pten突变的鼻窦畸形癌肉瘤侵袭性颅脊髓复发1例报告。

IF 0.7 Q4 ONCOLOGY
Case Reports in Oncology Pub Date : 2025-06-05 eCollection Date: 2025-01-01 DOI:10.1159/000546568
Abdel Mun'Em S Al Hourani, Peter H Ahn, Yahia M Tagouri, Timothy Deklotz, Jai Singh Rajput, Ankit Madan
{"title":"pten突变的鼻窦畸形癌肉瘤侵袭性颅脊髓复发1例报告。","authors":"Abdel Mun'Em S Al Hourani, Peter H Ahn, Yahia M Tagouri, Timothy Deklotz, Jai Singh Rajput, Ankit Madan","doi":"10.1159/000546568","DOIUrl":null,"url":null,"abstract":"<p><strong>Introduction: </strong>Sinonasal teratocarcinosarcoma (SNTCS) is an aggressive and highly recurrent tumor with a predilection for anterior skull base location. It continues to pose a challenge due to difficulty in diagnosis and the lack of large-scale studies on optimal treatment strategies.</p><p><strong>Case presentation: </strong>We report a case of a 48-year-old female patient who presented with headache, nausea, and vomiting. Initial imaging revealed a 6.4 × 4.5 cm extra-axial mass in the right frontal region, originating from the superior right nasal cavity. She underwent surgical resection of the tumor and was found to have SNTCS. She received concurrent chemoradiotherapy. Next-generation sequencing showed mutations in the <i>PTEN</i>, <i>SMARCA4</i>, and <i>CCND1</i> genes. Six months after completion of treatment, she experienced an aggressive leptomeningeal recurrence of her disease. To our knowledge, our case represents the first SNTCS case with a documented <i>PTEN</i> mutation. In the absence of evidence-based guidelines due to the rarity of this diagnosis, we have reviewed over 50 cases reported in the literature.</p><p><strong>Conclusion: </strong>SNTCS remains challenging to treat, as despite using surgical resection and concurrent chemoradiotherapy, it continues to have a high recurrence and mortality rate. We further discuss various demographics, chemotherapy regimens, prognosis, and common genetic mutations found in SNTCS.</p>","PeriodicalId":9625,"journal":{"name":"Case Reports in Oncology","volume":"18 1","pages":"935-941"},"PeriodicalIF":0.7000,"publicationDate":"2025-06-05","publicationTypes":"Journal Article","fieldsOfStudy":null,"isOpenAccess":false,"openAccessPdf":"https://www.ncbi.nlm.nih.gov/pmc/articles/PMC12258869/pdf/","citationCount":"0","resultStr":"{\"title\":\"Aggressive Craniospinal Recurrence of a <i>PTEN</i>-Mutated Sinonasal Teratocarcinosarcoma: A Case Report.\",\"authors\":\"Abdel Mun'Em S Al Hourani, Peter H Ahn, Yahia M Tagouri, Timothy Deklotz, Jai Singh Rajput, Ankit Madan\",\"doi\":\"10.1159/000546568\",\"DOIUrl\":null,\"url\":null,\"abstract\":\"<p><strong>Introduction: </strong>Sinonasal teratocarcinosarcoma (SNTCS) is an aggressive and highly recurrent tumor with a predilection for anterior skull base location. It continues to pose a challenge due to difficulty in diagnosis and the lack of large-scale studies on optimal treatment strategies.</p><p><strong>Case presentation: </strong>We report a case of a 48-year-old female patient who presented with headache, nausea, and vomiting. Initial imaging revealed a 6.4 × 4.5 cm extra-axial mass in the right frontal region, originating from the superior right nasal cavity. She underwent surgical resection of the tumor and was found to have SNTCS. She received concurrent chemoradiotherapy. Next-generation sequencing showed mutations in the <i>PTEN</i>, <i>SMARCA4</i>, and <i>CCND1</i> genes. Six months after completion of treatment, she experienced an aggressive leptomeningeal recurrence of her disease. To our knowledge, our case represents the first SNTCS case with a documented <i>PTEN</i> mutation. In the absence of evidence-based guidelines due to the rarity of this diagnosis, we have reviewed over 50 cases reported in the literature.</p><p><strong>Conclusion: </strong>SNTCS remains challenging to treat, as despite using surgical resection and concurrent chemoradiotherapy, it continues to have a high recurrence and mortality rate. We further discuss various demographics, chemotherapy regimens, prognosis, and common genetic mutations found in SNTCS.</p>\",\"PeriodicalId\":9625,\"journal\":{\"name\":\"Case Reports in Oncology\",\"volume\":\"18 1\",\"pages\":\"935-941\"},\"PeriodicalIF\":0.7000,\"publicationDate\":\"2025-06-05\",\"publicationTypes\":\"Journal Article\",\"fieldsOfStudy\":null,\"isOpenAccess\":false,\"openAccessPdf\":\"https://www.ncbi.nlm.nih.gov/pmc/articles/PMC12258869/pdf/\",\"citationCount\":\"0\",\"resultStr\":null,\"platform\":\"Semanticscholar\",\"paperid\":null,\"PeriodicalName\":\"Case Reports in Oncology\",\"FirstCategoryId\":\"1085\",\"ListUrlMain\":\"https://doi.org/10.1159/000546568\",\"RegionNum\":0,\"RegionCategory\":null,\"ArticlePicture\":[],\"TitleCN\":null,\"AbstractTextCN\":null,\"PMCID\":null,\"EPubDate\":\"2025/1/1 0:00:00\",\"PubModel\":\"eCollection\",\"JCR\":\"Q4\",\"JCRName\":\"ONCOLOGY\",\"Score\":null,\"Total\":0}","platform":"Semanticscholar","paperid":null,"PeriodicalName":"Case Reports in Oncology","FirstCategoryId":"1085","ListUrlMain":"https://doi.org/10.1159/000546568","RegionNum":0,"RegionCategory":null,"ArticlePicture":[],"TitleCN":null,"AbstractTextCN":null,"PMCID":null,"EPubDate":"2025/1/1 0:00:00","PubModel":"eCollection","JCR":"Q4","JCRName":"ONCOLOGY","Score":null,"Total":0}
引用次数: 0

