口腔鳞状细胞癌术前活检中肿瘤内芽殖及其与肿瘤相关巨噬细胞的关系

Q3 Medicine
Sultan Qaboos University Medical Journal Pub Date : 2025-05-02 eCollection Date: 2025-01-01 DOI:10.18295/2075-0528.1008
Anju Devi, R Keerthika, Mala Kamboj, Anjali Narwal
{"title":"口腔鳞状细胞癌术前活检中肿瘤内芽殖及其与肿瘤相关巨噬细胞的关系","authors":"Anju Devi, R Keerthika, Mala Kamboj, Anjali Narwal","doi":"10.18295/2075-0528.1008","DOIUrl":null,"url":null,"abstract":"<p><strong>Objectives: </strong>Intratumoural budding (ITB) is an emerging entity in oral squamous cell carcinoma (OSCC) and serves as a prime histopathological predictor of aggressive potential. This study aimed to investigate the incidence of ITB in OSCC due to its limited representation in the literature.</p><p><strong>Methods: </strong>This retrospective study was conducted in the Department of Oral Pathology and Microbiology, Post Graduate Institute of Dental Sciences, Rohtak, India, between 2017 and 2021. A total of 73 haematoxylin and eosin-stained sections of various grades of OSCC were examined for ITB and tumour-associated macrophages (TAMs), focusing on correlating these findings with clinicopathological parameters. Immunohistochemical analysis using a cluster of differentiation 68 (CD68) was performed. Additionally, the expression of CD68+ TAMs was studied in the centre of the tumour mass and correlated with ITB to ascertain the biological behaviour of OSCC. The data obtained were analysed using chi-square and Pearson correlation tests (<i>P</i> < 0.05).</p><p><strong>Results: </strong>ITB significantly increased in higher histopathological grades of OSCC (<i>P</i> = 0.000). Conversely, CD68+ TAMs in OSCC decreased significantly as the histopathological grades increased (<i>P</i> = 0.000), whereas on correlating with ITB, a non-significant difference was observed, revealing a negative correlation (r = -0.149; <i>P</i> = 0.208).</p><p><strong>Conclusions: </strong>The inverse association between ITB and TAMs with increasing histopathological grades may help identify ITB as a precise histopathological parameter for evaluating the aggressive biological potential in OSCC. Additionally, this relationship suggests the involvement of the anti-tumour immune response of TAMs within tumour mass.</p>","PeriodicalId":22083,"journal":{"name":"Sultan Qaboos University Medical Journal","volume":"25 1","pages":"74-82"},"PeriodicalIF":0.0000,"publicationDate":"2025-05-02","publicationTypes":"Journal Article","fieldsOfStudy":null,"isOpenAccess":false,"openAccessPdf":"https://www.ncbi.nlm.nih.gov/pmc/articles/PMC12255344/pdf/","citationCount":"0","resultStr":"{\"title\":\"Role of Intratumoural Budding and Its Association with Tumour-Associated Macrophages in Preoperative Biopsies of Oral Squamous Cell Carcinoma.\",\"authors\":\"Anju Devi, R Keerthika, Mala Kamboj, Anjali Narwal\",\"doi\":\"10.18295/2075-0528.1008\",\"DOIUrl\":null,\"url\":null,\"abstract\":\"<p><strong>Objectives: </strong>Intratumoural budding (ITB) is an emerging entity in oral squamous cell carcinoma (OSCC) and serves as a prime histopathological predictor of aggressive potential. This study aimed to investigate the incidence of ITB in OSCC due to its limited representation in the literature.</p><p><strong>Methods: </strong>This retrospective study was conducted in the Department of Oral Pathology and Microbiology, Post Graduate Institute of Dental Sciences, Rohtak, India, between 2017 and 2021. A total of 73 haematoxylin and eosin-stained sections of various grades of OSCC were examined for ITB and tumour-associated macrophages (TAMs), focusing on correlating these findings with clinicopathological parameters. Immunohistochemical analysis using a cluster of differentiation 68 (CD68) was performed. Additionally, the expression of CD68+ TAMs was studied in the centre of the tumour mass and correlated with ITB to ascertain the biological behaviour of OSCC. The data obtained were analysed using chi-square and Pearson correlation tests (<i>P</i> < 0.05).</p><p><strong>Results: </strong>ITB significantly increased in higher histopathological grades of OSCC (<i>P</i> = 0.000). Conversely, CD68+ TAMs in OSCC decreased significantly as the histopathological grades increased (<i>P</i> = 0.000), whereas on correlating with ITB, a non-significant difference was observed, revealing a negative correlation (r = -0.149; <i>P</i> = 0.208).</p><p><strong>Conclusions: </strong>The inverse association between ITB and TAMs with increasing histopathological grades may help identify ITB as a precise histopathological parameter for evaluating the aggressive biological potential in OSCC. Additionally, this relationship suggests the involvement of the anti-tumour immune response of TAMs within tumour mass.</p>\",\"PeriodicalId\":22083,\"journal\":{\"name\":\"Sultan Qaboos University Medical Journal\",\"volume\":\"25 1\",\"pages\":\"74-82\"},\"PeriodicalIF\":0.0000,\"publicationDate\":\"2025-05-02\",\"publicationTypes\":\"Journal Article\",\"fieldsOfStudy\":null,\"isOpenAccess\":false,\"openAccessPdf\":\"https://www.ncbi.nlm.nih.gov/pmc/articles/PMC12255344/pdf/\",\"citationCount\":\"0\",\"resultStr\":null,\"platform\":\"Semanticscholar\",\"paperid\":null,\"PeriodicalName\":\"Sultan Qaboos University Medical Journal\",\"FirstCategoryId\":\"1085\",\"ListUrlMain\":\"https://doi.org/10.18295/2075-0528.1008\",\"RegionNum\":0,\"RegionCategory\":null,\"ArticlePicture\":[],\"TitleCN\":null,\"AbstractTextCN\":null,\"PMCID\":null,\"EPubDate\":\"2025/1/1 0:00:00\",\"PubModel\":\"eCollection\",\"JCR\":\"Q3\",\"JCRName\":\"Medicine\",\"Score\":null,\"Total\":0}","platform":"Semanticscholar","paperid":null,"PeriodicalName":"Sultan Qaboos University Medical Journal","FirstCategoryId":"1085","ListUrlMain":"https://doi.org/10.18295/2075-0528.1008","RegionNum":0,"RegionCategory":null,"ArticlePicture":[],"TitleCN":null,"AbstractTextCN":null,"PMCID":null,"EPubDate":"2025/1/1 0:00:00","PubModel":"eCollection","JCR":"Q3","JCRName":"Medicine","Score":null,"Total":0}
引用次数: 0

