以st段抬高为表现的罕见急性胰腺炎病例。

IF 0.8 Q3 MEDICINE, GENERAL & INTERNAL
Kristy Leker, Parampreet Johal
{"title":"以st段抬高为表现的罕见急性胰腺炎病例。","authors":"Kristy Leker, Parampreet Johal","doi":"10.1177/23247096251352370","DOIUrl":null,"url":null,"abstract":"<p><p>When first presented, ST-segment elevation on EKG (electrocardiogram) requires close scrutiny. The most concerning of possible diagnoses is acute coronary syndrome, yet it is not the only clinical entity that can cause ST-segment elevation. Herein, we present a case of a 62-year-old male current smoker with past medical history of uncontrolled diabetes, hypertension, and hyperlipidemia presenting with abdominal pain for 1 week duration. His initial admission EKG illustrated ST-segment elevation; however, his clinical presentation, lack of anginal symptoms, normal bedside transthoracic echocardiogram, and normal range troponin were not indicative of myocardial infarction. In fact, he was found to have elevated lipase and CT findings consistent with acute pancreatitis. This case highlights an uncommon presentation of pancreatitis and illustrates the importance of obtaining a comprehensive clinical history when evaluating patients to ensure patient's receive efficient and appropriate care.</p>","PeriodicalId":16198,"journal":{"name":"Journal of investigative medicine high impact case reports","volume":"13 ","pages":"23247096251352370"},"PeriodicalIF":0.8000,"publicationDate":"2025-01-01","publicationTypes":"Journal Article","fieldsOfStudy":null,"isOpenAccess":false,"openAccessPdf":"https://www.ncbi.nlm.nih.gov/pmc/articles/PMC12268134/pdf/","citationCount":"0","resultStr":"{\"title\":\"Rare Case of Acute Pancreatitis Presenting With ST-Segment Elevation.\",\"authors\":\"Kristy Leker, Parampreet Johal\",\"doi\":\"10.1177/23247096251352370\",\"DOIUrl\":null,\"url\":null,\"abstract\":\"<p><p>When first presented, ST-segment elevation on EKG (electrocardiogram) requires close scrutiny. The most concerning of possible diagnoses is acute coronary syndrome, yet it is not the only clinical entity that can cause ST-segment elevation. Herein, we present a case of a 62-year-old male current smoker with past medical history of uncontrolled diabetes, hypertension, and hyperlipidemia presenting with abdominal pain for 1 week duration. His initial admission EKG illustrated ST-segment elevation; however, his clinical presentation, lack of anginal symptoms, normal bedside transthoracic echocardiogram, and normal range troponin were not indicative of myocardial infarction. In fact, he was found to have elevated lipase and CT findings consistent with acute pancreatitis. This case highlights an uncommon presentation of pancreatitis and illustrates the importance of obtaining a comprehensive clinical history when evaluating patients to ensure patient's receive efficient and appropriate care.</p>\",\"PeriodicalId\":16198,\"journal\":{\"name\":\"Journal of investigative medicine high impact case reports\",\"volume\":\"13 \",\"pages\":\"23247096251352370\"},\"PeriodicalIF\":0.8000,\"publicationDate\":\"2025-01-01\",\"publicationTypes\":\"Journal Article\",\"fieldsOfStudy\":null,\"isOpenAccess\":false,\"openAccessPdf\":\"https://www.ncbi.nlm.nih.gov/pmc/articles/PMC12268134/pdf/\",\"citationCount\":\"0\",\"resultStr\":null,\"platform\":\"Semanticscholar\",\"paperid\":null,\"PeriodicalName\":\"Journal of investigative medicine high impact case reports\",\"FirstCategoryId\":\"1085\",\"ListUrlMain\":\"https://doi.org/10.1177/23247096251352370\",\"RegionNum\":0,\"RegionCategory\":null,\"ArticlePicture\":[],\"TitleCN\":null,\"AbstractTextCN\":null,\"PMCID\":null,\"EPubDate\":\"2025/7/16 0:00:00\",\"PubModel\":\"Epub\",\"JCR\":\"Q3\",\"JCRName\":\"MEDICINE, GENERAL & INTERNAL\",\"Score\":null,\"Total\":0}","platform":"Semanticscholar","paperid":null,"PeriodicalName":"Journal of investigative medicine high impact case reports","FirstCategoryId":"1085","ListUrlMain":"https://doi.org/10.1177/23247096251352370","RegionNum":0,"RegionCategory":null,"ArticlePicture":[],"TitleCN":null,"AbstractTextCN":null,"PMCID":null,"EPubDate":"2025/7/16 0:00:00","PubModel":"Epub","JCR":"Q3","JCRName":"MEDICINE, GENERAL & INTERNAL","Score":null,"Total":0}
引用次数: 0