摘要

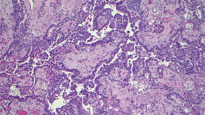
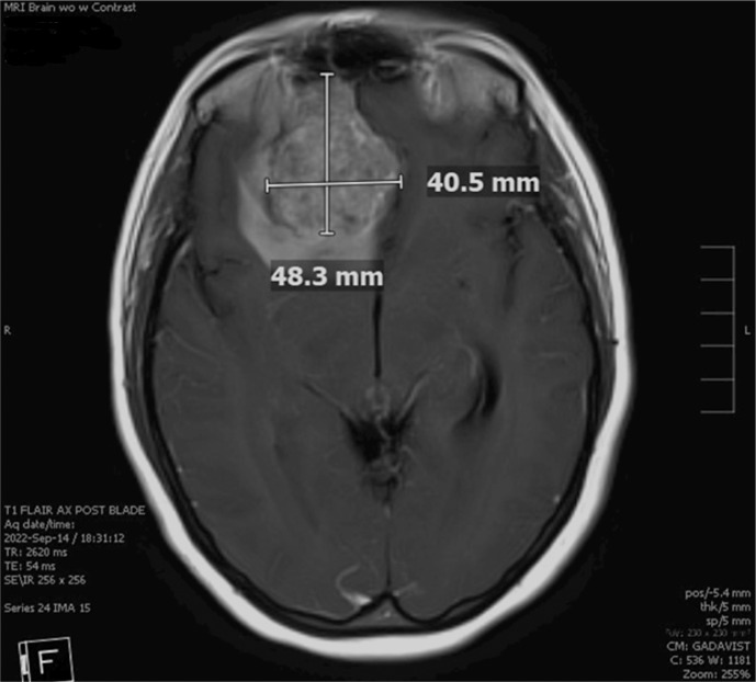
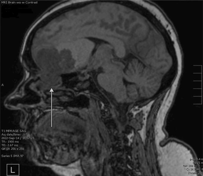
鼻窦畸胎癌肉瘤(SNTCS)是一种侵袭性、高复发性肿瘤,多发于颅底前部。由于诊断困难和缺乏对最佳治疗策略的大规模研究,它继续构成挑战。病例介绍:我们报告一例48岁女性患者,表现为头痛、恶心和呕吐。初步影像学显示右侧额区有一个6.4 × 4.5 cm的轴外肿块,起源于右上鼻腔。她接受手术切除肿瘤,并被发现有SNTCS。她接受了同步放化疗。下一代测序显示PTEN、SMARCA4和CCND1基因发生突变。治疗结束6个月后,她经历了侵袭性脑膜轻脑膜复发。据我们所知,我们的病例是第一例有PTEN突变记录的SNTCS病例。由于这种诊断的罕见性,缺乏循证指南,我们回顾了文献中报道的50多例病例。结论:SNTCS的治疗仍然具有挑战性,尽管采用手术切除和同步放化疗,但它仍然具有高复发率和死亡率。我们进一步讨论了SNTCS的各种人口统计学、化疗方案、预后和常见基因突变。
本文章由计算机程序翻译,如有差异,请以英文原文为准。

