从越南粪便中分离的热杀乳酸菌的功能特性。

IF 3.7 3区 农林科学 Q2 FOOD SCIENCE & TECHNOLOGY
Ji-Won Lee, Seo-Eun Song, In-Bae Kim, Deok-Geun Oh, Dae-Jung Kim, Cheol-Hyun Kim
{"title":"从越南粪便中分离的热杀乳酸菌的功能特性。","authors":"Ji-Won Lee, Seo-Eun Song, In-Bae Kim, Deok-Geun Oh, Dae-Jung Kim, Cheol-Hyun Kim","doi":"10.5851/kosfa.2025.e22","DOIUrl":null,"url":null,"abstract":"<p><p>This study evaluated the functional properties of lactic acid bacteria (LAB) isolated from Vietnamese feces under various heat-treatment conditions by assessing their antioxidant activity, lipoteichoic acid (LTA) content, and immunomodulatory effects. Among the six LAB strains isolated, four (<i>Ligilactobacillus salivarius</i> V4, <i>Limosilactobacillus fermentum</i> V8, <i>Lactiplantibacillus plantarum</i> V10, and V11) were selected based on their acid and bile resistance, proteolytic activity, and <i>β</i>-galactosidase activity. Heat treatment (65°C for 60 min or 95°C for 10 min) completely inactivated LAB, reducing protein and phosphate content as treatment intensity increased. Antioxidant assays [2,2'-azino-bis(3-ethylbenzothiazoline-6-sulfonic acid), 2,2-diphenyl-1-picrylhydrazyl, and ferric reducing antioxidant power] revealed comparable or superior activity in heat-treated (HT) cells compared to live cells, with <i>L. plantarum</i> V10 showing the highest activity. LTA content analysis of HT <i>L. plantarum</i> V10 showed the highest LTA content (1,244 ppm) at 65°C for 60 min, surpassing that of the commercial dead cell <i>Enterococcus faecalis</i> EF-2001. Anti-inflammatory activity tests indicated no cytotoxicity at concentrations below 10<sup>7</sup> CFU/mL, and HT cells treated at 65°C for 60 min showed the highest inhibition of nitric oxide and the lowest expression levels of inflammatory cytokines [tumor necrosis factor-<i>α</i>, interleukin (IL)-1<i>β</i>, IL-6]. Consequently, 65°C for 60 min was established as the optimal heat-treatment condition. Sodium dodecyl sulfate-polyacrylamide gel electrophoresis analysis following digestive enzyme treatment revealed that HT <i>L. plantarum</i> V10 was not degraded by amylase or pepsin, but was partially degraded by oxgall. These findings suggest that HT <i>L. plantarum</i> V10 is a promising functional ingredient with antioxidant and immunoregulatory properties and is especially suitable for the Southeast Asian market.</p>","PeriodicalId":12459,"journal":{"name":"Food Science of Animal Resources","volume":"45 3","pages":"890-909"},"PeriodicalIF":3.7000,"publicationDate":"2025-05-01","publicationTypes":"Journal Article","fieldsOfStudy":null,"isOpenAccess":false,"openAccessPdf":"https://www.ncbi.nlm.nih.gov/pmc/articles/PMC12246904/pdf/","citationCount":"0","resultStr":"{\"title\":\"Functional Properties of Heat-Killed Lactic Acid Bacteria Isolated from Vietnamese Feces.\",\"authors\":\"Ji-Won Lee, Seo-Eun Song, In-Bae Kim, Deok-Geun Oh, Dae-Jung Kim, Cheol-Hyun Kim\",\"doi\":\"10.5851/kosfa.2025.e22\",\"DOIUrl\":null,\"url\":null,\"abstract\":\"<p><p>This study evaluated the functional properties of lactic acid bacteria (LAB) isolated from Vietnamese feces under various heat-treatment conditions by assessing their antioxidant activity, lipoteichoic acid (LTA) content, and immunomodulatory effects. Among the six LAB strains isolated, four (<i>Ligilactobacillus salivarius</i> V4, <i>Limosilactobacillus fermentum</i> V8, <i>Lactiplantibacillus plantarum</i> V10, and V11) were selected based on their acid and bile resistance, proteolytic activity, and <i>β</i>-galactosidase activity. Heat treatment (65°C for 60 min or 95°C for 10 min) completely inactivated LAB, reducing protein and phosphate content as treatment intensity increased. Antioxidant assays [2,2'-azino-bis(3-ethylbenzothiazoline-6-sulfonic acid), 2,2-diphenyl-1-picrylhydrazyl, and ferric reducing antioxidant power] revealed comparable or superior activity in heat-treated (HT) cells compared to live cells, with <i>L. plantarum</i> V10 showing the highest activity. LTA content analysis of HT <i>L. plantarum</i> V10 showed the highest LTA content (1,244 ppm) at 65°C for 60 min, surpassing that of the commercial dead cell <i>Enterococcus faecalis</i> EF-2001. Anti-inflammatory activity tests indicated no cytotoxicity at concentrations below 10<sup>7</sup> CFU/mL, and HT cells treated at 65°C for 60 min showed the highest inhibition of nitric oxide and the lowest expression levels of inflammatory cytokines [tumor necrosis factor-<i>α</i>, interleukin (IL)-1<i>β</i>, IL-6]. Consequently, 65°C for 60 min was established as the optimal heat-treatment condition. Sodium dodecyl sulfate-polyacrylamide gel electrophoresis analysis following digestive enzyme treatment revealed that HT <i>L. plantarum</i> V10 was not degraded by amylase or pepsin, but was partially degraded by oxgall. These findings suggest that HT <i>L. plantarum</i> V10 is a promising functional ingredient with antioxidant and immunoregulatory properties and is especially suitable for the Southeast Asian market.</p>\",\"PeriodicalId\":12459,\"journal\":{\"name\":\"Food Science of Animal Resources\",\"volume\":\"45 3\",\"pages\":\"890-909\"},\"PeriodicalIF\":3.7000,\"publicationDate\":\"2025-05-01\",\"publicationTypes\":\"Journal Article\",\"fieldsOfStudy\":null,\"isOpenAccess\":false,\"openAccessPdf\":\"https://www.ncbi.nlm.nih.gov/pmc/articles/PMC12246904/pdf/\",\"citationCount\":\"0\",\"resultStr\":null,\"platform\":\"Semanticscholar\",\"paperid\":null,\"PeriodicalName\":\"Food Science of Animal Resources\",\"FirstCategoryId\":\"97\",\"ListUrlMain\":\"https://doi.org/10.5851/kosfa.2025.e22\",\"RegionNum\":3,\"RegionCategory\":\"农林科学\",\"ArticlePicture\":[],\"TitleCN\":null,\"AbstractTextCN\":null,\"PMCID\":null,\"EPubDate\":\"\",\"PubModel\":\"\",\"JCR\":\"Q2\",\"JCRName\":\"FOOD SCIENCE & TECHNOLOGY\",\"Score\":null,\"Total\":0}","platform":"Semanticscholar","paperid":null,"PeriodicalName":"Food Science of Animal Resources","FirstCategoryId":"97","ListUrlMain":"https://doi.org/10.5851/kosfa.2025.e22","RegionNum":3,"RegionCategory":"农林科学","ArticlePicture":[],"TitleCN":null,"AbstractTextCN":null,"PMCID":null,"EPubDate":"","PubModel":"","JCR":"Q2","JCRName":"FOOD SCIENCE & TECHNOLOGY","Score":null,"Total":0}
引用次数: 0

