vital- os骨水泥稳定自体单皮质骨移植修复口窦瘘疗效的临床和影像学评价(一项比较研究)。

IF 2.3 Q3 DENTISTRY, ORAL SURGERY & MEDICINE
Aliaa A Habib, Mahitab M Soliman, Mervat M Khalil
{"title":"vital- os骨水泥稳定自体单皮质骨移植修复口窦瘘疗效的临床和影像学评价(一项比较研究)。","authors":"Aliaa A Habib, Mahitab M Soliman, Mervat M Khalil","doi":"10.1007/s44445-025-00037-8","DOIUrl":null,"url":null,"abstract":"<p><p>One clinical complication oral surgeons encounter is oroantral communication (OAC) with progressive formation of oroantral fistula (OAF). Among bone grafting materials, autogenous bone is still considered the gold standard in grafting oral and maxillofacial regions. To evaluate clinically and radiographically the efficacy of Calcium phosphate (Vital-Os) bone cement in stabilizing an autogenous bone graft in repairing an oroantral fistula. The study recruited 20 patients with an oroantral fistula ranging from 4-10 mm diameter. Ten patients were treated by grafting the defect with bone graft harvested from the chin area and closure of oroantral by buccal advancement flap and Vital-Os Bone cement (Study group), and ten patients were treated without Vital-Os Bone cement (Control group). All patients came for postoperative follow-up at the 1st, 3rd, and 6th months. Visual Analogue Scale (VAS) in the study group was significantly lower than the control group one week and one month postoperatively (p = .007, .004; respectively). Failure of the oroantral fistula closure was significantly lower in the study group (p = .025). The closure of an oroantral fistula is recommended through the use of an autogenous bone graft harvested from the chin region, supplemented by the application of injectable VitalOs bone cement to secure the graft at the recipient site.</p>","PeriodicalId":47246,"journal":{"name":"Saudi Dental Journal","volume":"37 4-6","pages":"30"},"PeriodicalIF":2.3000,"publicationDate":"2025-07-15","publicationTypes":"Journal Article","fieldsOfStudy":null,"isOpenAccess":false,"openAccessPdf":"https://www.ncbi.nlm.nih.gov/pmc/articles/PMC12263495/pdf/","citationCount":"0","resultStr":"{\"title\":\"Clinical and radiographic evaluation of the efficacy of vital- os bone cement in stabilizing an autogenous monocortical bone graft in the repair of oroantral fistula (a comparative study).\",\"authors\":\"Aliaa A Habib, Mahitab M Soliman, Mervat M Khalil\",\"doi\":\"10.1007/s44445-025-00037-8\",\"DOIUrl\":null,\"url\":null,\"abstract\":\"<p><p>One clinical complication oral surgeons encounter is oroantral communication (OAC) with progressive formation of oroantral fistula (OAF). Among bone grafting materials, autogenous bone is still considered the gold standard in grafting oral and maxillofacial regions. To evaluate clinically and radiographically the efficacy of Calcium phosphate (Vital-Os) bone cement in stabilizing an autogenous bone graft in repairing an oroantral fistula. The study recruited 20 patients with an oroantral fistula ranging from 4-10 mm diameter. Ten patients were treated by grafting the defect with bone graft harvested from the chin area and closure of oroantral by buccal advancement flap and Vital-Os Bone cement (Study group), and ten patients were treated without Vital-Os Bone cement (Control group). All patients came for postoperative follow-up at the 1st, 3rd, and 6th months. Visual Analogue Scale (VAS) in the study group was significantly lower than the control group one week and one month postoperatively (p = .007, .004; respectively). Failure of the oroantral fistula closure was significantly lower in the study group (p = .025). The closure of an oroantral fistula is recommended through the use of an autogenous bone graft harvested from the chin region, supplemented by the application of injectable VitalOs bone cement to secure the graft at the recipient site.</p>\",\"PeriodicalId\":47246,\"journal\":{\"name\":\"Saudi Dental Journal\",\"volume\":\"37 4-6\",\"pages\":\"30\"},\"PeriodicalIF\":2.3000,\"publicationDate\":\"2025-07-15\",\"publicationTypes\":\"Journal Article\",\"fieldsOfStudy\":null,\"isOpenAccess\":false,\"openAccessPdf\":\"https://www.ncbi.nlm.nih.gov/pmc/articles/PMC12263495/pdf/\",\"citationCount\":\"0\",\"resultStr\":null,\"platform\":\"Semanticscholar\",\"paperid\":null,\"PeriodicalName\":\"Saudi Dental Journal\",\"FirstCategoryId\":\"1085\",\"ListUrlMain\":\"https://doi.org/10.1007/s44445-025-00037-8\",\"RegionNum\":0,\"RegionCategory\":null,\"ArticlePicture\":[],\"TitleCN\":null,\"AbstractTextCN\":null,\"PMCID\":null,\"EPubDate\":\"\",\"PubModel\":\"\",\"JCR\":\"Q3\",\"JCRName\":\"DENTISTRY, ORAL SURGERY & MEDICINE\",\"Score\":null,\"Total\":0}","platform":"Semanticscholar","paperid":null,"PeriodicalName":"Saudi Dental Journal","FirstCategoryId":"1085","ListUrlMain":"https://doi.org/10.1007/s44445-025-00037-8","RegionNum":0,"RegionCategory":null,"ArticlePicture":[],"TitleCN":null,"AbstractTextCN":null,"PMCID":null,"EPubDate":"","PubModel":"","JCR":"Q3","JCRName":"DENTISTRY, ORAL SURGERY & MEDICINE","Score":null,"Total":0}
引用次数: 0

