接受盐酸二甲双胍治疗的糖尿病患者的光致结节病。

IF 0.8 Q4 DERMATOLOGY
Case Reports in Dermatology Pub Date : 2025-06-18 eCollection Date: 2025-01-01 DOI:10.1159/000546617
Hanae Fujita, Yuki Mizutani, Akinobu Hayashi, Keiichi Yamanaka
{"title":"接受盐酸二甲双胍治疗的糖尿病患者的光致结节病。","authors":"Hanae Fujita, Yuki Mizutani, Akinobu Hayashi, Keiichi Yamanaka","doi":"10.1159/000546617","DOIUrl":null,"url":null,"abstract":"<p><strong>Introduction: </strong>Sarcoidosis can present with a wide range of skin manifestations, occurring in approximately 30% of sarcoidosis patients. However, photosensitivity in cutaneous sarcoidosis is exceedingly rare. This case report details a unique presentation of photosensitive cutaneous sarcoidosis, its diagnosis, and treatment.</p><p><strong>Case presentation: </strong>A 65-year-old woman presented with numerous erythematous lesions on her eyelids, persisting for 5 months despite treatments with fexofenadine hydrochloride and topical steroids. Her medical history included diabetes mellitus and dyslipidemia, managed with rosuvastatin, metformin, and a combination of teneligliptin and canagliflozin. After discontinuation of rosuvastatin due to suspected interstitial granulomatous dermatitis, her lesions remained unchanged. Clinical examination revealed annular plaques on sun-exposed areas, and skin biopsy showed noncaseating granulomas with eosinophilic infiltration. Elevated serum ACE, calcium, and soluble interleukin-2 receptor levels supported a diagnosis of cutaneous sarcoidosis. Lesions were resistant to systemic and topical steroid treatments, prompting suspicion of photosensitivity. Photo testing identified UVB sensitivity during metformin use, which resolved after discontinuation of the drug. The patient's lesions improved 1 week after stopping metformin, enabling prednisone tapering without recurrence.</p><p><strong>Conclusion: </strong>This case highlights metformin as a potential photosensitizing agent in cutaneous sarcoidosis. While the relationship between diabetes mellitus and sarcoidosis remains unclear, chronic inflammation in diabetes may influence sarcoidosis progression. In cases of refractory cutaneous sarcoidosis despite systemic steroid treatment, it is crucial to consider the coexistence of photosensitivity, particularly drug-induced photosensitivity. Therefore, carefully reviewing the patient's medication history is essential for accurate diagnosis and management.</p>","PeriodicalId":9619,"journal":{"name":"Case Reports in Dermatology","volume":"17 1","pages":"284-290"},"PeriodicalIF":0.8000,"publicationDate":"2025-06-18","publicationTypes":"Journal Article","fieldsOfStudy":null,"isOpenAccess":false,"openAccessPdf":"https://www.ncbi.nlm.nih.gov/pmc/articles/PMC12258872/pdf/","citationCount":"0","resultStr":"{\"title\":\"Photo-Induced Sarcoidosis in a Diabetic Patient Receiving Metformin Hydrochloride.\",\"authors\":\"Hanae Fujita, Yuki Mizutani, Akinobu Hayashi, Keiichi Yamanaka\",\"doi\":\"10.1159/000546617\",\"DOIUrl\":null,\"url\":null,\"abstract\":\"<p><strong>Introduction: </strong>Sarcoidosis can present with a wide range of skin manifestations, occurring in approximately 30% of sarcoidosis patients. However, photosensitivity in cutaneous sarcoidosis is exceedingly rare. This case report details a unique presentation of photosensitive cutaneous sarcoidosis, its diagnosis, and treatment.</p><p><strong>Case presentation: </strong>A 65-year-old woman presented with numerous erythematous lesions on her eyelids, persisting for 5 months despite treatments with fexofenadine hydrochloride and topical steroids. Her medical history included diabetes mellitus and dyslipidemia, managed with rosuvastatin, metformin, and a combination of teneligliptin and canagliflozin. After discontinuation of rosuvastatin due to suspected interstitial granulomatous dermatitis, her lesions remained unchanged. Clinical examination revealed annular plaques on sun-exposed areas, and skin biopsy showed noncaseating granulomas with eosinophilic infiltration. Elevated serum ACE, calcium, and soluble interleukin-2 receptor levels supported a diagnosis of cutaneous sarcoidosis. Lesions were resistant to systemic and topical steroid treatments, prompting suspicion of photosensitivity. Photo testing identified UVB sensitivity during metformin use, which resolved after discontinuation of the drug. The patient's lesions improved 1 week after stopping metformin, enabling prednisone tapering without recurrence.</p><p><strong>Conclusion: </strong>This case highlights metformin as a potential photosensitizing agent in cutaneous sarcoidosis. While the relationship between diabetes mellitus and sarcoidosis remains unclear, chronic inflammation in diabetes may influence sarcoidosis progression. In cases of refractory cutaneous sarcoidosis despite systemic steroid treatment, it is crucial to consider the coexistence of photosensitivity, particularly drug-induced photosensitivity. Therefore, carefully reviewing the patient's medication history is essential for accurate diagnosis and management.</p>\",\"PeriodicalId\":9619,\"journal\":{\"name\":\"Case Reports in Dermatology\",\"volume\":\"17 1\",\"pages\":\"284-290\"},\"PeriodicalIF\":0.8000,\"publicationDate\":\"2025-06-18\",\"publicationTypes\":\"Journal Article\",\"fieldsOfStudy\":null,\"isOpenAccess\":false,\"openAccessPdf\":\"https://www.ncbi.nlm.nih.gov/pmc/articles/PMC12258872/pdf/\",\"citationCount\":\"0\",\"resultStr\":null,\"platform\":\"Semanticscholar\",\"paperid\":null,\"PeriodicalName\":\"Case Reports in Dermatology\",\"FirstCategoryId\":\"1085\",\"ListUrlMain\":\"https://doi.org/10.1159/000546617\",\"RegionNum\":0,\"RegionCategory\":null,\"ArticlePicture\":[],\"TitleCN\":null,\"AbstractTextCN\":null,\"PMCID\":null,\"EPubDate\":\"2025/1/1 0:00:00\",\"PubModel\":\"eCollection\",\"JCR\":\"Q4\",\"JCRName\":\"DERMATOLOGY\",\"Score\":null,\"Total\":0}","platform":"Semanticscholar","paperid":null,"PeriodicalName":"Case Reports in Dermatology","FirstCategoryId":"1085","ListUrlMain":"https://doi.org/10.1159/000546617","RegionNum":0,"RegionCategory":null,"ArticlePicture":[],"TitleCN":null,"AbstractTextCN":null,"PMCID":null,"EPubDate":"2025/1/1 0:00:00","PubModel":"eCollection","JCR":"Q4","JCRName":"DERMATOLOGY","Score":null,"Total":0}
引用次数: 0

