结核性内源性眼内炎表现为急性前葡萄膜炎伴垂体功能减退。

Q3 Medicine
Oman Journal of Ophthalmology Pub Date : 2025-06-24 eCollection Date: 2025-05-01 DOI:10.4103/ojo.ojo_87_24
M Mejbahul Alam, Zahedur Rahman, Krishnakumar Subramanian, Parthopratim Dutta Majumder
{"title":"结核性内源性眼内炎表现为急性前葡萄膜炎伴垂体功能减退。","authors":"M Mejbahul Alam, Zahedur Rahman, Krishnakumar Subramanian, Parthopratim Dutta Majumder","doi":"10.4103/ojo.ojo_87_24","DOIUrl":null,"url":null,"abstract":"<p><p>A 27-year-old male with pain, redness, and vision loss in the right eye was diagnosed with acute anterior uveitis with hypopyon and treated with topical corticosteroid and cycloplegic eyedrops. Two weeks later, he developed severe vitritis. Then, after 1 month of oral corticosteroid treatment, his condition did not improve; therefore, he underwent pars plana vitrectomy with intravitreal antimicrobial injection in the right eye with suspicion of endogenous endophthalmitis. Polymerase chain reaction (PCR) from vitreous aspirate were negative for herpes viruses, eubacterial and panfungal genomes. After 3 months, the patient developed a painful blind eye and was eviscerated. Histopathology and PCR from ocular specimens confirmed the presence of <i>Mycobacterium tuberculosis</i>. High-resolution computed tomography chest showed calcific nodules in the upper lobe of the right lung, and the Mantoux test was positive. Further inquiry revealed that the patient's father had pulmonary tuberculosis (TB) 4 years earlier. Ocular TB remains a great masquerader; the clinicians in the TB-endemic region must bear a high index of suspicion of TB while managing a case of endogenous endophthalmitis.</p>","PeriodicalId":19461,"journal":{"name":"Oman Journal of Ophthalmology","volume":"18 2","pages":"221-223"},"PeriodicalIF":0.0000,"publicationDate":"2025-06-24","publicationTypes":"Journal Article","fieldsOfStudy":null,"isOpenAccess":false,"openAccessPdf":"https://www.ncbi.nlm.nih.gov/pmc/articles/PMC12258824/pdf/","citationCount":"0","resultStr":"{\"title\":\"Tuberculous endogenous endophthalmitis presenting acute anterior uveitis with hypopyon.\",\"authors\":\"M Mejbahul Alam, Zahedur Rahman, Krishnakumar Subramanian, Parthopratim Dutta Majumder\",\"doi\":\"10.4103/ojo.ojo_87_24\",\"DOIUrl\":null,\"url\":null,\"abstract\":\"<p><p>A 27-year-old male with pain, redness, and vision loss in the right eye was diagnosed with acute anterior uveitis with hypopyon and treated with topical corticosteroid and cycloplegic eyedrops. Two weeks later, he developed severe vitritis. Then, after 1 month of oral corticosteroid treatment, his condition did not improve; therefore, he underwent pars plana vitrectomy with intravitreal antimicrobial injection in the right eye with suspicion of endogenous endophthalmitis. Polymerase chain reaction (PCR) from vitreous aspirate were negative for herpes viruses, eubacterial and panfungal genomes. After 3 months, the patient developed a painful blind eye and was eviscerated. Histopathology and PCR from ocular specimens confirmed the presence of <i>Mycobacterium tuberculosis</i>. High-resolution computed tomography chest showed calcific nodules in the upper lobe of the right lung, and the Mantoux test was positive. Further inquiry revealed that the patient's father had pulmonary tuberculosis (TB) 4 years earlier. Ocular TB remains a great masquerader; the clinicians in the TB-endemic region must bear a high index of suspicion of TB while managing a case of endogenous endophthalmitis.</p>\",\"PeriodicalId\":19461,\"journal\":{\"name\":\"Oman Journal of Ophthalmology\",\"volume\":\"18 2\",\"pages\":\"221-223\"},\"PeriodicalIF\":0.0000,\"publicationDate\":\"2025-06-24\",\"publicationTypes\":\"Journal Article\",\"fieldsOfStudy\":null,\"isOpenAccess\":false,\"openAccessPdf\":\"https://www.ncbi.nlm.nih.gov/pmc/articles/PMC12258824/pdf/\",\"citationCount\":\"0\",\"resultStr\":null,\"platform\":\"Semanticscholar\",\"paperid\":null,\"PeriodicalName\":\"Oman Journal of Ophthalmology\",\"FirstCategoryId\":\"1085\",\"ListUrlMain\":\"https://doi.org/10.4103/ojo.ojo_87_24\",\"RegionNum\":0,\"RegionCategory\":null,\"ArticlePicture\":[],\"TitleCN\":null,\"AbstractTextCN\":null,\"PMCID\":null,\"EPubDate\":\"2025/5/1 0:00:00\",\"PubModel\":\"eCollection\",\"JCR\":\"Q3\",\"JCRName\":\"Medicine\",\"Score\":null,\"Total\":0}","platform":"Semanticscholar","paperid":null,"PeriodicalName":"Oman Journal of Ophthalmology","FirstCategoryId":"1085","ListUrlMain":"https://doi.org/10.4103/ojo.ojo_87_24","RegionNum":0,"RegionCategory":null,"ArticlePicture":[],"TitleCN":null,"AbstractTextCN":null,"PMCID":null,"EPubDate":"2025/5/1 0:00:00","PubModel":"eCollection","JCR":"Q3","JCRName":"Medicine","Score":null,"Total":0}
引用次数: 0

