拇外翻微创META手术后影像学愈合时间。

Foot & Ankle Orthopaedics Pub Date : 2025-07-07 eCollection Date: 2025-07-01 DOI:10.1177/24730114251343549
Taylor Schnepp, Kyle Lorenzo, Chase Burzynski, Jason Mirharooni, Wade Massey, Thomas San Giovanni, Christopher W Hodgkins, Cary B Chapman
{"title":"拇外翻微创META手术后影像学愈合时间。","authors":"Taylor Schnepp, Kyle Lorenzo, Chase Burzynski, Jason Mirharooni, Wade Massey, Thomas San Giovanni, Christopher W Hodgkins, Cary B Chapman","doi":"10.1177/24730114251343549","DOIUrl":null,"url":null,"abstract":"<p><strong>Background: </strong>The use of fourth-generation minimally invasive hallux valgus surgery with metaphyseal extra-articular transverse and Akin osteotomy, recently dubbed \"META,\" is a new generation of minimally invasive surgical (MIS) technique and a recent focus of foot and ankle orthopaedic literature associated with good functional outcomes and low complication rates. Literature in orthopaedic trauma has indicated that 2 or 3 neocortices on postoperative radiographs are associated with high likelihood of union. In this study, we conducted a retrospective analysis to investigate the time to bony union for patients undergoing fourth-generation MIS hallux valgus repair as well as the relationship between intraoperative degree of first-metatarsal displacement and time to bony union.</p><p><strong>Methods: </strong>We retrospectively analyzed 217 consecutive patients with moderate to severe hallux valgus who underwent fourth-generation MIS first distal metatarsal and Akin osteotomy between 2020 and 2023 and were followed for up to 1 year. Radiographic measurements included the scale of displacement between the proximal and distal portions of the first metatarsal as a percentage and the number of neocortical bridge formations at the osteotomy site. Postoperative weightbearing radiographs were recorded at 6 weeks, 3 months, 6 months, and 1 year to assess time to union and patient clinical outcomes. Two orthopaedic surgeons independently reviewed the radiographs to assess progression to bony union. Any discrepancy in analysis was resolved by a third-party clinician. Complete union was defined as the presence of at least 2 new cortical bridge formations on postoperative X-ray films. Patients were divided into 3 groups based on the percentage of shift on the first metatarsal head (≤50%, 51%-75%, ≥76%) for the purpose of our analysis.</p><p><strong>Results: </strong>Union (≥2 cortices) was observed in 17%, 70%, and 90% of patients at 6 weeks, 3 months, and 6 months, respectively. At final follow-up (mean 13 ± 6.9 weeks), 92% achieved union. No significant differences in time to union were observed across metatarsal shift groups.Complications include 3 nonunions, 3 revisions, 16 cases that necessitated removal of hardware, 1 case of superficial wound infection, 1 case of deep wound infection, and 6 deformity recurrences.</p><p><strong>Conclusion: </strong>Time to union after META procedure typically occurred by 13 weeks, independent of shift magnitude. Surgeons may consider ≥2 cortices and absence of symptoms as sufficient indicators for advancing weightbearing. These findings may assist in patient counseling and postoperative planning.<b>Level of Evidence:</b> Level IV, retrospective case series.</p>","PeriodicalId":12429,"journal":{"name":"Foot & Ankle Orthopaedics","volume":"10 3","pages":"24730114251343549"},"PeriodicalIF":0.0000,"publicationDate":"2025-07-07","publicationTypes":"Journal Article","fieldsOfStudy":null,"isOpenAccess":false,"openAccessPdf":"https://www.ncbi.nlm.nih.gov/pmc/articles/PMC12246513/pdf/","citationCount":"0","resultStr":"{\"title\":\"Time to Radiographic Union Following Minimally Invasive META Procedure for Hallux Valgus.\",\"authors\":\"Taylor Schnepp, Kyle Lorenzo, Chase Burzynski, Jason Mirharooni, Wade Massey, Thomas San Giovanni, Christopher W Hodgkins, Cary B Chapman\",\"doi\":\"10.1177/24730114251343549\",\"DOIUrl\":null,\"url\":null,\"abstract\":\"<p><strong>Background: </strong>The use of fourth-generation minimally invasive hallux valgus surgery with metaphyseal extra-articular transverse and Akin osteotomy, recently dubbed \\\"META,\\\" is a new generation of minimally invasive surgical (MIS) technique and a recent focus of foot and ankle orthopaedic literature associated with good functional outcomes and low complication rates. Literature in orthopaedic trauma has indicated that 2 or 3 neocortices on postoperative radiographs are associated with high likelihood of union. In this study, we conducted a retrospective analysis to investigate the time to bony union for patients undergoing fourth-generation MIS hallux valgus repair as well as the relationship between intraoperative degree of first-metatarsal displacement and time to bony union.</p><p><strong>Methods: </strong>We retrospectively analyzed 217 consecutive patients with moderate to severe hallux valgus who underwent fourth-generation MIS first distal metatarsal and Akin osteotomy between 2020 and 2023 and were followed for up to 1 year. Radiographic measurements included the scale of displacement between the proximal and distal portions of the first metatarsal as a percentage and the number of neocortical bridge formations at the osteotomy site. Postoperative weightbearing radiographs were recorded at 6 weeks, 3 months, 6 months, and 1 year to assess time to union and patient clinical outcomes. Two orthopaedic surgeons independently reviewed the radiographs to assess progression to bony union. Any discrepancy in analysis was resolved by a third-party clinician. Complete union was defined as the presence of at least 2 new cortical bridge formations on postoperative X-ray films. Patients were divided into 3 groups based on the percentage of shift on the first metatarsal head (≤50%, 51%-75%, ≥76%) for the purpose of our analysis.</p><p><strong>Results: </strong>Union (≥2 cortices) was observed in 17%, 70%, and 90% of patients at 6 weeks, 3 months, and 6 months, respectively. At final follow-up (mean 13 ± 6.9 weeks), 92% achieved union. No significant differences in time to union were observed across metatarsal shift groups.Complications include 3 nonunions, 3 revisions, 16 cases that necessitated removal of hardware, 1 case of superficial wound infection, 1 case of deep wound infection, and 6 deformity recurrences.</p><p><strong>Conclusion: </strong>Time to union after META procedure typically occurred by 13 weeks, independent of shift magnitude. Surgeons may consider ≥2 cortices and absence of symptoms as sufficient indicators for advancing weightbearing. These findings may assist in patient counseling and postoperative planning.<b>Level of Evidence:</b> Level IV, retrospective case series.</p>\",\"PeriodicalId\":12429,\"journal\":{\"name\":\"Foot & Ankle Orthopaedics\",\"volume\":\"10 3\",\"pages\":\"24730114251343549\"},\"PeriodicalIF\":0.0000,\"publicationDate\":\"2025-07-07\",\"publicationTypes\":\"Journal Article\",\"fieldsOfStudy\":null,\"isOpenAccess\":false,\"openAccessPdf\":\"https://www.ncbi.nlm.nih.gov/pmc/articles/PMC12246513/pdf/\",\"citationCount\":\"0\",\"resultStr\":null,\"platform\":\"Semanticscholar\",\"paperid\":null,\"PeriodicalName\":\"Foot & Ankle Orthopaedics\",\"FirstCategoryId\":\"1085\",\"ListUrlMain\":\"https://doi.org/10.1177/24730114251343549\",\"RegionNum\":0,\"RegionCategory\":null,\"ArticlePicture\":[],\"TitleCN\":null,\"AbstractTextCN\":null,\"PMCID\":null,\"EPubDate\":\"2025/7/1 0:00:00\",\"PubModel\":\"eCollection\",\"JCR\":\"\",\"JCRName\":\"\",\"Score\":null,\"Total\":0}","platform":"Semanticscholar","paperid":null,"PeriodicalName":"Foot & Ankle Orthopaedics","FirstCategoryId":"1085","ListUrlMain":"https://doi.org/10.1177/24730114251343549","RegionNum":0,"RegionCategory":null,"ArticlePicture":[],"TitleCN":null,"AbstractTextCN":null,"PMCID":null,"EPubDate":"2025/7/1 0:00:00","PubModel":"eCollection","JCR":"","JCRName":"","Score":null,"Total":0}
引用次数: 0

