松鼠猴原发性精囊腺癌的研究。

IF 1.1 4区 农林科学 Q3 VETERINARY SCIENCES
Journal of Veterinary Medical Science Pub Date : 2025-09-01 Epub Date: 2025-07-14 DOI:10.1292/jvms.25-0117
Tomotaka Sato, Shin-Ichi Nakamura, Sho Kadekaru, Mariko Nakagawa, Yumi Une
{"title":"松鼠猴原发性精囊腺癌的研究。","authors":"Tomotaka Sato, Shin-Ichi Nakamura, Sho Kadekaru, Mariko Nakagawa, Yumi Une","doi":"10.1292/jvms.25-0117","DOIUrl":null,"url":null,"abstract":"<p><p>This report presents the case of a 22-year-old male squirrel monkey with primary seminal vesicle adenocarcinoma (PSVA). The animal presented with hematuria and emaciation. Pathological autopsy of the seminal vesicle tumor revealed an irregularly shaped, white, solid mass showing ductal/papillary and solid patterns and periodic acid-Schiff-positive mucus in the duct. The vesicle was dilated by blood. Tumor cells showed cytoplasmic eosinophilic granules, and a transition to tumor tissue was observed. Immunohistochemical analysis indicated that all tumor cells were cytokeratin-negative; only ductal/papillary cells were vimentin-positive. Other organs were tumor free. PSVA was diagnosed based on the site of tumor origin and histopathology, similar to PSVA in laboratory rodents. This study reports a case of PSVA in a new-world monkey.</p>","PeriodicalId":49959,"journal":{"name":"Journal of Veterinary Medical Science","volume":" ","pages":"995-999"},"PeriodicalIF":1.1000,"publicationDate":"2025-09-01","publicationTypes":"Journal Article","fieldsOfStudy":null,"isOpenAccess":false,"openAccessPdf":"https://www.ncbi.nlm.nih.gov/pmc/articles/PMC12417738/pdf/","citationCount":"0","resultStr":"{\"title\":\"Primary seminal vesicle adenocarcinoma in a squirrel monkey (Saimiri sciureus).\",\"authors\":\"Tomotaka Sato, Shin-Ichi Nakamura, Sho Kadekaru, Mariko Nakagawa, Yumi Une\",\"doi\":\"10.1292/jvms.25-0117\",\"DOIUrl\":null,\"url\":null,\"abstract\":\"<p><p>This report presents the case of a 22-year-old male squirrel monkey with primary seminal vesicle adenocarcinoma (PSVA). The animal presented with hematuria and emaciation. Pathological autopsy of the seminal vesicle tumor revealed an irregularly shaped, white, solid mass showing ductal/papillary and solid patterns and periodic acid-Schiff-positive mucus in the duct. The vesicle was dilated by blood. Tumor cells showed cytoplasmic eosinophilic granules, and a transition to tumor tissue was observed. Immunohistochemical analysis indicated that all tumor cells were cytokeratin-negative; only ductal/papillary cells were vimentin-positive. Other organs were tumor free. PSVA was diagnosed based on the site of tumor origin and histopathology, similar to PSVA in laboratory rodents. This study reports a case of PSVA in a new-world monkey.</p>\",\"PeriodicalId\":49959,\"journal\":{\"name\":\"Journal of Veterinary Medical Science\",\"volume\":\" \",\"pages\":\"995-999\"},\"PeriodicalIF\":1.1000,\"publicationDate\":\"2025-09-01\",\"publicationTypes\":\"Journal Article\",\"fieldsOfStudy\":null,\"isOpenAccess\":false,\"openAccessPdf\":\"https://www.ncbi.nlm.nih.gov/pmc/articles/PMC12417738/pdf/\",\"citationCount\":\"0\",\"resultStr\":null,\"platform\":\"Semanticscholar\",\"paperid\":null,\"PeriodicalName\":\"Journal of Veterinary Medical Science\",\"FirstCategoryId\":\"97\",\"ListUrlMain\":\"https://doi.org/10.1292/jvms.25-0117\",\"RegionNum\":4,\"RegionCategory\":\"农林科学\",\"ArticlePicture\":[],\"TitleCN\":null,\"AbstractTextCN\":null,\"PMCID\":null,\"EPubDate\":\"2025/7/14 0:00:00\",\"PubModel\":\"Epub\",\"JCR\":\"Q3\",\"JCRName\":\"VETERINARY SCIENCES\",\"Score\":null,\"Total\":0}","platform":"Semanticscholar","paperid":null,"PeriodicalName":"Journal of Veterinary Medical Science","FirstCategoryId":"97","ListUrlMain":"https://doi.org/10.1292/jvms.25-0117","RegionNum":4,"RegionCategory":"农林科学","ArticlePicture":[],"TitleCN":null,"AbstractTextCN":null,"PMCID":null,"EPubDate":"2025/7/14 0:00:00","PubModel":"Epub","JCR":"Q3","JCRName":"VETERINARY SCIENCES","Score":null,"Total":0}
引用次数: 0

