Alport综合征的阶梯状/蜂窝状黄斑病变1例报告。

IF 0.6 Q4 OPHTHALMOLOGY
Case Reports in Ophthalmology Pub Date : 2025-06-24 eCollection Date: 2025-01-01 DOI:10.1159/000546567
Zainab Rustam, Sarah Aman, Nakul Singh, Rose Tan, Amir H Kashani, Peter A Campochiaro
{"title":"Alport综合征的阶梯状/蜂窝状黄斑病变1例报告。","authors":"Zainab Rustam, Sarah Aman, Nakul Singh, Rose Tan, Amir H Kashani, Peter A Campochiaro","doi":"10.1159/000546567","DOIUrl":null,"url":null,"abstract":"<p><strong>Introduction: </strong>Alport syndrome is an inherited disease caused by mutations in COL4A5, COLA3, or COL4A4 resulting in kidney failure, hearing loss, and ocular symptoms. We report a patient with Alport syndrome who has a \"stair-case/honeycomb\" maculopathy, a rare but distinctive finding in this disease.</p><p><strong>Case presentation: </strong>A 53-year-old man with Alport syndrome was referred for gradual decrease in vision. His ocular history was remarkable for intraocular lens implantation secondary to lenticonus in each eye. Fundus photography showed rare white dots in the temporal mid-periphery in each eye and fundus autofluorescence was normal. Optical coherence tomography (OCT) B-scans through the fovea showed irregular thinning of the inner retina with peaks and valleys in the macula of each eye. The ellipsoid zone was intact except for mild patchiness centrally. En face retinal structural OCT angiography (OCTA) images showed a mosaic-like honeycomb pattern in the macular region in both eyes, with hyporeflective depressions in areas of focal retinal atrophy. Retinal OCTA scans showed irregular foveal avascular zone (FAZ) areas with capillaries crossing the FAZ in the left eye, corresponding to islands of preserved retinal tissue. There was predominance of capillaries in the deeper retinal layers centrally.</p><p><strong>Conclusion: </strong>While severe irregular thinning of the macula is not a common feature in Alport syndrome, when it is present in patients who have not been previously diagnosed, particularly in patients with renal disease, it should suggest the diagnosis of Alport syndrome. Its occurrence can be the cause of vision loss which is not commonly associated with Alport central maculopathy.</p>","PeriodicalId":9635,"journal":{"name":"Case Reports in Ophthalmology","volume":"16 1","pages":"496-502"},"PeriodicalIF":0.6000,"publicationDate":"2025-06-24","publicationTypes":"Journal Article","fieldsOfStudy":null,"isOpenAccess":false,"openAccessPdf":"https://www.ncbi.nlm.nih.gov/pmc/articles/PMC12263145/pdf/","citationCount":"0","resultStr":"{\"title\":\"Stair-Case/Honeycomb Maculopathy in Alport Syndrome: A Case Report.\",\"authors\":\"Zainab Rustam, Sarah Aman, Nakul Singh, Rose Tan, Amir H Kashani, Peter A Campochiaro\",\"doi\":\"10.1159/000546567\",\"DOIUrl\":null,\"url\":null,\"abstract\":\"<p><strong>Introduction: </strong>Alport syndrome is an inherited disease caused by mutations in COL4A5, COLA3, or COL4A4 resulting in kidney failure, hearing loss, and ocular symptoms. We report a patient with Alport syndrome who has a \\\"stair-case/honeycomb\\\" maculopathy, a rare but distinctive finding in this disease.</p><p><strong>Case presentation: </strong>A 53-year-old man with Alport syndrome was referred for gradual decrease in vision. His ocular history was remarkable for intraocular lens implantation secondary to lenticonus in each eye. Fundus photography showed rare white dots in the temporal mid-periphery in each eye and fundus autofluorescence was normal. Optical coherence tomography (OCT) B-scans through the fovea showed irregular thinning of the inner retina with peaks and valleys in the macula of each eye. The ellipsoid zone was intact except for mild patchiness centrally. En face retinal structural OCT angiography (OCTA) images showed a mosaic-like honeycomb pattern in the macular region in both eyes, with hyporeflective depressions in areas of focal retinal atrophy. Retinal OCTA scans showed irregular foveal avascular zone (FAZ) areas with capillaries crossing the FAZ in the left eye, corresponding to islands of preserved retinal tissue. There was predominance of capillaries in the deeper retinal layers centrally.</p><p><strong>Conclusion: </strong>While severe irregular thinning of the macula is not a common feature in Alport syndrome, when it is present in patients who have not been previously diagnosed, particularly in patients with renal disease, it should suggest the diagnosis of Alport syndrome. Its occurrence can be the cause of vision loss which is not commonly associated with Alport central maculopathy.</p>\",\"PeriodicalId\":9635,\"journal\":{\"name\":\"Case Reports in Ophthalmology\",\"volume\":\"16 1\",\"pages\":\"496-502\"},\"PeriodicalIF\":0.6000,\"publicationDate\":\"2025-06-24\",\"publicationTypes\":\"Journal Article\",\"fieldsOfStudy\":null,\"isOpenAccess\":false,\"openAccessPdf\":\"https://www.ncbi.nlm.nih.gov/pmc/articles/PMC12263145/pdf/\",\"citationCount\":\"0\",\"resultStr\":null,\"platform\":\"Semanticscholar\",\"paperid\":null,\"PeriodicalName\":\"Case Reports in Ophthalmology\",\"FirstCategoryId\":\"1085\",\"ListUrlMain\":\"https://doi.org/10.1159/000546567\",\"RegionNum\":0,\"RegionCategory\":null,\"ArticlePicture\":[],\"TitleCN\":null,\"AbstractTextCN\":null,\"PMCID\":null,\"EPubDate\":\"2025/1/1 0:00:00\",\"PubModel\":\"eCollection\",\"JCR\":\"Q4\",\"JCRName\":\"OPHTHALMOLOGY\",\"Score\":null,\"Total\":0}","platform":"Semanticscholar","paperid":null,"PeriodicalName":"Case Reports in Ophthalmology","FirstCategoryId":"1085","ListUrlMain":"https://doi.org/10.1159/000546567","RegionNum":0,"RegionCategory":null,"ArticlePicture":[],"TitleCN":null,"AbstractTextCN":null,"PMCID":null,"EPubDate":"2025/1/1 0:00:00","PubModel":"eCollection","JCR":"Q4","JCRName":"OPHTHALMOLOGY","Score":null,"Total":0}
引用次数: 0