Aggressive Craniospinal Recurrence of a <i>PTEN</i>-Mutated Sinonasal Teratocarcinosarcoma: A Case Report.

Aggressive Craniospinal Recurrence of a <i>PTEN</i>-Mutated Sinonasal Teratocarcinosarcoma: A Case Report.

Aggressive Craniospinal Recurrence of a <i>PTEN</i>-Mutated Sinonasal Teratocarcinosarcoma: A Case Report.

Aggressive Craniospinal Recurrence of a PTEN-Mutated Sinonasal Teratocarcinosarcoma: A Case Report.

Introduction: Sinonasal teratocarcinosarcoma (SNTCS) is an aggressive and highly recurrent tumor with a predilection for anterior skull base location. It continues to pose a challenge due to difficulty in diagnosis and the lack of large-scale studies on optimal treatment strategies.

Case presentation: We report a case of a 48-year-old female patient who presented with headache, nausea, and vomiting. Initial imaging revealed a 6.4 × 4.5 cm extra-axial mass in the right frontal region, originating from the superior right nasal cavity. She underwent surgical resection of the tumor and was found to have SNTCS. She received concurrent chemoradiotherapy. Next-generation sequencing showed mutations in the PTEN, SMARCA4, and CCND1 genes. Six months after completion of treatment, she experienced an aggressive leptomeningeal recurrence of her disease. To our knowledge, our case represents the first SNTCS case with a documented PTEN mutation. In the absence of evidence-based guidelines due to the rarity of this diagnosis, we have reviewed over 50 cases reported in the literature.

Conclusion: SNTCS remains challenging to treat, as despite using surgical resection and concurrent chemoradiotherapy, it continues to have a high recurrence and mortality rate. We further discuss various demographics, chemotherapy regimens, prognosis, and common genetic mutations found in SNTCS.

求助全文
通过发布文献求助,成功后即可免费获取论文全文。 去求助
来源期刊
CiteScore
1.40
自引率
12.50%
发文量
151
审稿时长
7 weeks
×
引用
GB/T 7714-2015
复制
MLA
复制
APA
复制
导出至
BibTeX EndNote RefMan NoteFirst NoteExpress
×
提示
您的信息不完整,为了账户安全,请先补充。
现在去补充
×
提示
您因"违规操作"
具体请查看互助需知
我知道了
×
提示
确定
请完成安全验证×
copy
已复制链接
快去分享给好友吧!
我知道了
右上角分享
点击右上角分享
0
联系我们:info@booksci.cn Book学术提供免费学术资源搜索服务,方便国内外学者检索中英文文献。致力于提供最便捷和优质的服务体验。 Copyright © 2023 布克学术 All rights reserved.
京ICP备2023020795号-1
ghs 京公网安备 11010802042870号
Book学术文献互助
Book学术文献互助群
群 号:604180095
Book学术官方微信