成人盆腔异位肾:机器人辅助手术治疗无法识别的输尿管肾盂连接处阻塞。

IF 0.5 Q4 SURGERY
Case Reports in Surgery Pub Date : 2025-07-07 eCollection Date: 2025-01-01 DOI:10.1155/cris/6022407
Amr Ahmed, Aleksa Zubelic, Milan Radovanovic, Gjoko Stojanoski, Jerome Katz
{"title":"成人盆腔异位肾:机器人辅助手术治疗无法识别的输尿管肾盂连接处阻塞。","authors":"Amr Ahmed, Aleksa Zubelic, Milan Radovanovic, Gjoko Stojanoski, Jerome Katz","doi":"10.1155/cris/6022407","DOIUrl":null,"url":null,"abstract":"<p><p>Ureteropelvic junction obstruction (UPJO) is observed in approximately 30% of patients with ectopic kidneys. Due to the narrow pelvic space and risk of injuring aberrant structures, an ectopic pelvic kidney with UPJO presents a unique treatment challenge. Most experiences in treating UPJO in pelvic ectopic kidneys using robotic surgical systems are based on the pediatric population. Only a few cases of successful robotic-assisted surgery in adult patients with this condition have been described. This case reports illustrates that the indications for robotic-assisted surgery for UPJO may safely be expanded to include complex adult cases with pelvic ectopic kidney.</p>","PeriodicalId":9600,"journal":{"name":"Case Reports in Surgery","volume":"2025 ","pages":"6022407"},"PeriodicalIF":0.5000,"publicationDate":"2025-07-07","publicationTypes":"Journal Article","fieldsOfStudy":null,"isOpenAccess":false,"openAccessPdf":"https://www.ncbi.nlm.nih.gov/pmc/articles/PMC12259331/pdf/","citationCount":"0","resultStr":"{\"title\":\"Pelvic Ectopic Kidney in an Adult: Robotic-Assisted Surgical Treatment of Unrecognized Ureteropelvic Junction Obstruction.\",\"authors\":\"Amr Ahmed, Aleksa Zubelic, Milan Radovanovic, Gjoko Stojanoski, Jerome Katz\",\"doi\":\"10.1155/cris/6022407\",\"DOIUrl\":null,\"url\":null,\"abstract\":\"<p><p>Ureteropelvic junction obstruction (UPJO) is observed in approximately 30% of patients with ectopic kidneys. Due to the narrow pelvic space and risk of injuring aberrant structures, an ectopic pelvic kidney with UPJO presents a unique treatment challenge. Most experiences in treating UPJO in pelvic ectopic kidneys using robotic surgical systems are based on the pediatric population. Only a few cases of successful robotic-assisted surgery in adult patients with this condition have been described. This case reports illustrates that the indications for robotic-assisted surgery for UPJO may safely be expanded to include complex adult cases with pelvic ectopic kidney.</p>\",\"PeriodicalId\":9600,\"journal\":{\"name\":\"Case Reports in Surgery\",\"volume\":\"2025 \",\"pages\":\"6022407\"},\"PeriodicalIF\":0.5000,\"publicationDate\":\"2025-07-07\",\"publicationTypes\":\"Journal Article\",\"fieldsOfStudy\":null,\"isOpenAccess\":false,\"openAccessPdf\":\"https://www.ncbi.nlm.nih.gov/pmc/articles/PMC12259331/pdf/\",\"citationCount\":\"0\",\"resultStr\":null,\"platform\":\"Semanticscholar\",\"paperid\":null,\"PeriodicalName\":\"Case Reports in Surgery\",\"FirstCategoryId\":\"1085\",\"ListUrlMain\":\"https://doi.org/10.1155/cris/6022407\",\"RegionNum\":0,\"RegionCategory\":null,\"ArticlePicture\":[],\"TitleCN\":null,\"AbstractTextCN\":null,\"PMCID\":null,\"EPubDate\":\"2025/1/1 0:00:00\",\"PubModel\":\"eCollection\",\"JCR\":\"Q4\",\"JCRName\":\"SURGERY\",\"Score\":null,\"Total\":0}","platform":"Semanticscholar","paperid":null,"PeriodicalName":"Case Reports in Surgery","FirstCategoryId":"1085","ListUrlMain":"https://doi.org/10.1155/cris/6022407","RegionNum":0,"RegionCategory":null,"ArticlePicture":[],"TitleCN":null,"AbstractTextCN":null,"PMCID":null,"EPubDate":"2025/1/1 0:00:00","PubModel":"eCollection","JCR":"Q4","JCRName":"SURGERY","Score":null,"Total":0}
引用次数: 0

