以顺铂为基础的化疗的显著反应和长期缓解在一个广泛的睾丸外绒毛膜癌的年轻男性:一个病例报告和文献复习。

IF 0.7 Q4 ONCOLOGY
Case Reports in Oncology Pub Date : 2025-06-12 eCollection Date: 2025-01-01 DOI:10.1159/000546751
Abdulmajeed Alshabanat, Waad Aldahlawi, Siham Hussein, Wajd Althakfi, Ahmed Ibrahim
{"title":"以顺铂为基础的化疗的显著反应和长期缓解在一个广泛的睾丸外绒毛膜癌的年轻男性:一个病例报告和文献复习。","authors":"Abdulmajeed Alshabanat, Waad Aldahlawi, Siham Hussein, Wajd Althakfi, Ahmed Ibrahim","doi":"10.1159/000546751","DOIUrl":null,"url":null,"abstract":"<p><strong>Introduction: </strong>Choriocarcinoma is a rare and aggressive germ cell tumor that presents significant diagnostic challenges, particularly in males, where it is typically found in the gonads. Most patients present with advanced disease, often exhibiting symptoms related to metastatic spread, such as shortness of breath, cough, and hemoptysis. The rarity of extragonadal choriocarcinoma and its non-specific presentation make early diagnosis difficult, emphasizing the need for a multidisciplinary approach to treatment.</p><p><strong>Case presentation: </strong>A 31-year-old male presented with progressive shortness of breath, cough, and hemoptysis for over a month. Initial imaging revealed multiple pulmonary nodules and a large necrotic retroperitoneal mass, along with liver metastases. The patient's β-human chorionic gonadotropin (β-hCG) levels were markedly elevated, raising suspicion of choriocarcinoma, subsequently confirmed through biopsy. Given the rapid clinical deterioration, chemotherapy with cisplatin and etoposide was initiated. The patient responded well to treatment, with a significant reduction in tumor and metastasis size. Over 30 months of follow-up, the patient showed continued clinical improvement with no evidence of disease recurrence.</p><p><strong>Conclusion: </strong>Extragonadal choriocarcinoma is a highly aggressive and rare malignancy that poses significant diagnostic and therapeutic challenges. This case underscores the importance of early intervention and the need for ongoing research to improve outcomes in these patients. A multidisciplinary approach is crucial for optimal management.</p>","PeriodicalId":9625,"journal":{"name":"Case Reports in Oncology","volume":"18 1","pages":"949-957"},"PeriodicalIF":0.7000,"publicationDate":"2025-06-12","publicationTypes":"Journal Article","fieldsOfStudy":null,"isOpenAccess":false,"openAccessPdf":"https://www.ncbi.nlm.nih.gov/pmc/articles/PMC12258871/pdf/","citationCount":"0","resultStr":"{\"title\":\"Remarkable Response to Cisplatin-Based Chemotherapy and Long-Term Remission in a Young Male with Widespread Extragonadal Choriocarcinoma: A Case Report and Literature Review.\",\"authors\":\"Abdulmajeed Alshabanat, Waad Aldahlawi, Siham Hussein, Wajd Althakfi, Ahmed Ibrahim\",\"doi\":\"10.1159/000546751\",\"DOIUrl\":null,\"url\":null,\"abstract\":\"<p><strong>Introduction: </strong>Choriocarcinoma is a rare and aggressive germ cell tumor that presents significant diagnostic challenges, particularly in males, where it is typically found in the gonads. Most patients present with advanced disease, often exhibiting symptoms related to metastatic spread, such as shortness of breath, cough, and hemoptysis. The rarity of extragonadal choriocarcinoma and its non-specific presentation make early diagnosis difficult, emphasizing the need for a multidisciplinary approach to treatment.</p><p><strong>Case presentation: </strong>A 31-year-old male presented with progressive shortness of breath, cough, and hemoptysis for over a month. Initial imaging revealed multiple pulmonary nodules and a large necrotic retroperitoneal mass, along with liver metastases. The patient's β-human chorionic gonadotropin (β-hCG) levels were markedly elevated, raising suspicion of choriocarcinoma, subsequently confirmed through biopsy. Given the rapid clinical deterioration, chemotherapy with cisplatin and etoposide was initiated. The patient responded well to treatment, with a significant reduction in tumor and metastasis size. Over 30 months of follow-up, the patient showed continued clinical improvement with no evidence of disease recurrence.</p><p><strong>Conclusion: </strong>Extragonadal choriocarcinoma is a highly aggressive and rare malignancy that poses significant diagnostic and therapeutic challenges. This case underscores the importance of early intervention and the need for ongoing research to improve outcomes in these patients. A multidisciplinary approach is crucial for optimal management.</p>\",\"PeriodicalId\":9625,\"journal\":{\"name\":\"Case Reports in Oncology\",\"volume\":\"18 1\",\"pages\":\"949-957\"},\"PeriodicalIF\":0.7000,\"publicationDate\":\"2025-06-12\",\"publicationTypes\":\"Journal Article\",\"fieldsOfStudy\":null,\"isOpenAccess\":false,\"openAccessPdf\":\"https://www.ncbi.nlm.nih.gov/pmc/articles/PMC12258871/pdf/\",\"citationCount\":\"0\",\"resultStr\":null,\"platform\":\"Semanticscholar\",\"paperid\":null,\"PeriodicalName\":\"Case Reports in Oncology\",\"FirstCategoryId\":\"1085\",\"ListUrlMain\":\"https://doi.org/10.1159/000546751\",\"RegionNum\":0,\"RegionCategory\":null,\"ArticlePicture\":[],\"TitleCN\":null,\"AbstractTextCN\":null,\"PMCID\":null,\"EPubDate\":\"2025/1/1 0:00:00\",\"PubModel\":\"eCollection\",\"JCR\":\"Q4\",\"JCRName\":\"ONCOLOGY\",\"Score\":null,\"Total\":0}","platform":"Semanticscholar","paperid":null,"PeriodicalName":"Case Reports in Oncology","FirstCategoryId":"1085","ListUrlMain":"https://doi.org/10.1159/000546751","RegionNum":0,"RegionCategory":null,"ArticlePicture":[],"TitleCN":null,"AbstractTextCN":null,"PMCID":null,"EPubDate":"2025/1/1 0:00:00","PubModel":"eCollection","JCR":"Q4","JCRName":"ONCOLOGY","Score":null,"Total":0}
引用次数: 0

