双重危险:罕见的外伤性视神经病变并发视网膜中央动脉闭塞1例。

IF 0.6 Q4 OPHTHALMOLOGY
Case Reports in Ophthalmology Pub Date : 2025-06-05 eCollection Date: 2025-01-01 DOI:10.1159/000546759
Narges Karrabi, Maryam Najafi, Amirreza Veisi, Tara Bakhshian, Omid Emadi, Shayan Heshmati
{"title":"双重危险:罕见的外伤性视神经病变并发视网膜中央动脉闭塞1例。","authors":"Narges Karrabi, Maryam Najafi, Amirreza Veisi, Tara Bakhshian, Omid Emadi, Shayan Heshmati","doi":"10.1159/000546759","DOIUrl":null,"url":null,"abstract":"<p><strong>Introduction: </strong>The co-occurrence of traumatic optic neuropathy (TON) and central retinal artery occlusion (CRAO) presents a significant clinical challenge due to their complex interactions and potential for profound visual impairment. This case report details a rare instance of both conditions following blunt ocular trauma, aiming to enhance understanding of their interplay and the necessity for timely intervention.</p><p><strong>Case report: </strong>A 45-year-old woman presented with sudden vision loss in her right eye 3 h after sustaining blunt trauma from a wood fragment while chopping firewood. Initial examination revealed no light perception (NLP) in the affected eye and a relative afferent pupillary defect. Imaging revealed hyperdensity and thickening of the posterior sclera, the intraocular and anterior intraorbital optic nerve. Despite administration of intravenous steroids and a neurosurgical consultation for TON, retinal evaluation 1 day post-trauma revealed retinal edema, pallor, multiple vascular occlusions, and a cherry-red spot, leading to a diagnosis of CRAO associated with TON. Ongoing follow-ups showed persistent NLP in the right eye.</p><p><strong>Conclusion: </strong>This case underscores the potential for concurrent TON and CRAO following ocular trauma, leading to a complex visual outcome, while also examining the underlying mechanisms that may contribute to this phenomenon. The report highlights the need for further investigation into effective therapeutic strategies and underscores the complexities involved in managing traumatic ocular conditions. Future studies should focus on optimizing medical or surgical interventions to improve visual outcomes for patients facing this challenging combination of injuries.</p>","PeriodicalId":9635,"journal":{"name":"Case Reports in Ophthalmology","volume":"16 1","pages":"489-495"},"PeriodicalIF":0.6000,"publicationDate":"2025-06-05","publicationTypes":"Journal Article","fieldsOfStudy":null,"isOpenAccess":false,"openAccessPdf":"https://www.ncbi.nlm.nih.gov/pmc/articles/PMC12258874/pdf/","citationCount":"0","resultStr":"{\"title\":\"Double Jeopardy: Uncommon Concurrent Traumatic Optic Neuropathy and Central Retinal Artery Occlusion - A Case Report.\",\"authors\":\"Narges Karrabi, Maryam Najafi, Amirreza Veisi, Tara Bakhshian, Omid Emadi, Shayan Heshmati\",\"doi\":\"10.1159/000546759\",\"DOIUrl\":null,\"url\":null,\"abstract\":\"<p><strong>Introduction: </strong>The co-occurrence of traumatic optic neuropathy (TON) and central retinal artery occlusion (CRAO) presents a significant clinical challenge due to their complex interactions and potential for profound visual impairment. This case report details a rare instance of both conditions following blunt ocular trauma, aiming to enhance understanding of their interplay and the necessity for timely intervention.</p><p><strong>Case report: </strong>A 45-year-old woman presented with sudden vision loss in her right eye 3 h after sustaining blunt trauma from a wood fragment while chopping firewood. Initial examination revealed no light perception (NLP) in the affected eye and a relative afferent pupillary defect. Imaging revealed hyperdensity and thickening of the posterior sclera, the intraocular and anterior intraorbital optic nerve. Despite administration of intravenous steroids and a neurosurgical consultation for TON, retinal evaluation 1 day post-trauma revealed retinal edema, pallor, multiple vascular occlusions, and a cherry-red spot, leading to a diagnosis of CRAO associated with TON. Ongoing follow-ups showed persistent NLP in the right eye.</p><p><strong>Conclusion: </strong>This case underscores the potential for concurrent TON and CRAO following ocular trauma, leading to a complex visual outcome, while also examining the underlying mechanisms that may contribute to this phenomenon. The report highlights the need for further investigation into effective therapeutic strategies and underscores the complexities involved in managing traumatic ocular conditions. Future studies should focus on optimizing medical or surgical interventions to improve visual outcomes for patients facing this challenging combination of injuries.</p>\",\"PeriodicalId\":9635,\"journal\":{\"name\":\"Case Reports in Ophthalmology\",\"volume\":\"16 1\",\"pages\":\"489-495\"},\"PeriodicalIF\":0.6000,\"publicationDate\":\"2025-06-05\",\"publicationTypes\":\"Journal Article\",\"fieldsOfStudy\":null,\"isOpenAccess\":false,\"openAccessPdf\":\"https://www.ncbi.nlm.nih.gov/pmc/articles/PMC12258874/pdf/\",\"citationCount\":\"0\",\"resultStr\":null,\"platform\":\"Semanticscholar\",\"paperid\":null,\"PeriodicalName\":\"Case Reports in Ophthalmology\",\"FirstCategoryId\":\"1085\",\"ListUrlMain\":\"https://doi.org/10.1159/000546759\",\"RegionNum\":0,\"RegionCategory\":null,\"ArticlePicture\":[],\"TitleCN\":null,\"AbstractTextCN\":null,\"PMCID\":null,\"EPubDate\":\"2025/1/1 0:00:00\",\"PubModel\":\"eCollection\",\"JCR\":\"Q4\",\"JCRName\":\"OPHTHALMOLOGY\",\"Score\":null,\"Total\":0}","platform":"Semanticscholar","paperid":null,"PeriodicalName":"Case Reports in Ophthalmology","FirstCategoryId":"1085","ListUrlMain":"https://doi.org/10.1159/000546759","RegionNum":0,"RegionCategory":null,"ArticlePicture":[],"TitleCN":null,"AbstractTextCN":null,"PMCID":null,"EPubDate":"2025/1/1 0:00:00","PubModel":"eCollection","JCR":"Q4","JCRName":"OPHTHALMOLOGY","Score":null,"Total":0}
引用次数: 0

