在资源有限的情况下结节性硬化症的诊断和护理的挑战:来自坦桑尼亚的病例报告。

IF 0.6 Q4 CLINICAL NEUROLOGY
Case Reports in Neurology Pub Date : 2025-06-10 eCollection Date: 2025-01-01 DOI:10.1159/000546098
Basil Tumaini, John Calori, Ernest Ibenzi
{"title":"在资源有限的情况下结节性硬化症的诊断和护理的挑战:来自坦桑尼亚的病例报告。","authors":"Basil Tumaini, John Calori, Ernest Ibenzi","doi":"10.1159/000546098","DOIUrl":null,"url":null,"abstract":"<p><strong>Introduction: </strong>Tuberous sclerosis complex (TSC) is a rare, multisystem genetic disorder caused by mutations in the TSC1 or TSC2 genes, resulting in dysregulation of the mTOR pathway. Clinical manifestations include epilepsy, cutaneous lesions, and hamartomas in various organs, presenting diagnostic challenges, especially in resource-limited settings. In low- and middle-income countries (LMICs), barriers such as lack of access to genetic testing, advanced imaging, and targeted therapies contribute to underdiagnosis and delayed care.</p><p><strong>Case presentation: </strong>We present a 22-year-old male from rural Tanzania with a 20-year history of intractable, treatment-refractory epilepsy. He also exhibited cutaneous findings, including facial angiofibromas, ash-leaf macules, and a shagreen patch. Brain imaging revealed subependymal nodules, and renal imaging identified angiomyolipomas. Despite the absence of genetic testing, a clinical diagnosis of TSC was made. The patient's condition was further complicated by aspiration pneumonia. Management included anticonvulsant therapy, antibiotics, and supportive care. Multisystem evaluation revealed cystic lung disease and renal involvement, underscoring the need for comprehensive follow-up. This case highlights the diagnostic reliance on clinical expertise and basic imaging in resource-limited settings.</p><p><strong>Conclusion: </strong>This report emphasizes the importance of clinical recognition and multidisciplinary management of TSC in resource-constrained settings. Strengthening healthcare infrastructure, raising awareness, and fostering collaborations to enhance access to genetic testing and mTOR-targeted therapies are critical to improving outcomes for TSC patients in LMICs. The lessons from this case underscore the global relevance of addressing healthcare disparities in rare genetic disorders.</p>","PeriodicalId":9639,"journal":{"name":"Case Reports in Neurology","volume":"17 1","pages":"79-87"},"PeriodicalIF":0.6000,"publicationDate":"2025-06-10","publicationTypes":"Journal Article","fieldsOfStudy":null,"isOpenAccess":false,"openAccessPdf":"https://www.ncbi.nlm.nih.gov/pmc/articles/PMC12252377/pdf/","citationCount":"0","resultStr":"{\"title\":\"Challenges in the Diagnosis and Care of Tuberous Sclerosis Complex in Resource-Limited Settings: A Case Report from Tanzania.\",\"authors\":\"Basil Tumaini, John Calori, Ernest Ibenzi\",\"doi\":\"10.1159/000546098\",\"DOIUrl\":null,\"url\":null,\"abstract\":\"<p><strong>Introduction: </strong>Tuberous sclerosis complex (TSC) is a rare, multisystem genetic disorder caused by mutations in the TSC1 or TSC2 genes, resulting in dysregulation of the mTOR pathway. Clinical manifestations include epilepsy, cutaneous lesions, and hamartomas in various organs, presenting diagnostic challenges, especially in resource-limited settings. In low- and middle-income countries (LMICs), barriers such as lack of access to genetic testing, advanced imaging, and targeted therapies contribute to underdiagnosis and delayed care.</p><p><strong>Case presentation: </strong>We present a 22-year-old male from rural Tanzania with a 20-year history of intractable, treatment-refractory epilepsy. He also exhibited cutaneous findings, including facial angiofibromas, ash-leaf macules, and a shagreen patch. Brain imaging revealed subependymal nodules, and renal imaging identified angiomyolipomas. Despite the absence of genetic testing, a clinical diagnosis of TSC was made. The patient's condition was further complicated by aspiration pneumonia. Management included anticonvulsant therapy, antibiotics, and supportive care. Multisystem evaluation revealed cystic lung disease and renal involvement, underscoring the need for comprehensive follow-up. This case highlights the diagnostic reliance on clinical expertise and basic imaging in resource-limited settings.</p><p><strong>Conclusion: </strong>This report emphasizes the importance of clinical recognition and multidisciplinary management of TSC in resource-constrained settings. Strengthening healthcare infrastructure, raising awareness, and fostering collaborations to enhance access to genetic testing and mTOR-targeted therapies are critical to improving outcomes for TSC patients in LMICs. The lessons from this case underscore the global relevance of addressing healthcare disparities in rare genetic disorders.</p>\",\"PeriodicalId\":9639,\"journal\":{\"name\":\"Case Reports in Neurology\",\"volume\":\"17 1\",\"pages\":\"79-87\"},\"PeriodicalIF\":0.6000,\"publicationDate\":\"2025-06-10\",\"publicationTypes\":\"Journal Article\",\"fieldsOfStudy\":null,\"isOpenAccess\":false,\"openAccessPdf\":\"https://www.ncbi.nlm.nih.gov/pmc/articles/PMC12252377/pdf/\",\"citationCount\":\"0\",\"resultStr\":null,\"platform\":\"Semanticscholar\",\"paperid\":null,\"PeriodicalName\":\"Case Reports in Neurology\",\"FirstCategoryId\":\"1085\",\"ListUrlMain\":\"https://doi.org/10.1159/000546098\",\"RegionNum\":0,\"RegionCategory\":null,\"ArticlePicture\":[],\"TitleCN\":null,\"AbstractTextCN\":null,\"PMCID\":null,\"EPubDate\":\"2025/1/1 0:00:00\",\"PubModel\":\"eCollection\",\"JCR\":\"Q4\",\"JCRName\":\"CLINICAL NEUROLOGY\",\"Score\":null,\"Total\":0}","platform":"Semanticscholar","paperid":null,"PeriodicalName":"Case Reports in Neurology","FirstCategoryId":"1085","ListUrlMain":"https://doi.org/10.1159/000546098","RegionNum":0,"RegionCategory":null,"ArticlePicture":[],"TitleCN":null,"AbstractTextCN":null,"PMCID":null,"EPubDate":"2025/1/1 0:00:00","PubModel":"eCollection","JCR":"Q4","JCRName":"CLINICAL NEUROLOGY","Score":null,"Total":0}
引用次数: 0