摘要

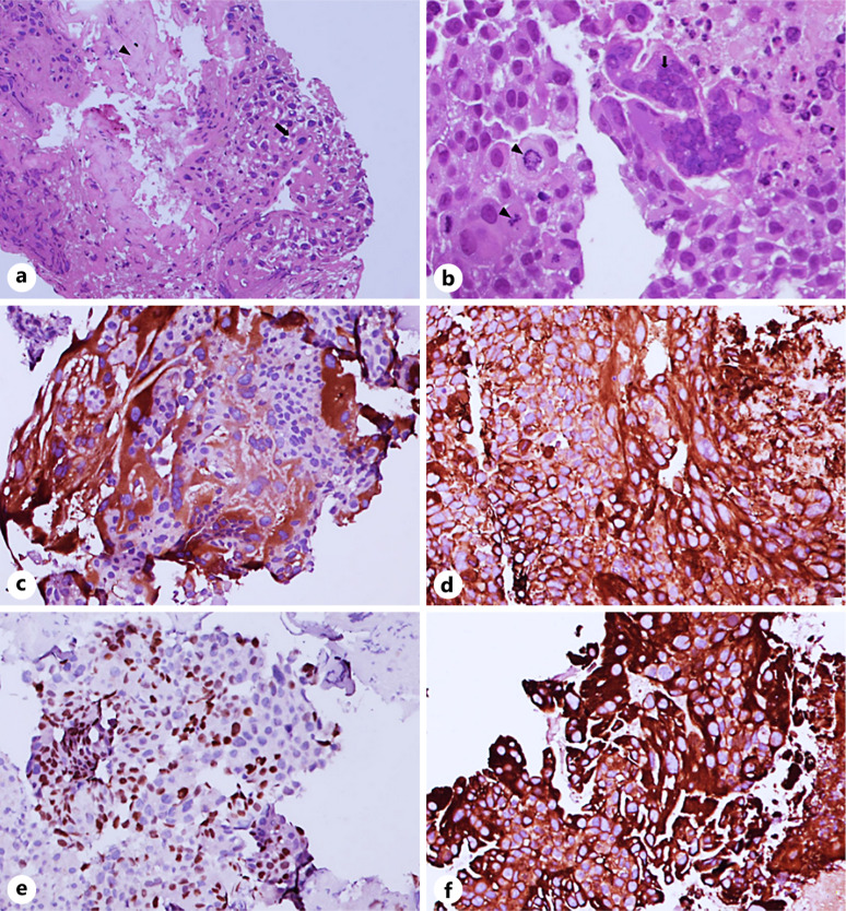
简介:绒毛膜癌是一种罕见的侵袭性生殖细胞肿瘤,诊断难度很大,特别是在男性中,通常发生在性腺。大多数患者表现为疾病晚期,常表现出与转移性扩散相关的症状,如呼吸急促、咳嗽和咯血。输卵管外绒毛膜癌的罕见性和其非特异性表现使得早期诊断困难,强调需要多学科的治疗方法。病例介绍:31岁男性,以进行性呼吸短促、咳嗽、咯血一个多月为临床表现。初步影像学显示多发肺结节和腹膜后大坏死肿块,并伴有肝转移。患者β-人绒毛膜促性腺激素(β-hCG)水平明显升高,引起绒毛膜癌的怀疑,随后通过活检证实。鉴于临床迅速恶化,开始顺铂和依托泊苷化疗。患者对治疗反应良好,肿瘤和转移灶大小显著减小。经过30个月的随访,患者临床持续改善,无疾病复发迹象。结论:性腺外绒毛膜癌是一种高度侵袭性和罕见的恶性肿瘤,对诊断和治疗提出了重大挑战。该病例强调了早期干预的重要性,以及持续研究以改善这些患者预后的必要性。多学科方法对最佳管理至关重要。
本文章由计算机程序翻译,如有差异,请以英文原文为准。

