微波消融与联合微波消融和经动脉化疗栓塞治疗T1a肾细胞癌:单中心回顾性研究

IF 1.9 3区 医学 Q3 UROLOGY & NEPHROLOGY
Çağrı Erdim, Sıla Solak, Mehmet Hamza Türkcanoğlu, Mustafa Fatih Arslan, Özgür Kılıçkesmez
{"title":"微波消融与联合微波消融和经动脉化疗栓塞治疗T1a肾细胞癌:单中心回顾性研究","authors":"Çağrı Erdim, Sıla Solak, Mehmet Hamza Türkcanoğlu, Mustafa Fatih Arslan, Özgür Kılıçkesmez","doi":"10.1186/s12894-025-01858-9","DOIUrl":null,"url":null,"abstract":"","PeriodicalId":9285,"journal":{"name":"BMC Urology","volume":"25 1","pages":"167"},"PeriodicalIF":1.9000,"publicationDate":"2025-07-14","publicationTypes":"Journal Article","fieldsOfStudy":null,"isOpenAccess":false,"openAccessPdf":"https://www.ncbi.nlm.nih.gov/pmc/articles/PMC12257777/pdf/","citationCount":"0","resultStr":"{\"title\":\"Microwave ablation versus combined microwave ablation and transarterial chemoembolization for T1a renal cell carcinoma: a Single-Center retrospective study.\",\"authors\":\"Çağrı Erdim, Sıla Solak, Mehmet Hamza Türkcanoğlu, Mustafa Fatih Arslan, Özgür Kılıçkesmez\",\"doi\":\"10.1186/s12894-025-01858-9\",\"DOIUrl\":null,\"url\":null,\"abstract\":\"\",\"PeriodicalId\":9285,\"journal\":{\"name\":\"BMC Urology\",\"volume\":\"25 1\",\"pages\":\"167\"},\"PeriodicalIF\":1.9000,\"publicationDate\":\"2025-07-14\",\"publicationTypes\":\"Journal Article\",\"fieldsOfStudy\":null,\"isOpenAccess\":false,\"openAccessPdf\":\"https://www.ncbi.nlm.nih.gov/pmc/articles/PMC12257777/pdf/\",\"citationCount\":\"0\",\"resultStr\":null,\"platform\":\"Semanticscholar\",\"paperid\":null,\"PeriodicalName\":\"BMC Urology\",\"FirstCategoryId\":\"3\",\"ListUrlMain\":\"https://doi.org/10.1186/s12894-025-01858-9\",\"RegionNum\":3,\"RegionCategory\":\"医学\",\"ArticlePicture\":[],\"TitleCN\":null,\"AbstractTextCN\":null,\"PMCID\":null,\"EPubDate\":\"\",\"PubModel\":\"\",\"JCR\":\"Q3\",\"JCRName\":\"UROLOGY & NEPHROLOGY\",\"Score\":null,\"Total\":0}","platform":"Semanticscholar","paperid":null,"PeriodicalName":"BMC Urology","FirstCategoryId":"3","ListUrlMain":"https://doi.org/10.1186/s12894-025-01858-9","RegionNum":3,"RegionCategory":"医学","ArticlePicture":[],"TitleCN":null,"AbstractTextCN":null,"PMCID":null,"EPubDate":"","PubModel":"","JCR":"Q3","JCRName":"UROLOGY & NEPHROLOGY","Score":null,"Total":0}
引用次数: 0

摘要

本文章由计算机程序翻译,如有差异,请以英文原文为准。

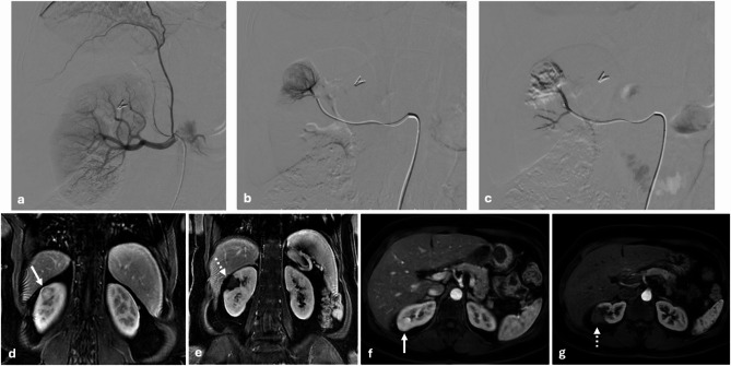
Microwave ablation versus combined microwave ablation and transarterial chemoembolization for T1a renal cell carcinoma: a Single-Center retrospective study.

Microwave ablation versus combined microwave ablation and transarterial chemoembolization for T1a renal cell carcinoma: a Single-Center retrospective study.

Microwave ablation versus combined microwave ablation and transarterial chemoembolization for T1a renal cell carcinoma: a Single-Center retrospective study.

Microwave ablation versus combined microwave ablation and transarterial chemoembolization for T1a renal cell carcinoma: a Single-Center retrospective study.
求助全文
通过发布文献求助,成功后即可免费获取论文全文。 去求助
来源期刊
BMC Urology
BMC Urology UROLOGY & NEPHROLOGY-
CiteScore
3.20
自引率
0.00%
发文量
177
审稿时长
>12 weeks
期刊介绍: BMC Urology is an open access journal publishing original peer-reviewed research articles in all aspects of the prevention, diagnosis and management of urological disorders, as well as related molecular genetics, pathophysiology, and epidemiology. The journal considers manuscripts in the following broad subject-specific sections of urology: Endourology and technology Epidemiology and health outcomes Pediatric urology Pre-clinical and basic research Reconstructive urology Sexual function and fertility Urological imaging Urological oncology Voiding dysfunction Case reports.
×
引用
GB/T 7714-2015
复制
MLA
复制
APA
复制
导出至
BibTeX EndNote RefMan NoteFirst NoteExpress
×
提示
您的信息不完整,为了账户安全,请先补充。
现在去补充
×
提示
您因"违规操作"
具体请查看互助需知
我知道了
×
提示
确定
请完成安全验证×
copy
已复制链接
快去分享给好友吧!
我知道了
右上角分享
点击右上角分享
0
联系我们:info@booksci.cn Book学术提供免费学术资源搜索服务,方便国内外学者检索中英文文献。致力于提供最便捷和优质的服务体验。 Copyright © 2023 布克学术 All rights reserved.
京ICP备2023020795号-1
ghs 京公网安备 11010802042870号
Book学术文献互助
Book学术文献互助群
群 号:604180095
Book学术官方微信