使用利妥昔单抗继发的药物性肝损伤。

IF 0.4 Q3 MEDICINE, GENERAL & INTERNAL
Oxford Medical Case Reports Pub Date : 2025-07-14 eCollection Date: 2025-07-01 DOI:10.1093/omcr/omaf003
Samantha Melanie Armendariz-Pineda, Andres Manuel Vargas-Beltran, Maria Juliana Corredor-Nassar, Armando Gamboa-Domínguez, David Arturo Santos-Reyes, Jacqueline Cordova-Gallardo
{"title":"使用利妥昔单抗继发的药物性肝损伤。","authors":"Samantha Melanie Armendariz-Pineda, Andres Manuel Vargas-Beltran, Maria Juliana Corredor-Nassar, Armando Gamboa-Domínguez, David Arturo Santos-Reyes, Jacqueline Cordova-Gallardo","doi":"10.1093/omcr/omaf003","DOIUrl":null,"url":null,"abstract":"<p><strong>Abbreviations: </strong>DILI: drug-induced liver injury, HBV: Hepatitis B virus, LFT: liver function test, RRMS: Relapsing-remitting multiple sclerosis, UDCA: ursodeoxycholic acid. Rituximab is a human chimeric monoclonal antibody that targets CD20 on B cells. The incidence of rituximab-associated drug-induced liver injury (DILI) is 19 cases per 100 000 people annually. This condition is characterized by a rapid increase in aminotransferase levels and hepatocellular injury, primarily due to reactivation of the hepatitis B virus (HBV). Nevertheless, there have been rare cases of DILI occurring in the absence of HBV reactivation. This case presents a 25-year-old male with relapsing-remitting multiple sclerosis (RRMS) that was treated with rituximab. After treatment, the patient demonstrated a hepatocellular damage pattern and biopsy confirmed the diagnosis. Following the administration of ursodeoxycholic acid (UDCA), the patient's liver function tests (LFTs) returned to normal levels, demonstrating that DILI from rituximab can occur after any infusion, regardless of therapy duration or dosage.</p>","PeriodicalId":45318,"journal":{"name":"Oxford Medical Case Reports","volume":"2025 7","pages":"omaf003"},"PeriodicalIF":0.4000,"publicationDate":"2025-07-14","publicationTypes":"Journal Article","fieldsOfStudy":null,"isOpenAccess":false,"openAccessPdf":"https://www.ncbi.nlm.nih.gov/pmc/articles/PMC12258032/pdf/","citationCount":"0","resultStr":"{\"title\":\"Drug-induced liver injury secondary to rituximab use.\",\"authors\":\"Samantha Melanie Armendariz-Pineda, Andres Manuel Vargas-Beltran, Maria Juliana Corredor-Nassar, Armando Gamboa-Domínguez, David Arturo Santos-Reyes, Jacqueline Cordova-Gallardo\",\"doi\":\"10.1093/omcr/omaf003\",\"DOIUrl\":null,\"url\":null,\"abstract\":\"<p><strong>Abbreviations: </strong>DILI: drug-induced liver injury, HBV: Hepatitis B virus, LFT: liver function test, RRMS: Relapsing-remitting multiple sclerosis, UDCA: ursodeoxycholic acid. Rituximab is a human chimeric monoclonal antibody that targets CD20 on B cells. The incidence of rituximab-associated drug-induced liver injury (DILI) is 19 cases per 100 000 people annually. This condition is characterized by a rapid increase in aminotransferase levels and hepatocellular injury, primarily due to reactivation of the hepatitis B virus (HBV). Nevertheless, there have been rare cases of DILI occurring in the absence of HBV reactivation. This case presents a 25-year-old male with relapsing-remitting multiple sclerosis (RRMS) that was treated with rituximab. After treatment, the patient demonstrated a hepatocellular damage pattern and biopsy confirmed the diagnosis. Following the administration of ursodeoxycholic acid (UDCA), the patient's liver function tests (LFTs) returned to normal levels, demonstrating that DILI from rituximab can occur after any infusion, regardless of therapy duration or dosage.</p>\",\"PeriodicalId\":45318,\"journal\":{\"name\":\"Oxford Medical Case Reports\",\"volume\":\"2025 7\",\"pages\":\"omaf003\"},\"PeriodicalIF\":0.4000,\"publicationDate\":\"2025-07-14\",\"publicationTypes\":\"Journal Article\",\"fieldsOfStudy\":null,\"isOpenAccess\":false,\"openAccessPdf\":\"https://www.ncbi.nlm.nih.gov/pmc/articles/PMC12258032/pdf/\",\"citationCount\":\"0\",\"resultStr\":null,\"platform\":\"Semanticscholar\",\"paperid\":null,\"PeriodicalName\":\"Oxford Medical Case Reports\",\"FirstCategoryId\":\"1085\",\"ListUrlMain\":\"https://doi.org/10.1093/omcr/omaf003\",\"RegionNum\":0,\"RegionCategory\":null,\"ArticlePicture\":[],\"TitleCN\":null,\"AbstractTextCN\":null,\"PMCID\":null,\"EPubDate\":\"2025/7/1 0:00:00\",\"PubModel\":\"eCollection\",\"JCR\":\"Q3\",\"JCRName\":\"MEDICINE, GENERAL & INTERNAL\",\"Score\":null,\"Total\":0}","platform":"Semanticscholar","paperid":null,"PeriodicalName":"Oxford Medical Case Reports","FirstCategoryId":"1085","ListUrlMain":"https://doi.org/10.1093/omcr/omaf003","RegionNum":0,"RegionCategory":null,"ArticlePicture":[],"TitleCN":null,"AbstractTextCN":null,"PMCID":null,"EPubDate":"2025/7/1 0:00:00","PubModel":"eCollection","JCR":"Q3","JCRName":"MEDICINE, GENERAL & INTERNAL","Score":null,"Total":0}
引用次数: 0

