瘢痕性脱发的毛病理学。

Q2 Medicine
International Journal of Trichology Pub Date : 2025-01-01 Epub Date: 2025-06-23 DOI:10.4103/ijt.ijt_123_23
Preksha Singh, Taru Garg, Shilpi Agarwal, Amit Kumar Meena, Ram Chander, Deeksha Singh
{"title":"瘢痕性脱发的毛病理学。","authors":"Preksha Singh, Taru Garg, Shilpi Agarwal, Amit Kumar Meena, Ram Chander, Deeksha Singh","doi":"10.4103/ijt.ijt_123_23","DOIUrl":null,"url":null,"abstract":"<p><strong>Background: </strong>Patchy/focal alopecia can be noncicatricial or cicatricial. Trichopathology may play an important role in confirming and/or establishing the diagnosis of cicatricial alopecia.</p><p><strong>Aims: </strong>The aim of this study was to study the trichopathologic features of common cicatricial conditions presenting with patchy scalp alopecia.</p><p><strong>Materials and methods: </strong>This cross-sectional study was conducted over a period of 1 year in the department of dermatology and pathology in a tertiary care hospital in North India. Adult patients (age >18 years) presenting with patchy cicatricial alopecia as well as clinically doubtful noncicatricial conditions over the scalp were included in this study. In doubtful cases of noncicatricial alopecia, a single 4-mm punch biopsy was performed for transverse sectioning with hematoxylin and eosin stain. In all cases of cicatricial alopecia, two 4-mm punch biopsies were performed, one for transverse sectioning and the second for vertical sectioning and direct immunofluorescence (DIF). The final diagnosis was made on the basis of the trichopathologic findings.</p><p><strong>Results: </strong>A total of 23 cases were included in our study with the majority (52.2%) being in the age group of 20-30 years. The mean age at diagnosis was 30.5 ± 11.38 years. On the basis of trichopathologic findings, a final diagnosis was made in 18 (78.3%) cases. However, 5 (21.7%) cases remained undiagnosed and were labeled as nonspecific. According to the final diagnosis based on the trichopathologic findings, maximum cases were of discoid lupus erythematosus (DLE) (26.1%), followed by lichen planopilaris (21.7%), pseudopelade of Brocq (13%), alopecia areata (8.7%), folliculitis decalvans (4.3%), and traction alopecia (4.3%). Trichopathologic examination revealed hyperkeratosis (60%), basal cell vacuolization (55%), epidermal atrophy (55%,) perifollicular lymphocytic infiltrate (30%), pigment incontinence (30%), perifollicular fibrosis (25%), and thickened basement membrane (25%). Only four cases showed deposits of immunoreactants in DIF and all four were finally diagnosed as DLE.</p><p><strong>Conclusions: </strong>Trichopathology along with special stain is a useful tool in the diagnosis of patchy alopecia and must be carried out in cases where diagnosis is in doubt clinically, particularly in cases of cicatricial alopecia. DIF may have a supportive role in histopathologically inconclusive cases and should be carried out, particularly when DLE is suspected. Trichopathology in combination with DIF is an important tool in the diagnosis of the majority of cases of cicatricial as well as clinically doubtful cases of noncicatricial alopecia.</p>","PeriodicalId":14417,"journal":{"name":"International Journal of Trichology","volume":"17 1","pages":"58-63"},"PeriodicalIF":0.0000,"publicationDate":"2025-01-01","publicationTypes":"Journal Article","fieldsOfStudy":null,"isOpenAccess":false,"openAccessPdf":"https://www.ncbi.nlm.nih.gov/pmc/articles/PMC12251984/pdf/","citationCount":"0","resultStr":"{\"title\":\"Trichopathology of Cicatricial Alopecia.\",\"authors\":\"Preksha Singh, Taru Garg, Shilpi Agarwal, Amit Kumar Meena, Ram Chander, Deeksha Singh\",\"doi\":\"10.4103/ijt.ijt_123_23\",\"DOIUrl\":null,\"url\":null,\"abstract\":\"<p><strong>Background: </strong>Patchy/focal alopecia can be noncicatricial or cicatricial. Trichopathology may play an important role in confirming and/or establishing the diagnosis of cicatricial alopecia.</p><p><strong>Aims: </strong>The aim of this study was to study the trichopathologic features of common cicatricial conditions presenting with patchy scalp alopecia.</p><p><strong>Materials and methods: </strong>This cross-sectional study was conducted over a period of 1 year in the department of dermatology and pathology in a tertiary care hospital in North India. Adult patients (age >18 years) presenting with patchy cicatricial alopecia as well as clinically doubtful noncicatricial conditions over the scalp were included in this study. In doubtful cases of noncicatricial alopecia, a single 4-mm punch biopsy was performed for transverse sectioning with hematoxylin and eosin stain. In all cases of cicatricial alopecia, two 4-mm punch biopsies were performed, one for transverse sectioning and the second for vertical sectioning and direct immunofluorescence (DIF). The final diagnosis was made on the basis of the trichopathologic findings.</p><p><strong>Results: </strong>A total of 23 cases were included in our study with the majority (52.2%) being in the age group of 20-30 years. The mean age at diagnosis was 30.5 ± 11.38 years. On the basis of trichopathologic findings, a final diagnosis was made in 18 (78.3%) cases. However, 5 (21.7%) cases remained undiagnosed and were labeled as nonspecific. According to the final diagnosis based on the trichopathologic findings, maximum cases were of discoid lupus erythematosus (DLE) (26.1%), followed by lichen planopilaris (21.7%), pseudopelade of Brocq (13%), alopecia areata (8.7%), folliculitis decalvans (4.3%), and traction alopecia (4.3%). Trichopathologic examination revealed hyperkeratosis (60%), basal cell vacuolization (55%), epidermal atrophy (55%,) perifollicular lymphocytic infiltrate (30%), pigment incontinence (30%), perifollicular fibrosis (25%), and thickened basement membrane (25%). Only four cases showed deposits of immunoreactants in DIF and all four were finally diagnosed as DLE.</p><p><strong>Conclusions: </strong>Trichopathology along with special stain is a useful tool in the diagnosis of patchy alopecia and must be carried out in cases where diagnosis is in doubt clinically, particularly in cases of cicatricial alopecia. DIF may have a supportive role in histopathologically inconclusive cases and should be carried out, particularly when DLE is suspected. Trichopathology in combination with DIF is an important tool in the diagnosis of the majority of cases of cicatricial as well as clinically doubtful cases of noncicatricial alopecia.</p>\",\"PeriodicalId\":14417,\"journal\":{\"name\":\"International Journal of Trichology\",\"volume\":\"17 1\",\"pages\":\"58-63\"},\"PeriodicalIF\":0.0000,\"publicationDate\":\"2025-01-01\",\"publicationTypes\":\"Journal Article\",\"fieldsOfStudy\":null,\"isOpenAccess\":false,\"openAccessPdf\":\"https://www.ncbi.nlm.nih.gov/pmc/articles/PMC12251984/pdf/\",\"citationCount\":\"0\",\"resultStr\":null,\"platform\":\"Semanticscholar\",\"paperid\":null,\"PeriodicalName\":\"International Journal of Trichology\",\"FirstCategoryId\":\"1085\",\"ListUrlMain\":\"https://doi.org/10.4103/ijt.ijt_123_23\",\"RegionNum\":0,\"RegionCategory\":null,\"ArticlePicture\":[],\"TitleCN\":null,\"AbstractTextCN\":null,\"PMCID\":null,\"EPubDate\":\"2025/6/23 0:00:00\",\"PubModel\":\"Epub\",\"JCR\":\"Q2\",\"JCRName\":\"Medicine\",\"Score\":null,\"Total\":0}","platform":"Semanticscholar","paperid":null,"PeriodicalName":"International Journal of Trichology","FirstCategoryId":"1085","ListUrlMain":"https://doi.org/10.4103/ijt.ijt_123_23","RegionNum":0,"RegionCategory":null,"ArticlePicture":[],"TitleCN":null,"AbstractTextCN":null,"PMCID":null,"EPubDate":"2025/6/23 0:00:00","PubModel":"Epub","JCR":"Q2","JCRName":"Medicine","Score":null,"Total":0}
引用次数: 0

