慢性斑块型银屑病患者阿达木单抗致肝毒性1例报告

IF 0.7 Q3 MEDICINE, GENERAL & INTERNAL
International Medical Case Reports Journal Pub Date : 2025-07-09 eCollection Date: 2025-01-01 DOI:10.2147/IMCRJ.S536412
Norah K Algarzae, Hend M Alotaibi, Ahmed H Alajlan, Muneera R AlSaleh, Alanoud A Alsalman
{"title":"慢性斑块型银屑病患者阿达木单抗致肝毒性1例报告","authors":"Norah K Algarzae, Hend M Alotaibi, Ahmed H Alajlan, Muneera R AlSaleh, Alanoud A Alsalman","doi":"10.2147/IMCRJ.S536412","DOIUrl":null,"url":null,"abstract":"<p><strong>Introduction: </strong>Adalimumab is a TNF-α antagonist used to treat psoriasis and rheumatologic conditions; it can rarely cause hepatotoxicity manifesting as elevated liver enzymes.</p><p><strong>Case presentation: </strong>Here, we present a case of a 24-year-old female with chronic plaque psoriasis with no history of liver disease or any risk factor for liver disease who developed a drug-induced liver injury upon treatment initiation with Adalimumab. This case report highlights the importance of monitoring liver function tests in patients receiving Adalimumab, early recognition, and prompt medication dosage adjustment or discontinuation. Early diagnosis and treatment of chronic plaque psoriasis is critical for improving prognosis, especially in the case of increased risk factors of liver disease due to the administration of Adalimumab.</p><p><strong>Conclusion: </strong>Our case presented a patient with no history of liver disease; however, she developed a drug-induced liver injury. Therefore, this case report is the first to emphasize the need for early recognition of LFTs upon Adalimumab administration, and prompt medication dosage adjustment or discontinuation is essential in patients receiving Adalimumab.</p>","PeriodicalId":14337,"journal":{"name":"International Medical Case Reports Journal","volume":"18 ","pages":"877-881"},"PeriodicalIF":0.7000,"publicationDate":"2025-07-09","publicationTypes":"Journal Article","fieldsOfStudy":null,"isOpenAccess":false,"openAccessPdf":"https://www.ncbi.nlm.nih.gov/pmc/articles/PMC12256697/pdf/","citationCount":"0","resultStr":"{\"title\":\"Hepatotoxicity Induced by Adalimumab in Chronic Plaque Psoriasis Patient: A Case Report.\",\"authors\":\"Norah K Algarzae, Hend M Alotaibi, Ahmed H Alajlan, Muneera R AlSaleh, Alanoud A Alsalman\",\"doi\":\"10.2147/IMCRJ.S536412\",\"DOIUrl\":null,\"url\":null,\"abstract\":\"<p><strong>Introduction: </strong>Adalimumab is a TNF-α antagonist used to treat psoriasis and rheumatologic conditions; it can rarely cause hepatotoxicity manifesting as elevated liver enzymes.</p><p><strong>Case presentation: </strong>Here, we present a case of a 24-year-old female with chronic plaque psoriasis with no history of liver disease or any risk factor for liver disease who developed a drug-induced liver injury upon treatment initiation with Adalimumab. This case report highlights the importance of monitoring liver function tests in patients receiving Adalimumab, early recognition, and prompt medication dosage adjustment or discontinuation. Early diagnosis and treatment of chronic plaque psoriasis is critical for improving prognosis, especially in the case of increased risk factors of liver disease due to the administration of Adalimumab.</p><p><strong>Conclusion: </strong>Our case presented a patient with no history of liver disease; however, she developed a drug-induced liver injury. Therefore, this case report is the first to emphasize the need for early recognition of LFTs upon Adalimumab administration, and prompt medication dosage adjustment or discontinuation is essential in patients receiving Adalimumab.</p>\",\"PeriodicalId\":14337,\"journal\":{\"name\":\"International Medical Case Reports Journal\",\"volume\":\"18 \",\"pages\":\"877-881\"},\"PeriodicalIF\":0.7000,\"publicationDate\":\"2025-07-09\",\"publicationTypes\":\"Journal Article\",\"fieldsOfStudy\":null,\"isOpenAccess\":false,\"openAccessPdf\":\"https://www.ncbi.nlm.nih.gov/pmc/articles/PMC12256697/pdf/\",\"citationCount\":\"0\",\"resultStr\":null,\"platform\":\"Semanticscholar\",\"paperid\":null,\"PeriodicalName\":\"International Medical Case Reports Journal\",\"FirstCategoryId\":\"1085\",\"ListUrlMain\":\"https://doi.org/10.2147/IMCRJ.S536412\",\"RegionNum\":0,\"RegionCategory\":null,\"ArticlePicture\":[],\"TitleCN\":null,\"AbstractTextCN\":null,\"PMCID\":null,\"EPubDate\":\"2025/1/1 0:00:00\",\"PubModel\":\"eCollection\",\"JCR\":\"Q3\",\"JCRName\":\"MEDICINE, GENERAL & INTERNAL\",\"Score\":null,\"Total\":0}","platform":"Semanticscholar","paperid":null,"PeriodicalName":"International Medical Case Reports Journal","FirstCategoryId":"1085","ListUrlMain":"https://doi.org/10.2147/IMCRJ.S536412","RegionNum":0,"RegionCategory":null,"ArticlePicture":[],"TitleCN":null,"AbstractTextCN":null,"PMCID":null,"EPubDate":"2025/1/1 0:00:00","PubModel":"eCollection","JCR":"Q3","JCRName":"MEDICINE, GENERAL & INTERNAL","Score":null,"Total":0}
引用次数: 0