摘要

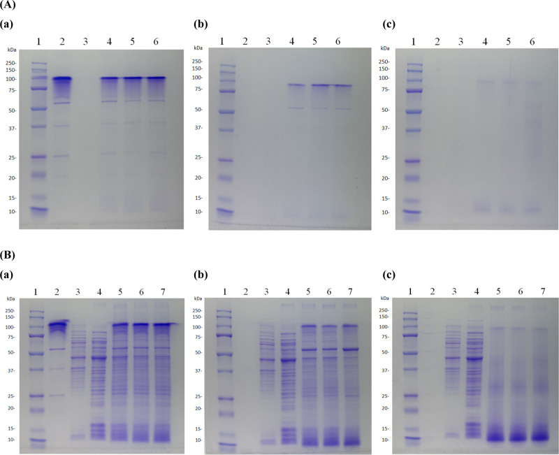
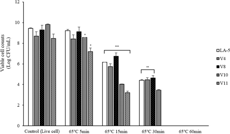
本研究从越南粪便中分离得到乳酸菌(LAB),通过测定其抗氧化活性、脂质胆酸(LTA)含量和免疫调节作用,研究了乳酸菌在不同热处理条件下的功能特性。从分离得到的6株乳酸菌中,根据其耐酸、耐胆、蛋白水解活性和β-半乳糖苷酶活性筛选出4株(唾液乳酸杆菌V4、发酵乳酸杆菌V8、植物乳酸杆菌V10和V11)。热处理(65°C 60分钟或95°C 10分钟)完全灭活LAB,随着处理强度的增加,蛋白质和磷酸盐含量降低。抗氧化实验[2,2'-氮基-双(3-乙基苯并噻唑-6-磺酸),2,2-二苯基-1-吡啶肼和铁还原抗氧化能力]显示,与活细胞相比,热处理(HT)细胞具有相当或更好的活性,其中L. plantarum V10显示出最高的活性。植物肠球菌(HT L. plantarum V10)在65℃发酵60 min时,LTA含量最高(1244 ppm),超过了商品化死细胞粪肠球菌(Enterococcus faecalis) fe -2001。抗炎活性试验显示,浓度低于107 CFU/mL时,HT细胞无细胞毒性,65℃处理60 min时,对一氧化氮的抑制作用最高,炎症因子[肿瘤坏死因子-α、白细胞介素(IL)-1β、IL-6]的表达水平最低。因此,确定65℃60 min为最佳热处理条件。经消化酶处理后的十二烷基硫酸钠-聚丙烯酰胺凝胶电泳分析显示,植物HT L. V10不被淀粉酶和胃蛋白酶降解,但部分被氧化胆降解。综上所述,HT L. plantarum V10是一种具有抗氧化和免疫调节特性的功能性成分,尤其适合东南亚市场。
本文章由计算机程序翻译,如有差异,请以英文原文为准。