摘要

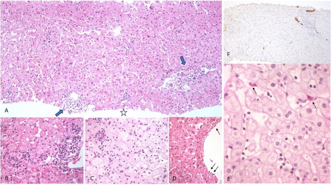
缩写:DILI:药物性肝损伤,HBV:乙型肝炎病毒,LFT:肝功能检查,RRMS:复发缓解型多发性硬化症,UDCA:熊去氧胆酸。利妥昔单抗是一种靶向B细胞CD20的人嵌合单克隆抗体。利妥昔单抗相关药物性肝损伤(DILI)的发生率为每年每10万人19例。这种情况的特点是转氨酶水平迅速增加和肝细胞损伤,主要是由于乙型肝炎病毒(HBV)的再激活。然而,在没有HBV再激活的情况下发生DILI的病例很少。本病例是一名25岁男性复发缓解型多发性硬化症(RRMS)患者,接受利妥昔单抗治疗。治疗后,患者表现出肝细胞损伤模式,活检证实了诊断。在给予熊去氧胆酸(UDCA)后,患者的肝功能测试(LFTs)恢复到正常水平,表明利妥昔单抗可在任何输注后发生DILI,无论治疗时间或剂量如何。
本文章由计算机程序翻译,如有差异,请以英文原文为准。

Drug-induced liver injury secondary to rituximab use.

Drug-induced liver injury secondary to rituximab use.

Abbreviations: DILI: drug-induced liver injury, HBV: Hepatitis B virus, LFT: liver function test, RRMS: Relapsing-remitting multiple sclerosis, UDCA: ursodeoxycholic acid. Rituximab is a human chimeric monoclonal antibody that targets CD20 on B cells. The incidence of rituximab-associated drug-induced liver injury (DILI) is 19 cases per 100 000 people annually. This condition is characterized by a rapid increase in aminotransferase levels and hepatocellular injury, primarily due to reactivation of the hepatitis B virus (HBV). Nevertheless, there have been rare cases of DILI occurring in the absence of HBV reactivation. This case presents a 25-year-old male with relapsing-remitting multiple sclerosis (RRMS) that was treated with rituximab. After treatment, the patient demonstrated a hepatocellular damage pattern and biopsy confirmed the diagnosis. Following the administration of ursodeoxycholic acid (UDCA), the patient's liver function tests (LFTs) returned to normal levels, demonstrating that DILI from rituximab can occur after any infusion, regardless of therapy duration or dosage.

求助全文
通过发布文献求助,成功后即可免费获取论文全文。 去求助
来源期刊
Oxford Medical Case Reports
Oxford Medical Case Reports MEDICINE, GENERAL & INTERNAL-
CiteScore
0.90
自引率
0.00%
发文量
125
审稿时长
19 weeks
期刊介绍: Oxford Medical Case Reports (OMCR) is an open access, peer-reviewed online journal publishing original and educationally valuable case reports that expand the field of medicine. The journal covers all medical specialities including cardiology, rheumatology, nephrology, oncology, neurology, and reproduction, comprising a comprehensive resource for physicians in all fields and at all stages of training. Oxford Medical Case Reports deposits all articles in PubMed Central (PMC). Physicians and researchers can find your work through PubMed , helping you reach the widest possible audience. The journal is also indexed in the Web of Science Core Collection . Oxford Medical Case Reports publishes case reports under the following categories: Allergy Audiovestibular medicine Cardiology and cardiovascular systems Critical care medicine Dermatology Emergency medicine Endocrinology and metabolism Gastroenterology and hepatology Geriatrics and gerontology Haematology Immunology Infectious diseases and tropical medicine Medical disorders in pregnancy Medical ophthalmology Nephrology Neurology Oncology Paediatrics Pain Palliative medicine Pharmacology and pharmacy Psychiatry Radiology, nuclear medicine, and medical imaging Respiratory disorders Rheumatology Sexual and reproductive health Sports Medicine Substance abuse.
×
引用
GB/T 7714-2015
复制
MLA
复制
APA
复制
导出至
BibTeX EndNote RefMan NoteFirst NoteExpress
×
提示
您的信息不完整,为了账户安全,请先补充。
现在去补充
×
提示
您因"违规操作"
具体请查看互助需知
我知道了
×
提示
确定
请完成安全验证×
copy
已复制链接
快去分享给好友吧!
我知道了
右上角分享
点击右上角分享
0
联系我们:info@booksci.cn Book学术提供免费学术资源搜索服务,方便国内外学者检索中英文文献。致力于提供最便捷和优质的服务体验。 Copyright © 2023 布克学术 All rights reserved.
京ICP备2023020795号-1
ghs 京公网安备 11010802042870号
Book学术文献互助
Book学术文献互助群
群 号:604180095
Book学术官方微信