指骨软骨粘液样纤维瘤。

Q3 Medicine
Sultan Qaboos University Medical Journal Pub Date : 2025-05-02 eCollection Date: 2025-01-01 DOI:10.18295/squmj.10.2024.068
Lubna S Khan, Sifa Farheen, Vijay K Pandey, Vinay P Singh, Manoj G Madakshira
{"title":"指骨软骨粘液样纤维瘤。","authors":"Lubna S Khan, Sifa Farheen, Vijay K Pandey, Vinay P Singh, Manoj G Madakshira","doi":"10.18295/squmj.10.2024.068","DOIUrl":null,"url":null,"abstract":"<p><p>Chondromyxoid fibroma (CMF) is a rare, benign metaphyseal bone tumour characterised by a combination of chondroid, myxoid, and fibrous elements. It can affect any bone at any age, with no gender predilection. We report a case of CMF in a 47-year-old female patient who presented with swelling of the left little finger at a tertiary care hospital in Kolkata, India, in 2024. Imaging revealed a lobulated lesion originating from the middle phalanx of the left little finger, extending to involve the base of the distal phalanx. Fine needle aspiration cytology indicated a moderately cellular myxoid lesion. Histopathology, which remains crucial for diagnosis, showed a lobulated tumour with zones of spindle to stellate cells, associated with an abundant myxoid and chondroid matrix in the intercellular spaces. Treatment involves complete local excision with tumour-free margins, as recurrence may occur with local curettage.</p>","PeriodicalId":22083,"journal":{"name":"Sultan Qaboos University Medical Journal","volume":"25 1","pages":"168-174"},"PeriodicalIF":0.0000,"publicationDate":"2025-05-02","publicationTypes":"Journal Article","fieldsOfStudy":null,"isOpenAccess":false,"openAccessPdf":"https://www.ncbi.nlm.nih.gov/pmc/articles/PMC12255334/pdf/","citationCount":"0","resultStr":"{\"title\":\"Chondromyxoid Fibroma of Phalanges.\",\"authors\":\"Lubna S Khan, Sifa Farheen, Vijay K Pandey, Vinay P Singh, Manoj G Madakshira\",\"doi\":\"10.18295/squmj.10.2024.068\",\"DOIUrl\":null,\"url\":null,\"abstract\":\"<p><p>Chondromyxoid fibroma (CMF) is a rare, benign metaphyseal bone tumour characterised by a combination of chondroid, myxoid, and fibrous elements. It can affect any bone at any age, with no gender predilection. We report a case of CMF in a 47-year-old female patient who presented with swelling of the left little finger at a tertiary care hospital in Kolkata, India, in 2024. Imaging revealed a lobulated lesion originating from the middle phalanx of the left little finger, extending to involve the base of the distal phalanx. Fine needle aspiration cytology indicated a moderately cellular myxoid lesion. Histopathology, which remains crucial for diagnosis, showed a lobulated tumour with zones of spindle to stellate cells, associated with an abundant myxoid and chondroid matrix in the intercellular spaces. Treatment involves complete local excision with tumour-free margins, as recurrence may occur with local curettage.</p>\",\"PeriodicalId\":22083,\"journal\":{\"name\":\"Sultan Qaboos University Medical Journal\",\"volume\":\"25 1\",\"pages\":\"168-174\"},\"PeriodicalIF\":0.0000,\"publicationDate\":\"2025-05-02\",\"publicationTypes\":\"Journal Article\",\"fieldsOfStudy\":null,\"isOpenAccess\":false,\"openAccessPdf\":\"https://www.ncbi.nlm.nih.gov/pmc/articles/PMC12255334/pdf/\",\"citationCount\":\"0\",\"resultStr\":null,\"platform\":\"Semanticscholar\",\"paperid\":null,\"PeriodicalName\":\"Sultan Qaboos University Medical Journal\",\"FirstCategoryId\":\"1085\",\"ListUrlMain\":\"https://doi.org/10.18295/squmj.10.2024.068\",\"RegionNum\":0,\"RegionCategory\":null,\"ArticlePicture\":[],\"TitleCN\":null,\"AbstractTextCN\":null,\"PMCID\":null,\"EPubDate\":\"2025/1/1 0:00:00\",\"PubModel\":\"eCollection\",\"JCR\":\"Q3\",\"JCRName\":\"Medicine\",\"Score\":null,\"Total\":0}","platform":"Semanticscholar","paperid":null,"PeriodicalName":"Sultan Qaboos University Medical Journal","FirstCategoryId":"1085","ListUrlMain":"https://doi.org/10.18295/squmj.10.2024.068","RegionNum":0,"RegionCategory":null,"ArticlePicture":[],"TitleCN":null,"AbstractTextCN":null,"PMCID":null,"EPubDate":"2025/1/1 0:00:00","PubModel":"eCollection","JCR":"Q3","JCRName":"Medicine","Score":null,"Total":0}
引用次数: 0

