表观扩散系数:糖皮质激素治疗活动性中重度甲状腺眼病疗效的预测指标:一项回顾性队列研究

IF 3.3 3区 医学 Q3 ENDOCRINOLOGY & METABOLISM
Mingqiao Zhang, Xiaohui Zhang, Qian Huang, Liang Liang, Jian Long
{"title":"表观扩散系数:糖皮质激素治疗活动性中重度甲状腺眼病疗效的预测指标:一项回顾性队列研究","authors":"Mingqiao Zhang, Xiaohui Zhang, Qian Huang, Liang Liang, Jian Long","doi":"10.1186/s12902-025-01981-6","DOIUrl":null,"url":null,"abstract":"<p><strong>Purpose: </strong>To assess the association between the apparent diffusion coefficient (ADC) of extraocular muscles (EOMs) and the efficacy of glucocorticoid (GC) therapy in patients with active and moderate-severe thyroid eye disease (TED).</p><p><strong>Method: </strong>Eighteen active and moderate-to-severe bilateral TED patients (responsive group, n = 8 patients (16 eyes); unresponsive group, n = 10 patients (20 eyes)) who underwent orbital long variable echo‑trains (Resolve)-diffusion tensor imaging (DTI) before GC therapy were retrospectively enrolled. The ADC values of each EOM were collected. The correlation between the ADC of EOMs and the efficacy of GC therapy was analyzed.</p><p><strong>Results: </strong>Age was significantly younger in the responsive group compared with the unresponsive group (52.13 ± 5.18 years vs. 58.80 ± 9.33 years, P value = 0.02).There were no statistical differences in sex, smoking, TED duration, visual acuity, intraocular pressure, exophthalmos, clinical activity score, the levels of free triiodothyronine, free tetraiodothyronine thyroid-stimulating hormone, and thyroid-stimulating hormone receptor antibody between the responsive group and the unresponsive group. Apparent diffusion coefficient in the responsive group were significantly lower than that in the unresponsive group in superior rectus muscle (1351.17 ± 232.12 vs. 1624.36 ± 193.70, P value = 0.001) and medial rectus muscle (1420.69 ± 192.05 vs. 1697.00 ± 199.89, P value = 0.001). After age, sex and CAS adjustment, ADC of the superior rectus muscle and medial rectus muscle were independent predictors of the response to GC treatment by binary logistic regression analysis. The cut-off value of ADC was 1582.00 × 10<sup>- 3</sup> mm<sup>2</sup>/s in superior rectus muscle with a sensitivity of 88% and a specificity of 65% respectively [ area under the curve (AUC) = 0.81]. The cut-off value of ADC was 1541.39 × 10<sup>- 3</sup> mm<sup>2</sup>/s in medial rectus muscle with a sensitivity of 75% and a specificity of 80% (AUC = 0.84). There were no significant difference in the predictive efficacy between the two ADC cut-off values.</p><p><strong>Conclusions: </strong>Apparent diffusion coefficient values of EOMs from resolve DTI can be used as an indicator to predict the efficacy of GC therapy. Moderate-to-severe active TED patients with low ADC values at baseline in superior rectus muscle or medial rectus muscle may respond well to GC therapy.</p>","PeriodicalId":9152,"journal":{"name":"BMC Endocrine Disorders","volume":"25 1","pages":"177"},"PeriodicalIF":3.3000,"publicationDate":"2025-07-14","publicationTypes":"Journal Article","fieldsOfStudy":null,"isOpenAccess":false,"openAccessPdf":"https://www.ncbi.nlm.nih.gov/pmc/articles/PMC12257831/pdf/","citationCount":"0","resultStr":"{\"title\":\"Apparent diffusion coefficient: a predictor of the efficacy of glucocorticoid therapy in active moderate-severe thyroid eye disease: a retrospective cohort study.\",\"authors\":\"Mingqiao Zhang, Xiaohui Zhang, Qian Huang, Liang Liang, Jian Long\",\"doi\":\"10.1186/s12902-025-01981-6\",\"DOIUrl\":null,\"url\":null,\"abstract\":\"<p><strong>Purpose: </strong>To assess the association between the apparent diffusion coefficient (ADC) of extraocular muscles (EOMs) and the efficacy of glucocorticoid (GC) therapy in patients with active and moderate-severe thyroid eye disease (TED).