重症肌无力患者肺部脓肿分枝杆菌病1例。

IF 0.8 Q4 RESPIRATORY SYSTEM
Respirology Case Reports Pub Date : 2025-07-14 eCollection Date: 2025-07-01 DOI:10.1002/rcr2.70166
Daisy Lu, Steven Y C Tong, Belinda Cruse, Kasha P Singh, Justin T Denholm, Megan Rees
{"title":"重症肌无力患者肺部脓肿分枝杆菌病1例。","authors":"Daisy Lu, Steven Y C Tong, Belinda Cruse, Kasha P Singh, Justin T Denholm, Megan Rees","doi":"10.1002/rcr2.70166","DOIUrl":null,"url":null,"abstract":"<p><p>There is limited guidance on managing <i>Mycobacterium abscessus</i> pulmonary disease in Myasthenia Gravis patients. Macrolides and aminoglycosides form the backbone of <i>M. abscessus</i> pulmonary disease treatment but are avoided in Myasthenia Gravis patients due to the risk of precipitating myasthenic crisis. A 29-year-old female, with a history of anti-acetylcholine receptor antibody-positive Myasthenia Gravis and bronchiectasis, was diagnosed with <i>M. abscessus</i> pulmonary disease. She was commenced on a macrolide-based regime safely with close monitoring, pretreatment with intravenous immunoglobulin (1 g/kg),10 mg prednisolone, 500 mg rituximab and augmentation of the neuromuscular junction with pyridostigmine and 3,4-Diaminopyridine. She was safely discharged to the hospital in the home program and achieved clinical, radiological and microbiological response.</p>","PeriodicalId":45846,"journal":{"name":"Respirology Case Reports","volume":"13 7","pages":"e70166"},"PeriodicalIF":0.8000,"publicationDate":"2025-07-14","publicationTypes":"Journal Article","fieldsOfStudy":null,"isOpenAccess":false,"openAccessPdf":"https://www.ncbi.nlm.nih.gov/pmc/articles/PMC12256984/pdf/","citationCount":"0","resultStr":"{\"title\":\"<i>Mycobacterium abscessus</i> Pulmonary Disease in a Myasthenia Gravis Patient: A Case Report.\",\"authors\":\"Daisy Lu, Steven Y C Tong, Belinda Cruse, Kasha P Singh, Justin T Denholm, Megan Rees\",\"doi\":\"10.1002/rcr2.70166\",\"DOIUrl\":null,\"url\":null,\"abstract\":\"<p><p>There is limited guidance on managing <i>Mycobacterium abscessus</i> pulmonary disease in Myasthenia Gravis patients. Macrolides and aminoglycosides form the backbone of <i>M. abscessus</i> pulmonary disease treatment but are avoided in Myasthenia Gravis patients due to the risk of precipitating myasthenic crisis. A 29-year-old female, with a history of anti-acetylcholine receptor antibody-positive Myasthenia Gravis and bronchiectasis, was diagnosed with <i>M. abscessus</i> pulmonary disease. She was commenced on a macrolide-based regime safely with close monitoring, pretreatment with intravenous immunoglobulin (1 g/kg),10 mg prednisolone, 500 mg rituximab and augmentation of the neuromuscular junction with pyridostigmine and 3,4-Diaminopyridine. She was safely discharged to the hospital in the home program and achieved clinical, radiological and microbiological response.</p>\",\"PeriodicalId\":45846,\"journal\":{\"name\":\"Respirology Case Reports\",\"volume\":\"13 7\",\"pages\":\"e70166\"},\"PeriodicalIF\":0.8000,\"publicationDate\":\"2025-07-14\",\"publicationTypes\":\"Journal Article\",\"fieldsOfStudy\":null,\"isOpenAccess\":false,\"openAccessPdf\":\"https://www.ncbi.nlm.nih.gov/pmc/articles/PMC12256984/pdf/\",\"citationCount\":\"0\",\"resultStr\":null,\"platform\":\"Semanticscholar\",\"paperid\":null,\"PeriodicalName\":\"Respirology Case Reports\",\"FirstCategoryId\":\"1085\",\"ListUrlMain\":\"https://doi.org/10.1002/rcr2.70166\",\"RegionNum\":0,\"RegionCategory\":null,\"ArticlePicture\":[],\"TitleCN\":null,\"AbstractTextCN\":null,\"PMCID\":null,\"EPubDate\":\"2025/7/1 0:00:00\",\"PubModel\":\"eCollection\",\"JCR\":\"Q4\",\"JCRName\":\"RESPIRATORY SYSTEM\",\"Score\":null,\"Total\":0}","platform":"Semanticscholar","paperid":null,"PeriodicalName":"Respirology Case Reports","FirstCategoryId":"1085","ListUrlMain":"https://doi.org/10.1002/rcr2.70166","RegionNum":0,"RegionCategory":null,"ArticlePicture":[],"TitleCN":null,"AbstractTextCN":null,"PMCID":null,"EPubDate":"2025/7/1 0:00:00","PubModel":"eCollection","JCR":"Q4","JCRName":"RESPIRATORY SYSTEM","Score":null,"Total":0}
引用次数: 0