摘要

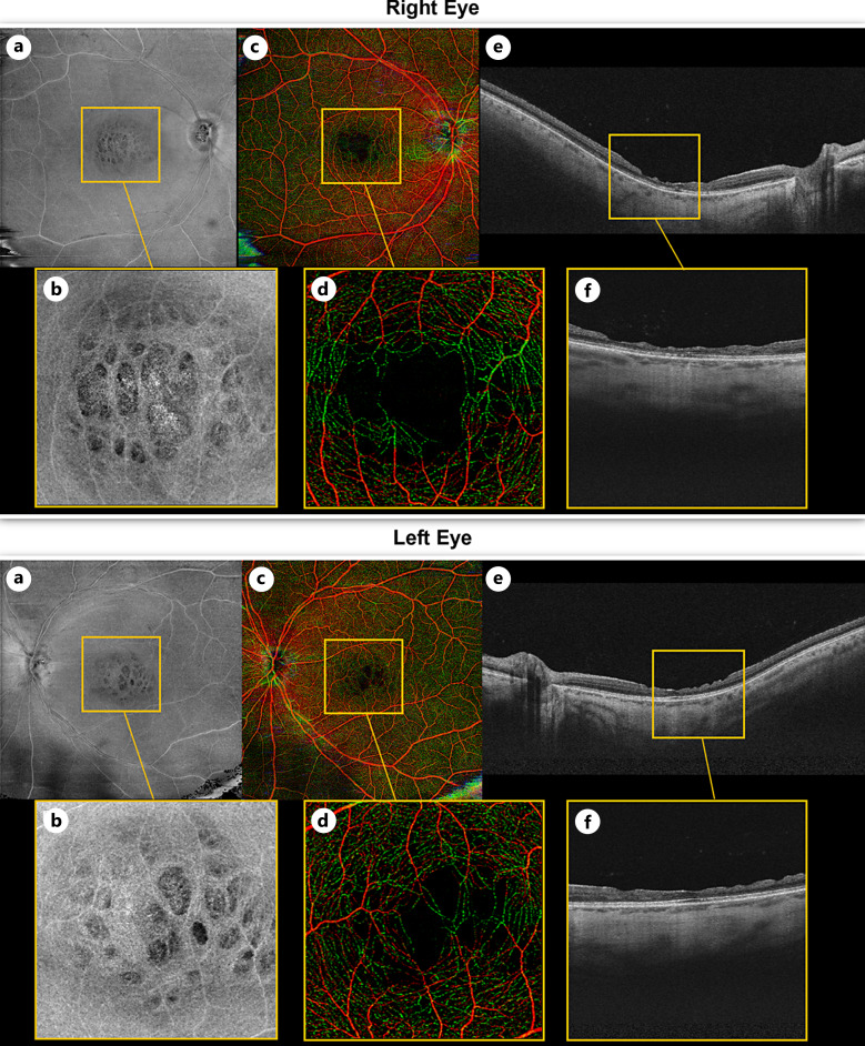
简介:Alport综合征是一种由COL4A5、COLA3或COL4A4基因突变引起的遗传性疾病,可导致肾衰竭、听力丧失和眼部症状。我们报告一位患有Alport综合征的患者,他患有“阶梯状/蜂窝状”黄斑病变,这是一种罕见但独特的发现。病例介绍:一名53岁阿尔波特综合征患者因视力逐渐下降而入院。他的眼史是值得注意的人工晶状体植入术继发于每只眼睛的晶状体。眼底摄影显示双眼颞中周少见白点,眼底自身荧光正常。通过中央窝的光学相干断层扫描(OCT)显示视网膜内部不规则变薄,每只眼睛的黄斑有波峰和波谷。椭球区除中央有轻微斑片状外,基本完整。视网膜结构OCT血管造影(OCTA)在双眼黄斑区显示马赛克状蜂窝状图案,并在局灶性视网膜萎缩区出现低反射凹陷。视网膜OCTA扫描显示不规则的中央凹无血管区(FAZ)区域,毛细血管穿过左眼的FAZ,对应于保留的视网膜组织岛。视网膜中央深层以毛细血管为主。结论:虽然黄斑严重不规则变薄并不是Alport综合征的常见特征,但当黄斑出现在未被诊断的患者,特别是肾脏疾病患者时,应提示Alport综合征的诊断。它的发生可能是视力丧失的原因,而视力丧失通常与阿尔波特中心黄斑病变无关。
本文章由计算机程序翻译,如有差异,请以英文原文为准。

