系统性红斑狼疮患者的双侧小脑中脚梗死。

IF 2.1 4区 医学 Q3 CLINICAL NEUROLOGY
Sandra Perillo, Francesco Barbato, Teresa Perillo, Lorenzo Pinto, Fabio Giuliano Numis
{"title":"系统性红斑狼疮患者的双侧小脑中脚梗死。","authors":"Sandra Perillo,&nbsp;Francesco Barbato,&nbsp;Teresa Perillo,&nbsp;Lorenzo Pinto,&nbsp;Fabio Giuliano Numis","doi":"10.1007/s13760-025-02842-8","DOIUrl":null,"url":null,"abstract":"<div><p>Systemic Lupus Erythematosus (SLE) is a chronic autoimmune disease with multiorgan involvement, including the central nervous system. Neuropsychiatric manifestations (NPSLE) are observed in a significant proportion of patients and may include ischemic strokes, often related to antiphospholipid syndrome (APS) or small vessel vasculitis. We report the case of a 38-year-old woman who presented to the emergency department with acute dysarthria and a history of fever. Brain imaging demonstrated multiple subacute ischemic lesions affecting the bilateral middle cerebellar peduncles and frontal regions, and diffuse leukoencephalopathy. Laboratory investigations revealed high-titer antinuclear, anti-dsDNA, anticardiolipin antibodies, and lupus anticoagulant. The overall clinical, radiological, and immunological profile was consistent with neuropsychiatric SLE. The possible underlying causes of ischemic events were antiphospholipid syndrome and small vessel vasculitis. This case highlights the importance of considering NPSLE in the differential diagnosis of diseases involving bilateral middle cerebellar peduncles. Early recognition and therapy of NPSLE are crucial for improving outcomes in this complex clinical scenario.</p></div>","PeriodicalId":7042,"journal":{"name":"Acta neurologica Belgica","volume":"125 4","pages":"1139 - 1143"},"PeriodicalIF":2.1000,"publicationDate":"2025-07-16","publicationTypes":"Journal Article","fieldsOfStudy":null,"isOpenAccess":false,"openAccessPdf":"","citationCount":"0","resultStr":"{\"title\":\"Bilateral middle cerebellar peduncle infarcts in a patient with systemic lupus erythematosus\",\"authors\":\"Sandra Perillo,&nbsp;Francesco Barbato,&nbsp;Teresa Perillo,&nbsp;Lorenzo Pinto,&nbsp;Fabio Giuliano Numis\",\"doi\":\"10.1007/s13760-025-02842-8\",\"DOIUrl\":null,\"url\":null,\"abstract\":\"<div><p>Systemic Lupus Erythematosus (SLE) is a chronic autoimmune disease with multiorgan involvement, including the central nervous system. Neuropsychiatric manifestations (NPSLE) are observed in a significant proportion of patients and may include ischemic strokes, often related to antiphospholipid syndrome (APS) or small vessel vasculitis. We report the case of a 38-year-old woman who presented to the emergency department with acute dysarthria and a history of fever. Brain imaging demonstrated multiple subacute ischemic lesions affecting the bilateral middle cerebellar peduncles and frontal regions, and diffuse leukoencephalopathy. Laboratory investigations revealed high-titer antinuclear, anti-dsDNA, anticardiolipin antibodies, and lupus anticoagulant. The overall clinical, radiological, and immunological profile was consistent with neuropsychiatric SLE. The possible underlying causes of ischemic events were antiphospholipid syndrome and small vessel vasculitis. This case highlights the importance of considering NPSLE in the differential diagnosis of diseases involving bilateral middle cerebellar peduncles. Early recognition and therapy of NPSLE are crucial for improving outcomes in this complex clinical scenario.</p></div>\",\"PeriodicalId\":7042,\"journal\":{\"name\":\"Acta neurologica Belgica\",\"volume\":\"125 4\",\"pages\":\"1139 - 1143\"},\"PeriodicalIF\":2.1000,\"publicationDate\":\"2025-07-16\",\"publicationTypes\":\"Journal Article\",\"fieldsOfStudy\":null,\"isOpenAccess\":false,\"openAccessPdf\":\"\",\"citationCount\":\"0\",\"resultStr\":null,\"platform\":\"Semanticscholar\",\"paperid\":null,\"PeriodicalName\":\"Acta neurologica Belgica\",\"FirstCategoryId\":\"3\",\"ListUrlMain\":\"https://link.springer.com/article/10.1007/s13760-025-02842-8\",\"RegionNum\":4,\"RegionCategory\":\"医学\",\"ArticlePicture\":[],\"TitleCN\":null,\"AbstractTextCN\":null,\"PMCID\":null,\"EPubDate\":\"\",\"PubModel\":\"\",\"JCR\":\"Q3\",\"JCRName\":\"CLINICAL NEUROLOGY\",\"Score\":null,\"Total\":0}","platform":"Semanticscholar","paperid":null,"PeriodicalName":"Acta neurologica Belgica","FirstCategoryId":"3","ListUrlMain":"https://link.springer.com/article/10.1007/s13760-025-02842-8","RegionNum":4,"RegionCategory":"医学","ArticlePicture":[],"TitleCN":null,"AbstractTextCN":null,"PMCID":null,"EPubDate":"","PubModel":"","JCR":"Q3","JCRName":"CLINICAL NEUROLOGY","Score":null,"Total":0}
引用次数: 0