</p><p><strong>Method: </strong>Eighteen active and moderate-to-severe bilateral TED patients (responsive group, n = 8 patients (16 eyes); unresponsive group, n = 10 patients (20 eyes)) who underwent orbital long variable echo‑trains (Resolve)-diffusion tensor imaging (DTI) before GC therapy were retrospectively enrolled. The ADC values of each EOM were collected. The correlation between the ADC of EOMs and the efficacy of GC therapy was analyzed.</p><p><strong>Results: </strong>Age was significantly younger in the responsive group compared with the unresponsive group (52.13 ± 5.18 years vs. 58.80 ± 9.33 years, P value = 0.02).There were no statistical differences in sex, smoking, TED duration, visual acuity, intraocular pressure, exophthalmos, clinical activity score, the levels of free triiodothyronine, free tetraiodothyronine thyroid-stimulating hormone, and thyroid-stimulating hormone receptor antibody between the responsive group and the unresponsive group. Apparent diffusion coefficient in the responsive group were significantly lower than that in the unresponsive group in superior rectus muscle (1351.17 ± 232.12 vs. 1624.36 ± 193.70, P value = 0.001) and medial rectus muscle (1420.69 ± 192.05 vs. 1697.00 ± 199.89, P value = 0.001). After age, sex and CAS adjustment, ADC of the superior rectus muscle and medial rectus muscle were independent predictors of the response to GC treatment by binary logistic regression analysis. The cut-off value of ADC was 1582.00 × 10<sup>- 3</sup> mm<sup>2</sup>/s in superior rectus muscle with a sensitivity of 88% and a specificity of 65% respectively [ area under the curve (AUC) = 0.81]. The cut-off value of ADC was 1541.39 × 10<sup>- 3</sup> mm<sup>2</sup>/s in medial rectus muscle with a sensitivity of 75% and a specificity of 80% (AUC = 0.84). There were no significant difference in the predictive efficacy between the two ADC cut-off values.</p><p><strong>Conclusions: </strong>Apparent diffusion coefficient values of EOMs from resolve DTI can be used as an indicator to predict the efficacy of GC therapy. Moderate-to-severe active TED patients with low ADC values at baseline in superior rectus muscle or medial rectus muscle may respond well to GC therapy.</p>\",\"PeriodicalId\":9152,\"journal\":{\"name\":\"BMC Endocrine Disorders\",\"volume\":\"25 1\",\"pages\":\"177\"},\"PeriodicalIF\":3.3000,\"publicationDate\":\"2025-07-14\",\"publicationTypes\":\"Journal Article\",\"fieldsOfStudy\":null,\"isOpenAccess\":false,\"openAccessPdf\":\"https://www.ncbi.nlm.nih.gov/pmc/articles/PMC12257831/pdf/\",\"citationCount\":\"0\",\"resultStr\":null,\"platform\":\"Semanticscholar\",\"paperid\":null,\"PeriodicalName\":\"BMC Endocrine Disorders\",\"FirstCategoryId\":\"3\",\"ListUrlMain\":\"https://doi.org/10.1186/s12902-025-01981-6\",\"RegionNum\":3,\"RegionCategory\":\"医学\",\"ArticlePicture\":[],\"TitleCN\":null,\"AbstractTextCN\":null,\"PMCID\":null,\"EPubDate\":\"\",\"PubModel\":\"\",\"JCR\":\"Q3\",\"JCRName\":\"ENDOCRINOLOGY & METABOLISM\",\"Score\":null,\"Total\":0}","platform":"Semanticscholar","paperid":null,"PeriodicalName":"BMC Endocrine Disorders","FirstCategoryId":"3","ListUrlMain":"https://doi.org/10.1186/s12902-025-01981-6","RegionNum":3,"RegionCategory":"医学","ArticlePicture":[],"TitleCN":null,"AbstractTextCN":null,"PMCID":null,"EPubDate":"","PubModel":"","JCR":"Q3","JCRName":"ENDOCRINOLOGY & METABOLISM","Score":null,"Total":0}
引用次数: 0