摘要

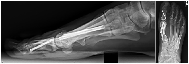
背景:第四代微创拇外翻手术联合干骺端关节外横截骨和Akin截骨术,最近被称为“META”,是新一代微创外科(MIS)技术,也是足部和踝关节骨科文献最近的焦点,具有良好的功能结局和低并发症发生率。骨科创伤方面的文献表明,术后x线片上出现2或3个新皮质与愈合的可能性较高有关。在本研究中,我们回顾性分析了第四代MIS拇外翻修复患者的骨愈合时间,以及术中第一跖骨移位程度与骨愈合时间的关系。方法:我们回顾性分析了217例中重度拇外翻患者,这些患者在2020年至2023年期间接受了第四代MIS第一次跖远端截骨和Akin截骨术,随访时间长达1年。x线测量包括第一跖骨近端和远端移位的比例和截骨部位新皮质桥形成的数量。记录术后6周、3个月、6个月和1年的负重x线片,以评估愈合时间和患者临床结果。两位骨科医生独立审查了x线片以评估骨愈合的进展。分析中的任何差异由第三方临床医生解决。术后x线片上出现至少2个新的皮质桥形成为完全愈合。根据第一跖骨头移位的百分比(≤50%,51%-75%,≥76%)将患者分为3组进行分析。结果:在6周,3个月和6个月时,分别有17%,70%和90%的患者观察到愈合(≥2个皮质)。最终随访(平均13±6.9周),92%患者愈合。不同跖骨移位组愈合时间无显著差异。并发症包括3例骨不连,3例术后修复,16例需要取出内固定物,1例创面浅表感染,1例创面深部感染,6例畸形复发。结论:META手术后愈合时间通常为13周,与移位大小无关。外科医生可以考虑≥2个皮质和无症状作为提前负重的充分指标。这些发现可能有助于患者咨询和术后计划。证据等级:四级,回顾性病例系列。
本文章由计算机程序翻译,如有差异,请以英文原文为准。

