基底细胞癌起源于Favre-Racouchot综合征病变:一例罕见病例及文献复习。

IF 2.2 4区 医学 Q3 DERMATOLOGY
Clinical, Cosmetic and Investigational Dermatology Pub Date : 2025-07-09 eCollection Date: 2025-01-01 DOI:10.2147/CCID.S531359
Hui Li, Shuhua Li, Tiantian Dong, Jun Liu, Yi Sun
{"title":"基底细胞癌起源于Favre-Racouchot综合征病变:一例罕见病例及文献复习。","authors":"Hui Li, Shuhua Li, Tiantian Dong, Jun Liu, Yi Sun","doi":"10.2147/CCID.S531359","DOIUrl":null,"url":null,"abstract":"<p><p>Concurrence of Favre-Racouchot syndrome (FRS), a chronic dermatosis, and skin cancer is rare. In this study, we present an exceptionally rare case of basal cell carcinoma (BCC) arising within a FRS lesion. An 84-year-old female farmer had a mass in the lower left limb for 30 years without medical treatment. Over the past year, especially in the month prior to this visit, the mass enlarged significantly. On examination, a well-defined, rounded mass measuring approximately 4 cm in diameter was noted on the anterior aspect of the left calf. The mass had a rough surface with papillary hyperplasia and a mild erythema at the base. Open and closed comedones were observed, but no cysts or yellowish nodules were present. Histopathological analysis showed degradation and reduction of elastic fibers in the lesion dermis, along with the presence of comedones and cysts. Furthermore, scattered basaloid cell nests of varying sizes were present in the dermis, with peripheral tumor cells arranged in a palisading pattern. Peritumoral clefts were observed and the cell nuclei were hyperchromatic and occupied most of the cell. BCC associated with FRS was diagnosed. The patient underwent complete surgical excision. No recurrence was observed over an 18-month follow-up period. In conclusion, concurrence of BCC and FRS is rare. Delayed diagnosis of this condition can lead to more invasive disease progression. To improve early detection for timely treatment, clinicians should maintain a high index of suspicion for malignant transformation in patients with longstanding FRS, particularly those presenting with rapidly evolving lesions.</p>","PeriodicalId":10447,"journal":{"name":"Clinical, Cosmetic and Investigational Dermatology","volume":"18 ","pages":"1703-1708"},"PeriodicalIF":2.2000,"publicationDate":"2025-07-09","publicationTypes":"Journal Article","fieldsOfStudy":null,"isOpenAccess":false,"openAccessPdf":"https://www.ncbi.nlm.nih.gov/pmc/articles/PMC12256777/pdf/","citationCount":"0","resultStr":"{\"title\":\"Basal Cell Carcinoma Arising Within a Favre-Racouchot Syndrome Lesion: A Rare Case and Literature Review.\",\"authors\":\"Hui Li, Shuhua Li, Tiantian Dong, Jun Liu, Yi Sun\",\"doi\":\"10.2147/CCID.S531359\",\"DOIUrl\":null,\"url\":null,\"abstract\":\"<p><p>Concurrence of Favre-Racouchot syndrome (FRS), a chronic dermatosis, and skin cancer is rare. In this study, we present an exceptionally rare case of basal cell carcinoma (BCC) arising within a FRS lesion. An 84-year-old female farmer had a mass in the lower left limb for 30 years without medical treatment. Over the past year, especially in the month prior to this visit, the mass enlarged significantly. On examination, a well-defined, rounded mass measuring approximately 4 cm in diameter was noted on the anterior aspect of the left calf. The mass had a rough surface with papillary hyperplasia and a mild erythema at the base. Open and closed comedones were observed, but no cysts or yellowish nodules were present. Histopathological analysis showed degradation and reduction of elastic fibers in the lesion dermis, along with the presence of comedones and cysts. Furthermore, scattered basaloid cell nests of varying sizes were present in the dermis, with peripheral tumor cells arranged in a palisading pattern. Peritumoral clefts were observed and the cell nuclei were hyperchromatic and occupied most of the cell. BCC associated with FRS was diagnosed. The patient underwent complete surgical excision. No recurrence was observed over an 18-month follow-up period. In conclusion, concurrence of BCC and FRS is rare. Delayed diagnosis of this condition can lead to more invasive disease progression. To improve early detection for timely treatment, clinicians should maintain a high index of suspicion for malignant transformation in patients with longstanding FRS, particularly those presenting with rapidly evolving lesions.</p>\",\"PeriodicalId\":10447,\"journal\":{\"name\":\"Clinical, Cosmetic and Investigational Dermatology\",\"volume\":\"18 \",\"pages\":\"1703-1708\"},\"PeriodicalIF\":2.2000,\"publicationDate\":\"2025-07-09\",\"publicationTypes\":\"Journal Article\",\"fieldsOfStudy\":null,\"isOpenAccess\":false,\"openAccessPdf\":\"https://www.ncbi.nlm.nih.gov/pmc/articles/PMC12256777/pdf/\",\"citationCount\":\"0\",\"resultStr\":null,\"platform\":\"Semanticscholar\",\"paperid\":null,\"PeriodicalName\":\"Clinical, Cosmetic and Investigational Dermatology\",\"FirstCategoryId\":\"3\",\"ListUrlMain\":\"https://doi.org/10.2147/CCID.S531359\",\"RegionNum\":4,\"RegionCategory\":\"医学\",\"ArticlePicture\":[],\"TitleCN\":null,\"AbstractTextCN\":null,\"PMCID\":null,\"EPubDate\":\"2025/1/1 0:00:00\",\"PubModel\":\"eCollection\",\"JCR\":\"Q3\",\"JCRName\":\"DERMATOLOGY\",\"Score\":null,\"Total\":0}","platform":"Semanticscholar","paperid":null,"PeriodicalName":"Clinical, Cosmetic and Investigational Dermatology","FirstCategoryId":"3","ListUrlMain":"https://doi.org/10.2147/CCID.S531359","RegionNum":4,"RegionCategory":"医学","ArticlePicture":[],"TitleCN":null,"AbstractTextCN":null,"PMCID":null,"EPubDate":"2025/1/1 0:00:00","PubModel":"eCollection","JCR":"Q3","JCRName":"DERMATOLOGY","Score":null,"Total":0}
引用次数: 0