摘要

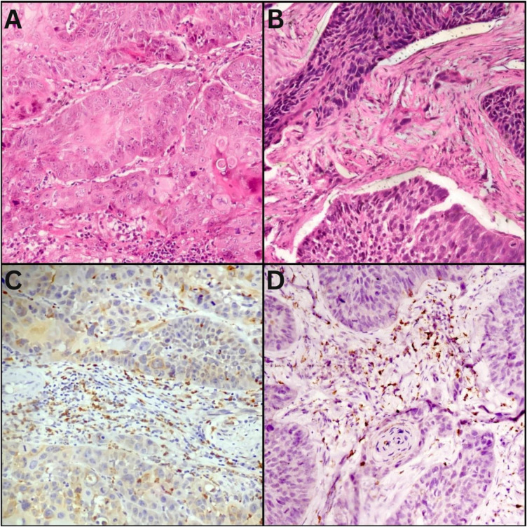
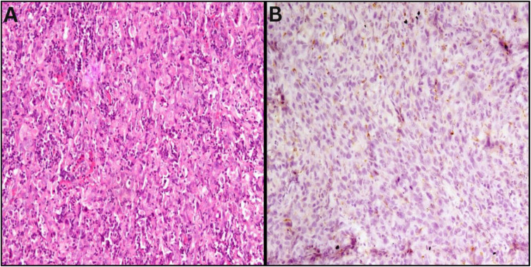
目的:瘤内芽殖(ITB)是口腔鳞状细胞癌(OSCC)中一种新兴的实体,并作为侵袭潜力的主要组织病理学预测因子。由于文献报道有限,本研究旨在调查OSCC中ITB的发生率。方法:本回顾性研究于2017 - 2021年在印度罗塔克口腔科学研究生院口腔病理与微生物学系进行。共73张不同级别的癌组织鳞状细胞癌的血氧素和伊红染色切片,检查ITB和肿瘤相关巨噬细胞(tam),重点研究这些发现与临床病理参数的相关性。采用CD68 (cluster of differentiation 68)进行免疫组化分析。此外,我们研究了CD68+ tam在肿瘤肿块中心的表达,并与ITB相关,以确定OSCC的生物学行为。所得资料采用卡方检验和Pearson相关检验进行分析(P < 0.05)。结果:高组织病理分级的OSCC中,ITB明显增加(P = 0.000)。相反,CD68+ TAMs在OSCC中随着组织病理分级的增加而显著降低(P = 0.000),而在与ITB的相关性上,差异不显著,呈负相关(r = -0.149;P = 0.208)。结论:ITB和TAMs随组织病理分级的增加呈负相关,可能有助于确定ITB作为评估OSCC侵袭性生物学潜能的精确组织病理参数。此外,这种关系表明tam在肿瘤肿块内参与抗肿瘤免疫反应。
本文章由计算机程序翻译,如有差异,请以英文原文为准。

