急性和慢性肺栓塞的无创成像。

IF 2.1
BJR open Pub Date : 2025-04-10 eCollection Date: 2025-01-01 DOI:10.1093/bjro/tzaf005
Sze Mun Mak, Bhavin Rawal, Giulia Benedetti, Amy Eccles, Laura Price, Karen Breen, Simon P G Padley, Narayan Karunanithy
{"title":"急性和慢性肺栓塞的无创成像。","authors":"Sze Mun Mak, Bhavin Rawal, Giulia Benedetti, Amy Eccles, Laura Price, Karen Breen, Simon P G Padley, Narayan Karunanithy","doi":"10.1093/bjro/tzaf005","DOIUrl":null,"url":null,"abstract":"<p><p>Acute pulmonary emboli can manifest as a spectrum of physiological status ranging from an incidental finding to life threatening right heart failure. We discuss the crucial role imaging plays in the accurate and rapid diagnosis. In addition, imaging features are central in assessing the severity of the presentation allowing for appropriate risk stratification and escalation of care. The relative strengths of the various imaging modalities used in the management of chronic thromboembolic pulmonary hypertension are also discussed.</p>","PeriodicalId":72419,"journal":{"name":"BJR open","volume":"7 1","pages":"tzaf005"},"PeriodicalIF":2.1000,"publicationDate":"2025-04-10","publicationTypes":"Journal Article","fieldsOfStudy":null,"isOpenAccess":false,"openAccessPdf":"https://www.ncbi.nlm.nih.gov/pmc/articles/PMC12254125/pdf/","citationCount":"0","resultStr":"{\"title\":\"Non-invasive imaging in acute and chronic pulmonary embolism.\",\"authors\":\"Sze Mun Mak, Bhavin Rawal, Giulia Benedetti, Amy Eccles, Laura Price, Karen Breen, Simon P G Padley, Narayan Karunanithy\",\"doi\":\"10.1093/bjro/tzaf005\",\"DOIUrl\":null,\"url\":null,\"abstract\":\"<p><p>Acute pulmonary emboli can manifest as a spectrum of physiological status ranging from an incidental finding to life threatening right heart failure. We discuss the crucial role imaging plays in the accurate and rapid diagnosis. In addition, imaging features are central in assessing the severity of the presentation allowing for appropriate risk stratification and escalation of care. The relative strengths of the various imaging modalities used in the management of chronic thromboembolic pulmonary hypertension are also discussed.</p>\",\"PeriodicalId\":72419,\"journal\":{\"name\":\"BJR open\",\"volume\":\"7 1\",\"pages\":\"tzaf005\"},\"PeriodicalIF\":2.1000,\"publicationDate\":\"2025-04-10\",\"publicationTypes\":\"Journal Article\",\"fieldsOfStudy\":null,\"isOpenAccess\":false,\"openAccessPdf\":\"https://www.ncbi.nlm.nih.gov/pmc/articles/PMC12254125/pdf/\",\"citationCount\":\"0\",\"resultStr\":null,\"platform\":\"Semanticscholar\",\"paperid\":null,\"PeriodicalName\":\"BJR open\",\"FirstCategoryId\":\"1085\",\"ListUrlMain\":\"https://doi.org/10.1093/bjro/tzaf005\",\"RegionNum\":0,\"RegionCategory\":null,\"ArticlePicture\":[],\"TitleCN\":null,\"AbstractTextCN\":null,\"PMCID\":null,\"EPubDate\":\"2025/1/1 0:00:00\",\"PubModel\":\"eCollection\",\"JCR\":\"\",\"JCRName\":\"\",\"Score\":null,\"Total\":0}","platform":"Semanticscholar","paperid":null,"PeriodicalName":"BJR open","FirstCategoryId":"1085","ListUrlMain":"https://doi.org/10.1093/bjro/tzaf005","RegionNum":0,"RegionCategory":null,"ArticlePicture":[],"TitleCN":null,"AbstractTextCN":null,"PMCID":null,"EPubDate":"2025/1/1 0:00:00","PubModel":"eCollection","JCR":"","JCRName":"","Score":null,"Total":0}
引用次数: 0

