肺结节病的放射学表型:新定义的高分辨率计算机断层扫描表型的可靠性研究。

IF 2.1
BJR open Pub Date : 2025-06-25 eCollection Date: 2025-01-01 DOI:10.1093/bjro/tzaf017
Julie Van Woensel, Jasenko Krdzalic, Tom de Jaegere, Marlou T H F Janssen, Sofia Ramiro, César Magro Checa, Robert B M Landewé, Rémy L M Mostard
{"title":"肺结节病的放射学表型:新定义的高分辨率计算机断层扫描表型的可靠性研究。","authors":"Julie Van Woensel, Jasenko Krdzalic, Tom de Jaegere, Marlou T H F Janssen, Sofia Ramiro, César Magro Checa, Robert B M Landewé, Rémy L M Mostard","doi":"10.1093/bjro/tzaf017","DOIUrl":null,"url":null,"abstract":"<p><strong>Objectives: </strong>An accurate morphological classification of distinct pulmonary phenotypes in sarcoidosis is lacking. Recently, a multinational Delphi study was conducted to reach a consensus on recognizable high-resolution computer tomography (HRCT) phenotypes in pulmonary sarcoidosis as a basis for a more distinctive classification. The reliability of these phenotypes has not yet been evaluated.</p><p><strong>Methods: </strong>HRCT scans of adult sarcoidosis patients from the pulmonology department of a single sarcoidosis referral center were scored by three blinded independent readers. Seven phenotypes were distinguished as described in the Delphi study. They were divided into two subgroups: \"non-fibrotic\" and \"likely-to-be fibrotic\". Intra- and inter-reader reliability for scoring the predominant phenotype and the subgroup was assessed using weighted Kappa (K<sub>w</sub>) statistics.</p><p><strong>Results: </strong>Forty-five patients (mean age, 47 years ± 12, 28 men) were included. For the scoring of the predominant phenotype, inter-reader reliability between all readers was substantial with an overall Fleiss' kappa of 0.69 (CI 0.622-0.765, <i>P</i> < .001). We observed a substantial inter-reader reliability between readers A and B (<i>K</i> <sub>w</sub> of 0.76), between readers B and C (K<sub>w</sub> of 0.66) and between readers A and C (<i>K</i> <sub>w</sub> of 0.66). For the scoring of the subgroups \"non-fibrotic\" vs. \"likely-to-be fibrotic,\" overall Fleiss' Kappa was substantial (<i>K</i> = 0.78, CI 0.607-0.944, <i>P</i> < .001). We observed a <i>K</i> <sub>w</sub> score of 0.76 between readers A and B; 0.81 between readers A and C; 0.76 between readers B and C. Intra-reader reliability was substantial between the scores of A in scoring the predominant phenotypes (<i>K</i> <sub>w</sub> of 0.71) and it was almost perfect in scoring the subgroups (<i>K</i> <sub>w</sub> of 0.95). Intra-reader reliability was substantial between the scores of B in scoring the predominant phenotype (<i>K</i> <sub>w</sub> of 0.66) and subgroups (<i>K</i> <sub>w</sub> of 0.72).</p><p><strong>Conclusions: </strong>The inter- and intra-reader reliability of the newly proposed HRCT phenotypes obtained from the Delphi study is very acceptable.</p><p><strong>Advances in knowledge: </strong>This study is the first to assess the reliability of these HRCT phenotypes and supports the use of them for classification purposes in future clinical and pathogenetic studies.</p>","PeriodicalId":72419,"journal":{"name":"BJR open","volume":"7 1","pages":"tzaf017"},"PeriodicalIF":2.1000,"publicationDate":"2025-06-25","publicationTypes":"Journal Article","fieldsOfStudy":null,"isOpenAccess":false,"openAccessPdf":"https://www.ncbi.nlm.nih.gov/pmc/articles/PMC12255234/pdf/","citationCount":"0","resultStr":"{\"title\":\"Radiological phenotypes in pulmonary sarcoidosis: a reliability study of newly defined high-resolution computer tomography phenotypes.