological outcomes for the patient.</p><p><strong>Comment: </strong>Paraneoplastic neurological syndrome is a clinical condition in which the functioning of the nervous system is impaired, not resulting from local tumour growth or metastases. The currently recognized underlaying mechanism of this condition is an autoimmune reaction occurring in the patient's body. In response to the presence of tumour, the antibodies called onconeural antibodies are produced, which are then directed against antigens present on the nervous system cells. To the best of our knowledge this is the first and so far only anti-LGI1-antibody autoimmune encephalitis as a neurological paraneoplastic syndrome associated with GIST.</p>\",\"PeriodicalId\":74481,\"journal\":{\"name\":\"Postepy psychiatrii neurologii\",\"volume\":\"34 2\",\"pages\":\"108-115\"},\"PeriodicalIF\":0.0000,\"publicationDate\":\"2025-06-01\",\"publicationTypes\":\"Journal Article\",\"fieldsOfStudy\":null,\"isOpenAccess\":false,\"openAccessPdf\":\"https://www.ncbi.nlm.nih.gov/pmc/articles/PMC12257616/pdf/\",\"citationCount\":\"0\",\"resultStr\":null,\"platform\":\"Semanticscholar\",\"paperid\":null,\"PeriodicalName\":\"Postepy psychiatrii neurologii\",\"FirstCategoryId\":\"1085\",\"ListUrlMain\":\"https://doi.org/10.5114/ppn.2025.150016\",\"RegionNum\":0,\"RegionCategory\":null,\"ArticlePicture\":[],\"TitleCN\":null,\"AbstractTextCN\":null,\"PMCID\":null,\"EPubDate\":\"2025/6/23 0:00:00\",\"PubModel\":\"Epub\",\"JCR\":\"\",\"JCRName\":\"\",\"Score\":null,\"Total\":0}","platform":"Semanticscholar","paperid":null,"PeriodicalName":"Postepy psychiatrii neurologii","FirstCategoryId":"1085","ListUrlMain":"https://doi.org/10.5114/ppn.2025.150016","RegionNum":0,"RegionCategory":null,"ArticlePicture":[],"TitleCN":null,"AbstractTextCN":null,"PMCID":null,"EPubDate":"2025/6/23 0:00:00","PubModel":"Epub","JCR":"","JCRName":"","Score":null,"Total":0}
引用次数: 0

摘要

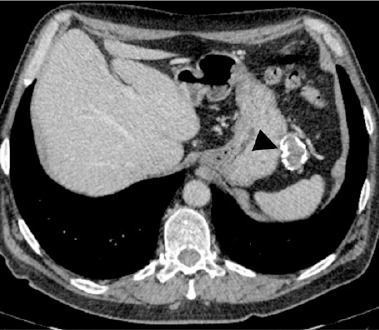
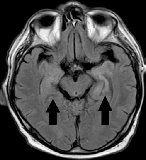
目的:本病例的目的是介绍对新发记忆障碍伴癫痫发作患者进行深入分析的意义。病例描述:我们报告一例61岁男性患者,因不明原因的记忆障碍和癫痫发作而入院。进一步检查显示存在抗lgi1(富含亮氨酸的胶质瘤失活1)抗体。腹腔计算机断层扫描显示胃和脾脏之间有肿块。组织病理学检查确定肿块为胃肠道肿瘤(GIST)。手术切除肿瘤后,症状明显减轻。肿瘤的早期诊断和治疗有助于患者的神经学和肿瘤学预后。评论:副肿瘤神经系统综合征是一种神经系统功能受损的临床症状,不是由局部肿瘤生长或转移引起的。目前公认的这种情况的潜在机制是发生在患者体内的自身免疫反应。作为对肿瘤存在的反应,一种被称为肿瘤神经抗体的抗体被产生,这种抗体随后被用于对抗神经系统细胞上的抗原。据我们所知,这是第一个也是迄今为止唯一一个抗lgi1抗体自身免疫性脑炎作为与GIST相关的神经副肿瘤综合征。
本文章由计算机程序翻译,如有差异,请以英文原文为准。

Anti-LGI1-antibody autoimmune encephalitis as a neurological paraneoplastic syndrome associated with gastrointestinal stromal tumour: a case report.

Anti-LGI1-antibody autoimmune encephalitis as a neurological paraneoplastic syndrome associated with gastrointestinal stromal tumour: a case report.

Anti-LGI1-antibody autoimmune encephalitis as a neurological paraneoplastic syndrome associated with gastrointestinal stromal tumour: a case report.

Anti-LGI1-antibody autoimmune encephalitis as a neurological paraneoplastic syndrome associated with gastrointestinal stromal tumour: a case report.

Purpose: The aim of the case is to present the significance of a thorough analysis of the cases of patients with newly developed memory disorders accompanied by epileptic seizures.

Case description: We present a case of a 61-year-old male patient who was admitted to the hospital due to unexplained memory disorders and seizures. Further examination showed the presence of anti-LGI1 (leucine-rich glioma-inactivated 1) antibodies. Computed tomography of the abdominal cavity revealed a mass located between the stomach and the spleen. Histopathological examination identified the mass as a gastrointestinal tumour (GIST). After the surgical removal of the tumour the symptoms were significantly reduced. The early diagnosis and treatment of the tumour contributed to favourable neurological and oncological outcomes for the patient.

Comment: Paraneoplastic neurological syndrome is a clinical condition in which the functioning of the nervous system is impaired, not resulting from local tumour growth or metastases. The currently recognized underlaying mechanism of this condition is an autoimmune reaction occurring in the patient's body. In response to the presence of tumour, the antibodies called onconeural antibodies are produced, which are then directed against antigens present on the nervous system cells. To the best of our knowledge this is the first and so far only anti-LGI1-antibody autoimmune encephalitis as a neurological paraneoplastic syndrome associated with GIST.

求助全文
通过发布文献求助,成功后即可免费获取论文全文。 去求助
来源期刊
自引率
0.00%
发文量
0
×
引用
GB/T 7714-2015
复制
MLA
复制
APA
复制
导出至
BibTeX EndNote RefMan NoteFirst NoteExpress
×
提示
您的信息不完整,为了账户安全,请先补充。
现在去补充
×
提示
您因"违规操作"
具体请查看互助需知
我知道了
×
提示
确定
请完成安全验证×
copy
已复制链接
快去分享给好友吧!
我知道了
右上角分享
点击右上角分享
0
联系我们:info@booksci.cn Book学术提供免费学术资源搜索服务,方便国内外学者检索中英文文献。致力于提供最便捷和优质的服务体验。 Copyright © 2023 布克学术 All rights reserved.
京ICP备2023020795号-1
ghs 京公网安备 11010802042870号
Book学术文献互助
Book学术文献互助群
群 号:604180095
Book学术官方微信