摘要

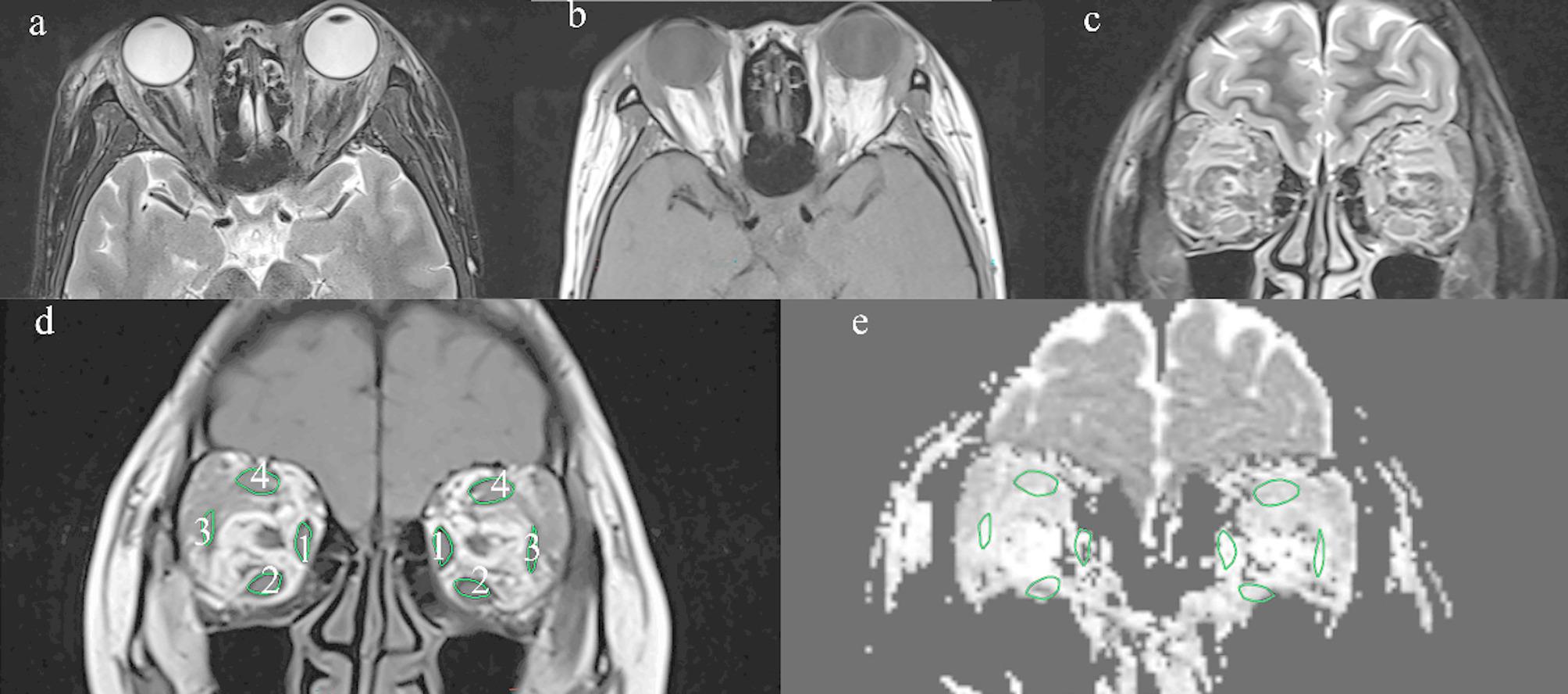
目的:探讨活动性和中重度甲状腺眼病(TED)患者眼外肌(EOMs)表观扩散系数(ADC)与糖皮质激素(GC)治疗效果的关系。方法:18例活动性、中重度双侧TED患者(反应组,n = 8例(16眼);无反应组,n = 10例(20眼),在GC治疗前接受眶长可变回声序列(Resolve)-弥散张量成像(DTI)。采集各EOM的ADC值。分析EOMs的ADC与GC治疗效果的相关性。结果:反应组的年龄明显低于无反应组(52.13±5.18岁∶58.80±9.33岁,P值= 0.02)。反应组与无反应组在性别、吸烟情况、TED持续时间、视力、眼压、眼球突出、临床活动评分、游离三碘甲状腺原氨酸、游离四碘甲状腺原氨酸促甲状腺激素、促甲状腺激素受体抗体水平上均无统计学差异。反应组上直肌的表观扩散系数(1351.17±232.12∶1624.36±193.70,P值= 0.001)和内直肌的表观扩散系数(1420.69±192.05∶167.00±199.89,P值= 0.001)显著低于无反应组。经二值logistic回归分析,年龄、性别和CAS调整后,上直肌和内侧直肌ADC是GC治疗疗效的独立预测因子。ADC在上直肌的截断值为1582.00 × 10- 3 mm2/s,灵敏度为88%,特异性为65%[曲线下面积(AUC) = 0.81]。ADC在内侧直肌的截断值为1541.39 × 10- 3 mm2/s,敏感性为75%,特异性为80% (AUC = 0.84)。两种ADC截止值的预测效果无显著差异。结论:溶解DTI中EOMs的表观扩散系数值可作为预测GC治疗效果的指标。上直肌或内直肌ADC基线值较低的中重度活动性TED患者可能对GC治疗反应良好。
本文章由计算机程序翻译,如有差异,请以英文原文为准。

Apparent diffusion coefficient: a predictor of the efficacy of glucocorticoid therapy in active moderate-severe thyroid eye disease: a retrospective cohort study.