摘要

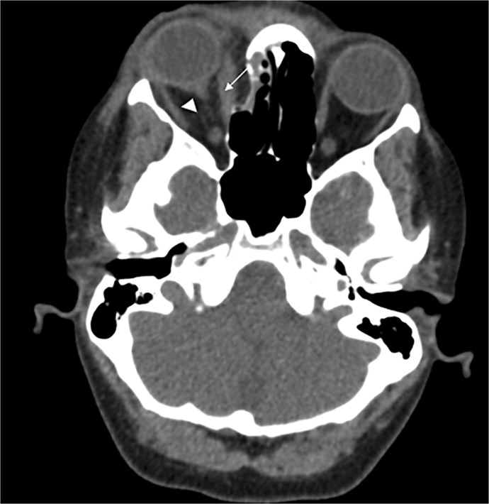
外伤性视神经病变(TON)和视网膜中央动脉闭塞(CRAO)的共同发生,由于它们复杂的相互作用和潜在的严重视力损害,提出了一个重大的临床挑战。本病例报告详细介绍了一个罕见的钝性眼外伤后两种情况的实例,旨在加强对它们相互作用的理解和及时干预的必要性。病例报告:一名45岁妇女在砍柴时被木头碎片钝挫伤,3小时后右眼突然失明。初步检查显示无光知觉(NLP)在受影响的眼睛和传入瞳孔缺损相对。影像显示后巩膜、眼内及眶内前视神经高密度及增厚。尽管静脉注射类固醇并为TON进行了神经外科会诊,但创伤后1天的视网膜评估显示视网膜水肿、苍白、多血管闭塞和樱桃红色斑点,从而诊断为与TON相关的CRAO。持续的随访显示右眼存在持续性NLP。结论:本病例强调了眼外伤后并发TON和cro的可能性,导致复杂的视觉结果,同时也研究了可能导致这种现象的潜在机制。该报告强调需要进一步研究有效的治疗策略,并强调处理创伤性眼病的复杂性。未来的研究应侧重于优化医疗或手术干预措施,以改善面临这种具有挑战性的损伤组合的患者的视力结果。
本文章由计算机程序翻译,如有差异,请以英文原文为准。

Double Jeopardy: Uncommon Concurrent Traumatic Optic Neuropathy and Central Retinal Artery Occlusion - A Case Report.

