慢性大麻使用与慢性阻塞性肺疾病1例报告

IF 3.1 3区 医学 Q2 RESPIRATORY SYSTEM
Brenna S Ostertag, Kathryn W Hendrickson
{"title":"慢性大麻使用与慢性阻塞性肺疾病1例报告","authors":"Brenna S Ostertag, Kathryn W Hendrickson","doi":"10.2147/COPD.S520875","DOIUrl":null,"url":null,"abstract":"<p><p>Marijuana smoking has become increasingly common in the United States and the world as more states and countries have legalized it for medical and recreational use. There are a number of carcinogens in marijuana smoke similar to those in tobacco smoke, and yet it has been difficult in the literature to find a causal relationship between marijuana smoking and chronic obstructive pulmonary disease (COPD). We present a patient whose main risk factor for emphysema is daily marijuana smoking for upwards of 35 years with no personal history of smoking tobacco, and no other obvious risk factors. Current studies have shown association with chronic marijuana smoking and various lung complaints, forced expiratory volume in 1 second (FEV1) to forced vital capacity (FVC) ratio, and inconsistently with chronic bronchitis. With this case, we add to the current body of literature that suggests a possible relationship between long-term, heavy marijuana use and COPD.</p>","PeriodicalId":48818,"journal":{"name":"International Journal of Chronic Obstructive Pulmonary Disease","volume":"20 ","pages":"2305-2309"},"PeriodicalIF":3.1000,"publicationDate":"2025-07-07","publicationTypes":"Journal Article","fieldsOfStudy":null,"isOpenAccess":false,"openAccessPdf":"https://www.ncbi.nlm.nih.gov/pmc/articles/PMC12254581/pdf/","citationCount":"0","resultStr":"{\"title\":\"Chronic Marijuana Use and Chronic Obstructive Pulmonary Disease: A Case Report.\",\"authors\":\"Brenna S Ostertag, Kathryn W Hendrickson\",\"doi\":\"10.2147/COPD.S520875\",\"DOIUrl\":null,\"url\":null,\"abstract\":\"<p><p>Marijuana smoking has become increasingly common in the United States and the world as more states and countries have legalized it for medical and recreational use. There are a number of carcinogens in marijuana smoke similar to those in tobacco smoke, and yet it has been difficult in the literature to find a causal relationship between marijuana smoking and chronic obstructive pulmonary disease (COPD). We present a patient whose main risk factor for emphysema is daily marijuana smoking for upwards of 35 years with no personal history of smoking tobacco, and no other obvious risk factors. Current studies have shown association with chronic marijuana smoking and various lung complaints, forced expiratory volume in 1 second (FEV1) to forced vital capacity (FVC) ratio, and inconsistently with chronic bronchitis. With this case, we add to the current body of literature that suggests a possible relationship between long-term, heavy marijuana use and COPD.</p>\",\"PeriodicalId\":48818,\"journal\":{\"name\":\"International Journal of Chronic Obstructive Pulmonary Disease\",\"volume\":\"20 \",\"pages\":\"2305-2309\"},\"PeriodicalIF\":3.1000,\"publicationDate\":\"2025-07-07\",\"publicationTypes\":\"Journal Article\",\"fieldsOfStudy\":null,\"isOpenAccess\":false,\"openAccessPdf\":\"https://www.ncbi.nlm.nih.gov/pmc/articles/PMC12254581/pdf/\",\"citationCount\":\"0\",\"resultStr\":null,\"platform\":\"Semanticscholar\",\"paperid\":null,\"PeriodicalName\":\"International Journal of Chronic Obstructive Pulmonary Disease\",\"FirstCategoryId\":\"3\",\"ListUrlMain\":\"https://doi.org/10.2147/COPD.S520875\",\"RegionNum\":3,\"RegionCategory\":\"医学\",\"ArticlePicture\":[],\"TitleCN\":null,\"AbstractTextCN\":null,\"PMCID\":null,\"EPubDate\":\"2025/1/1 0:00:00\",\"PubModel\":\"eCollection\",\"JCR\":\"Q2\",\"JCRName\":\"RESPIRATORY SYSTEM\",\"Score\":null,\"Total\":0}","platform":"Semanticscholar","paperid":null,"PeriodicalName":"International Journal of Chronic Obstructive Pulmonary Disease","FirstCategoryId":"3","ListUrlMain":"https://doi.org/10.2147/COPD.S520875","RegionNum":3,"RegionCategory":"医学","ArticlePicture":[],"TitleCN":null,"AbstractTextCN":null,"PMCID":null,"EPubDate":"2025/1/1 0:00:00","PubModel":"eCollection","JCR":"Q2","JCRName":"RESPIRATORY SYSTEM","Score":null,"Total":0}
引用次数: 0