摘要

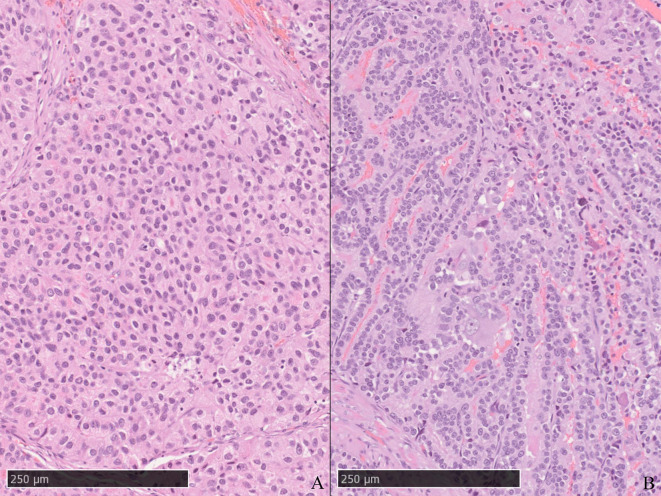
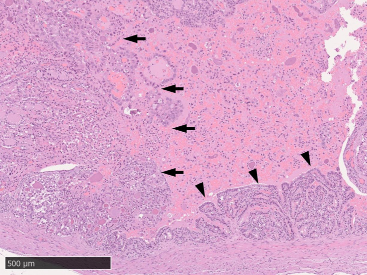
本文报告一例22岁雄性松鼠猴患原发性精囊腺癌(PSVA)。动物表现为血尿和消瘦。精囊肿瘤的病理解剖显示一个形状不规则的白色实性肿块,显示导管/乳头状和实性形态,导管内有周期性的酸-希夫阳性粘液。小泡因血液而扩张。肿瘤细胞呈细胞质嗜酸性颗粒,向肿瘤组织过渡。免疫组化分析显示所有肿瘤细胞角蛋白均为阴性;只有导管/乳头状细胞呈vimentin阳性。其他器官无肿瘤。PSVA的诊断基于肿瘤起源部位和组织病理学,类似于实验室啮齿动物的PSVA。本研究报告了一例新世界猴的PSVA。
本文章由计算机程序翻译,如有差异,请以英文原文为准。

Primary seminal vesicle adenocarcinoma in a squirrel monkey (Saimiri sciureus).

Primary seminal vesicle adenocarcinoma in a squirrel monkey (Saimiri sciureus).

Primary seminal vesicle adenocarcinoma in a squirrel monkey (Saimiri sciureus).

Primary seminal vesicle adenocarcinoma in a squirrel monkey (Saimiri sciureus).

This report presents the case of a 22-year-old male squirrel monkey with primary seminal vesicle adenocarcinoma (PSVA). The animal presented with hematuria and emaciation. Pathological autopsy of the seminal vesicle tumor revealed an irregularly shaped, white, solid mass showing ductal/papillary and solid patterns and periodic acid-Schiff-positive mucus in the duct. The vesicle was dilated by blood. Tumor cells showed cytoplasmic eosinophilic granules, and a transition to tumor tissue was observed. Immunohistochemical analysis indicated that all tumor cells were cytokeratin-negative; only ductal/papillary cells were vimentin-positive. Other organs were tumor free. PSVA was diagnosed based on the site of tumor origin and histopathology, similar to PSVA in laboratory rodents. This study reports a case of PSVA in a new-world monkey.

求助全文
通过发布文献求助,成功后即可免费获取论文全文。 去求助
来源期刊
Journal of Veterinary Medical Science
Journal of Veterinary Medical Science 农林科学-兽医学
CiteScore
2.30
自引率
8.30%
发文量
230
审稿时长
9-18 weeks
期刊介绍: JVMS is a peer-reviewed journal and publishes a variety of papers on veterinary science from basic research to applied science and clinical research. JVMS is published monthly and consists of twelve issues per year. Papers are from the areas of anatomy, physiology, pharmacology, toxicology, pathology, immunology, microbiology, virology, parasitology, internal medicine, surgery, clinical pathology, theriogenology, avian disease, public health, ethology, and laboratory animal science. Although JVMS has played a role in publishing the scientific achievements of Japanese researchers and clinicians for many years, it now also accepts papers submitted from all over the world.
×
引用
GB/T 7714-2015
复制
MLA
复制
APA
复制
导出至
BibTeX EndNote RefMan NoteFirst NoteExpress
×
提示
您的信息不完整,为了账户安全,请先补充。
现在去补充
×
提示
您因"违规操作"
具体请查看互助需知
我知道了
×
提示
确定
请完成安全验证×
copy
已复制链接
快去分享给好友吧!
我知道了
右上角分享
点击右上角分享
0
联系我们:info@booksci.cn Book学术提供免费学术资源搜索服务,方便国内外学者检索中英文文献。致力于提供最便捷和优质的服务体验。 Copyright © 2023 布克学术 All rights reserved.
京ICP备2023020795号-1
ghs 京公网安备 11010802042870号
Book学术文献互助
Book学术文献互助群
群 号:604180095
Book学术官方微信