印度尼西亚苏拉威西中部纳普河谷的脑血吸虫病。

IF 0.7 Q3 MEDICINE, GENERAL & INTERNAL
Case Reports in Medicine Pub Date : 2025-07-01 eCollection Date: 2025-01-01 DOI:10.1155/carm/4781807
Prawesty Diah Utami, Yunita Surya Pratiwi, Retno Budiarti, Wienta Diarsvitri
{"title":"印度尼西亚苏拉威西中部纳普河谷的脑血吸虫病。","authors":"Prawesty Diah Utami, Yunita Surya Pratiwi, Retno Budiarti, Wienta Diarsvitri","doi":"10.1155/carm/4781807","DOIUrl":null,"url":null,"abstract":"<p><p>Schistosomiasis is one of the neglected tropical diseases caused by parasitic worm infections of the genus <i>Schistosoma</i>. Involvement of the brain in schistosomiasis represents a particularly severe manifestation of the infection. Accurate diagnosis and appropriate treatment of cerebral schistosomiasis are essential, especially in our healthcare facility located in a remote area of Indonesia, where available resources are highly limited. We reported a 31-year-old female patient complaining of tonic-clonic convulsions. Before experiencing seizures, the patient reported experiencing headaches for 6 months. The patient's anamnesis regarding her social life revealed that she has been employed on a plantation for 15 years; the plantation serves as a natural habitat for snails, intermediate hosts for <i>Schistosoma</i> sp. Serological examinations were not performed due to the constraints of diagnostic instruments in the region. Cerebral schistosomiasis diagnosis was verified based on biopsy, stool examination, and CT scan results. She was admitted with a combination of steroids and praziquantel at a dosage of 60 mg/kg single dose. She was released after 14 days in satisfactory overall health. The follow-up CT scan revealed improvement, corroborated by the patient's clinical recovery. This report emphasizes the diagnostic obstacles associated with cerebral schistosomiasis, particularly in remote regions and resource-limited settings in Indonesia. Despite the absence of serological testing, a definitive diagnosis was successfully established through radiological imaging, stool microscopic examination, and brain tissue biopsy (histopathological analysis) which revealed <i>Schistosoma</i> eggs surrounded by granulomatous inflammation. The patient presented with space-occupying brain lesions and neurological symptoms, but without hepatic involvement, making the diagnosis less straightforward. This case illustrates the significance of recognizing cerebral schistosomiasis as a differential diagnosis in patients presenting cerebral lesions in endemic locations. Diagnosis of cerebral schistosomiasis based on a detailed social occupational history correlated with radiological imaging, stool microscopic examination, and brain tissue biopsy (histopathological analysis) is essential when other diagnostic tools (serological testing) are unavailable.</p>","PeriodicalId":9627,"journal":{"name":"Case Reports in Medicine","volume":"2025 ","pages":"4781807"},"PeriodicalIF":0.7000,"publicationDate":"2025-07-01","publicationTypes":"Journal Article","fieldsOfStudy":null,"isOpenAccess":false,"openAccessPdf":"https://www.ncbi.nlm.nih.gov/pmc/articles/PMC12256173/pdf/","citationCount":"0","resultStr":"{\"title\":\"Cerebral Schistosomiasis in the Napu Valley, Central Sulawesi, Indonesia.\",\"authors\":\"Prawesty Diah Utami, Yunita Surya Pratiwi, Retno Budiarti, Wienta Diarsvitri\",\"doi\":\"10.1155/carm/4781807\",\"DOIUrl\":null,\"url\":null,\"abstract\":\"<p><p>Schistosomiasis is one of the neglected tropical diseases caused by parasitic worm infections of the genus <i>Schistosoma</i>. Involvement of the brain in schistosomiasis represents a particularly severe manifestation of the infection. Accurate diagnosis and appropriate treatment of cerebral schistosomiasis are essential, especially in our healthcare facility located in a remote area of Indonesia, where available resources are highly limited. We reported a 31-year-old female patient complaining of tonic-clonic convulsions. Before experiencing seizures, the patient reported experiencing headaches for 6 months. The patient's anamnesis regarding her social life revealed that she has been employed on a plantation for 15 years; the plantation serves as a natural habitat for snails, intermediate hosts for <i>Schistosoma</i> sp. Serological examinations were not performed due to the constraints of diagnostic instruments in the region. Cerebral schistosomiasis diagnosis was verified based on biopsy, stool examination, and CT scan results. She was admitted with a combination of steroids and praziquantel at a dosage of 60 mg/kg single dose. She was released after 14 days in satisfactory overall health. The follow-up CT scan revealed improvement, corroborated by the patient's clinical recovery. This report emphasizes the diagnostic obstacles associated with cerebral schistosomiasis, particularly in remote regions and resource-limited settings in Indonesia. Despite the absence of serological testing, a definitive diagnosis was successfully established through radiological imaging, stool microscopic examination, and brain tissue biopsy (histopathological analysis) which revealed <i>Schistosoma</i> eggs surrounded by granulomatous inflammation. The patient presented with space-occupying brain lesions and neurological symptoms, but without hepatic involvement, making the diagnosis less straightforward. This case illustrates the significance of recognizing cerebral schistosomiasis as a differential diagnosis in patients presenting cerebral lesions in endemic locations. Diagnosis of cerebral schistosomiasis based on a detailed social occupational history correlated with radiological imaging, stool microscopic examination, and brain tissue biopsy (histopathological analysis) is essential when other diagnostic tools (serological testing) are unavailable.</p>\",\"PeriodicalId\":9627,\"journal\":{\"name\":\"Case Reports in Medicine\",\"volume\":\"2025 \",\"pages\":\"4781807\"},\"PeriodicalIF\":0.7000,\"publicationDate\":\"2025-07-01\",\"publicationTypes\":\"Journal Article\",\"fieldsOfStudy\":null,\"isOpenAccess\":false,\"openAccessPdf\":\"https://www.ncbi.nlm.nih.gov/pmc/articles/PMC12256173/pdf/\",\"citationCount\":\"0\",\"resultStr\":null,\"platform\":\"Semanticscholar\",\"paperid\":null,\"PeriodicalName\":\"Case Reports in Medicine\",\"FirstCategoryId\":\"1085\",\"ListUrlMain\":\"https://doi.org/10.1155/carm/4781807\",\"RegionNum\":0,\"RegionCategory\":null,\"ArticlePicture\":[],\"TitleCN\":null,\"AbstractTextCN\":null,\"PMCID\":null,\"EPubDate\":\"2025/1/1 0:00:00\",\"PubModel\":\"eCollection\",\"JCR\":\"Q3\",\"JCRName\":\"MEDICINE, GENERAL & INTERNAL\",\"Score\":null,\"Total\":0}","platform":"Semanticscholar","paperid":null,"PeriodicalName":"Case Reports in Medicine","FirstCategoryId":"1085","ListUrlMain":"https://doi.org/10.1155/carm/4781807","RegionNum":0,"RegionCategory":null,"ArticlePicture":[],"TitleCN":null,"AbstractTextCN":null,"PMCID":null,"EPubDate":"2025/1/1 0:00:00","PubModel":"eCollection","JCR":"Q3","JCRName":"MEDICINE, GENERAL & INTERNAL","Score":null,"Total":0}
引用次数: 0