Role of Intratumoural Budding and Its Association with Tumour-Associated Macrophages in Preoperative Biopsies of Oral Squamous Cell Carcinoma.

Role of Intratumoural Budding and Its Association with Tumour-Associated Macrophages in Preoperative Biopsies of Oral Squamous Cell Carcinoma.

Role of Intratumoural Budding and Its Association with Tumour-Associated Macrophages in Preoperative Biopsies of Oral Squamous Cell Carcinoma.

Objectives: Intratumoural budding (ITB) is an emerging entity in oral squamous cell carcinoma (OSCC) and serves as a prime histopathological predictor of aggressive potential. This study aimed to investigate the incidence of ITB in OSCC due to its limited representation in the literature.

Methods: This retrospective study was conducted in the Department of Oral Pathology and Microbiology, Post Graduate Institute of Dental Sciences, Rohtak, India, between 2017 and 2021. A total of 73 haematoxylin and eosin-stained sections of various grades of OSCC were examined for ITB and tumour-associated macrophages (TAMs), focusing on correlating these findings with clinicopathological parameters. Immunohistochemical analysis using a cluster of differentiation 68 (CD68) was performed. Additionally, the expression of CD68+ TAMs was studied in the centre of the tumour mass and correlated with ITB to ascertain the biological behaviour of OSCC. The data obtained were analysed using chi-square and Pearson correlation tests (P < 0.05).

Results: ITB significantly increased in higher histopathological grades of OSCC (P = 0.000). Conversely, CD68+ TAMs in OSCC decreased significantly as the histopathological grades increased (P = 0.000), whereas on correlating with ITB, a non-significant difference was observed, revealing a negative correlation (r = -0.149; P = 0.208).

Conclusions: The inverse association between ITB and TAMs with increasing histopathological grades may help identify ITB as a precise histopathological parameter for evaluating the aggressive biological potential in OSCC. Additionally, this relationship suggests the involvement of the anti-tumour immune response of TAMs within tumour mass.

求助全文
通过发布文献求助,成功后即可免费获取论文全文。 去求助
来源期刊
CiteScore
2.00
自引率
0.00%
发文量
86
审稿时长
7 weeks
×
引用
GB/T 7714-2015
复制
MLA
复制
APA
复制
导出至
BibTeX EndNote RefMan NoteFirst NoteExpress
×
提示
您的信息不完整,为了账户安全,请先补充。
现在去补充
×
提示
您因"违规操作"
具体请查看互助需知
我知道了
×
提示
确定
请完成安全验证×
copy
已复制链接
快去分享给好友吧!
我知道了
右上角分享
点击右上角分享
0
联系我们:info@booksci.cn Book学术提供免费学术资源搜索服务,方便国内外学者检索中英文文献。致力于提供最便捷和优质的服务体验。 Copyright © 2023 布克学术 All rights reserved.
京ICP备2023020795号-1
ghs 京公网安备 11010802042870号
Book学术文献互助
Book学术文献互助群
群 号:604180095
Book学术官方微信