\",\"authors\":\"Julie Van Woensel, Jasenko Krdzalic, Tom de Jaegere, Marlou T H F Janssen, Sofia Ramiro, César Magro Checa, Robert B M Landewé, Rémy L M Mostard\",\"doi\":\"10.1093/bjro/tzaf017\",\"DOIUrl\":null,\"url\":null,\"abstract\":\"<p><strong>Objectives: </strong>An accurate morphological classification of distinct pulmonary phenotypes in sarcoidosis is lacking. Recently, a multinational Delphi study was conducted to reach a consensus on recognizable high-resolution computer tomography (HRCT) phenotypes in pulmonary sarcoidosis as a basis for a more distinctive classification. The reliability of these phenotypes has not yet been evaluated.</p><p><strong>Methods: </strong>HRCT scans of adult sarcoidosis patients from the pulmonology department of a single sarcoidosis referral center were scored by three blinded independent readers. Seven phenotypes were distinguished as described in the Delphi study. They were divided into two subgroups: \\\"non-fibrotic\\\" and \\\"likely-to-be fibrotic\\\". Intra- and inter-reader reliability for scoring the predominant phenotype and the subgroup was assessed using weighted Kappa (K<sub>w</sub>) statistics.</p><p><strong>Results: </strong>Forty-five patients (mean age, 47 years ± 12, 28 men) were included. For the scoring of the predominant phenotype, inter-reader reliability between all readers was substantial with an overall Fleiss' kappa of 0.69 (CI 0.622-0.765, <i>P</i> < .001). We observed a substantial inter-reader reliability between readers A and B (<i>K</i> <sub>w</sub> of 0.76), between readers B and C (K<sub>w</sub> of 0.66) and between readers A and C (<i>K</i> <sub>w</sub> of 0.66). For the scoring of the subgroups \\\"non-fibrotic\\\" vs. \\\"likely-to-be fibrotic,\\\" overall Fleiss' Kappa was substantial (<i>K</i> = 0.78, CI 0.607-0.944, <i>P</i> < .001). We observed a <i>K</i> <sub>w</sub> score of 0.76 between readers A and B; 0.81 between readers A and C; 0.76 between readers B and C. Intra-reader reliability was substantial between the scores of A in scoring the predominant phenotypes (<i>K</i> <sub>w</sub> of 0.71) and it was almost perfect in scoring the subgroups (<i>K</i> <sub>w</sub> of 0.95). Intra-reader reliability was substantial between the scores of B in scoring the predominant phenotype (<i>K</i> <sub>w</sub> of 0.66) and subgroups (<i>K</i> <sub>w</sub> of 0.72).</p><p><strong>Conclusions: </strong>The inter- and intra-reader reliability of the newly proposed HRCT phenotypes obtained from the Delphi study is very acceptable.</p><p><strong>Advances in knowledge: </strong>This study is the first to assess the reliability of these HRCT phenotypes and supports the use of them for classification purposes in future clinical and pathogenetic studies.</p>\",\"PeriodicalId\":72419,\"journal\":{\"name\":\"BJR open\",\"volume\":\"7 1\",\"pages\":\"tzaf017\"},\"PeriodicalIF\":2.1000,\"publicationDate\":\"2025-06-25\",\"publicationTypes\":\"Journal Article\",\"fieldsOfStudy\":null,\"isOpenAccess\":false,\"openAccessPdf\":\"https://www.ncbi.nlm.nih.gov/pmc/articles/PMC12255234/pdf/\",\"citationCount\":\"0\",\"resultStr\":null,\"platform\":\"Semanticscholar\",\"paperid\":null,\"PeriodicalName\":\"BJR open\",\"FirstCategoryId\":\"1085\",\"ListUrlMain\":\"https://doi.org/10.1093/bjro/tzaf017\",\"RegionNum\":0,\"RegionCategory\":null,\"ArticlePicture\":[],\"TitleCN\":null,\"AbstractTextCN\":null,\"PMCID\":null,\"EPubDate\":\"2025/1/1 0:00:00\",\"PubModel\":\"eCollection\",\"JCR\":\"\",\"JCRName\":\"\",\"Score\":null,\"Total\":0}","platform":"Semanticscholar","paperid":null,"PeriodicalName":"BJR open","FirstCategoryId":"1085","ListUrlMain":"https://doi.org/10.1093/bjro/tzaf017","RegionNum":0,"RegionCategory":null,"ArticlePicture":[],"TitleCN":null,"AbstractTextCN":null,"PMCID":null,"EPubDate":"2025/1/1 0:00:00","PubModel":"eCollection","JCR":"","JCRName":"","Score":null,"Total":0}
引用次数: 0