摘要

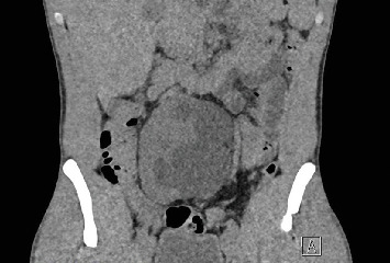
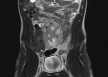
肾盂输尿管连接处梗阻(UPJO)见于约30%的异位肾患者。由于狭窄的骨盆空间和损伤异常结构的风险,异位盆腔肾UPJO提出了一个独特的治疗挑战。大多数使用机器人手术系统治疗盆腔异位肾UPJO的经验是基于儿科人群的。只有少数案例成功的机器人辅助手术在成人患者与这种情况已被描述。本病例报告表明,机器人辅助UPJO手术的适应症可以安全地扩展到包括骨盆异位肾的复杂成人病例。
本文章由计算机程序翻译,如有差异,请以英文原文为准。

Pelvic Ectopic Kidney in an Adult: Robotic-Assisted Surgical Treatment of Unrecognized Ureteropelvic Junction Obstruction.

Pelvic Ectopic Kidney in an Adult: Robotic-Assisted Surgical Treatment of Unrecognized Ureteropelvic Junction Obstruction.

Pelvic Ectopic Kidney in an Adult: Robotic-Assisted Surgical Treatment of Unrecognized Ureteropelvic Junction Obstruction.

Pelvic Ectopic Kidney in an Adult: Robotic-Assisted Surgical Treatment of Unrecognized Ureteropelvic Junction Obstruction.

Ureteropelvic junction obstruction (UPJO) is observed in approximately 30% of patients with ectopic kidneys. Due to the narrow pelvic space and risk of injuring aberrant structures, an ectopic pelvic kidney with UPJO presents a unique treatment challenge. Most experiences in treating UPJO in pelvic ectopic kidneys using robotic surgical systems are based on the pediatric population. Only a few cases of successful robotic-assisted surgery in adult patients with this condition have been described. This case reports illustrates that the indications for robotic-assisted surgery for UPJO may safely be expanded to include complex adult cases with pelvic ectopic kidney.

求助全文
通过发布文献求助,成功后即可免费获取论文全文。 去求助
来源期刊
自引率
0.00%
发文量
60
审稿时长
13 weeks
×
引用
GB/T 7714-2015
复制
MLA
复制
APA
复制
导出至
BibTeX EndNote RefMan NoteFirst NoteExpress
×
提示
您的信息不完整,为了账户安全,请先补充。
现在去补充
×
提示
您因"违规操作"
具体请查看互助需知
我知道了
×
提示
确定
请完成安全验证×
copy
已复制链接
快去分享给好友吧!
我知道了
右上角分享
点击右上角分享
0
联系我们:info@booksci.cn Book学术提供免费学术资源搜索服务,方便国内外学者检索中英文文献。致力于提供最便捷和优质的服务体验。 Copyright © 2023 布克学术 All rights reserved.
京ICP备2023020795号-1
ghs 京公网安备 11010802042870号
Book学术文献互助
Book学术文献互助群
群 号:604180095
Book学术官方微信