一例罕见的与FOCAD基因变异相关的新生儿胆汁淤积症:探讨其可变表型表现及其意义。

Case Reports in Genetics Pub Date : 2025-07-01 eCollection Date: 2025-01-01 DOI:10.1155/crig/9569160
Ariel Tarrell, Jessika Weber, Reem Shawar, Luca Brunelli, Susan Morelli, Pinar Bayrak-Toydemir, Elizabeth Doughty, Gulsen Akay, Lorenzo D Botto, Emily Flemming, N Scott Reading, Catalina Jaramillo
{"title":"一例罕见的与FOCAD基因变异相关的新生儿胆汁淤积症:探讨其可变表型表现及其意义。","authors":"Ariel Tarrell, Jessika Weber, Reem Shawar, Luca Brunelli, Susan Morelli, Pinar Bayrak-Toydemir, Elizabeth Doughty, Gulsen Akay, Lorenzo D Botto, Emily Flemming, N Scott Reading, Catalina Jaramillo","doi":"10.1155/crig/9569160","DOIUrl":null,"url":null,"abstract":"<p><p>Neonatal liver disease is a broad entity. When it presents in conjunction with other abnormalities, it raises the question of a potential underlying genetic cause. Etiologies that were once difficult to diagnose are becoming more readily identifiable with the arrival of next-generation sequencing. We present a rare cause of neonatal liver disease, a FOCAD gene variant, that was determined to be the most likely cause of an infant's liver disease and other findings. This case adds to only a few reports in the literature on this presentation in the neonatal period.</p>","PeriodicalId":30325,"journal":{"name":"Case Reports in Genetics","volume":"2025 ","pages":"9569160"},"PeriodicalIF":0.0000,"publicationDate":"2025-07-01","publicationTypes":"Journal Article","fieldsOfStudy":null,"isOpenAccess":false,"openAccessPdf":"https://www.ncbi.nlm.nih.gov/pmc/articles/PMC12256164/pdf/","citationCount":"0","resultStr":"{\"title\":\"A Rare Case of Neonatal Cholestasis Linked to FOCAD Gene Variants: Exploring the Variable Phenotypic Presentation and Its Implications.\",\"authors\":\"Ariel Tarrell, Jessika Weber, Reem Shawar, Luca Brunelli, Susan Morelli, Pinar Bayrak-Toydemir, Elizabeth Doughty, Gulsen Akay, Lorenzo D Botto, Emily Flemming, N Scott Reading, Catalina Jaramillo\",\"doi\":\"10.1155/crig/9569160\",\"DOIUrl\":null,\"url\":null,\"abstract\":\"<p><p>Neonatal liver disease is a broad entity. When it presents in conjunction with other abnormalities, it raises the question of a potential underlying genetic cause. Etiologies that were once difficult to diagnose are becoming more readily identifiable with the arrival of next-generation sequencing. We present a rare cause of neonatal liver disease, a FOCAD gene variant, that was determined to be the most likely cause of an infant's liver disease and other findings. This case adds to only a few reports in the literature on this presentation in the neonatal period.</p>\",\"PeriodicalId\":30325,\"journal\":{\"name\":\"Case Reports in Genetics\",\"volume\":\"2025 \",\"pages\":\"9569160\"},\"PeriodicalIF\":0.0000,\"publicationDate\":\"2025-07-01\",\"publicationTypes\":\"Journal Article\",\"fieldsOfStudy\":null,\"isOpenAccess\":false,\"openAccessPdf\":\"https://www.ncbi.nlm.nih.gov/pmc/articles/PMC12256164/pdf/\",\"citationCount\":\"0\",\"resultStr\":null,\"platform\":\"Semanticscholar\",\"paperid\":null,\"PeriodicalName\":\"Case Reports in Genetics\",\"FirstCategoryId\":\"1085\",\"ListUrlMain\":\"https://doi.org/10.1155/crig/9569160\",\"RegionNum\":0,\"RegionCategory\":null,\"ArticlePicture\":[],\"TitleCN\":null,\"AbstractTextCN\":null,\"PMCID\":null,\"EPubDate\":\"2025/1/1 0:00:00\",\"PubModel\":\"eCollection\",\"JCR\":\"\",\"JCRName\":\"\",\"Score\":null,\"Total\":0}","platform":"Semanticscholar","paperid":null,"PeriodicalName":"Case Reports in Genetics","FirstCategoryId":"1085","ListUrlMain":"https://doi.org/10.1155/crig/9569160","RegionNum":0,"RegionCategory":null,"ArticlePicture":[],"TitleCN":null,"AbstractTextCN":null,"PMCID":null,"EPubDate":"2025/1/1 0:00:00","PubModel":"eCollection","JCR":"","JCRName":"","Score":null,"Total":0}
引用次数: 0