摘要

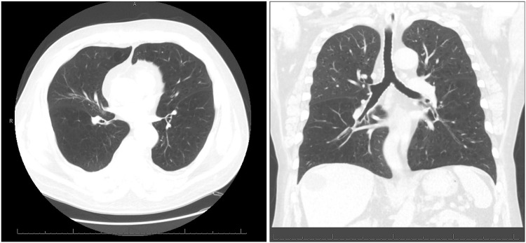
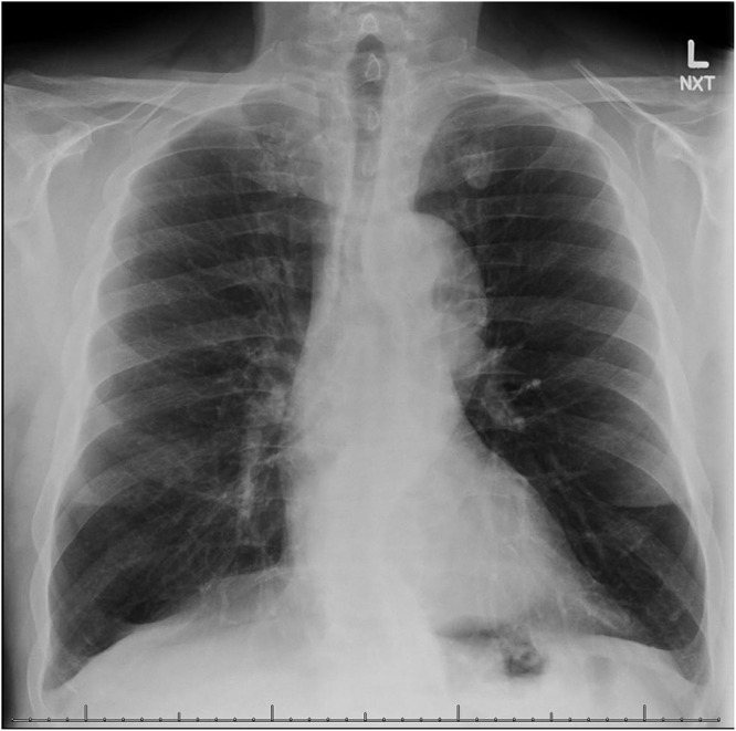
随着越来越多的州和国家将大麻用于医疗和娱乐用途合法化,吸食大麻在美国和世界上变得越来越普遍。大麻烟雾中的许多致癌物与烟草烟雾中的致癌物相似,但在文献中很难找到大麻吸烟与慢性阻塞性肺病(COPD)之间的因果关系。我们报告一位患者,其肺气肿的主要危险因素是每日吸食大麻超过35年,没有个人吸烟史,也没有其他明显的危险因素。目前的研究表明,慢性大麻吸烟与各种肺部疾患、1秒用力呼气量(FEV1)与用力肺活量(FVC)之比有关,但与慢性支气管炎不一致。有了这个病例,我们增加了目前的文献,表明长期大量使用大麻和慢性阻塞性肺病之间可能存在关系。
本文章由计算机程序翻译,如有差异,请以英文原文为准。

Chronic Marijuana Use and Chronic Obstructive Pulmonary Disease: A Case Report.

Chronic Marijuana Use and Chronic Obstructive Pulmonary Disease: A Case Report.

Chronic Marijuana Use and Chronic Obstructive Pulmonary Disease: A Case Report.

Chronic Marijuana Use and Chronic Obstructive Pulmonary Disease: A Case Report.

Marijuana smoking has become increasingly common in the United States and the world as more states and countries have legalized it for medical and recreational use. There are a number of carcinogens in marijuana smoke similar to those in tobacco smoke, and yet it has been difficult in the literature to find a causal relationship between marijuana smoking and chronic obstructive pulmonary disease (COPD). We present a patient whose main risk factor for emphysema is daily marijuana smoking for upwards of 35 years with no personal history of smoking tobacco, and no other obvious risk factors. Current studies have shown association with chronic marijuana smoking and various lung complaints, forced expiratory volume in 1 second (FEV1) to forced vital capacity (FVC) ratio, and inconsistently with chronic bronchitis. With this case, we add to the current body of literature that suggests a possible relationship between long-term, heavy marijuana use and COPD.

求助全文
通过发布文献求助,成功后即可免费获取论文全文。 去求助
来源期刊
CiteScore
4.80
自引率
10.70%
发文量
372
审稿时长
16 weeks
期刊介绍: An international, peer-reviewed journal of therapeutics and pharmacology focusing on concise rapid reporting of clinical studies and reviews in COPD. Special focus will be given to the pathophysiological processes underlying the disease, intervention programs, patient focused education, and self management protocols. This journal is directed at specialists and healthcare professionals
×
引用
GB/T 7714-2015
复制
MLA
复制
APA
复制
导出至
BibTeX EndNote RefMan NoteFirst NoteExpress
×
提示
您的信息不完整,为了账户安全,请先补充。
现在去补充
×
提示
您因"违规操作"
具体请查看互助需知
我知道了
×
提示
确定
请完成安全验证×
copy
已复制链接
快去分享给好友吧!
我知道了
右上角分享
点击右上角分享
0
联系我们:info@booksci.cn Book学术提供免费学术资源搜索服务,方便国内外学者检索中英文文献。致力于提供最便捷和优质的服务体验。 Copyright © 2023 布克学术 All rights reserved.
京ICP备2023020795号-1
ghs 京公网安备 11010802042870号
Book学术文献互助
Book学术文献互助群
群 号:604180095
Book学术官方微信