Remarkable Response to Cisplatin-Based Chemotherapy and Long-Term Remission in a Young Male with Widespread Extragonadal Choriocarcinoma: A Case Report and Literature Review.

Remarkable Response to Cisplatin-Based Chemotherapy and Long-Term Remission in a Young Male with Widespread Extragonadal Choriocarcinoma: A Case Report and Literature Review.

Remarkable Response to Cisplatin-Based Chemotherapy and Long-Term Remission in a Young Male with Widespread Extragonadal Choriocarcinoma: A Case Report and Literature Review.

Remarkable Response to Cisplatin-Based Chemotherapy and Long-Term Remission in a Young Male with Widespread Extragonadal Choriocarcinoma: A Case Report and Literature Review.

Introduction: Choriocarcinoma is a rare and aggressive germ cell tumor that presents significant diagnostic challenges, particularly in males, where it is typically found in the gonads. Most patients present with advanced disease, often exhibiting symptoms related to metastatic spread, such as shortness of breath, cough, and hemoptysis. The rarity of extragonadal choriocarcinoma and its non-specific presentation make early diagnosis difficult, emphasizing the need for a multidisciplinary approach to treatment.

Case presentation: A 31-year-old male presented with progressive shortness of breath, cough, and hemoptysis for over a month. Initial imaging revealed multiple pulmonary nodules and a large necrotic retroperitoneal mass, along with liver metastases. The patient's β-human chorionic gonadotropin (β-hCG) levels were markedly elevated, raising suspicion of choriocarcinoma, subsequently confirmed through biopsy. Given the rapid clinical deterioration, chemotherapy with cisplatin and etoposide was initiated. The patient responded well to treatment, with a significant reduction in tumor and metastasis size. Over 30 months of follow-up, the patient showed continued clinical improvement with no evidence of disease recurrence.

Conclusion: Extragonadal choriocarcinoma is a highly aggressive and rare malignancy that poses significant diagnostic and therapeutic challenges. This case underscores the importance of early intervention and the need for ongoing research to improve outcomes in these patients. A multidisciplinary approach is crucial for optimal management.

求助全文
通过发布文献求助,成功后即可免费获取论文全文。 去求助
来源期刊
CiteScore
1.40
自引率
12.50%
发文量
151
审稿时长
7 weeks
×
引用
GB/T 7714-2015
复制
MLA
复制
APA
复制
导出至
BibTeX EndNote RefMan NoteFirst NoteExpress
×
提示
您的信息不完整,为了账户安全,请先补充。
现在去补充
×
提示
您因"违规操作"
具体请查看互助需知
我知道了
×
提示
确定
请完成安全验证×
copy
已复制链接
快去分享给好友吧!
我知道了
右上角分享
点击右上角分享
0
联系我们:info@booksci.cn Book学术提供免费学术资源搜索服务,方便国内外学者检索中英文文献。致力于提供最便捷和优质的服务体验。 Copyright © 2023 布克学术 All rights reserved.
京ICP备2023020795号-1
ghs 京公网安备 11010802042870号
Book学术文献互助
Book学术文献互助群
群 号:604180095
Book学术官方微信