摘要

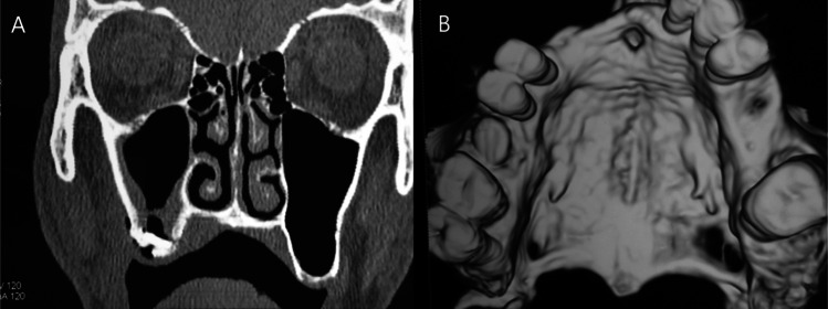
口腔外科医生遇到的一个临床并发症是口鼻窦通信(OAC)与进行性形成的口鼻窦瘘(OAF)。在植骨材料中,自体骨仍被认为是口腔颌面部植骨的金标准。评价磷酸钙(Vital-Os)骨水泥稳定自体骨移植修复口窦瘘的临床和影像学疗效。该研究招募了20例直径从4-10毫米的口窦瘘患者。10例患者采用颏部植骨、颊进皮瓣和Vital-Os骨水泥封闭口上颌区(研究组),10例患者不采用Vital-Os骨水泥(对照组)。所有患者均于术后第1、3、6个月随访。术后1周和1个月,研究组视觉模拟评分(VAS)明显低于对照组(p =。007年,04;分别)。研究组口窦瘘关闭失败率显著低于对照组(p = 0.025)。建议使用从颏部采集的自体骨移植物,并辅以可注射的VitalOs骨水泥将移植物固定在受者部位,以关闭口窦瘘。
本文章由计算机程序翻译,如有差异,请以英文原文为准。

Clinical and radiographic evaluation of the efficacy of vital- os bone cement in stabilizing an autogenous monocortical bone graft in the repair of oroantral fistula (a comparative study).

Clinical and radiographic evaluation of the efficacy of vital- os bone cement in stabilizing an autogenous monocortical bone graft in the repair of oroantral fistula (a comparative study).

Clinical and radiographic evaluation of the efficacy of vital- os bone cement in stabilizing an autogenous monocortical bone graft in the repair of oroantral fistula (a comparative study).

One clinical complication oral surgeons encounter is oroantral communication (OAC) with progressive formation of oroantral fistula (OAF). Among bone grafting materials, autogenous bone is still considered the gold standard in grafting oral and maxillofacial regions. To evaluate clinically and radiographically the efficacy of Calcium phosphate (Vital-Os) bone cement in stabilizing an autogenous bone graft in repairing an oroantral fistula. The study recruited 20 patients with an oroantral fistula ranging from 4-10 mm diameter. Ten patients were treated by grafting the defect with bone graft harvested from the chin area and closure of oroantral by buccal advancement flap and Vital-Os Bone cement (Study group), and ten patients were treated without Vital-Os Bone cement (Control group). All patients came for postoperative follow-up at the 1st, 3rd, and 6th months. Visual Analogue Scale (VAS) in the study group was significantly lower than the control group one week and one month postoperatively (p = .007, .004; respectively). Failure of the oroantral fistula closure was significantly lower in the study group (p = .025). The closure of an oroantral fistula is recommended through the use of an autogenous bone graft harvested from the chin region, supplemented by the application of injectable VitalOs bone cement to secure the graft at the recipient site.

求助全文
通过发布文献求助,成功后即可免费获取论文全文。 去求助
来源期刊
Saudi Dental Journal
Saudi Dental Journal DENTISTRY, ORAL SURGERY & MEDICINE-
CiteScore
3.60
自引率
0.00%
发文量
86
审稿时长
22 weeks
期刊介绍: Saudi Dental Journal is an English language, peer-reviewed scholarly publication in the area of dentistry. Saudi Dental Journal publishes original research and reviews on, but not limited to: • dental disease • clinical trials • dental equipment • new and experimental techniques • epidemiology and oral health • restorative dentistry • periodontology • endodontology • prosthodontics • paediatric dentistry • orthodontics and dental education Saudi Dental Journal is the official publication of the Saudi Dental Society and is published by King Saud University in collaboration with Elsevier and is edited by an international group of eminent researchers.
×
引用
GB/T 7714-2015
复制
MLA
复制
APA
复制
导出至
BibTeX EndNote RefMan NoteFirst NoteExpress
×
提示
您的信息不完整,为了账户安全,请先补充。
现在去补充
×
提示
您因"违规操作"
具体请查看互助需知
我知道了
×
提示
确定
请完成安全验证×
copy
已复制链接
快去分享给好友吧!
我知道了
右上角分享
点击右上角分享
0
联系我们:info@booksci.cn Book学术提供免费学术资源搜索服务,方便国内外学者检索中英文文献。致力于提供最便捷和优质的服务体验。 Copyright © 2023 布克学术 All rights reserved.
京ICP备2023020795号-1
ghs 京公网安备 11010802042870号
Book学术文献互助
Book学术文献互助群
群 号:604180095
Book学术官方微信