摘要

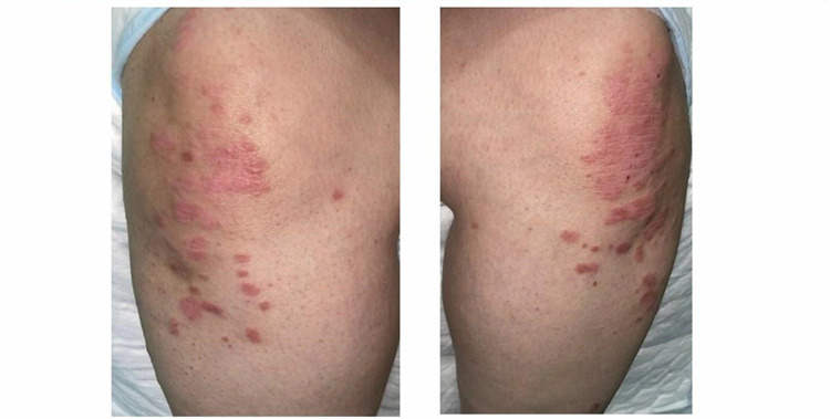
阿达木单抗是一种TNF-α拮抗剂,用于治疗牛皮癣和风湿病;它很少引起肝毒性,表现为肝酶升高。病例介绍:在这里,我们报告了一例24岁的女性慢性斑块性牛皮癣患者,无肝脏疾病史或任何肝脏疾病的危险因素,在阿达木单抗治疗开始后出现药物性肝损伤。本病例报告强调了在接受阿达木单抗治疗的患者中监测肝功能检查、早期识别和及时调整剂量或停药的重要性。慢性斑块型银屑病的早期诊断和治疗对于改善预后至关重要,特别是在阿达木单抗导致肝脏疾病危险因素增加的情况下。结论:本病例为无肝脏病史的患者;然而,她患上了药物性肝损伤。因此,本病例报告首次强调在阿达木单抗给药后早期识别LFTs的必要性,并且及时调整药物剂量或停药对接受阿达木单抗的患者至关重要。
本文章由计算机程序翻译,如有差异,请以英文原文为准。

Hepatotoxicity Induced by Adalimumab in Chronic Plaque Psoriasis Patient: A Case Report.

Hepatotoxicity Induced by Adalimumab in Chronic Plaque Psoriasis Patient: A Case Report.

Hepatotoxicity Induced by Adalimumab in Chronic Plaque Psoriasis Patient: A Case Report.

Introduction: Adalimumab is a TNF-α antagonist used to treat psoriasis and rheumatologic conditions; it can rarely cause hepatotoxicity manifesting as elevated liver enzymes.

Case presentation: Here, we present a case of a 24-year-old female with chronic plaque psoriasis with no history of liver disease or any risk factor for liver disease who developed a drug-induced liver injury upon treatment initiation with Adalimumab. This case report highlights the importance of monitoring liver function tests in patients receiving Adalimumab, early recognition, and prompt medication dosage adjustment or discontinuation. Early diagnosis and treatment of chronic plaque psoriasis is critical for improving prognosis, especially in the case of increased risk factors of liver disease due to the administration of Adalimumab.

Conclusion: Our case presented a patient with no history of liver disease; however, she developed a drug-induced liver injury. Therefore, this case report is the first to emphasize the need for early recognition of LFTs upon Adalimumab administration, and prompt medication dosage adjustment or discontinuation is essential in patients receiving Adalimumab.

求助全文
通过发布文献求助,成功后即可免费获取论文全文。 去求助
来源期刊
International Medical Case Reports Journal
International Medical Case Reports Journal MEDICINE, GENERAL & INTERNAL-
CiteScore
1.40
自引率
0.00%
发文量
135
审稿时长
16 weeks
期刊介绍: International Medical Case Reports Journal is an international, peer-reviewed, open access, online journal publishing original case reports from all medical specialties. Submissions should not normally exceed 3,000 words or 4 published pages including figures, diagrams and references. As of 1st April 2019, the International Medical Case Reports Journal will no longer consider meta-analyses for publication.
×
引用
GB/T 7714-2015
复制
MLA
复制
APA
复制
导出至
BibTeX EndNote RefMan NoteFirst NoteExpress
×
提示
您的信息不完整,为了账户安全,请先补充。
现在去补充
×
提示
您因"违规操作"
具体请查看互助需知
我知道了
×
提示
确定
请完成安全验证×
copy
已复制链接
快去分享给好友吧!
我知道了
右上角分享
点击右上角分享
0
联系我们:info@booksci.cn Book学术提供免费学术资源搜索服务,方便国内外学者检索中英文文献。致力于提供最便捷和优质的服务体验。 Copyright © 2023 布克学术 All rights reserved.
京ICP备2023020795号-1
ghs 京公网安备 11010802042870号
Book学术文献互助
Book学术文献互助群
群 号:604180095
Book学术官方微信