摘要

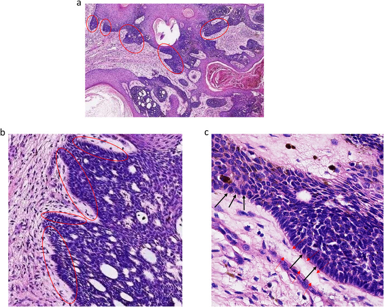
Favre-Racouchot综合征(FRS),一种慢性皮肤病,并发皮肤癌是罕见的。在本研究中,我们报告了一例罕见的基底细胞癌(BCC)发生在FRS病变内。84岁女农民左下肢肿块30年未治疗。在过去的一年中,特别是在这次访问之前的一个月,肿块明显扩大。检查时,在左小腿前部发现一个轮廓清晰的圆形肿块,直径约为4厘米。肿块表面粗糙,乳头状增生,底部有轻度红斑。开放性和闭合性秃发均可见,未见囊肿或淡黄色结节。组织病理学分析显示病变真皮弹性纤维降解和减少,同时出现秃发和囊肿。此外,真皮内分布有大小不等的基底细胞巢,周围肿瘤细胞呈栅栏状排列。肿瘤周围有裂隙,细胞核深染,占据了大部分细胞。诊断为伴有FRS的BCC。病人接受了完全的手术切除。随访18个月未见复发。总之,BCC合并FRS是罕见的。这种情况的延迟诊断可能导致更多的侵袭性疾病进展。为了提高早期发现和及时治疗,临床医生应该对长期FRS患者的恶性转化保持高度的怀疑,特别是那些表现为快速发展的病变的患者。
本文章由计算机程序翻译,如有差异,请以英文原文为准。

Basal Cell Carcinoma Arising Within a Favre-Racouchot Syndrome Lesion: A Rare Case and Literature Review.

Basal Cell Carcinoma Arising Within a Favre-Racouchot Syndrome Lesion: A Rare Case and Literature Review.

Basal Cell Carcinoma Arising Within a Favre-Racouchot Syndrome Lesion: A Rare Case and Literature Review.

Concurrence of Favre-Racouchot syndrome (FRS), a chronic dermatosis, and skin cancer is rare. In this study, we present an exceptionally rare case of basal cell carcinoma (BCC) arising within a FRS lesion. An 84-year-old female farmer had a mass in the lower left limb for 30 years without medical treatment. Over the past year, especially in the month prior to this visit, the mass enlarged significantly. On examination, a well-defined, rounded mass measuring approximately 4 cm in diameter was noted on the anterior aspect of the left calf. The mass had a rough surface with papillary hyperplasia and a mild erythema at the base. Open and closed comedones were observed, but no cysts or yellowish nodules were present. Histopathological analysis showed degradation and reduction of elastic fibers in the lesion dermis, along with the presence of comedones and cysts. Furthermore, scattered basaloid cell nests of varying sizes were present in the dermis, with peripheral tumor cells arranged in a palisading pattern. Peritumoral clefts were observed and the cell nuclei were hyperchromatic and occupied most of the cell. BCC associated with FRS was diagnosed. The patient underwent complete surgical excision. No recurrence was observed over an 18-month follow-up period. In conclusion, concurrence of BCC and FRS is rare. Delayed diagnosis of this condition can lead to more invasive disease progression. To improve early detection for timely treatment, clinicians should maintain a high index of suspicion for malignant transformation in patients with longstanding FRS, particularly those presenting with rapidly evolving lesions.

求助全文
通过发布文献求助,成功后即可免费获取论文全文。 去求助
来源期刊
CiteScore
2.80
自引率
4.30%
发文量
353
审稿时长
16 weeks
期刊介绍: Clinical, Cosmetic and Investigational Dermatology is an international, peer-reviewed, open access journal that focuses on the latest clinical and experimental research in all aspects of skin disease and cosmetic interventions. Normal and pathological processes in skin development and aging, their modification and treatment, as well as basic research into histology of dermal and dermal structures that provide clinical insights and potential treatment options are key topics for the journal. Patient satisfaction, preference, quality of life, compliance, persistence and their role in developing new management options to optimize outcomes for target conditions constitute major areas of interest. The journal is characterized by the rapid reporting of clinical studies, reviews and original research in skin research and skin care. All areas of dermatology will be covered; contributions will be welcomed from all clinicians and basic science researchers globally.
×
引用
GB/T 7714-2015
复制
MLA
复制
APA
复制
导出至
BibTeX EndNote RefMan NoteFirst NoteExpress
×
提示
您的信息不完整,为了账户安全,请先补充。
现在去补充
×
提示
您因"违规操作"
具体请查看互助需知
我知道了
×
提示
确定
请完成安全验证×
copy
已复制链接
快去分享给好友吧!
我知道了
右上角分享
点击右上角分享
0
联系我们:info@booksci.cn Book学术提供免费学术资源搜索服务,方便国内外学者检索中英文文献。致力于提供最便捷和优质的服务体验。 Copyright © 2023 布克学术 All rights reserved.
京ICP备2023020795号-1
ghs 京公网安备 11010802042870号
Book学术文献互助
Book学术文献互助群
群 号:604180095
Book学术官方微信