摘要

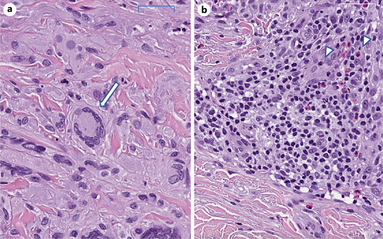
结节病可表现为广泛的皮肤表现,约30%的结节病患者发生。然而,皮肤结节病的光敏性极为罕见。本病例报告详细介绍了光敏性皮肤结节病的独特表现,其诊断和治疗。病例介绍:一名65岁女性,眼睑出现大量红斑病变,尽管使用盐酸非索非那定和局部类固醇治疗,但持续了5个月。她的病史包括糖尿病和血脂异常,使用瑞舒伐他汀、二甲双胍以及替尼格列汀和卡格列净联合用药。在疑似间质性肉芽肿性皮炎停用瑞舒伐他汀后,她的病变保持不变。临床检查显示暴露在阳光下的环状斑块,皮肤活检显示非干酪化肉芽肿伴嗜酸性粒细胞浸润。血清ACE、钙和可溶性白介素-2受体水平升高支持皮肤结节病的诊断。病变抵抗全身和局部类固醇治疗,提示光敏的怀疑。光测试确定在使用二甲双胍期间UVB敏感性,停药后解决。停用二甲双胍1周后,患者病变改善,强的松逐渐减少,无复发。结论:本病例强调二甲双胍作为皮肤结节病的潜在光敏剂。虽然糖尿病和结节病之间的关系尚不清楚,但糖尿病的慢性炎症可能影响结节病的进展。在难治性皮肤结节病的病例中,尽管进行了全身类固醇治疗,但考虑光敏性的共存是至关重要的,特别是药物引起的光敏性。因此,仔细回顾患者的用药史对于准确诊断和治疗至关重要。
本文章由计算机程序翻译,如有差异,请以英文原文为准。

