截石位术后30天急性肢体缺血诊断和处理的挑战:索马里一例导致双侧下肢截肢的病例报告。

IF 0.7 Q3 MEDICINE, GENERAL & INTERNAL
International Medical Case Reports Journal Pub Date : 2025-07-07 eCollection Date: 2025-01-01 DOI:10.2147/IMCRJ.S478373
Ubah Mumin Ali Osman, Halwo Bashir Adan, Hanan Hassan Hirei, Yahye Sheikh Abdulle Hassan
{"title":"截石位术后30天急性肢体缺血诊断和处理的挑战:索马里一例导致双侧下肢截肢的病例报告。","authors":"Ubah Mumin Ali Osman, Halwo Bashir Adan, Hanan Hassan Hirei, Yahye Sheikh Abdulle Hassan","doi":"10.2147/IMCRJ.S478373","DOIUrl":null,"url":null,"abstract":"<p><p>Acute limb ischemia in postpartum women is a rare and severe vascular emergency that can lead to significant complications if not promptly diagnosed and managed. A 31-year-old woman, 30 days postpartum following uncomplicated vaginal delivery in the lithotomy position, presented with bilateral lower limb paralysis and paresthesia There was no history of trauma, falls, or use of assistive instruments during delivery. The patient weighed 65 kg and was 162 cm tall, while the infant had a birth weight of 2.8 kg. Initial suspicion of a neurological condition was later ruled out through imaging, including thoracolumbar MRI and CT angiography, which revealed bilateral arterial occlusions. Despite timely thromboembolectomy, the patient underwent bilateral below-knee amputation due to progressive ischemia. This case highlights the diagnostic challenges of acute limb ischemia in postpartum patients, stressing the crucial role of early imaging and prompt multidisciplinary intervention in preventing severe outcomes. Increased clinical vigilance and timely investigations are vital for improving prognosis and reducing the risk of limb loss.</p>","PeriodicalId":14337,"journal":{"name":"International Medical Case Reports Journal","volume":"18 ","pages":"845-850"},"PeriodicalIF":0.7000,"publicationDate":"2025-07-07","publicationTypes":"Journal Article","fieldsOfStudy":null,"isOpenAccess":false,"openAccessPdf":"https://www.ncbi.nlm.nih.gov/pmc/articles/PMC12248728/pdf/","citationCount":"0","resultStr":"{\"title\":\"Challenges in Diagnosis and Management of Acute Limb Ischemia 30 Days Postpartum in Lithotomy Position: A Case Report from Somalia Leading to Bilateral Lower Limb Amputation.\",\"authors\":\"Ubah Mumin Ali Osman, Halwo Bashir Adan, Hanan Hassan Hirei, Yahye Sheikh Abdulle Hassan\",\"doi\":\"10.2147/IMCRJ.S478373\",\"DOIUrl\":null,\"url\":null,\"abstract\":\"<p><p>Acute limb ischemia in postpartum women is a rare and severe vascular emergency that can lead to significant complications if not promptly diagnosed and managed. A 31-year-old woman, 30 days postpartum following uncomplicated vaginal delivery in the lithotomy position, presented with bilateral lower limb paralysis and paresthesia There was no history of trauma, falls, or use of assistive instruments during delivery. The patient weighed 65 kg and was 162 cm tall, while the infant had a birth weight of 2.8 kg. Initial suspicion of a neurological condition was later ruled out through imaging, including thoracolumbar MRI and CT angiography, which revealed bilateral arterial occlusions. Despite timely thromboembolectomy, the patient underwent bilateral below-knee amputation due to progressive ischemia. This case highlights the diagnostic challenges of acute limb ischemia in postpartum patients, stressing the crucial role of early imaging and prompt multidisciplinary intervention in preventing severe outcomes. Increased clinical vigilance and timely investigations are vital for improving prognosis and reducing the risk of limb loss.</p>\",\"PeriodicalId\":14337,\"journal\":{\"name\":\"International Medical Case Reports Journal\",\"volume\":\"18 \",\"pages\":\"845-850\"},\"PeriodicalIF\":0.7000,\"publicationDate\":\"2025-07-07\",\"publicationTypes\":\"Journal Article\",\"fieldsOfStudy\":null,\"isOpenAccess\":false,\"openAccessPdf\":\"https://www.ncbi.nlm.nih.gov/pmc/articles/PMC12248728/pdf/\",\"citationCount\":\"0\",\"resultStr\":null,\"platform\":\"Semanticscholar\",\"paperid\":null,\"PeriodicalName\":\"International Medical Case Reports Journal\",\"FirstCategoryId\":\"1085\",\"ListUrlMain\":\"https://doi.org/10.2147/IMCRJ.S478373\",\"RegionNum\":0,\"RegionCategory\":null,\"ArticlePicture\":[],\"TitleCN\":null,\"AbstractTextCN\":null,\"PMCID\":null,\"EPubDate\":\"2025/1/1 0:00:00\",\"PubModel\":\"eCollection\",\"JCR\":\"Q3\",\"JCRName\":\"MEDICINE, GENERAL & INTERNAL\",\"Score\":null,\"Total\":0}","platform":"Semanticscholar","paperid":null,"PeriodicalName":"International Medical Case Reports Journal","FirstCategoryId":"1085","ListUrlMain":"https://doi.org/10.2147/IMCRJ.S478373","RegionNum":0,"RegionCategory":null,"ArticlePicture":[],"TitleCN":null,"AbstractTextCN":null,"PMCID":null,"EPubDate":"2025/1/1 0:00:00","PubModel":"eCollection","JCR":"Q3","JCRName":"MEDICINE, GENERAL & INTERNAL","Score":null,"Total":0}
引用次数: 0

