用STRIDE方案重新挑战不可切除的肝细胞癌:阿特唑单抗-贝伐单抗不耐受后显著AFP反应的病例报告

IF 0.7 Q4 ONCOLOGY
Case Reports in Oncology Pub Date : 2025-06-07 eCollection Date: 2025-01-01 DOI:10.1159/000546711
Sugat Adhikari, James Doolin
{"title":"用STRIDE方案重新挑战不可切除的肝细胞癌:阿特唑单抗-贝伐单抗不耐受后显著AFP反应的病例报告","authors":"Sugat Adhikari, James Doolin","doi":"10.1159/000546711","DOIUrl":null,"url":null,"abstract":"<p><strong>Introduction: </strong>Hepatocellular carcinoma (HCC) is a leading cause of cancer worldwide, with immune checkpoint inhibitors (ICIs) revolutionizing treatment of unresectable HCCs. However, limited data exist on rechallenging patients with alternative ICI regimens, such as STRIDE (durvalumab + tremelimumab), following initial treatment failure or intolerance to atezolizumab + bevacizumab.</p><p><strong>Case report: </strong>A 66-year-old male with advanced cirrhosis, hepatitis C, and a history of alcohol use developed HCC, with an AFP level increasing from 3.4 to 3,199. Imaging revealed a 10.7 cm infiltrative mass with portal vein thrombosis, and the patient was diagnosed with Barcelona Liver Clinic (BCLC) stage C HCC. First-line treatment with atezolizumab + bevacizumab was initiated, but the patient did not tolerate the regimen well, leading to discontinuation. He was switched to the STRIDE regimen, which he tolerated well. After six cycles of durvalumab, significant clinical improvement was noted and a follow-up MRI showed reduced tumor thrombus size, and AFP levels dropped significantly to 2, indicating a sustained or improved therapeutic response.</p><p><strong>Conclusion: </strong>This case suggests that rechallenging with the STRIDE regimen may provide significant clinical benefit in HCC patients intolerant to initial ICI therapy. However, further clinical trials are needed to confirm the efficacy and optimal use of ICI rechallenge strategies in HCC.</p>","PeriodicalId":9625,"journal":{"name":"Case Reports in Oncology","volume":"18 1","pages":"942-948"},"PeriodicalIF":0.7000,"publicationDate":"2025-06-07","publicationTypes":"Journal Article","fieldsOfStudy":null,"isOpenAccess":false,"openAccessPdf":"https://www.ncbi.nlm.nih.gov/pmc/articles/PMC12258870/pdf/","citationCount":"0","resultStr":"{\"title\":\"Rechallenging Unresectable Hepatocellular Carcinoma with the STRIDE Regimen: A Case Report of Significant AFP Response after Atezolizumab-Bevacizumab Intolerance.\",\"authors\":\"Sugat Adhikari, James Doolin\",\"doi\":\"10.1159/000546711\",\"DOIUrl\":null,\"url\":null,\"abstract\":\"<p><strong>Introduction: </strong>Hepatocellular carcinoma (HCC) is a leading cause of cancer worldwide, with immune checkpoint inhibitors (ICIs) revolutionizing treatment of unresectable HCCs. However, limited data exist on rechallenging patients with alternative ICI regimens, such as STRIDE (durvalumab + tremelimumab), following initial treatment failure or intolerance to atezolizumab + bevacizumab.</p><p><strong>Case report: </strong>A 66-year-old male with advanced cirrhosis, hepatitis C, and a history of alcohol use developed HCC, with an AFP level increasing from 3.4 to 3,199. Imaging revealed a 10.7 cm infiltrative mass with portal vein thrombosis, and the patient was diagnosed with Barcelona Liver Clinic (BCLC) stage C HCC. First-line treatment with atezolizumab + bevacizumab was initiated, but the patient did not tolerate the regimen well, leading to discontinuation. He was switched to the STRIDE regimen, which he tolerated well. After six cycles of durvalumab, significant clinical improvement was noted and a follow-up MRI showed reduced tumor thrombus size, and AFP levels dropped significantly to 2, indicating a sustained or improved therapeutic response.</p><p><strong>Conclusion: </strong>This case suggests that rechallenging with the STRIDE regimen may provide significant clinical benefit in HCC patients intolerant to initial ICI therapy. However, further clinical trials are needed to confirm the efficacy and optimal use of ICI rechallenge strategies in HCC.</p>\",\"PeriodicalId\":9625,\"journal\":{\"name\":\"Case Reports in Oncology\",\"volume\":\"18 1\",\"pages\":\"942-948\"},\"PeriodicalIF\":0.7000,\"publicationDate\":\"2025-06-07\",\"publicationTypes\":\"Journal Article\",\"fieldsOfStudy\":null,\"isOpenAccess\":false,\"openAccessPdf\":\"https://www.ncbi.nlm.nih.gov/pmc/articles/PMC12258870/pdf/\",\"citationCount\":\"0\",\"resultStr\":null,\"platform\":\"Semanticscholar\",\"paperid\":null,\"PeriodicalName\":\"Case Reports in Oncology\",\"FirstCategoryId\":\"1085\",\"ListUrlMain\":\"https://doi.org/10.1159/000546711\",\"RegionNum\":0,\"RegionCategory\":null,\"ArticlePicture\":[],\"TitleCN\":null,\"AbstractTextCN\":null,\"PMCID\":null,\"EPubDate\":\"2025/1/1 0:00:00\",\"PubModel\":\"eCollection\",\"JCR\":\"Q4\",\"JCRName\":\"ONCOLOGY\",\"Score\":null,\"Total\":0}","platform":"Semanticscholar","paperid":null,"PeriodicalName":"Case Reports in Oncology","FirstCategoryId":"1085","ListUrlMain":"https://doi.org/10.1159/000546711","RegionNum":0,"RegionCategory":null,"ArticlePicture":[],"TitleCN":null,"AbstractTextCN":null,"PMCID":null,"EPubDate":"2025/1/1 0:00:00","PubModel":"eCollection","JCR":"Q4","JCRName":"ONCOLOGY","Score":null,"Total":0}
引用次数: 0

