极为罕见的后颅窝毛毛窦疾病1例2岁患者。

IF 0.7 Q4 CLINICAL NEUROLOGY
Journal of Neurological Surgery Reports Pub Date : 2025-07-11 eCollection Date: 2025-07-01 DOI:10.1055/a-2641-6301
Hamzeh Yacoub, Aya Aqel, Mohammed Adas, Qais Hjouj, Zaid Yacoub, Rita Yacoub, Hadi Dababseh
{"title":"极为罕见的后颅窝毛毛窦疾病1例2岁患者。","authors":"Hamzeh Yacoub, Aya Aqel, Mohammed Adas, Qais Hjouj, Zaid Yacoub, Rita Yacoub, Hadi Dababseh","doi":"10.1055/a-2641-6301","DOIUrl":null,"url":null,"abstract":"<p><p>A 2-year-old female patient presented after experiencing a generalized tonic-clonic seizure accompanied by fever, followed by a loss of consciousness. She underwent an urgent right frontal external ventricular drain placement. Intraoperative cerebrospinal fluid analysis was negative for infectious patterns. MRI showed a predominantly cystic lesion in the midline posterior fossa, with a compressive mass effect. Subsequently, she underwent a suboccipital craniotomy for microscopic resection of a posterior cranial fossa lesion. Histopathology reported keratin flakes with severe active inflammation, and foreign body type giant cell reaction in scalp excision with free hair shafts through the inflammatory focus, consistent with pilonidal sinus. The patient was then discharged home in good health.</p>","PeriodicalId":44256,"journal":{"name":"Journal of Neurological Surgery Reports","volume":"86 3","pages":"e149-e152"},"PeriodicalIF":0.7000,"publicationDate":"2025-07-11","publicationTypes":"Journal Article","fieldsOfStudy":null,"isOpenAccess":false,"openAccessPdf":"https://www.ncbi.nlm.nih.gov/pmc/articles/PMC12254008/pdf/","citationCount":"0","resultStr":"{\"title\":\"Extremely Rare Presentation of Pilonidal Sinus Disease in the Posterior Cranial Fossa of a 2-Year-Old Patient: A Case Report.\",\"authors\":\"Hamzeh Yacoub, Aya Aqel, Mohammed Adas, Qais Hjouj, Zaid Yacoub, Rita Yacoub, Hadi Dababseh\",\"doi\":\"10.1055/a-2641-6301\",\"DOIUrl\":null,\"url\":null,\"abstract\":\"<p><p>A 2-year-old female patient presented after experiencing a generalized tonic-clonic seizure accompanied by fever, followed by a loss of consciousness. She underwent an urgent right frontal external ventricular drain placement. Intraoperative cerebrospinal fluid analysis was negative for infectious patterns. MRI showed a predominantly cystic lesion in the midline posterior fossa, with a compressive mass effect. Subsequently, she underwent a suboccipital craniotomy for microscopic resection of a posterior cranial fossa lesion. Histopathology reported keratin flakes with severe active inflammation, and foreign body type giant cell reaction in scalp excision with free hair shafts through the inflammatory focus, consistent with pilonidal sinus. The patient was then discharged home in good health.</p>\",\"PeriodicalId\":44256,\"journal\":{\"name\":\"Journal of Neurological Surgery Reports\",\"volume\":\"86 3\",\"pages\":\"e149-e152\"},\"PeriodicalIF\":0.7000,\"publicationDate\":\"2025-07-11\",\"publicationTypes\":\"Journal Article\",\"fieldsOfStudy\":null,\"isOpenAccess\":false,\"openAccessPdf\":\"https://www.ncbi.nlm.nih.gov/pmc/articles/PMC12254008/pdf/\",\"citationCount\":\"0\",\"resultStr\":null,\"platform\":\"Semanticscholar\",\"paperid\":null,\"PeriodicalName\":\"Journal of Neurological Surgery Reports\",\"FirstCategoryId\":\"1085\",\"ListUrlMain\":\"https://doi.org/10.1055/a-2641-6301\",\"RegionNum\":0,\"RegionCategory\":null,\"ArticlePicture\":[],\"TitleCN\":null,\"AbstractTextCN\":null,\"PMCID\":null,\"EPubDate\":\"2025/7/1 0:00:00\",\"PubModel\":\"eCollection\",\"JCR\":\"Q4\",\"JCRName\":\"CLINICAL NEUROLOGY\",\"Score\":null,\"Total\":0}","platform":"Semanticscholar","paperid":null,"PeriodicalName":"Journal of Neurological Surgery Reports","FirstCategoryId":"1085","ListUrlMain":"https://doi.org/10.1055/a-2641-6301","RegionNum":0,"RegionCategory":null,"ArticlePicture":[],"TitleCN":null,"AbstractTextCN":null,"PMCID":null,"EPubDate":"2025/7/1 0:00:00","PubModel":"eCollection","JCR":"Q4","JCRName":"CLINICAL NEUROLOGY","Score":null,"Total":0}
引用次数: 0

