胰管断连综合征1例报告:急性坏死性胰腺炎的一种未被认识的并发症。

IF 0.4 Q3 MEDICINE, GENERAL & INTERNAL
Oxford Medical Case Reports Pub Date : 2025-07-14 eCollection Date: 2025-07-01 DOI:10.1093/omcr/omaf101
Oumaima Mesbah, Kaoutar Imrani, Safae Lanjeri, Khaoula Boumeriem, Nabil Mouatassim Billah, Ittimade Nassar
{"title":"胰管断连综合征1例报告:急性坏死性胰腺炎的一种未被认识的并发症。","authors":"Oumaima Mesbah, Kaoutar Imrani, Safae Lanjeri, Khaoula Boumeriem, Nabil Mouatassim Billah, Ittimade Nassar","doi":"10.1093/omcr/omaf101","DOIUrl":null,"url":null,"abstract":"<p><p>Disconnected pancreatic duct syndrome (DPDS) is a rare condition characterized by a disruption of the pancreatic duct, separating viable pancreatic tissue from the gastrointestinal tract. It often follows acute or chronic pancreatitis, abdominal trauma, or pancreatic surgery, leading to ductal necrosis or disintegration. DPDS presents significant diagnostic and management challenges, especially in cases with delayed onset. The authors report a complex case of recurrent pancreatic fluid collections after necrotizing pancreatitis, highlighting the potential for delayed DPDS manifestation. Advanced imaging techniques, including endoscopic ultrasonography, contrast-enhanced CT, and MRCP, were used for diagnosis. Due to failure of conservative treatment, a distal pancreatectomy was performed, resolving the issue and preventing complications such as infection, sepsis, or pancreatic fistula. This case underscores the importance of early recognition of DPDS on imaging, facilitating timely treatment and reducing the risk of long-term complications.</p>","PeriodicalId":45318,"journal":{"name":"Oxford Medical Case Reports","volume":"2025 7","pages":"omaf101"},"PeriodicalIF":0.4000,"publicationDate":"2025-07-14","publicationTypes":"Journal Article","fieldsOfStudy":null,"isOpenAccess":false,"openAccessPdf":"https://www.ncbi.nlm.nih.gov/pmc/articles/PMC12258031/pdf/","citationCount":"0","resultStr":"{\"title\":\"A case report of disconnected pancreatic duct syndrome: an underrecognized complication of acute necrotizing pancreatitis.\",\"authors\":\"Oumaima Mesbah, Kaoutar Imrani, Safae Lanjeri, Khaoula Boumeriem, Nabil Mouatassim Billah, Ittimade Nassar\",\"doi\":\"10.1093/omcr/omaf101\",\"DOIUrl\":null,\"url\":null,\"abstract\":\"<p><p>Disconnected pancreatic duct syndrome (DPDS) is a rare condition characterized by a disruption of the pancreatic duct, separating viable pancreatic tissue from the gastrointestinal tract. It often follows acute or chronic pancreatitis, abdominal trauma, or pancreatic surgery, leading to ductal necrosis or disintegration. DPDS presents significant diagnostic and management challenges, especially in cases with delayed onset. The authors report a complex case of recurrent pancreatic fluid collections after necrotizing pancreatitis, highlighting the potential for delayed DPDS manifestation. Advanced imaging techniques, including endoscopic ultrasonography, contrast-enhanced CT, and MRCP, were used for diagnosis. Due to failure of conservative treatment, a distal pancreatectomy was performed, resolving the issue and preventing complications such as infection, sepsis, or pancreatic fistula. This case underscores the importance of early recognition of DPDS on imaging, facilitating timely treatment and reducing the risk of long-term complications.</p>\",\"PeriodicalId\":45318,\"journal\":{\"name\":\"Oxford Medical Case Reports\",\"volume\":\"2025 7\",\"pages\":\"omaf101\"},\"PeriodicalIF\":0.4000,\"publicationDate\":\"2025-07-14\",\"publicationTypes\":\"Journal Article\",\"fieldsOfStudy\":null,\"isOpenAccess\":false,\"openAccessPdf\":\"https://www.ncbi.nlm.nih.gov/pmc/articles/PMC12258031/pdf/\",\"citationCount\":\"0\",\"resultStr\":null,\"platform\":\"Semanticscholar\",\"paperid\":null,\"PeriodicalName\":\"Oxford Medical Case Reports\",\"FirstCategoryId\":\"1085\",\"ListUrlMain\":\"https://doi.org/10.1093/omcr/omaf101\",\"RegionNum\":0,\"RegionCategory\":null,\"ArticlePicture\":[],\"TitleCN\":null,\"AbstractTextCN\":null,\"PMCID\":null,\"EPubDate\":\"2025/7/1 0:00:00\",\"PubModel\":\"eCollection\",\"JCR\":\"Q3\",\"JCRName\":\"MEDICINE, GENERAL & INTERNAL\",\"Score\":null,\"Total\":0}","platform":"Semanticscholar","paperid":null,"PeriodicalName":"Oxford Medical Case Reports","FirstCategoryId":"1085","ListUrlMain":"https://doi.org/10.1093/omcr/omaf101","RegionNum":0,"RegionCategory":null,"ArticlePicture":[],"TitleCN":null,"AbstractTextCN":null,"PMCID":null,"EPubDate":"2025/7/1 0:00:00","PubModel":"eCollection","JCR":"Q3","JCRName":"MEDICINE, GENERAL & INTERNAL","Score":null,"Total":0}
引用次数: 0