摘要

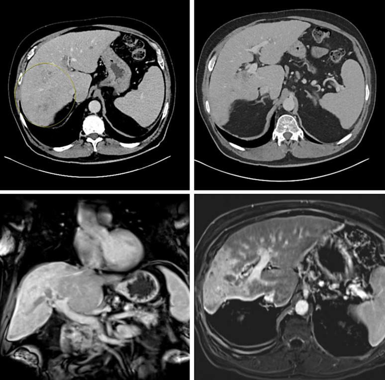
肝细胞癌(HCC)是世界范围内癌症的主要原因,免疫检查点抑制剂(ICIs)彻底改变了不可切除的HCC的治疗。然而,在初始治疗失败或对atezolizumab + bevacizumab不耐受后,使用替代ICI方案(如STRIDE (durvalumab + tremelimumab))重新挑战患者的数据有限。病例报告:66岁男性,晚期肝硬化,丙型肝炎,有酒精使用史,发生HCC,甲胎蛋白水平从3.4上升到3199。影像学显示10.7 cm浸润性肿块伴门静脉血栓形成,诊断为巴塞罗那肝脏诊所(BCLC) C期HCC。开始了阿特唑单抗+贝伐单抗的一线治疗,但患者不能很好地耐受该方案,导致停药。他被换成了STRIDE疗法,他的耐受性很好。在杜伐单抗治疗6个周期后,临床疗效显著改善,随访MRI显示肿瘤血栓大小减小,AFP水平显著降至2,表明治疗反应持续或改善。结论:该病例提示,对于不耐受初始ICI治疗的HCC患者,重新采用STRIDE方案可能会带来显著的临床益处。然而,需要进一步的临床试验来证实ICI再挑战策略在HCC中的有效性和最佳使用。
本文章由计算机程序翻译,如有差异,请以英文原文为准。

Rechallenging Unresectable Hepatocellular Carcinoma with the STRIDE Regimen: A Case Report of Significant AFP Response after Atezolizumab-Bevacizumab Intolerance.

Rechallenging Unresectable Hepatocellular Carcinoma with the STRIDE Regimen: A Case Report of Significant AFP Response after Atezolizumab-Bevacizumab Intolerance.

Introduction: Hepatocellular carcinoma (HCC) is a leading cause of cancer worldwide, with immune checkpoint inhibitors (ICIs) revolutionizing treatment of unresectable HCCs. However, limited data exist on rechallenging patients with alternative ICI regimens, such as STRIDE (durvalumab + tremelimumab), following initial treatment failure or intolerance to atezolizumab + bevacizumab.

Case report: A 66-year-old male with advanced cirrhosis, hepatitis C, and a history of alcohol use developed HCC, with an AFP level increasing from 3.4 to 3,199. Imaging revealed a 10.7 cm infiltrative mass with portal vein thrombosis, and the patient was diagnosed with Barcelona Liver Clinic (BCLC) stage C HCC. First-line treatment with atezolizumab + bevacizumab was initiated, but the patient did not tolerate the regimen well, leading to discontinuation. He was switched to the STRIDE regimen, which he tolerated well. After six cycles of durvalumab, significant clinical improvement was noted and a follow-up MRI showed reduced tumor thrombus size, and AFP levels dropped significantly to 2, indicating a sustained or improved therapeutic response.

Conclusion: This case suggests that rechallenging with the STRIDE regimen may provide significant clinical benefit in HCC patients intolerant to initial ICI therapy. However, further clinical trials are needed to confirm the efficacy and optimal use of ICI rechallenge strategies in HCC.

求助全文
通过发布文献求助,成功后即可免费获取论文全文。 去求助
来源期刊
CiteScore
1.40
自引率
12.50%
发文量
151
审稿时长
7 weeks
×
引用
GB/T 7714-2015
复制
MLA
复制
APA
复制
导出至
BibTeX EndNote RefMan NoteFirst NoteExpress
×
提示
您的信息不完整,为了账户安全,请先补充。
现在去补充
×
提示
您因"违规操作"
具体请查看互助需知
我知道了
×
提示
确定
请完成安全验证×
copy
已复制链接
快去分享给好友吧!
我知道了
右上角分享
点击右上角分享
0
联系我们:info@booksci.cn Book学术提供免费学术资源搜索服务,方便国内外学者检索中英文文献。致力于提供最便捷和优质的服务体验。 Copyright © 2023 布克学术 All rights reserved.
京ICP备2023020795号-1
ghs 京公网安备 11010802042870号
Book学术文献互助
Book学术文献互助群
群 号:604180095
Book学术官方微信