摘要

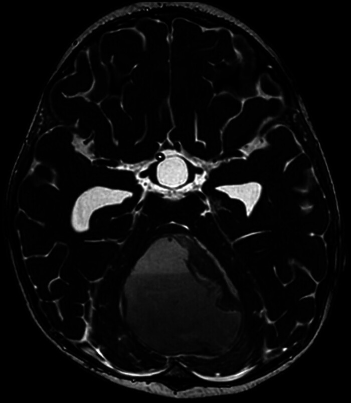
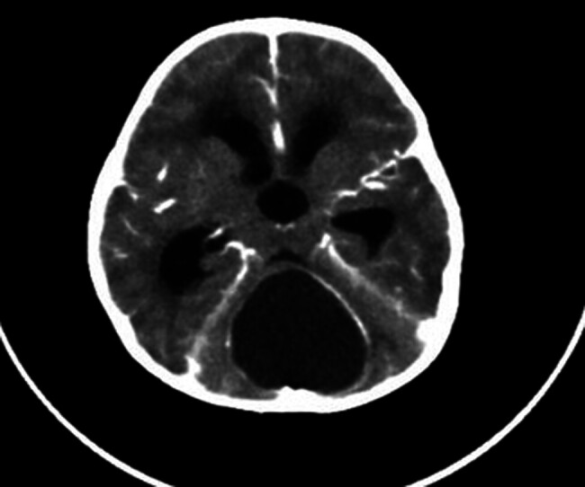
一名2岁的女性患者在经历了全身性强直阵挛性发作并伴有发热后出现意识丧失。她接受了紧急右额部外脑室引流术。术中脑脊液分析感染模式阴性。MRI显示后窝中线主要为囊性病变,伴压缩肿块效应。随后,她接受了枕下开颅术,显微切除后颅窝病变。组织病理学报告角蛋白薄片伴严重活动性炎症,异物型巨细胞反应,头皮切除游离毛轴穿过炎症灶,与毛突窦一致。病人随后健康出院回家。
本文章由计算机程序翻译,如有差异,请以英文原文为准。

Extremely Rare Presentation of Pilonidal Sinus Disease in the Posterior Cranial Fossa of a 2-Year-Old Patient: A Case Report.

Extremely Rare Presentation of Pilonidal Sinus Disease in the Posterior Cranial Fossa of a 2-Year-Old Patient: A Case Report.

Extremely Rare Presentation of Pilonidal Sinus Disease in the Posterior Cranial Fossa of a 2-Year-Old Patient: A Case Report.

Extremely Rare Presentation of Pilonidal Sinus Disease in the Posterior Cranial Fossa of a 2-Year-Old Patient: A Case Report.

A 2-year-old female patient presented after experiencing a generalized tonic-clonic seizure accompanied by fever, followed by a loss of consciousness. She underwent an urgent right frontal external ventricular drain placement. Intraoperative cerebrospinal fluid analysis was negative for infectious patterns. MRI showed a predominantly cystic lesion in the midline posterior fossa, with a compressive mass effect. Subsequently, she underwent a suboccipital craniotomy for microscopic resection of a posterior cranial fossa lesion. Histopathology reported keratin flakes with severe active inflammation, and foreign body type giant cell reaction in scalp excision with free hair shafts through the inflammatory focus, consistent with pilonidal sinus. The patient was then discharged home in good health.

求助全文
通过发布文献求助,成功后即可免费获取论文全文。 去求助
来源期刊
自引率
0.00%
发文量
31
审稿时长
12 weeks
×
引用
GB/T 7714-2015
复制
MLA
复制
APA
复制
导出至
BibTeX EndNote RefMan NoteFirst NoteExpress
×
提示
您的信息不完整,为了账户安全,请先补充。
现在去补充
×
提示
您因"违规操作"
具体请查看互助需知
我知道了
×
提示
确定
请完成安全验证×
copy
已复制链接
快去分享给好友吧!
我知道了
右上角分享
点击右上角分享
0
联系我们:info@booksci.cn Book学术提供免费学术资源搜索服务,方便国内外学者检索中英文文献。致力于提供最便捷和优质的服务体验。 Copyright © 2023 布克学术 All rights reserved.
京ICP备2023020795号-1
ghs 京公网安备 11010802042870号
Book学术文献互助
Book学术文献互助群
群 号:604180095
Book学术官方微信