摘要

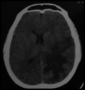
血吸虫病是由血吸虫属寄生虫感染引起的被忽视的热带病之一。血吸虫病累及大脑是感染的一种特别严重的表现。准确诊断和适当治疗脑血吸虫病至关重要,特别是在我们位于印度尼西亚偏远地区的卫生保健设施中,那里的可用资源非常有限。我们报告了一位31岁的女性患者,主诉强直阵挛性惊厥。在癫痫发作前,患者报告头痛6个月。患者对社会生活的记忆显示,她在一个种植园工作了15年;该种植园是蜗牛的自然栖息地,蜗牛是血吸虫的中间宿主。由于该地区诊断仪器的限制,未进行血清学检查。根据活检、粪便检查和CT扫描结果证实脑血吸虫病的诊断。患者入院时使用类固醇和吡喹酮联合用药,单次剂量为60mg /kg。她在14天后出院,总体健康状况令人满意。后续的CT扫描显示改善,证实了患者的临床恢复。本报告强调了与脑血吸虫病相关的诊断障碍,特别是在印度尼西亚的偏远地区和资源有限的环境中。尽管缺乏血清学检测,但通过放射成像、粪便显微镜检查和脑组织活检(组织病理学分析)成功地建立了明确的诊断,发现血吸虫卵周围有肉芽肿性炎症。患者表现为脑部占位性病变和神经系统症状,但未累及肝脏,使诊断不太直截了当。本病例说明了在流行地区出现脑病变的患者中,将脑血吸虫病作为鉴别诊断的重要性。当没有其他诊断工具(血清学检测)时,基于与放射成像、粪便显微镜检查和脑组织活检(组织病理学分析)相关的详细社会职业史来诊断脑血吸虫病是必不可少的。
本文章由计算机程序翻译,如有差异,请以英文原文为准。

