自发性消退的阴茎乳腺外Paget病无复发的原发性尿路上皮癌1例报告。

IF 0.7 Q4 ONCOLOGY
Case Reports in Oncology Pub Date : 2025-06-16 eCollection Date: 2025-01-01 DOI:10.1159/00054684
Derrick H Y Chong, Yvette Miller-Monthrope, Philip Doiron
{"title":"自发性消退的阴茎乳腺外Paget病无复发的原发性尿路上皮癌1例报告。","authors":"Derrick H Y Chong, Yvette Miller-Monthrope, Philip Doiron","doi":"10.1159/00054684","DOIUrl":null,"url":null,"abstract":"<p><strong>Introduction: </strong>Secondary extramammary Paget disease (EMPD) is a rare cutaneous malignancy that typically manifests on apocrine-rich skin originating from an underlying adenocarcinoma. It has a low chance of further metastasizing and treatment is recommended.</p><p><strong>Case presentation: </strong>We present a case of an 86-year-old man with a history of bladder carcinoma that was successfully treated and in remission for 4 years, who developed an asymptomatic rash on the glans penis. Histopathology and immunohistochemistry confirmed secondary EMPD of urothelial origin. Cancer screening was negative and this was declared secondary EMPD without recurrence of primary malignancy. The patient declined surgical and pharmacologic treatment. After 1 year, the lesion spontaneously resolved with no recurrence.</p><p><strong>Conclusion: </strong>Secondary EMPD can present without underlying malignancy and may spontaneously regress. This is a rare phenomenon and the mechanism is not yet known. We speculate that it may be related to adaptive immunity, local inflammation promoted by biopsy and that there was no underlying primary malignancy. Treatment decisions should be made in the context of thorough goals of care discussions. Further observation of this phenomenon is required to guide management plans.</p>","PeriodicalId":9625,"journal":{"name":"Case Reports in Oncology","volume":"18 1","pages":"929-934"},"PeriodicalIF":0.7000,"publicationDate":"2025-06-16","publicationTypes":"Journal Article","fieldsOfStudy":null,"isOpenAccess":false,"openAccessPdf":"https://www.ncbi.nlm.nih.gov/pmc/articles/PMC12258873/pdf/","citationCount":"0","resultStr":"{\"title\":\"Spontaneously Regressing Penile Extramammary Paget Disease without Recurrence of Primary Urothelial Carcinoma: A Case Report.\",\"authors\":\"Derrick H Y Chong, Yvette Miller-Monthrope, Philip Doiron\",\"doi\":\"10.1159/00054684\",\"DOIUrl\":null,\"url\":null,\"abstract\":\"<p><strong>Introduction: </strong>Secondary extramammary Paget disease (EMPD) is a rare cutaneous malignancy that typically manifests on apocrine-rich skin originating from an underlying adenocarcinoma. It has a low chance of further metastasizing and treatment is recommended.</p><p><strong>Case presentation: </strong>We present a case of an 86-year-old man with a history of bladder carcinoma that was successfully treated and in remission for 4 years, who developed an asymptomatic rash on the glans penis. Histopathology and immunohistochemistry confirmed secondary EMPD of urothelial origin. Cancer screening was negative and this was declared secondary EMPD without recurrence of primary malignancy. The patient declined surgical and pharmacologic treatment. After 1 year, the lesion spontaneously resolved with no recurrence.</p><p><strong>Conclusion: </strong>Secondary EMPD can present without underlying malignancy and may spontaneously regress. This is a rare phenomenon and the mechanism is not yet known. We speculate that it may be related to adaptive immunity, local inflammation promoted by biopsy and that there was no underlying primary malignancy. Treatment decisions should be made in the context of thorough goals of care discussions. Further observation of this phenomenon is required to guide management plans.</p>\",\"PeriodicalId\":9625,\"journal\":{\"name\":\"Case Reports in Oncology\",\"volume\":\"18 1\",\"pages\":\"929-934\"},\"PeriodicalIF\":0.7000,\"publicationDate\":\"2025-06-16\",\"publicationTypes\":\"Journal Article\",\"fieldsOfStudy\":null,\"isOpenAccess\":false,\"openAccessPdf\":\"https://www.ncbi.nlm.nih.gov/pmc/articles/PMC12258873/pdf/\",\"citationCount\":\"0\",\"resultStr\":null,\"platform\":\"Semanticscholar\",\"paperid\":null,\"PeriodicalName\":\"Case Reports in Oncology\",\"FirstCategoryId\":\"1085\",\"ListUrlMain\":\"https://doi.org/10.1159/00054684\",\"RegionNum\":0,\"RegionCategory\":null,\"ArticlePicture\":[],\"TitleCN\":null,\"AbstractTextCN\":null,\"PMCID\":null,\"EPubDate\":\"2025/1/1 0:00:00\",\"PubModel\":\"eCollection\",\"JCR\":\"Q4\",\"JCRName\":\"ONCOLOGY\",\"Score\":null,\"Total\":0}","platform":"Semanticscholar","paperid":null,"PeriodicalName":"Case Reports in Oncology","FirstCategoryId":"1085","ListUrlMain":"https://doi.org/10.1159/00054684","RegionNum":0,"RegionCategory":null,"ArticlePicture":[],"TitleCN":null,"AbstractTextCN":null,"PMCID":null,"EPubDate":"2025/1/1 0:00:00","PubModel":"eCollection","JCR":"Q4","JCRName":"ONCOLOGY","Score":null,"Total":0}
引用次数: 0