摘要

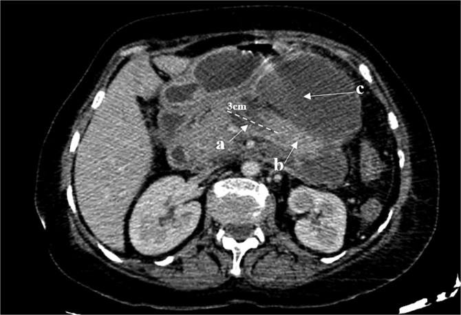
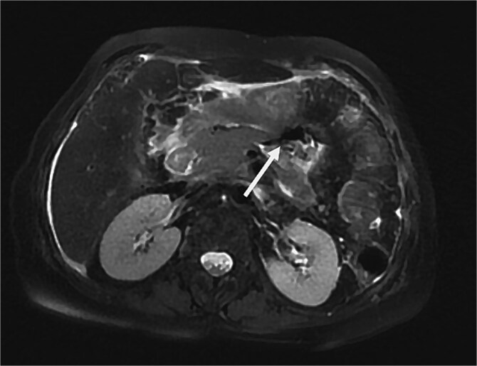
胰管断裂综合征(DPDS)是一种罕见的疾病,其特征是胰管断裂,使活的胰腺组织与胃肠道分离。它常伴随急性或慢性胰腺炎、腹部创伤或胰腺手术,导致导管坏死或解体。DPDS提出了重大的诊断和管理挑战,特别是在延迟发病的病例中。作者报告了一个坏死性胰腺炎后复发性胰液收集的复杂病例,强调了延迟DPDS表现的可能性。先进的成像技术,包括内窥镜超声检查,对比增强CT和MRCP,用于诊断。由于保守治疗失败,我们进行了远端胰腺切除术,解决了这个问题,并防止了感染、败血症或胰瘘等并发症。该病例强调了早期识别DPDS在影像学上的重要性,有助于及时治疗并降低长期并发症的风险。
本文章由计算机程序翻译,如有差异,请以英文原文为准。

A case report of disconnected pancreatic duct syndrome: an underrecognized complication of acute necrotizing pancreatitis.

A case report of disconnected pancreatic duct syndrome: an underrecognized complication of acute necrotizing pancreatitis.

A case report of disconnected pancreatic duct syndrome: an underrecognized complication of acute necrotizing pancreatitis.

A case report of disconnected pancreatic duct syndrome: an underrecognized complication of acute necrotizing pancreatitis.

Disconnected pancreatic duct syndrome (DPDS) is a rare condition characterized by a disruption of the pancreatic duct, separating viable pancreatic tissue from the gastrointestinal tract. It often follows acute or chronic pancreatitis, abdominal trauma, or pancreatic surgery, leading to ductal necrosis or disintegration. DPDS presents significant diagnostic and management challenges, especially in cases with delayed onset. The authors report a complex case of recurrent pancreatic fluid collections after necrotizing pancreatitis, highlighting the potential for delayed DPDS manifestation. Advanced imaging techniques, including endoscopic ultrasonography, contrast-enhanced CT, and MRCP, were used for diagnosis. Due to failure of conservative treatment, a distal pancreatectomy was performed, resolving the issue and preventing complications such as infection, sepsis, or pancreatic fistula. This case underscores the importance of early recognition of DPDS on imaging, facilitating timely treatment and reducing the risk of long-term complications.

求助全文
通过发布文献求助,成功后即可免费获取论文全文。 去求助
来源期刊
Oxford Medical Case Reports
Oxford Medical Case Reports MEDICINE, GENERAL & INTERNAL-
CiteScore
0.90
自引率
0.00%
发文量
125
审稿时长
19 weeks
期刊介绍: Oxford Medical Case Reports (OMCR) is an open access, peer-reviewed online journal publishing original and educationally valuable case reports that expand the field of medicine. The journal covers all medical specialities including cardiology, rheumatology, nephrology, oncology, neurology, and reproduction, comprising a comprehensive resource for physicians in all fields and at all stages of training. Oxford Medical Case Reports deposits all articles in PubMed Central (PMC). Physicians and researchers can find your work through PubMed , helping you reach the widest possible audience. The journal is also indexed in the Web of Science Core Collection . Oxford Medical Case Reports publishes case reports under the following categories: Allergy Audiovestibular medicine Cardiology and cardiovascular systems Critical care medicine Dermatology Emergency medicine Endocrinology and metabolism Gastroenterology and hepatology Geriatrics and gerontology Haematology Immunology Infectious diseases and tropical medicine Medical disorders in pregnancy Medical ophthalmology Nephrology Neurology Oncology Paediatrics Pain Palliative medicine Pharmacology and pharmacy Psychiatry Radiology, nuclear medicine, and medical imaging Respiratory disorders Rheumatology Sexual and reproductive health Sports Medicine Substance abuse.
×
引用
GB/T 7714-2015
复制
MLA
复制
APA
复制
导出至
BibTeX EndNote RefMan NoteFirst NoteExpress
×
提示
您的信息不完整,为了账户安全,请先补充。
现在去补充
×
提示
您因"违规操作"
具体请查看互助需知
我知道了
×
提示
确定
请完成安全验证×
copy
已复制链接
快去分享给好友吧!
我知道了
右上角分享
点击右上角分享
0
联系我们:info@booksci.cn Book学术提供免费学术资源搜索服务,方便国内外学者检索中英文文献。致力于提供最便捷和优质的服务体验。 Copyright © 2023 布克学术 All rights reserved.
京ICP备2023020795号-1
ghs 京公网安备 11010802042870号
Book学术文献互助
Book学术文献互助群
群 号:604180095
Book学术官方微信