Photo-Induced Sarcoidosis in a Diabetic Patient Receiving Metformin Hydrochloride.

Photo-Induced Sarcoidosis in a Diabetic Patient Receiving Metformin Hydrochloride.

Photo-Induced Sarcoidosis in a Diabetic Patient Receiving Metformin Hydrochloride.

Photo-Induced Sarcoidosis in a Diabetic Patient Receiving Metformin Hydrochloride.

Introduction: Sarcoidosis can present with a wide range of skin manifestations, occurring in approximately 30% of sarcoidosis patients. However, photosensitivity in cutaneous sarcoidosis is exceedingly rare. This case report details a unique presentation of photosensitive cutaneous sarcoidosis, its diagnosis, and treatment.

Case presentation: A 65-year-old woman presented with numerous erythematous lesions on her eyelids, persisting for 5 months despite treatments with fexofenadine hydrochloride and topical steroids. Her medical history included diabetes mellitus and dyslipidemia, managed with rosuvastatin, metformin, and a combination of teneligliptin and canagliflozin. After discontinuation of rosuvastatin due to suspected interstitial granulomatous dermatitis, her lesions remained unchanged. Clinical examination revealed annular plaques on sun-exposed areas, and skin biopsy showed noncaseating granulomas with eosinophilic infiltration. Elevated serum ACE, calcium, and soluble interleukin-2 receptor levels supported a diagnosis of cutaneous sarcoidosis. Lesions were resistant to systemic and topical steroid treatments, prompting suspicion of photosensitivity. Photo testing identified UVB sensitivity during metformin use, which resolved after discontinuation of the drug. The patient's lesions improved 1 week after stopping metformin, enabling prednisone tapering without recurrence.

Conclusion: This case highlights metformin as a potential photosensitizing agent in cutaneous sarcoidosis. While the relationship between diabetes mellitus and sarcoidosis remains unclear, chronic inflammation in diabetes may influence sarcoidosis progression. In cases of refractory cutaneous sarcoidosis despite systemic steroid treatment, it is crucial to consider the coexistence of photosensitivity, particularly drug-induced photosensitivity. Therefore, carefully reviewing the patient's medication history is essential for accurate diagnosis and management.

求助全文
通过发布文献求助,成功后即可免费获取论文全文。 去求助
来源期刊
CiteScore
1.60
自引率
0.00%
发文量
57
审稿时长
9 weeks
×
引用
GB/T 7714-2015
复制
MLA
复制
APA
复制
导出至
BibTeX EndNote RefMan NoteFirst NoteExpress
×
提示
您的信息不完整,为了账户安全,请先补充。
现在去补充
×
提示
您因"违规操作"
具体请查看互助需知
我知道了
×
提示
确定
请完成安全验证×
copy
已复制链接
快去分享给好友吧!
我知道了
右上角分享
点击右上角分享
0
联系我们:info@booksci.cn Book学术提供免费学术资源搜索服务,方便国内外学者检索中英文文献。致力于提供最便捷和优质的服务体验。 Copyright © 2023 布克学术 All rights reserved.
京ICP备2023020795号-1
ghs 京公网安备 11010802042870号
Book学术文献互助
Book学术文献互助群
群 号:604180095
Book学术官方微信