摘要

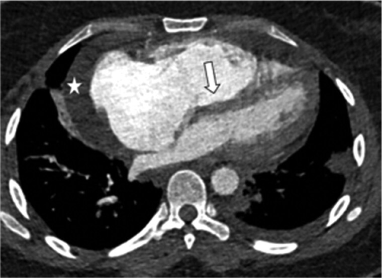
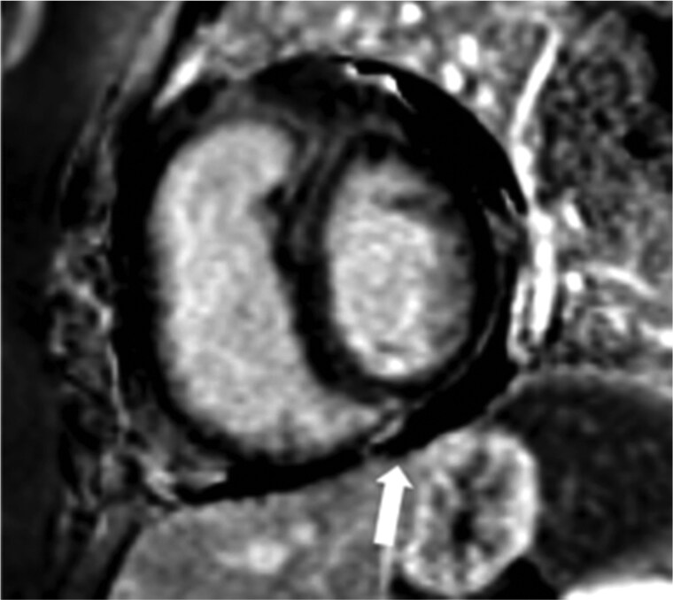
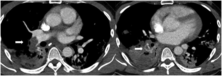
急性肺栓塞可以表现为一系列生理状态,从偶然发现到危及生命的右心衰。我们讨论了成像在准确和快速诊断中所起的关键作用。此外,影像学特征是评估表现严重程度的核心,允许适当的风险分层和护理升级。各种成像方式用于慢性血栓栓塞性肺动脉高压的管理的相对优势也进行了讨论。
本文章由计算机程序翻译,如有差异,请以英文原文为准。

Non-invasive imaging in acute and chronic pulmonary embolism.

Non-invasive imaging in acute and chronic pulmonary embolism.

Non-invasive imaging in acute and chronic pulmonary embolism.

Non-invasive imaging in acute and chronic pulmonary embolism.

Acute pulmonary emboli can manifest as a spectrum of physiological status ranging from an incidental finding to life threatening right heart failure. We discuss the crucial role imaging plays in the accurate and rapid diagnosis. In addition, imaging features are central in assessing the severity of the presentation allowing for appropriate risk stratification and escalation of care. The relative strengths of the various imaging modalities used in the management of chronic thromboembolic pulmonary hypertension are also discussed.

求助全文
通过发布文献求助,成功后即可免费获取论文全文。 去求助
来源期刊
自引率
0.00%
发文量
0
审稿时长
18 weeks
×
引用
GB/T 7714-2015
复制
MLA
复制
APA
复制
导出至
BibTeX EndNote RefMan NoteFirst NoteExpress
×
提示
您的信息不完整,为了账户安全,请先补充。
现在去补充
×
提示
您因"违规操作"
具体请查看互助需知
我知道了
×
提示
确定
请完成安全验证×
copy
已复制链接
快去分享给好友吧!
我知道了
右上角分享
点击右上角分享
0
联系我们:info@booksci.cn Book学术提供免费学术资源搜索服务,方便国内外学者检索中英文文献。致力于提供最便捷和优质的服务体验。 Copyright © 2023 布克学术 All rights reserved.
京ICP备2023020795号-1
ghs 京公网安备 11010802042870号
Book学术文献互助
Book学术文献互助群
群 号:604180095
Book学术官方微信