Apparent diffusion coefficient: a predictor of the efficacy of glucocorticoid therapy in active moderate-severe thyroid eye disease: a retrospective cohort study.

Apparent diffusion coefficient: a predictor of the efficacy of glucocorticoid therapy in active moderate-severe thyroid eye disease: a retrospective cohort study.

Purpose: To assess the association between the apparent diffusion coefficient (ADC) of extraocular muscles (EOMs) and the efficacy of glucocorticoid (GC) therapy in patients with active and moderate-severe thyroid eye disease (TED).

Method: Eighteen active and moderate-to-severe bilateral TED patients (responsive group, n = 8 patients (16 eyes); unresponsive group, n = 10 patients (20 eyes)) who underwent orbital long variable echo‑trains (Resolve)-diffusion tensor imaging (DTI) before GC therapy were retrospectively enrolled. The ADC values of each EOM were collected. The correlation between the ADC of EOMs and the efficacy of GC therapy was analyzed.

Results: Age was significantly younger in the responsive group compared with the unresponsive group (52.13 ± 5.18 years vs. 58.80 ± 9.33 years, P value = 0.02).There were no statistical differences in sex, smoking, TED duration, visual acuity, intraocular pressure, exophthalmos, clinical activity score, the levels of free triiodothyronine, free tetraiodothyronine thyroid-stimulating hormone, and thyroid-stimulating hormone receptor antibody between the responsive group and the unresponsive group. Apparent diffusion coefficient in the responsive group were significantly lower than that in the unresponsive group in superior rectus muscle (1351.17 ± 232.12 vs. 1624.36 ± 193.70, P value = 0.001) and medial rectus muscle (1420.69 ± 192.05 vs. 1697.00 ± 199.89, P value = 0.001). After age, sex and CAS adjustment, ADC of the superior rectus muscle and medial rectus muscle were independent predictors of the response to GC treatment by binary logistic regression analysis. The cut-off value of ADC was 1582.00 × 10- 3 mm2/s in superior rectus muscle with a sensitivity of 88% and a specificity of 65% respectively [ area under the curve (AUC) = 0.81]. The cut-off value of ADC was 1541.39 × 10- 3 mm2/s in medial rectus muscle with a sensitivity of 75% and a specificity of 80% (AUC = 0.84). There were no significant difference in the predictive efficacy between the two ADC cut-off values.

Conclusions: Apparent diffusion coefficient values of EOMs from resolve DTI can be used as an indicator to predict the efficacy of GC therapy. Moderate-to-severe active TED patients with low ADC values at baseline in superior rectus muscle or medial rectus muscle may respond well to GC therapy.

求助全文
通过发布文献求助,成功后即可免费获取论文全文。 去求助
来源期刊
BMC Endocrine Disorders
BMC Endocrine Disorders ENDOCRINOLOGY & METABOLISM-
CiteScore
4.40
自引率
0.00%
发文量
280
审稿时长
>12 weeks
期刊介绍: BMC Endocrine Disorders is an open access, peer-reviewed journal that considers articles on all aspects of the prevention, diagnosis and management of endocrine disorders, as well as related molecular genetics, pathophysiology, and epidemiology.
×
引用
GB/T 7714-2015
复制
MLA
复制
APA
复制
导出至
BibTeX EndNote RefMan NoteFirst NoteExpress
×
提示
您的信息不完整,为了账户安全,请先补充。
现在去补充
×
提示
您因"违规操作"
具体请查看互助需知
我知道了
×
提示
确定
请完成安全验证×
copy
已复制链接
快去分享给好友吧!
我知道了
右上角分享
点击右上角分享
0
联系我们:info@booksci.cn Book学术提供免费学术资源搜索服务,方便国内外学者检索中英文文献。致力于提供最便捷和优质的服务体验。 Copyright © 2023 布克学术 All rights reserved.
京ICP备2023020795号-1
ghs 京公网安备 11010802042870号
Book学术文献互助
Book学术文献互助群
群 号:604180095
Book学术官方微信