Stair-Case/Honeycomb Maculopathy in Alport Syndrome: A Case Report.

Stair-Case/Honeycomb Maculopathy in Alport Syndrome: A Case Report.

Stair-Case/Honeycomb Maculopathy in Alport Syndrome: A Case Report.

Stair-Case/Honeycomb Maculopathy in Alport Syndrome: A Case Report.

Introduction: Alport syndrome is an inherited disease caused by mutations in COL4A5, COLA3, or COL4A4 resulting in kidney failure, hearing loss, and ocular symptoms. We report a patient with Alport syndrome who has a "stair-case/honeycomb" maculopathy, a rare but distinctive finding in this disease.

Case presentation: A 53-year-old man with Alport syndrome was referred for gradual decrease in vision. His ocular history was remarkable for intraocular lens implantation secondary to lenticonus in each eye. Fundus photography showed rare white dots in the temporal mid-periphery in each eye and fundus autofluorescence was normal. Optical coherence tomography (OCT) B-scans through the fovea showed irregular thinning of the inner retina with peaks and valleys in the macula of each eye. The ellipsoid zone was intact except for mild patchiness centrally. En face retinal structural OCT angiography (OCTA) images showed a mosaic-like honeycomb pattern in the macular region in both eyes, with hyporeflective depressions in areas of focal retinal atrophy. Retinal OCTA scans showed irregular foveal avascular zone (FAZ) areas with capillaries crossing the FAZ in the left eye, corresponding to islands of preserved retinal tissue. There was predominance of capillaries in the deeper retinal layers centrally.

Conclusion: While severe irregular thinning of the macula is not a common feature in Alport syndrome, when it is present in patients who have not been previously diagnosed, particularly in patients with renal disease, it should suggest the diagnosis of Alport syndrome. Its occurrence can be the cause of vision loss which is not commonly associated with Alport central maculopathy.

求助全文
通过发布文献求助,成功后即可免费获取论文全文。 去求助
来源期刊
CiteScore
0.90
自引率
0.00%
发文量
129
审稿时长
12 weeks
期刊介绍: This peer-reviewed online-only journal publishes original case reports covering the entire spectrum of ophthalmology, including prevention, diagnosis, treatment, toxicities of therapy, supportive care, quality-of-life, and survivorship issues. The submission of negative results is strongly encouraged. The journal will also accept case reports dealing with the use of novel technologies, both in the arena of diagnosis and treatment. Supplementary material is welcomed. The intent of the journal is to provide clinicians and researchers with a tool to disseminate their personal experiences to a wider public as well as to review interesting cases encountered by colleagues all over the world. Universally used terms can be searched across the entire growing collection of case reports, further facilitating the retrieval of specific information. Following the open access principle, the entire contents can be retrieved at no charge, guaranteeing easy access to this valuable source of anecdotal information at all times.
×
引用
GB/T 7714-2015
复制
MLA
复制
APA
复制
导出至
BibTeX EndNote RefMan NoteFirst NoteExpress
×
提示
您的信息不完整,为了账户安全,请先补充。
现在去补充
×
提示
您因"违规操作"
具体请查看互助需知
我知道了
×
提示
确定
请完成安全验证×
copy
已复制链接
快去分享给好友吧!
我知道了
右上角分享
点击右上角分享
0
联系我们:info@booksci.cn Book学术提供免费学术资源搜索服务,方便国内外学者检索中英文文献。致力于提供最便捷和优质的服务体验。 Copyright © 2023 布克学术 All rights reserved.
京ICP备2023020795号-1
ghs 京公网安备 11010802042870号
Book学术文献互助
Book学术文献互助群
群 号:604180095
Book学术官方微信