Double Jeopardy: Uncommon Concurrent Traumatic Optic Neuropathy and Central Retinal Artery Occlusion - A Case Report.

Double Jeopardy: Uncommon Concurrent Traumatic Optic Neuropathy and Central Retinal Artery Occlusion - A Case Report.

Double Jeopardy: Uncommon Concurrent Traumatic Optic Neuropathy and Central Retinal Artery Occlusion - A Case Report.

Introduction: The co-occurrence of traumatic optic neuropathy (TON) and central retinal artery occlusion (CRAO) presents a significant clinical challenge due to their complex interactions and potential for profound visual impairment. This case report details a rare instance of both conditions following blunt ocular trauma, aiming to enhance understanding of their interplay and the necessity for timely intervention.

Case report: A 45-year-old woman presented with sudden vision loss in her right eye 3 h after sustaining blunt trauma from a wood fragment while chopping firewood. Initial examination revealed no light perception (NLP) in the affected eye and a relative afferent pupillary defect. Imaging revealed hyperdensity and thickening of the posterior sclera, the intraocular and anterior intraorbital optic nerve. Despite administration of intravenous steroids and a neurosurgical consultation for TON, retinal evaluation 1 day post-trauma revealed retinal edema, pallor, multiple vascular occlusions, and a cherry-red spot, leading to a diagnosis of CRAO associated with TON. Ongoing follow-ups showed persistent NLP in the right eye.

Conclusion: This case underscores the potential for concurrent TON and CRAO following ocular trauma, leading to a complex visual outcome, while also examining the underlying mechanisms that may contribute to this phenomenon. The report highlights the need for further investigation into effective therapeutic strategies and underscores the complexities involved in managing traumatic ocular conditions. Future studies should focus on optimizing medical or surgical interventions to improve visual outcomes for patients facing this challenging combination of injuries.

求助全文
通过发布文献求助,成功后即可免费获取论文全文。 去求助
来源期刊
CiteScore
0.90
自引率
0.00%
发文量
129
审稿时长
12 weeks
期刊介绍: This peer-reviewed online-only journal publishes original case reports covering the entire spectrum of ophthalmology, including prevention, diagnosis, treatment, toxicities of therapy, supportive care, quality-of-life, and survivorship issues. The submission of negative results is strongly encouraged. The journal will also accept case reports dealing with the use of novel technologies, both in the arena of diagnosis and treatment. Supplementary material is welcomed. The intent of the journal is to provide clinicians and researchers with a tool to disseminate their personal experiences to a wider public as well as to review interesting cases encountered by colleagues all over the world. Universally used terms can be searched across the entire growing collection of case reports, further facilitating the retrieval of specific information. Following the open access principle, the entire contents can be retrieved at no charge, guaranteeing easy access to this valuable source of anecdotal information at all times.
×
引用
GB/T 7714-2015
复制
MLA
复制
APA
复制
导出至
BibTeX EndNote RefMan NoteFirst NoteExpress
×
提示
您的信息不完整,为了账户安全,请先补充。
现在去补充
×
提示
您因"违规操作"
具体请查看互助需知
我知道了
×
提示
确定
请完成安全验证×
copy
已复制链接
快去分享给好友吧!
我知道了
右上角分享
点击右上角分享
0
联系我们:info@booksci.cn Book学术提供免费学术资源搜索服务,方便国内外学者检索中英文文献。致力于提供最便捷和优质的服务体验。 Copyright © 2023 布克学术 All rights reserved.
京ICP备2023020795号-1
ghs 京公网安备 11010802042870号
Book学术文献互助
Book学术文献互助群
群 号:604180095
Book学术官方微信