摘要

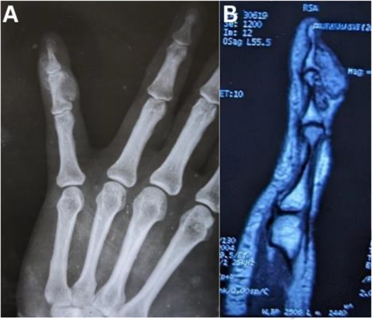
软骨黏液样纤维瘤(CMF)是一种罕见的良性干骺端骨肿瘤,其特征是软骨样、黏液样和纤维成分的结合。它可以影响任何年龄的任何骨骼,没有性别偏好。我们报告了一例47岁的女性CMF患者,她于2024年在印度加尔各答的一家三级保健医院出现左小指肿胀。影像学显示一分叶状病变,起源于左小指中指骨,延伸至远指骨基部。细针吸细胞学显示中度细胞黏液样病变。组织病理学检查仍然是诊断的关键,显示一个分叶状肿瘤,具有梭形到星状细胞区,与细胞间隙丰富的粘液样和软骨样基质相关。治疗包括完全切除无肿瘤边缘,因为局部刮除可能发生复发。
本文章由计算机程序翻译,如有差异,请以英文原文为准。

Chondromyxoid Fibroma of Phalanges.

Chondromyxoid Fibroma of Phalanges.

Chondromyxoid Fibroma of Phalanges.

Chondromyxoid Fibroma of Phalanges.

Chondromyxoid fibroma (CMF) is a rare, benign metaphyseal bone tumour characterised by a combination of chondroid, myxoid, and fibrous elements. It can affect any bone at any age, with no gender predilection. We report a case of CMF in a 47-year-old female patient who presented with swelling of the left little finger at a tertiary care hospital in Kolkata, India, in 2024. Imaging revealed a lobulated lesion originating from the middle phalanx of the left little finger, extending to involve the base of the distal phalanx. Fine needle aspiration cytology indicated a moderately cellular myxoid lesion. Histopathology, which remains crucial for diagnosis, showed a lobulated tumour with zones of spindle to stellate cells, associated with an abundant myxoid and chondroid matrix in the intercellular spaces. Treatment involves complete local excision with tumour-free margins, as recurrence may occur with local curettage.

求助全文
通过发布文献求助,成功后即可免费获取论文全文。 去求助
来源期刊
CiteScore
2.00
自引率
0.00%
发文量
86
审稿时长
7 weeks
×
引用
GB/T 7714-2015
复制
MLA
复制
APA
复制
导出至
BibTeX EndNote RefMan NoteFirst NoteExpress
×
提示
您的信息不完整,为了账户安全,请先补充。
现在去补充
×
提示
您因"违规操作"
具体请查看互助需知
我知道了
×
提示
确定
请完成安全验证×
copy
已复制链接
快去分享给好友吧!
我知道了
右上角分享
点击右上角分享
0
联系我们:info@booksci.cn Book学术提供免费学术资源搜索服务,方便国内外学者检索中英文文献。致力于提供最便捷和优质的服务体验。 Copyright © 2023 布克学术 All rights reserved.
京ICP备2023020795号-1
ghs 京公网安备 11010802042870号
Book学术文献互助
Book学术文献互助群
群 号:604180095
Book学术官方微信