Time to Radiographic Union Following Minimally Invasive META Procedure for Hallux Valgus.

Time to Radiographic Union Following Minimally Invasive META Procedure for Hallux Valgus.

Time to Radiographic Union Following Minimally Invasive META Procedure for Hallux Valgus.

Time to Radiographic Union Following Minimally Invasive META Procedure for Hallux Valgus.

Background: The use of fourth-generation minimally invasive hallux valgus surgery with metaphyseal extra-articular transverse and Akin osteotomy, recently dubbed "META," is a new generation of minimally invasive surgical (MIS) technique and a recent focus of foot and ankle orthopaedic literature associated with good functional outcomes and low complication rates. Literature in orthopaedic trauma has indicated that 2 or 3 neocortices on postoperative radiographs are associated with high likelihood of union. In this study, we conducted a retrospective analysis to investigate the time to bony union for patients undergoing fourth-generation MIS hallux valgus repair as well as the relationship between intraoperative degree of first-metatarsal displacement and time to bony union.

Methods: We retrospectively analyzed 217 consecutive patients with moderate to severe hallux valgus who underwent fourth-generation MIS first distal metatarsal and Akin osteotomy between 2020 and 2023 and were followed for up to 1 year. Radiographic measurements included the scale of displacement between the proximal and distal portions of the first metatarsal as a percentage and the number of neocortical bridge formations at the osteotomy site. Postoperative weightbearing radiographs were recorded at 6 weeks, 3 months, 6 months, and 1 year to assess time to union and patient clinical outcomes. Two orthopaedic surgeons independently reviewed the radiographs to assess progression to bony union. Any discrepancy in analysis was resolved by a third-party clinician. Complete union was defined as the presence of at least 2 new cortical bridge formations on postoperative X-ray films. Patients were divided into 3 groups based on the percentage of shift on the first metatarsal head (≤50%, 51%-75%, ≥76%) for the purpose of our analysis.

Results: Union (≥2 cortices) was observed in 17%, 70%, and 90% of patients at 6 weeks, 3 months, and 6 months, respectively. At final follow-up (mean 13 ± 6.9 weeks), 92% achieved union. No significant differences in time to union were observed across metatarsal shift groups.Complications include 3 nonunions, 3 revisions, 16 cases that necessitated removal of hardware, 1 case of superficial wound infection, 1 case of deep wound infection, and 6 deformity recurrences.

Conclusion: Time to union after META procedure typically occurred by 13 weeks, independent of shift magnitude. Surgeons may consider ≥2 cortices and absence of symptoms as sufficient indicators for advancing weightbearing. These findings may assist in patient counseling and postoperative planning.Level of Evidence: Level IV, retrospective case series.

求助全文
通过发布文献求助,成功后即可免费获取论文全文。 去求助
来源期刊
Foot & Ankle Orthopaedics
Foot & Ankle Orthopaedics Medicine-Orthopedics and Sports Medicine
CiteScore
1.20
自引率
0.00%
发文量
1152
×
引用
GB/T 7714-2015
复制
MLA
复制
APA
复制
导出至
BibTeX EndNote RefMan NoteFirst NoteExpress
×
提示
您的信息不完整,为了账户安全,请先补充。
现在去补充
×
提示
您因"违规操作"
具体请查看互助需知
我知道了
×
提示
确定
请完成安全验证×
copy
已复制链接
快去分享给好友吧!
我知道了
右上角分享
点击右上角分享
0
联系我们:info@booksci.cn Book学术提供免费学术资源搜索服务,方便国内外学者检索中英文文献。致力于提供最便捷和优质的服务体验。 Copyright © 2023 布克学术 All rights reserved.
京ICP备2023020795号-1
ghs 京公网安备 11010802042870号
Book学术文献互助
Book学术文献互助群
群 号:604180095
Book学术官方微信