摘要

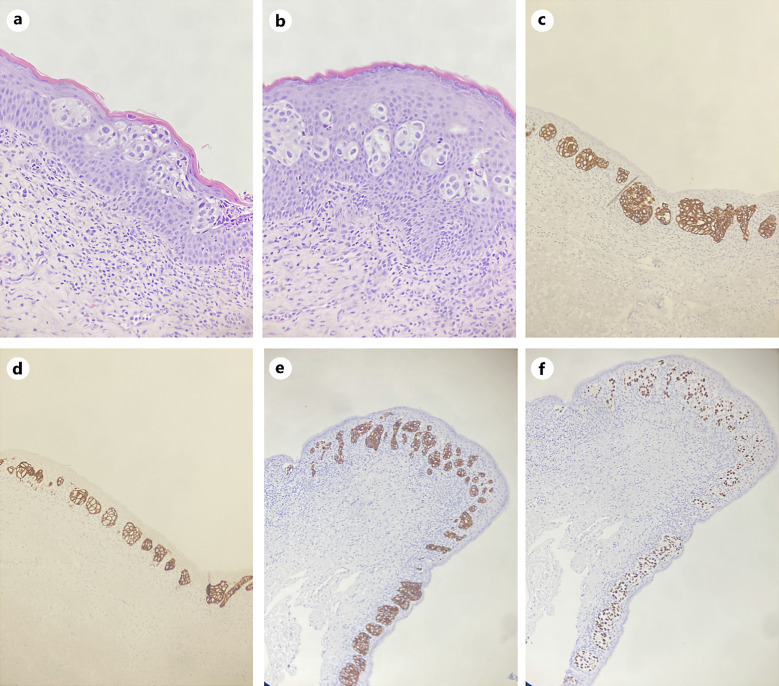
继发性乳腺外佩吉特病(EMPD)是一种罕见的皮肤恶性肿瘤,通常表现为起源于潜在腺癌的富含apocine的皮肤。它有一个低的机会进一步转移,建议治疗。病例介绍:我们提出一个病例86岁的男子膀胱癌的历史,已成功治疗和缓解了4年,谁开发了一个无症状的皮疹在阴茎头。组织病理学和免疫组织化学证实继发性EMPD起源于尿路上皮。癌症筛查结果为阴性,这被宣布为继发性EMPD,没有原发性恶性复发。病人拒绝手术和药物治疗。1年后病变自行消退,无复发。结论:继发性EMPD可表现为无潜在恶性,并可自行消退。这是一种罕见的现象,其机制尚不清楚。我们推测这可能与适应性免疫,活检促进的局部炎症有关,并且没有潜在的原发性恶性肿瘤。治疗决定应在全面的护理目标讨论的背景下作出。需要进一步观察这一现象,以指导管理计划。
本文章由计算机程序翻译,如有差异,请以英文原文为准。

Spontaneously Regressing Penile Extramammary Paget Disease without Recurrence of Primary Urothelial Carcinoma: A Case Report.

Spontaneously Regressing Penile Extramammary Paget Disease without Recurrence of Primary Urothelial Carcinoma: A Case Report.

Spontaneously Regressing Penile Extramammary Paget Disease without Recurrence of Primary Urothelial Carcinoma: A Case Report.

Introduction: Secondary extramammary Paget disease (EMPD) is a rare cutaneous malignancy that typically manifests on apocrine-rich skin originating from an underlying adenocarcinoma. It has a low chance of further metastasizing and treatment is recommended.

Case presentation: We present a case of an 86-year-old man with a history of bladder carcinoma that was successfully treated and in remission for 4 years, who developed an asymptomatic rash on the glans penis. Histopathology and immunohistochemistry confirmed secondary EMPD of urothelial origin. Cancer screening was negative and this was declared secondary EMPD without recurrence of primary malignancy. The patient declined surgical and pharmacologic treatment. After 1 year, the lesion spontaneously resolved with no recurrence.

Conclusion: Secondary EMPD can present without underlying malignancy and may spontaneously regress. This is a rare phenomenon and the mechanism is not yet known. We speculate that it may be related to adaptive immunity, local inflammation promoted by biopsy and that there was no underlying primary malignancy. Treatment decisions should be made in the context of thorough goals of care discussions. Further observation of this phenomenon is required to guide management plans.

求助全文
通过发布文献求助,成功后即可免费获取论文全文。 去求助
来源期刊
CiteScore
1.40
自引率
12.50%
发文量
151
审稿时长
7 weeks
×
引用
GB/T 7714-2015
复制
MLA
复制
APA
复制
导出至
BibTeX EndNote RefMan NoteFirst NoteExpress
×
提示
您的信息不完整,为了账户安全,请先补充。
现在去补充
×
提示
您因"违规操作"
具体请查看互助需知
我知道了
×
提示
确定
请完成安全验证×
copy
已复制链接
快去分享给好友吧!
我知道了
右上角分享
点击右上角分享
0
联系我们:info@booksci.cn Book学术提供免费学术资源搜索服务,方便国内外学者检索中英文文献。致力于提供最便捷和优质的服务体验。 Copyright © 2023 布克学术 All rights reserved.
京ICP备2023020795号-1
ghs 京公网安备 11010802042870号
Book学术文献互助
Book学术文献互助群
群 号:604180095
Book学术官方微信