摘要

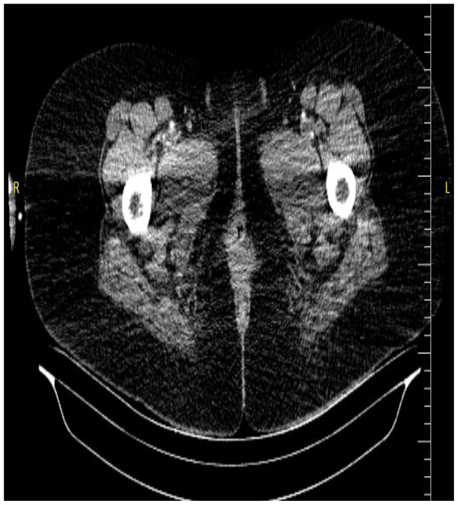
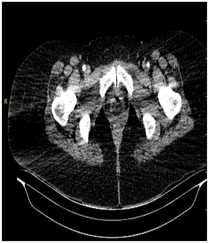
产后女性急性肢体缺血是一种罕见且严重的血管急症,如果不及时诊断和治疗,可能导致严重的并发症。31岁女性,采用取石位阴道分娩后30天,出现双侧下肢麻痹和感觉异常,分娩过程中无外伤、跌倒或辅助器械使用史。患者体重65公斤,身高162厘米,而婴儿的出生体重为2.8公斤。最初怀疑是神经系统疾病,后来通过影像学排除,包括胸腰椎MRI和CT血管造影,显示双侧动脉闭塞。尽管及时进行了血栓栓塞切除术,但由于进行性缺血,患者接受了双侧膝下截肢。本病例强调了产后急性肢体缺血的诊断挑战,强调了早期影像学和及时的多学科干预在预防严重后果中的关键作用。提高临床警惕性和及时调查对于改善预后和减少肢体丧失的风险至关重要。
本文章由计算机程序翻译,如有差异,请以英文原文为准。

Challenges in Diagnosis and Management of Acute Limb Ischemia 30 Days Postpartum in Lithotomy Position: A Case Report from Somalia Leading to Bilateral Lower Limb Amputation.

Challenges in Diagnosis and Management of Acute Limb Ischemia 30 Days Postpartum in Lithotomy Position: A Case Report from Somalia Leading to Bilateral Lower Limb Amputation.

Challenges in Diagnosis and Management of Acute Limb Ischemia 30 Days Postpartum in Lithotomy Position: A Case Report from Somalia Leading to Bilateral Lower Limb Amputation.

Challenges in Diagnosis and Management of Acute Limb Ischemia 30 Days Postpartum in Lithotomy Position: A Case Report from Somalia Leading to Bilateral Lower Limb Amputation.

Acute limb ischemia in postpartum women is a rare and severe vascular emergency that can lead to significant complications if not promptly diagnosed and managed. A 31-year-old woman, 30 days postpartum following uncomplicated vaginal delivery in the lithotomy position, presented with bilateral lower limb paralysis and paresthesia There was no history of trauma, falls, or use of assistive instruments during delivery. The patient weighed 65 kg and was 162 cm tall, while the infant had a birth weight of 2.8 kg. Initial suspicion of a neurological condition was later ruled out through imaging, including thoracolumbar MRI and CT angiography, which revealed bilateral arterial occlusions. Despite timely thromboembolectomy, the patient underwent bilateral below-knee amputation due to progressive ischemia. This case highlights the diagnostic challenges of acute limb ischemia in postpartum patients, stressing the crucial role of early imaging and prompt multidisciplinary intervention in preventing severe outcomes. Increased clinical vigilance and timely investigations are vital for improving prognosis and reducing the risk of limb loss.

求助全文
通过发布文献求助,成功后即可免费获取论文全文。 去求助
来源期刊
International Medical Case Reports Journal
International Medical Case Reports Journal MEDICINE, GENERAL & INTERNAL-
CiteScore
1.40
自引率
0.00%
发文量
135
审稿时长
16 weeks
期刊介绍: International Medical Case Reports Journal is an international, peer-reviewed, open access, online journal publishing original case reports from all medical specialties. Submissions should not normally exceed 3,000 words or 4 published pages including figures, diagrams and references. As of 1st April 2019, the International Medical Case Reports Journal will no longer consider meta-analyses for publication.
×
引用
GB/T 7714-2015
复制
MLA
复制
APA
复制
导出至
BibTeX EndNote RefMan NoteFirst NoteExpress
×
提示
您的信息不完整,为了账户安全,请先补充。
现在去补充
×
提示
您因"违规操作"
具体请查看互助需知
我知道了
×
提示
确定
请完成安全验证×
copy
已复制链接
快去分享给好友吧!
我知道了
右上角分享
点击右上角分享
0
联系我们:info@booksci.cn Book学术提供免费学术资源搜索服务,方便国内外学者检索中英文文献。致力于提供最便捷和优质的服务体验。 Copyright © 2023 布克学术 All rights reserved.
京ICP备2023020795号-1
ghs 京公网安备 11010802042870号
Book学术文献互助
Book学术文献互助群
群 号:604180095
Book学术官方微信