Functional Properties of Heat-Killed Lactic Acid Bacteria Isolated from Vietnamese Feces.

Functional Properties of Heat-Killed Lactic Acid Bacteria Isolated from Vietnamese Feces.

Functional Properties of Heat-Killed Lactic Acid Bacteria Isolated from Vietnamese Feces.

Functional Properties of Heat-Killed Lactic Acid Bacteria Isolated from Vietnamese Feces.

This study evaluated the functional properties of lactic acid bacteria (LAB) isolated from Vietnamese feces under various heat-treatment conditions by assessing their antioxidant activity, lipoteichoic acid (LTA) content, and immunomodulatory effects. Among the six LAB strains isolated, four (Ligilactobacillus salivarius V4, Limosilactobacillus fermentum V8, Lactiplantibacillus plantarum V10, and V11) were selected based on their acid and bile resistance, proteolytic activity, and β-galactosidase activity. Heat treatment (65°C for 60 min or 95°C for 10 min) completely inactivated LAB, reducing protein and phosphate content as treatment intensity increased. Antioxidant assays [2,2'-azino-bis(3-ethylbenzothiazoline-6-sulfonic acid), 2,2-diphenyl-1-picrylhydrazyl, and ferric reducing antioxidant power] revealed comparable or superior activity in heat-treated (HT) cells compared to live cells, with L. plantarum V10 showing the highest activity. LTA content analysis of HT L. plantarum V10 showed the highest LTA content (1,244 ppm) at 65°C for 60 min, surpassing that of the commercial dead cell Enterococcus faecalis EF-2001. Anti-inflammatory activity tests indicated no cytotoxicity at concentrations below 107 CFU/mL, and HT cells treated at 65°C for 60 min showed the highest inhibition of nitric oxide and the lowest expression levels of inflammatory cytokines [tumor necrosis factor-α, interleukin (IL)-1β, IL-6]. Consequently, 65°C for 60 min was established as the optimal heat-treatment condition. Sodium dodecyl sulfate-polyacrylamide gel electrophoresis analysis following digestive enzyme treatment revealed that HT L. plantarum V10 was not degraded by amylase or pepsin, but was partially degraded by oxgall. These findings suggest that HT L. plantarum V10 is a promising functional ingredient with antioxidant and immunoregulatory properties and is especially suitable for the Southeast Asian market.

求助全文
通过发布文献求助,成功后即可免费获取论文全文。 去求助
来源期刊
Food Science of Animal Resources
Food Science of Animal Resources Agricultural and Biological Sciences-Animal Science and Zoology
CiteScore
6.70
自引率
6.70%
发文量
75
期刊介绍: Food Science of Animal Resources (Food Sci. Anim. Resour.) is an international, peer-reviewed journal publishing original research and review articles on scientific and technological aspects of chemistry, biotechnology, processing, engineering, and microbiology of meat, egg, dairy, and edible insect/worm products.
×
引用
GB/T 7714-2015
复制
MLA
复制
APA
复制
导出至
BibTeX EndNote RefMan NoteFirst NoteExpress
×
提示
您的信息不完整,为了账户安全,请先补充。
现在去补充
×
提示
您因"违规操作"
具体请查看互助需知
我知道了
×
提示
确定
请完成安全验证×
copy
已复制链接
快去分享给好友吧!
我知道了
右上角分享
点击右上角分享
0
联系我们:info@booksci.cn Book学术提供免费学术资源搜索服务,方便国内外学者检索中英文文献。致力于提供最便捷和优质的服务体验。 Copyright © 2023 布克学术 All rights reserved.
京ICP备2023020795号-1
ghs 京公网安备 11010802042870号
Book学术文献互助
Book学术文献互助群
群 号:604180095
Book学术官方微信