Cerebral Schistosomiasis in the Napu Valley, Central Sulawesi, Indonesia.

Cerebral Schistosomiasis in the Napu Valley, Central Sulawesi, Indonesia.

Cerebral Schistosomiasis in the Napu Valley, Central Sulawesi, Indonesia.

Schistosomiasis is one of the neglected tropical diseases caused by parasitic worm infections of the genus Schistosoma. Involvement of the brain in schistosomiasis represents a particularly severe manifestation of the infection. Accurate diagnosis and appropriate treatment of cerebral schistosomiasis are essential, especially in our healthcare facility located in a remote area of Indonesia, where available resources are highly limited. We reported a 31-year-old female patient complaining of tonic-clonic convulsions. Before experiencing seizures, the patient reported experiencing headaches for 6 months. The patient's anamnesis regarding her social life revealed that she has been employed on a plantation for 15 years; the plantation serves as a natural habitat for snails, intermediate hosts for Schistosoma sp. Serological examinations were not performed due to the constraints of diagnostic instruments in the region. Cerebral schistosomiasis diagnosis was verified based on biopsy, stool examination, and CT scan results. She was admitted with a combination of steroids and praziquantel at a dosage of 60 mg/kg single dose. She was released after 14 days in satisfactory overall health. The follow-up CT scan revealed improvement, corroborated by the patient's clinical recovery. This report emphasizes the diagnostic obstacles associated with cerebral schistosomiasis, particularly in remote regions and resource-limited settings in Indonesia. Despite the absence of serological testing, a definitive diagnosis was successfully established through radiological imaging, stool microscopic examination, and brain tissue biopsy (histopathological analysis) which revealed Schistosoma eggs surrounded by granulomatous inflammation. The patient presented with space-occupying brain lesions and neurological symptoms, but without hepatic involvement, making the diagnosis less straightforward. This case illustrates the significance of recognizing cerebral schistosomiasis as a differential diagnosis in patients presenting cerebral lesions in endemic locations. Diagnosis of cerebral schistosomiasis based on a detailed social occupational history correlated with radiological imaging, stool microscopic examination, and brain tissue biopsy (histopathological analysis) is essential when other diagnostic tools (serological testing) are unavailable.

求助全文
通过发布文献求助,成功后即可免费获取论文全文。 去求助
来源期刊
Case Reports in Medicine
Case Reports in Medicine MEDICINE, GENERAL & INTERNAL-
CiteScore
1.70
自引率
0.00%
发文量
53
审稿时长
13 weeks
×
引用
GB/T 7714-2015
复制
MLA
复制
APA
复制
导出至
BibTeX EndNote RefMan NoteFirst NoteExpress
×
提示
您的信息不完整,为了账户安全,请先补充。
现在去补充
×
提示
您因"违规操作"
具体请查看互助需知
我知道了
×
提示
确定
请完成安全验证×
copy
已复制链接
快去分享给好友吧!
我知道了
右上角分享
点击右上角分享
0
联系我们:info@booksci.cn Book学术提供免费学术资源搜索服务,方便国内外学者检索中英文文献。致力于提供最便捷和优质的服务体验。 Copyright © 2023 布克学术 All rights reserved.
京ICP备2023020795号-1
ghs 京公网安备 11010802042870号
Book学术文献互助
Book学术文献互助群
群 号:604180095
Book学术官方微信