1例8岁女童上颌囊性成釉纤维瘤:一例罕见的组织学变异。

IF 0.9 Q4 DENTISTRY, ORAL SURGERY & MEDICINE
Case Reports in Dentistry Pub Date : 2025-07-08 eCollection Date: 2025-01-01 DOI:10.1155/crid/7645367
Nasser Raqe Alqhtani
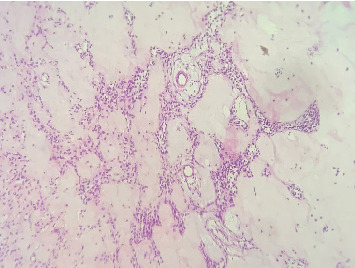
{"title":"1例8岁女童上颌囊性成釉纤维瘤:一例罕见的组织学变异。","authors":"Nasser Raqe Alqhtani","doi":"10.1155/crid/7645367","DOIUrl":null,"url":null,"abstract":"<p><p><b>Objective:</b> This report is aimed at outlining the unusual cystic variant of ameloblastic fibroma to facilitate its demarcation from other odontogenic lesions, including dentigerous cysts and cystic ameloblastomas. <b>Case Report:</b> An 8-year-old girl with no significant medical history presented to the oral surgery department with a painless swelling in the right maxillary region, first noticed 1 month ago, which gradually increased in size, accompanied by monocortical expansion of the buccal cortex. Cone beam computed tomography revealed a well-demarcated unilocular low-density lesion in the right posterior maxilla, measuring approximately 3 × 2 cm; the central bony lesion involved an unerupted first permanent molar. Conservative enucleation of the lesion was performed, along with the removal of the impacted tooth. Microscopic examination showed a benign mixed cystic odontogenic tumor, displaying odontogenic epithelial strands with stellate-shaped fibroblasts in a myxoid cell-rich stroma. The epithelial cells were rounded to cuboidal, with no mitotic activity or signs of malignancy. The overall histological image suggested a cystic ameloblastic fibroma. <b>Conclusion:</b> Clinically and radiographically, cystic ameloblastic fibroma may resemble a dentigerous cyst due to the involvement of an impacted tooth with the lesion. However, these two entities can be clearly histologically differentiated, as the distinctive odontogenic epithelial strands in a myxoid cell-rich stroma that are seen in cystic AF will be absent in a dentigerous cyst.</p>","PeriodicalId":46841,"journal":{"name":"Case Reports in Dentistry","volume":"2025 ","pages":"7645367"},"PeriodicalIF":0.9000,"publicationDate":"2025-07-08","publicationTypes":"Journal Article","fieldsOfStudy":null,"isOpenAccess":false,"openAccessPdf":"https://www.ncbi.nlm.nih.gov/pmc/articles/PMC12263257/pdf/","citationCount":"0","resultStr":"{\"title\":\"Maxillary Cystic Ameloblastic Fibroma in an 8-Year-Old Girl: A Case Report Featuring a Rare Histological Variant.\",\"authors\":\"Nasser Raqe Alqhtani\",\"doi\":\"10.1155/crid/7645367\",\"DOIUrl\":null,\"url\":null,\"abstract\":\"<p><p><b>Objective:</b> This report is aimed at outlining the unusual cystic variant of ameloblastic fibroma to facilitate its demarcation from other odontogenic lesions, including dentigerous cysts and cystic ameloblastomas. <b>Case Report:</b> An 8-year-old girl with no significant medical history presented to the oral surgery department with a painless swelling in the right maxillary region, first noticed 1 month ago, which gradually increased in size, accompanied by monocortical expansion of the buccal cortex. Cone beam computed tomography revealed a well-demarcated unilocular low-density lesion in the right posterior maxilla, measuring approximately 3 × 2 cm; the central bony lesion involved an unerupted first permanent molar. Conservative enucleation of the lesion was performed, along with the removal of the impacted tooth. Microscopic examination showed a benign mixed cystic odontogenic tumor, displaying odontogenic epithelial strands with stellate-shaped fibroblasts in a myxoid cell-rich stroma. The epithelial cells were rounded to cuboidal, with no mitotic activity or signs of malignancy. The overall histological image suggested a cystic ameloblastic fibroma. <b>Conclusion:</b> Clinically and radiographically, cystic ameloblastic fibroma may resemble a dentigerous cyst due to the involvement of an impacted tooth with the lesion. However, these two entities can be clearly histologically differentiated, as the distinctive odontogenic epithelial strands in a myxoid cell-rich stroma that are seen in cystic AF will be absent in a dentigerous cyst.</p>\",\"PeriodicalId\":46841,\"journal\":{\"name\":\"Case Reports in Dentistry\",\"volume\":\"2025 \",\"pages\":\"7645367\"},\"PeriodicalIF\":0.9000,\"publicationDate\":\"2025-07-08\",\"publicationTypes\":\"Journal Article\",\"fieldsOfStudy\":null,\"isOpenAccess\":false,\"openAccessPdf\":\"https://www.ncbi.nlm.nih.gov/pmc/articles/PMC12263257/pdf/\",\"citationCount\":\"0\",\"resultStr\":null,\"platform\":\"Semanticscholar\",\"paperid\":null,\"PeriodicalName\":\"Case Reports in Dentistry\",\"FirstCategoryId\":\"1085\",\"ListUrlMain\":\"https://doi.org/10.1155/crid/7645367\",\"RegionNum\":0,\"RegionCategory\":null,\"ArticlePicture\":[],\"TitleCN\":null,\"AbstractTextCN\":null,\"PMCID\":null,\"EPubDate\":\"2025/1/1 0:00:00\",\"PubModel\":\"eCollection\",\"JCR\":\"Q4\",\"JCRName\":\"DENTISTRY, ORAL SURGERY & MEDICINE\",\"Score\":null,\"Total\":0}","platform":"Semanticscholar","paperid":null,"PeriodicalName":"Case Reports in Dentistry","FirstCategoryId":"1085","ListUrlMain":"https://doi.org/10.1155/crid/7645367","RegionNum":0,"RegionCategory":null,"ArticlePicture":[],"TitleCN":null,"AbstractTextCN":null,"PMCID":null,"EPubDate":"2025/1/1 0:00:00","PubModel":"eCollection","JCR":"Q4","JCRName":"DENTISTRY, ORAL SURGERY & MEDICINE","Score":null,"Total":0}
引用次数: 0