摘要

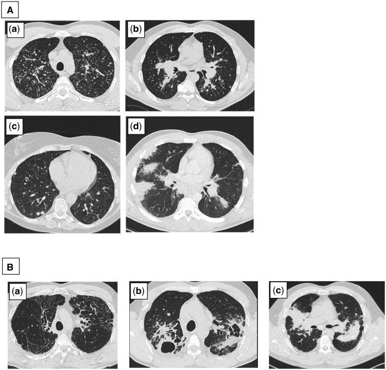
目的:缺乏结节病中不同肺表型的准确形态学分类。最近,进行了一项多国德尔菲研究,以就肺结节病可识别的高分辨率计算机断层扫描(HRCT)表型达成共识,作为更独特分类的基础。这些表型的可靠性尚未得到评估。方法:对单个结节病转诊中心肺病科成年结节病患者的HRCT扫描进行三名盲法独立阅读者评分。如德尔菲研究中所描述的,七种表型被区分出来。他们被分为两个亚组:“非纤维化”和“可能纤维化”。使用加权Kappa (Kw)统计评估主要表型和亚组评分的阅读器内和阅读器间可靠性。结果:纳入45例患者,平均年龄47岁±12岁,男性28例。对于显性表型的评分,所有读者之间的读者间信度都很高,总体Fleiss kappa为0.69 (CI为0.622-0.765,kp为0.76),读者B和C之间(Kw为0.66),读者A和C之间(kp为0.66)。对于“非纤维化”与“非纤维化”亚组的评分。“可能是纤维化的”,总体Fleiss Kappa是可观的(K = 0.78, CI 0.607-0.944,读者A和B之间的pkw评分为0.76;读者A与读者C之间的差异为0.81;在对显性表型的评分上,A组与c组之间的读者内信度相当高(K w为0.71),在对亚组的评分上,读者内信度几乎是完美的(K w为0.95)。在对显性表型(kw为0.66)和亚组(kw为0.72)进行评分时,B的评分具有显著的读者内信度。结论:从德尔菲研究中获得的新提出的HRCT表型的阅读器间和阅读器内可靠性是非常可接受的。知识进展:该研究首次评估了这些HRCT表型的可靠性,并支持在未来的临床和病理研究中将其用于分类目的。
本文章由计算机程序翻译,如有差异,请以英文原文为准。

Radiological phenotypes in pulmonary sarcoidosis: a reliability study of newly defined high-resolution computer tomography phenotypes.

Radiological phenotypes in pulmonary sarcoidosis: a reliability study of newly defined high-resolution computer tomography phenotypes.

Objectives: An accurate morphological classification of distinct pulmonary phenotypes in sarcoidosis is lacking. Recently, a multinational Delphi study was conducted to reach a consensus on recognizable high-resolution computer tomography (HRCT) phenotypes in pulmonary sarcoidosis as a basis for a more distinctive classification. The reliability of these phenotypes has not yet been evaluated.

Methods: HRCT scans of adult sarcoidosis patients from the pulmonology department of a single sarcoidosis referral center were scored by three blinded independent readers. Seven phenotypes were distinguished as described in the Delphi study. They were divided into two subgroups: "non-fibrotic" and "likely-to-be fibrotic". Intra- and inter-reader reliability for scoring the predominant phenotype and the subgroup was assessed using weighted Kappa (Kw) statistics.

Results: Forty-five patients (mean age, 47 years ± 12, 28 men) were included. For the scoring of the predominant phenotype, inter-reader reliability between all readers was substantial with an overall Fleiss' kappa of 0.69 (CI 0.622-0.765, P < .001). We observed a substantial inter-reader reliability between readers A and B (K w of 0.76), between readers B and C (Kw of 0.66) and between readers A and C (K w of 0.66). For the scoring of the subgroups "non-fibrotic" vs. "likely-to-be fibrotic," overall Fleiss' Kappa was substantial (K = 0.78, CI 0.607-0.944, P < .001). We observed a K w score of 0.76 between readers A and B; 0.81 between readers A and C; 0.76 between readers B and C. Intra-reader reliability was substantial between the scores of A in scoring the predominant phenotypes (K w of 0.71) and it was almost perfect in scoring the subgroups (K w of 0.95). Intra-reader reliability was substantial between the scores of B in scoring the predominant phenotype (K w of 0.66) and subgroups (K w of 0.72).

Conclusions: The inter- and intra-reader reliability of the newly proposed HRCT phenotypes obtained from the Delphi study is very acceptable.

Advances in knowledge: This study is the first to assess the reliability of these HRCT phenotypes and supports the use of them for classification purposes in future clinical and pathogenetic studies.

求助全文
通过发布文献求助,成功后即可免费获取论文全文。 去求助
来源期刊
自引率
0.00%
发文量
0
审稿时长
18 weeks
×
引用
GB/T 7714-2015
复制
MLA
复制
APA
复制
导出至
BibTeX EndNote RefMan NoteFirst NoteExpress
×
提示
您的信息不完整,为了账户安全,请先补充。
现在去补充
×
提示
您因"违规操作"
具体请查看互助需知
我知道了
×
提示
确定
请完成安全验证×
copy
已复制链接
快去分享给好友吧!
我知道了
右上角分享
点击右上角分享
0
联系我们:info@booksci.cn Book学术提供免费学术资源搜索服务,方便国内外学者检索中英文文献。致力于提供最便捷和优质的服务体验。 Copyright © 2023 布克学术 All rights reserved.
京ICP备2023020795号-1
ghs 京公网安备 11010802042870号
Book学术文献互助
Book学术文献互助群
群 号:604180095
Book学术官方微信