摘要

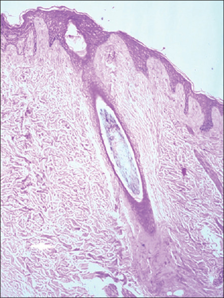
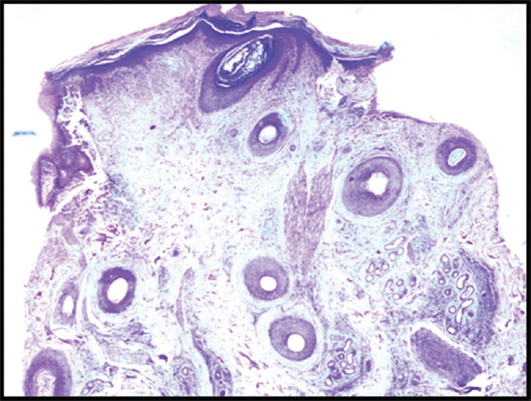
背景:斑片状/局灶性脱发可以是非瘢痕性的,也可以是瘢痕性的。毛病理学可能在确认和/或建立瘢痕性脱发的诊断中发挥重要作用。目的:本研究的目的是研究斑状头皮秃发的常见瘢痕病变的毛发病理学特征。材料和方法:本横断面研究在印度北部一家三级医院的皮肤病学和病理学部门进行了为期1年的研究。以斑状瘢痕性脱发和临床可疑的头皮非瘢痕性状况为表现的成年患者(年龄在18岁至18岁之间)被纳入本研究。在可疑的非瘢痕性脱发病例中,采用苏木精和伊红染色进行单4毫米穿孔活检进行横切面。在所有瘢痕性脱发病例中,进行了两次4毫米穿孔活检,一次进行横向切片,第二次进行垂直切片和直接免疫荧光(DIF)。最后的诊断是根据毛病理学的发现。结果:本组共纳入23例,其中20 ~ 30岁年龄组占52.2%。平均诊断年龄为30.5±11.38岁。根据毛病理学结果,18例(78.3%)得到最终诊断。然而,仍有5例(21.7%)病例未被诊断并被标记为非特异性。最终诊断为盘状红斑狼疮(DLE)的病例最多(26.1%),其次为扁平毛衣(21.7%)、假性白斑病(13%)、斑秃(8.7%)、脱毛性毛囊炎(4.3%)、牵拉性脱发(4.3%)。毛病理学检查显示角化过度(60%),基底细胞空泡化(55%),表皮萎缩(55%),滤泡周围淋巴细胞浸润(30%),色素失禁(30%),滤泡周围纤维化(25%),基底膜增厚(25%)。仅4例DIF有免疫反应物沉积,最终均诊断为DLE。结论:毛发病理学联合特殊染色是诊断斑疹性脱发的有效工具,在临床诊断有疑问的情况下必须进行,特别是瘢痕性脱发。在组织病理学不明确的病例中,DIF可能具有支持作用,应进行DIF,特别是当怀疑有DLE时。毛发病理学联合DIF是诊断大多数瘢痕性脱发以及临床可疑的非瘢痕性脱发的重要工具。
本文章由计算机程序翻译,如有差异,请以英文原文为准。

