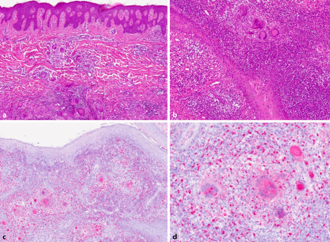
[IL-17抑制下化脓性汗腺炎和克罗恩病的组织学和临床重叠]。

IF 0.7
Dermatologie (Heidelberg, Germany) Pub Date : 2025-10-01 Epub Date: 2025-07-14 DOI:10.1007/s00105-025-05545-6
Lennart Ocker, Christina Scheel, Nessr Abu Rached, Martin Dörler, Markus Stücker, Falk Bechara
{"title":"[IL-17抑制下化脓性汗腺炎和克罗恩病的组织学和临床重叠]。","authors":"Lennart Ocker, Christina Scheel, Nessr Abu Rached, Martin Dörler, Markus Stücker, Falk Bechara","doi":"10.1007/s00105-025-05545-6","DOIUrl":null,"url":null,"abstract":"","PeriodicalId":72786,"journal":{"name":"Dermatologie (Heidelberg, Germany)","volume":" ","pages":"654-656"},"PeriodicalIF":0.7000,"publicationDate":"2025-10-01","publicationTypes":"Journal Article","fieldsOfStudy":null,"isOpenAccess":false,"openAccessPdf":"https://www.ncbi.nlm.nih.gov/pmc/articles/PMC12491372/pdf/","citationCount":"0","resultStr":"{\"title\":\"[Histological and clinical overlap of hidradenitis suppurativa and Crohn disease under IL-17 inhibition].\",\"authors\":\"Lennart Ocker, Christina Scheel, Nessr Abu Rached, Martin Dörler, Markus Stücker, Falk Bechara\",\"doi\":\"10.1007/s00105-025-05545-6\",\"DOIUrl\":null,\"url\":null,\"abstract\":\"\",\"PeriodicalId\":72786,\"journal\":{\"name\":\"Dermatologie (Heidelberg, Germany)\",\"volume\":\" \",\"pages\":\"654-656\"},\"PeriodicalIF\":0.7000,\"publicationDate\":\"2025-10-01\",\"publicationTypes\":\"Journal Article\",\"fieldsOfStudy\":null,\"isOpenAccess\":false,\"openAccessPdf\":\"https://www.ncbi.nlm.nih.gov/pmc/articles/PMC12491372/pdf/\",\"citationCount\":\"0\",\"resultStr\":null,\"platform\":\"Semanticscholar\",\"paperid\":null,\"PeriodicalName\":\"Dermatologie (Heidelberg, Germany)\",\"FirstCategoryId\":\"1085\",\"ListUrlMain\":\"https://doi.org/10.1007/s00105-025-05545-6\",\"RegionNum\":0,\"RegionCategory\":null,\"ArticlePicture\":[],\"TitleCN\":null,\"AbstractTextCN\":null,\"PMCID\":null,\"EPubDate\":\"2025/7/14 0:00:00\",\"PubModel\":\"Epub\",\"JCR\":\"\",\"JCRName\":\"\",\"Score\":null,\"Total\":0}","platform":"Semanticscholar","paperid":null,"PeriodicalName":"Dermatologie (Heidelberg, Germany)","FirstCategoryId":"1085","ListUrlMain":"https://doi.org/10.1007/s00105-025-05545-6","RegionNum":0,"RegionCategory":null,"ArticlePicture":[],"TitleCN":null,"AbstractTextCN":null,"PMCID":null,"EPubDate":"2025/7/14 0:00:00","PubModel":"Epub","JCR":"","JCRName":"","Score":null,"Total":0}
引用次数: 0

摘要

本文章由计算机程序翻译,如有差异,请以英文原文为准。

[Histological and clinical overlap of hidradenitis suppurativa and Crohn disease under IL-17 inhibition].

[Histological and clinical overlap of hidradenitis suppurativa and Crohn disease under IL-17 inhibition].

[Histological and clinical overlap of hidradenitis suppurativa and Crohn disease under IL-17 inhibition].

[Histological and clinical overlap of hidradenitis suppurativa and Crohn disease under IL-17 inhibition].
求助全文
通过发布文献求助,成功后即可免费获取论文全文。 去求助
来源期刊
自引率
0.00%
发文量
0
×
引用
GB/T 7714-2015
复制
MLA
复制
APA
复制
导出至
BibTeX EndNote RefMan NoteFirst NoteExpress
×
提示
您的信息不完整,为了账户安全,请先补充。
现在去补充
×
提示
您因"违规操作"
具体请查看互助需知
我知道了
×
提示
确定
请完成安全验证×
copy
已复制链接
快去分享给好友吧!
我知道了
右上角分享
点击右上角分享
0
联系我们:info@booksci.cn Book学术提供免费学术资源搜索服务,方便国内外学者检索中英文文献。致力于提供最便捷和优质的服务体验。 Copyright © 2023 布克学术 All rights reserved.
京ICP备2023020795号-1
ghs 京公网安备 11010802042870号
Book学术文献互助
Book学术文献互助群
群 号:604180095
Book学术官方微信