摘要

目的:本报告旨在概述罕见的囊性成釉纤维瘤,以促进其与其他牙源性病变(包括牙囊肿和囊性成釉细胞瘤)的区分。病例报告:一名8岁女孩,无明显病史,于1个月前首次发现右侧上颌无痛性肿胀,体积逐渐增大,伴颊皮质单皮质扩张。圆锥束计算机断层扫描显示右侧上颌骨后缘一清晰的单眼低密度病变,大小约为3 × 2 cm;中央骨病变涉及未出牙的第一恒磨牙。保守摘除病变核,同时拔除阻生牙。镜下检查显示良性混合囊性牙源性肿瘤,在粘液样细胞丰富的基质中显示牙源性上皮链和星状成纤维细胞。上皮细胞呈圆形至立方状,无有丝分裂活性或恶性肿瘤征象。整体组织学表现为囊性成釉纤维瘤。结论:囊性成釉纤维瘤的临床和影像学表现与牙源性囊肿相似,因其累及阻生牙。然而,这两种实体在组织学上可以明显区分,因为囊性房颤中所见的富含黏液细胞的基质中独特的牙源性上皮链在含牙囊肿中是不存在的。
本文章由计算机程序翻译,如有差异,请以英文原文为准。

Maxillary Cystic Ameloblastic Fibroma in an 8-Year-Old Girl: A Case Report Featuring a Rare Histological Variant.

Maxillary Cystic Ameloblastic Fibroma in an 8-Year-Old Girl: A Case Report Featuring a Rare Histological Variant.

Maxillary Cystic Ameloblastic Fibroma in an 8-Year-Old Girl: A Case Report Featuring a Rare Histological Variant.

Maxillary Cystic Ameloblastic Fibroma in an 8-Year-Old Girl: A Case Report Featuring a Rare Histological Variant.

Objective: This report is aimed at outlining the unusual cystic variant of ameloblastic fibroma to facilitate its demarcation from other odontogenic lesions, including dentigerous cysts and cystic ameloblastomas. Case Report: An 8-year-old girl with no significant medical history presented to the oral surgery department with a painless swelling in the right maxillary region, first noticed 1 month ago, which gradually increased in size, accompanied by monocortical expansion of the buccal cortex. Cone beam computed tomography revealed a well-demarcated unilocular low-density lesion in the right posterior maxilla, measuring approximately 3 × 2 cm; the central bony lesion involved an unerupted first permanent molar. Conservative enucleation of the lesion was performed, along with the removal of the impacted tooth. Microscopic examination showed a benign mixed cystic odontogenic tumor, displaying odontogenic epithelial strands with stellate-shaped fibroblasts in a myxoid cell-rich stroma. The epithelial cells were rounded to cuboidal, with no mitotic activity or signs of malignancy. The overall histological image suggested a cystic ameloblastic fibroma. Conclusion: Clinically and radiographically, cystic ameloblastic fibroma may resemble a dentigerous cyst due to the involvement of an impacted tooth with the lesion. However, these two entities can be clearly histologically differentiated, as the distinctive odontogenic epithelial strands in a myxoid cell-rich stroma that are seen in cystic AF will be absent in a dentigerous cyst.

求助全文
通过发布文献求助,成功后即可免费获取论文全文。 去求助
来源期刊
Case Reports in Dentistry
Case Reports in Dentistry DENTISTRY, ORAL SURGERY & MEDICINE-
CiteScore
1.40
自引率
12.50%
发文量
107
审稿时长
14 weeks
期刊介绍: Case Reports in Dentistry is a peer-reviewed, Open Access journal that publishes case reports and case series in all areas of dentistry, including periodontal diseases, dental implants, oral pathology, as well as oral and maxillofacial surgery.
×
引用
GB/T 7714-2015
复制
MLA
复制
APA
复制
导出至
BibTeX EndNote RefMan NoteFirst NoteExpress
×
提示
您的信息不完整,为了账户安全,请先补充。
现在去补充
×
提示
您因"违规操作"
具体请查看互助需知
我知道了
×
提示
确定
请完成安全验证×
copy
已复制链接
快去分享给好友吧!
我知道了
右上角分享
点击右上角分享
0
联系我们:info@booksci.cn Book学术提供免费学术资源搜索服务,方便国内外学者检索中英文文献。致力于提供最便捷和优质的服务体验。 Copyright © 2023 布克学术 All rights reserved.
京ICP备2023020795号-1
ghs 京公网安备 11010802042870号
Book学术文献互助
Book学术文献互助群
群 号:604180095
Book学术官方微信