摘要

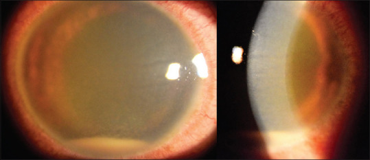
27岁男性,右眼疼痛、发红、视力下降,诊断为急性前葡萄膜炎伴垂体功能减退,局部使用皮质类固醇和眼药水治疗。两周后,他患上了严重的玻璃体炎。口服皮质类固醇治疗1个月后,病情未见改善;因此,他怀疑是内源性眼内炎,在右眼行玻璃体切割玻璃体注射玻璃体内注射抗菌药物。玻璃体抽吸物聚合酶链反应(PCR)对疱疹病毒、真细菌和泛真菌基因组均阴性。3个月后,患者出现了疼痛的失明,并被切除了内脏。眼部标本的组织病理学和PCR证实了结核分枝杆菌的存在。胸部高分辨率计算机断层扫描显示右肺上叶钙化结节,Mantoux试验阳性。进一步调查显示,患者的父亲在4年前患有肺结核。眼结核仍然是一个伟大的伪装者;结核病流行地区的临床医生在处理内源性眼内炎病例时必须高度怀疑结核病。
本文章由计算机程序翻译,如有差异,请以英文原文为准。

Tuberculous endogenous endophthalmitis presenting acute anterior uveitis with hypopyon.

Tuberculous endogenous endophthalmitis presenting acute anterior uveitis with hypopyon.

Tuberculous endogenous endophthalmitis presenting acute anterior uveitis with hypopyon.

A 27-year-old male with pain, redness, and vision loss in the right eye was diagnosed with acute anterior uveitis with hypopyon and treated with topical corticosteroid and cycloplegic eyedrops. Two weeks later, he developed severe vitritis. Then, after 1 month of oral corticosteroid treatment, his condition did not improve; therefore, he underwent pars plana vitrectomy with intravitreal antimicrobial injection in the right eye with suspicion of endogenous endophthalmitis. Polymerase chain reaction (PCR) from vitreous aspirate were negative for herpes viruses, eubacterial and panfungal genomes. After 3 months, the patient developed a painful blind eye and was eviscerated. Histopathology and PCR from ocular specimens confirmed the presence of Mycobacterium tuberculosis. High-resolution computed tomography chest showed calcific nodules in the upper lobe of the right lung, and the Mantoux test was positive. Further inquiry revealed that the patient's father had pulmonary tuberculosis (TB) 4 years earlier. Ocular TB remains a great masquerader; the clinicians in the TB-endemic region must bear a high index of suspicion of TB while managing a case of endogenous endophthalmitis.

求助全文
通过发布文献求助,成功后即可免费获取论文全文。 去求助
来源期刊
Oman Journal of Ophthalmology
Oman Journal of Ophthalmology Medicine-Ophthalmology
CiteScore
0.50
自引率
0.00%
发文量
68
审稿时长
50 weeks
期刊介绍: To provide a platform for scientific expression of the Oman Ophthalmic Society and the international Ophthalmic community and to provide opportunities for free exchange of ideas and information. To serve as a valuable resource for ophthalmologists, eye-care providers including optometrists, orthoptists, other health care professionals and research workers in all aspects of the field of visual science.
×
引用
GB/T 7714-2015
复制
MLA
复制
APA
复制
导出至
BibTeX EndNote RefMan NoteFirst NoteExpress
×
提示
您的信息不完整,为了账户安全,请先补充。
现在去补充
×
提示
您因"违规操作"
具体请查看互助需知
我知道了
×
提示
确定
请完成安全验证×
copy
已复制链接
快去分享给好友吧!
我知道了
右上角分享
点击右上角分享
0
联系我们:info@booksci.cn Book学术提供免费学术资源搜索服务,方便国内外学者检索中英文文献。致力于提供最便捷和优质的服务体验。 Copyright © 2023 布克学术 All rights reserved.
京ICP备2023020795号-1
ghs 京公网安备 11010802042870号
Book学术文献互助
Book学术文献互助群
群 号:604180095
Book学术官方微信