摘要

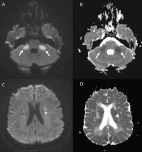
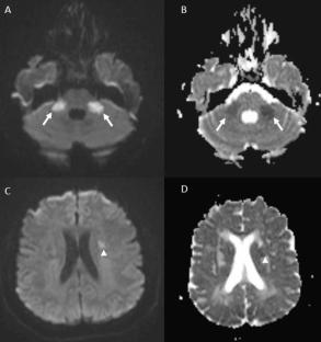
系统性红斑狼疮(SLE)是一种包括中枢神经系统在内的多器官累及的慢性自身免疫性疾病。神经精神表现(NPSLE)在很大比例的患者中观察到,可能包括缺血性中风,通常与抗磷脂综合征(APS)或小血管炎有关。我们报告的情况下,一个38岁的妇女谁提出了急性构音障碍和发烧的历史急诊科。脑成像显示双侧小脑中蒂和额区多发亚急性缺血性病变,弥漫性脑白质病。实验室检查显示高滴度的抗核、抗dsdna、抗心磷脂抗体和狼疮抗凝血剂。总体临床、放射学和免疫学特征与神经精神性SLE一致。缺血性事件的潜在原因可能是抗磷脂综合征和小血管炎。本病例强调了在双侧小脑中蒂病变鉴别诊断中考虑NPSLE的重要性。在这种复杂的临床情况下,早期识别和治疗NPSLE对于改善预后至关重要。
本文章由计算机程序翻译,如有差异,请以英文原文为准。

Bilateral middle cerebellar peduncle infarcts in a patient with systemic lupus erythematosus

Bilateral middle cerebellar peduncle infarcts in a patient with systemic lupus erythematosus

Bilateral middle cerebellar peduncle infarcts in a patient with systemic lupus erythematosus

Systemic Lupus Erythematosus (SLE) is a chronic autoimmune disease with multiorgan involvement, including the central nervous system. Neuropsychiatric manifestations (NPSLE) are observed in a significant proportion of patients and may include ischemic strokes, often related to antiphospholipid syndrome (APS) or small vessel vasculitis. We report the case of a 38-year-old woman who presented to the emergency department with acute dysarthria and a history of fever. Brain imaging demonstrated multiple subacute ischemic lesions affecting the bilateral middle cerebellar peduncles and frontal regions, and diffuse leukoencephalopathy. Laboratory investigations revealed high-titer antinuclear, anti-dsDNA, anticardiolipin antibodies, and lupus anticoagulant. The overall clinical, radiological, and immunological profile was consistent with neuropsychiatric SLE. The possible underlying causes of ischemic events were antiphospholipid syndrome and small vessel vasculitis. This case highlights the importance of considering NPSLE in the differential diagnosis of diseases involving bilateral middle cerebellar peduncles. Early recognition and therapy of NPSLE are crucial for improving outcomes in this complex clinical scenario.

求助全文
通过发布文献求助,成功后即可免费获取论文全文。 去求助
来源期刊
Acta neurologica Belgica
Acta neurologica Belgica 医学-临床神经学
CiteScore
4.20
自引率
3.70%
发文量
300
审稿时长
6-12 weeks
期刊介绍: Peer-reviewed and published quarterly, Acta Neurologica Belgicapresents original articles in the clinical and basic neurosciences, and also reports the proceedings and the abstracts of the scientific meetings of the different partner societies. The contents include commentaries, editorials, review articles, case reports, neuro-images of interest, book reviews and letters to the editor. Acta Neurologica Belgica is the official journal of the following national societies: Belgian Neurological Society Belgian Society for Neuroscience Belgian Society of Clinical Neurophysiology Belgian Pediatric Neurology Society Belgian Study Group of Multiple Sclerosis Belgian Stroke Council Belgian Headache Society Belgian Study Group of Neuropathology
×
引用
GB/T 7714-2015
复制
MLA
复制
APA
复制
导出至
BibTeX EndNote RefMan NoteFirst NoteExpress
×
提示
您的信息不完整,为了账户安全,请先补充。
现在去补充
×
提示
您因"违规操作"
具体请查看互助需知
我知道了
×
提示
确定
请完成安全验证×
copy
已复制链接
快去分享给好友吧!
我知道了
右上角分享
点击右上角分享
0
联系我们:info@booksci.cn Book学术提供免费学术资源搜索服务,方便国内外学者检索中英文文献。致力于提供最便捷和优质的服务体验。 Copyright © 2023 布克学术 All rights reserved.
京ICP备2023020795号-1
ghs 京公网安备 11010802042870号
Book学术文献互助
Book学术文献互助群
群 号:604180095
Book学术官方微信