Trichopathology of Cicatricial Alopecia.

Trichopathology of Cicatricial Alopecia.

Trichopathology of Cicatricial Alopecia.

Trichopathology of Cicatricial Alopecia.

Background: Patchy/focal alopecia can be noncicatricial or cicatricial. Trichopathology may play an important role in confirming and/or establishing the diagnosis of cicatricial alopecia.

Aims: The aim of this study was to study the trichopathologic features of common cicatricial conditions presenting with patchy scalp alopecia.

Materials and methods: This cross-sectional study was conducted over a period of 1 year in the department of dermatology and pathology in a tertiary care hospital in North India. Adult patients (age >18 years) presenting with patchy cicatricial alopecia as well as clinically doubtful noncicatricial conditions over the scalp were included in this study. In doubtful cases of noncicatricial alopecia, a single 4-mm punch biopsy was performed for transverse sectioning with hematoxylin and eosin stain. In all cases of cicatricial alopecia, two 4-mm punch biopsies were performed, one for transverse sectioning and the second for vertical sectioning and direct immunofluorescence (DIF). The final diagnosis was made on the basis of the trichopathologic findings.

Results: A total of 23 cases were included in our study with the majority (52.2%) being in the age group of 20-30 years. The mean age at diagnosis was 30.5 ± 11.38 years. On the basis of trichopathologic findings, a final diagnosis was made in 18 (78.3%) cases. However, 5 (21.7%) cases remained undiagnosed and were labeled as nonspecific. According to the final diagnosis based on the trichopathologic findings, maximum cases were of discoid lupus erythematosus (DLE) (26.1%), followed by lichen planopilaris (21.7%), pseudopelade of Brocq (13%), alopecia areata (8.7%), folliculitis decalvans (4.3%), and traction alopecia (4.3%). Trichopathologic examination revealed hyperkeratosis (60%), basal cell vacuolization (55%), epidermal atrophy (55%,) perifollicular lymphocytic infiltrate (30%), pigment incontinence (30%), perifollicular fibrosis (25%), and thickened basement membrane (25%). Only four cases showed deposits of immunoreactants in DIF and all four were finally diagnosed as DLE.

Conclusions: Trichopathology along with special stain is a useful tool in the diagnosis of patchy alopecia and must be carried out in cases where diagnosis is in doubt clinically, particularly in cases of cicatricial alopecia. DIF may have a supportive role in histopathologically inconclusive cases and should be carried out, particularly when DLE is suspected. Trichopathology in combination with DIF is an important tool in the diagnosis of the majority of cases of cicatricial as well as clinically doubtful cases of noncicatricial alopecia.

求助全文
通过发布文献求助,成功后即可免费获取论文全文。 去求助
来源期刊
CiteScore
1.50
自引率
0.00%
发文量
38
×
引用
GB/T 7714-2015
复制
MLA
复制
APA
复制
导出至
BibTeX EndNote RefMan NoteFirst NoteExpress
×
提示
您的信息不完整,为了账户安全,请先补充。
现在去补充
×
提示
您因"违规操作"
具体请查看互助需知
我知道了
×
提示
确定
请完成安全验证×
copy
已复制链接
快去分享给好友吧!
我知道了
右上角分享
点击右上角分享
0
联系我们:info@booksci.cn Book学术提供免费学术资源搜索服务,方便国内外学者检索中英文文献。致力于提供最便捷和优质的服务体验。 Copyright © 2023 布克学术 All rights reserved.
京ICP备2023020795号-1
ghs 京公网安备 11010802042870号
Book学术文献互助
Book学术文献互助群
群 号:604180095
Book学术官方微信