一罕见并发症揭露:savr后左主干开口狭窄1例报告。

IF 0.8 Q3 MEDICINE, GENERAL & INTERNAL
Emmanuel Daniel, Mohammed El-Nayir, Thomas Dougan, Priyata Dutta, Paul Nona
{"title":"一罕见并发症揭露:savr后左主干开口狭窄1例报告。","authors":"Emmanuel Daniel, Mohammed El-Nayir, Thomas Dougan, Priyata Dutta, Paul Nona","doi":"10.1177/23247096251358675","DOIUrl":null,"url":null,"abstract":"<p><p>Iatrogenic coronary artery obstruction is one of many life-threatening complications associated with aortic valve replacement. Although very few cases of ostial coronary artery occlusion following cardiac surgery are reported, the consequences can be catastrophic due to increased risk of mortality. Due to the rarity, prompt investigation and early management are crucial to manage this catastrophic sequelae. We report a case in which a 61-year-old female presented with acute coronary syndrome 4 months after surgical aortic valve replacement and was found to have 99% left main ostial coronary artery occlusion.</p>","PeriodicalId":16198,"journal":{"name":"Journal of investigative medicine high impact case reports","volume":"13 ","pages":"23247096251358675"},"PeriodicalIF":0.8000,"publicationDate":"2025-01-01","publicationTypes":"Journal Article","fieldsOfStudy":null,"isOpenAccess":false,"openAccessPdf":"https://www.ncbi.nlm.nih.gov/pmc/articles/PMC12264399/pdf/","citationCount":"0","resultStr":"{\"title\":\"A Rare Complication Unveiled: Ostial Left Main Stenosis Post SAVR-A Case Report.\",\"authors\":\"Emmanuel Daniel, Mohammed El-Nayir, Thomas Dougan, Priyata Dutta, Paul Nona\",\"doi\":\"10.1177/23247096251358675\",\"DOIUrl\":null,\"url\":null,\"abstract\":\"<p><p>Iatrogenic coronary artery obstruction is one of many life-threatening complications associated with aortic valve replacement. Although very few cases of ostial coronary artery occlusion following cardiac surgery are reported, the consequences can be catastrophic due to increased risk of mortality. Due to the rarity, prompt investigation and early management are crucial to manage this catastrophic sequelae. We report a case in which a 61-year-old female presented with acute coronary syndrome 4 months after surgical aortic valve replacement and was found to have 99% left main ostial coronary artery occlusion.</p>\",\"PeriodicalId\":16198,\"journal\":{\"name\":\"Journal of investigative medicine high impact case reports\",\"volume\":\"13 \",\"pages\":\"23247096251358675\"},\"PeriodicalIF\":0.8000,\"publicationDate\":\"2025-01-01\",\"publicationTypes\":\"Journal Article\",\"fieldsOfStudy\":null,\"isOpenAccess\":false,\"openAccessPdf\":\"https://www.ncbi.nlm.nih.gov/pmc/articles/PMC12264399/pdf/\",\"citationCount\":\"0\",\"resultStr\":null,\"platform\":\"Semanticscholar\",\"paperid\":null,\"PeriodicalName\":\"Journal of investigative medicine high impact case reports\",\"FirstCategoryId\":\"1085\",\"ListUrlMain\":\"https://doi.org/10.1177/23247096251358675\",\"RegionNum\":0,\"RegionCategory\":null,\"ArticlePicture\":[],\"TitleCN\":null,\"AbstractTextCN\":null,\"PMCID\":null,\"EPubDate\":\"2025/7/15 0:00:00\",\"PubModel\":\"Epub\",\"JCR\":\"Q3\",\"JCRName\":\"MEDICINE, GENERAL & INTERNAL\",\"Score\":null,\"Total\":0}","platform":"Semanticscholar","paperid":null,"PeriodicalName":"Journal of investigative medicine high impact case reports","FirstCategoryId":"1085","ListUrlMain":"https://doi.org/10.1177/23247096251358675","RegionNum":0,"RegionCategory":null,"ArticlePicture":[],"TitleCN":null,"AbstractTextCN":null,"PMCID":null,"EPubDate":"2025/7/15 0:00:00","PubModel":"Epub","JCR":"Q3","JCRName":"MEDICINE, GENERAL & INTERNAL","Score":null,"Total":0}
引用次数: 0

摘要

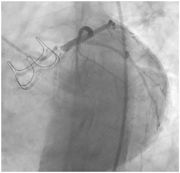
医源性冠状动脉阻塞是与主动脉瓣置换术相关的许多危及生命的并发症之一。虽然心脏手术后发生口冠状动脉闭塞的病例很少,但由于死亡风险增加,其后果可能是灾难性的。由于罕见,及时的调查和早期的管理是至关重要的,以管理这一灾难性的后遗症。我们报告一例61岁女性在主动脉瓣置换术4个月后出现急性冠状动脉综合征,发现99%左主口冠状动脉闭塞。
本文章由计算机程序翻译,如有差异,请以英文原文为准。

A Rare Complication Unveiled: Ostial Left Main Stenosis Post SAVR-A Case Report.

A Rare Complication Unveiled: Ostial Left Main Stenosis Post SAVR-A Case Report.

A Rare Complication Unveiled: Ostial Left Main Stenosis Post SAVR-A Case Report.

Iatrogenic coronary artery obstruction is one of many life-threatening complications associated with aortic valve replacement. Although very few cases of ostial coronary artery occlusion following cardiac surgery are reported, the consequences can be catastrophic due to increased risk of mortality. Due to the rarity, prompt investigation and early management are crucial to manage this catastrophic sequelae. We report a case in which a 61-year-old female presented with acute coronary syndrome 4 months after surgical aortic valve replacement and was found to have 99% left main ostial coronary artery occlusion.

求助全文
通过发布文献求助,成功后即可免费获取论文全文。 去求助
来源期刊
CiteScore
1.90
自引率
0.00%
发文量
165
审稿时长
12 weeks
期刊介绍: The AFMR is committed to enhancing the training and career development of our members and to furthering its mission to facilitate the conduct of research to improve medical care. Case reports represent an important avenue for trainees (interns, residents, and fellows) and early-stage faculty to demonstrate productive, scholarly activity.
×
引用
GB/T 7714-2015
复制
MLA
复制
APA
复制
导出至
BibTeX EndNote RefMan NoteFirst NoteExpress
×
提示
您的信息不完整,为了账户安全,请先补充。
现在去补充
×
提示
您因"违规操作"
具体请查看互助需知
我知道了
×
提示
确定
请完成安全验证×
copy
已复制链接
快去分享给好友吧!
我知道了
右上角分享
点击右上角分享
0
联系我们:info@booksci.cn Book学术提供免费学术资源搜索服务,方便国内外学者检索中英文文献。致力于提供最便捷和优质的服务体验。 Copyright © 2023 布克学术 All rights reserved.
京ICP备2023020795号-1
ghs 京公网安备 11010802042870号
Book学术文献互助
Book学术文献互助群
群 号:604180095
Book学术官方微信