摘要

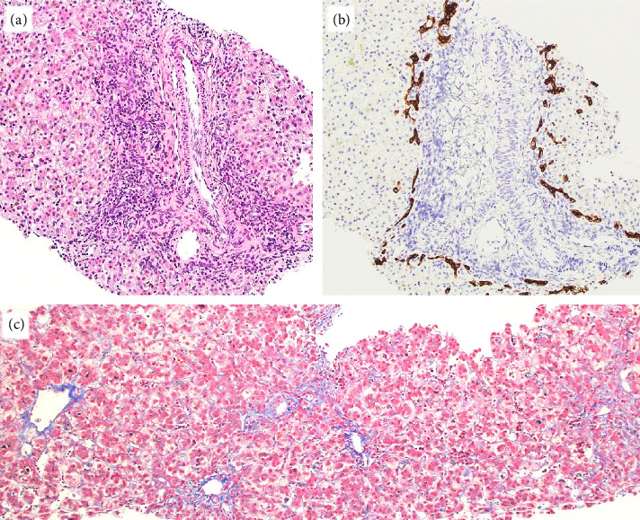
新生儿肝脏疾病是一个广泛的实体。当它与其他异常同时出现时,它提出了潜在的潜在遗传原因的问题。随着下一代测序技术的到来,曾经难以诊断的病因变得更加容易识别。我们提出了一种罕见的新生儿肝脏疾病的病因,一种FOCAD基因变异,被确定为最可能导致婴儿肝脏疾病和其他发现的原因。这个病例增加了只有少数报告在新生儿期的这种表现的文献。
本文章由计算机程序翻译,如有差异,请以英文原文为准。

A Rare Case of Neonatal Cholestasis Linked to FOCAD Gene Variants: Exploring the Variable Phenotypic Presentation and Its Implications.

A Rare Case of Neonatal Cholestasis Linked to FOCAD Gene Variants: Exploring the Variable Phenotypic Presentation and Its Implications.

A Rare Case of Neonatal Cholestasis Linked to FOCAD Gene Variants: Exploring the Variable Phenotypic Presentation and Its Implications.

Neonatal liver disease is a broad entity. When it presents in conjunction with other abnormalities, it raises the question of a potential underlying genetic cause. Etiologies that were once difficult to diagnose are becoming more readily identifiable with the arrival of next-generation sequencing. We present a rare cause of neonatal liver disease, a FOCAD gene variant, that was determined to be the most likely cause of an infant's liver disease and other findings. This case adds to only a few reports in the literature on this presentation in the neonatal period.

求助全文
通过发布文献求助,成功后即可免费获取论文全文。 去求助
来源期刊
自引率
0.00%
发文量
21
×
引用
GB/T 7714-2015
复制
MLA
复制
APA
复制
导出至
BibTeX EndNote RefMan NoteFirst NoteExpress
×
提示
您的信息不完整,为了账户安全,请先补充。
现在去补充
×
提示
您因"违规操作"
具体请查看互助需知
我知道了
×
提示
确定
请完成安全验证×
copy
已复制链接
快去分享给好友吧!
我知道了
右上角分享
点击右上角分享
0
联系我们:info@booksci.cn Book学术提供免费学术资源搜索服务,方便国内外学者检索中英文文献。致力于提供最便捷和优质的服务体验。 Copyright © 2023 布克学术 All rights reserved.
京ICP备2023020795号-1
ghs 京公网安备 11010802042870号
Book学术文献互助
Book学术文献互助群
群 号:604180095
Book学术官方微信