摘要

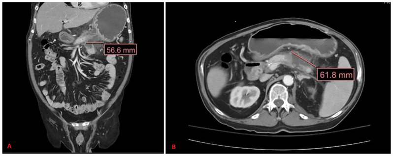
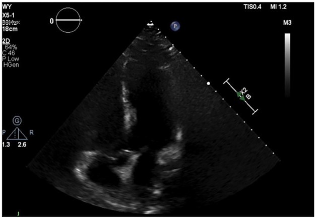
当首次出现时,心电图上的st段抬高需要仔细检查。最令人关注的可能诊断是急性冠状动脉综合征,但它并不是唯一的临床实体,可引起st段抬高。在此,我们报告一例62岁男性吸烟者,既往有未控制的糖尿病、高血压和高脂血症病史,腹痛持续1周。入院时心电图显示st段抬高;然而,他的临床表现,没有心绞痛症状,床边经胸超声心动图正常,肌钙蛋白范围正常,都不是心肌梗死的指示。事实上,他被发现脂肪酶升高,CT结果与急性胰腺炎一致。这个病例强调了一个罕见的胰腺炎的表现,并说明了在评估患者时获得全面的临床病史的重要性,以确保患者得到有效和适当的护理。
本文章由计算机程序翻译,如有差异,请以英文原文为准。

Rare Case of Acute Pancreatitis Presenting With ST-Segment Elevation.

Rare Case of Acute Pancreatitis Presenting With ST-Segment Elevation.

Rare Case of Acute Pancreatitis Presenting With ST-Segment Elevation.

Rare Case of Acute Pancreatitis Presenting With ST-Segment Elevation.

When first presented, ST-segment elevation on EKG (electrocardiogram) requires close scrutiny. The most concerning of possible diagnoses is acute coronary syndrome, yet it is not the only clinical entity that can cause ST-segment elevation. Herein, we present a case of a 62-year-old male current smoker with past medical history of uncontrolled diabetes, hypertension, and hyperlipidemia presenting with abdominal pain for 1 week duration. His initial admission EKG illustrated ST-segment elevation; however, his clinical presentation, lack of anginal symptoms, normal bedside transthoracic echocardiogram, and normal range troponin were not indicative of myocardial infarction. In fact, he was found to have elevated lipase and CT findings consistent with acute pancreatitis. This case highlights an uncommon presentation of pancreatitis and illustrates the importance of obtaining a comprehensive clinical history when evaluating patients to ensure patient's receive efficient and appropriate care.

求助全文
通过发布文献求助,成功后即可免费获取论文全文。 去求助
来源期刊
CiteScore
1.90
自引率
0.00%
发文量
165
审稿时长
12 weeks
期刊介绍: The AFMR is committed to enhancing the training and career development of our members and to furthering its mission to facilitate the conduct of research to improve medical care. Case reports represent an important avenue for trainees (interns, residents, and fellows) and early-stage faculty to demonstrate productive, scholarly activity.
×
引用
GB/T 7714-2015
复制
MLA
复制
APA
复制
导出至
BibTeX EndNote RefMan NoteFirst NoteExpress
×
提示
您的信息不完整,为了账户安全,请先补充。
现在去补充
×
提示
您因"违规操作"
具体请查看互助需知
我知道了
×
提示
确定
请完成安全验证×
copy
已复制链接
快去分享给好友吧!
我知道了
右上角分享
点击右上角分享
0
联系我们:info@booksci.cn Book学术提供免费学术资源搜索服务,方便国内外学者检索中英文文献。致力于提供最便捷和优质的服务体验。 Copyright © 2023 布克学术 All rights reserved.
京ICP备2023020795号-1
ghs 京公网安备 11010802042870号
Book学术文献互助
Book学术文献互助群
群 号:604180095
Book学术官方微信