摘要

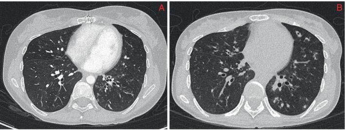
在处理重症肌无力患者的脓肿分枝杆菌肺病方面的指导有限。大环内酯类药物和氨基糖苷类药物是治疗脓肿支原体肺病的主要药物,但由于有诱发重症肌无力的危险,因此在重症肌无力患者中避免使用。29岁女性,有抗乙酰胆碱受体抗体阳性重症肌无力和支气管扩张病史,诊断为脓肿支原体肺病。患者开始安全使用大环内酯为基础的方案并密切监测,静脉注射免疫球蛋白(1 g/kg)、强的松龙10 mg、利妥昔单抗500 mg进行预处理,并使用吡哆斯的明和3,4-二氨基吡啶增强神经肌肉接点。她在家庭项目中安全出院,并取得了临床、放射学和微生物学反应。
本文章由计算机程序翻译,如有差异,请以英文原文为准。

<i>Mycobacterium abscessus</i> Pulmonary Disease in a Myasthenia Gravis Patient: A Case Report.

<i>Mycobacterium abscessus</i> Pulmonary Disease in a Myasthenia Gravis Patient: A Case Report.

Mycobacterium abscessus Pulmonary Disease in a Myasthenia Gravis Patient: A Case Report.

There is limited guidance on managing Mycobacterium abscessus pulmonary disease in Myasthenia Gravis patients. Macrolides and aminoglycosides form the backbone of M. abscessus pulmonary disease treatment but are avoided in Myasthenia Gravis patients due to the risk of precipitating myasthenic crisis. A 29-year-old female, with a history of anti-acetylcholine receptor antibody-positive Myasthenia Gravis and bronchiectasis, was diagnosed with M. abscessus pulmonary disease. She was commenced on a macrolide-based regime safely with close monitoring, pretreatment with intravenous immunoglobulin (1 g/kg),10 mg prednisolone, 500 mg rituximab and augmentation of the neuromuscular junction with pyridostigmine and 3,4-Diaminopyridine. She was safely discharged to the hospital in the home program and achieved clinical, radiological and microbiological response.

求助全文
通过发布文献求助,成功后即可免费获取论文全文。 去求助
来源期刊
Respirology Case Reports
Respirology Case Reports RESPIRATORY SYSTEM-
CiteScore
1.40
自引率
0.00%
发文量
178
审稿时长
8 weeks
期刊介绍: Respirology Case Reports is an open-access online journal dedicated to the publication of original clinical case reports, case series, clinical images and clinical videos in all fields of respiratory medicine. The Journal encourages the international exchange between clinicians and researchers of experiences in diagnosing and treating uncommon diseases or diseases with unusual presentations. All manuscripts are peer-reviewed through a streamlined process that aims at providing a rapid turnaround time from submission to publication.
×
引用
GB/T 7714-2015
复制
MLA
复制
APA
复制
导出至
BibTeX EndNote RefMan NoteFirst NoteExpress
×
提示
您的信息不完整,为了账户安全,请先补充。
现在去补充
×
提示
您因"违规操作"
具体请查看互助需知
我知道了
×
提示
确定
请完成安全验证×
copy
已复制链接
快去分享给好友吧!
我知道了
右上角分享
点击右上角分享
0
联系我们:info@booksci.cn Book学术提供免费学术资源搜索服务,方便国内外学者检索中英文文献。致力于提供最便捷和优质的服务体验。 Copyright © 2023 布克学术 All rights reserved.
京ICP备2023020795号-1
ghs 京公网安备 11010802042870号
Book学术文献互助
Book学术文献互助群
群 号:604180095
Book学术官方微信