摘要

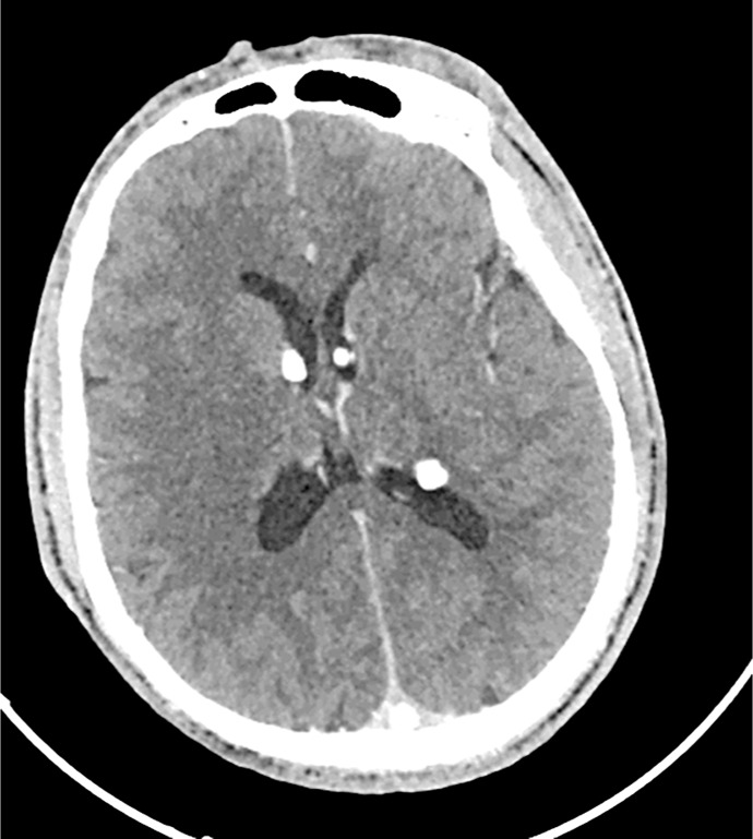
简介:结节性硬化症(TSC)是一种罕见的多系统遗传疾病,由TSC1或TSC2基因突变引起,导致mTOR通路失调。临床表现包括癫痫、皮肤病变和各种器官的错构瘤,这给诊断带来了挑战,特别是在资源有限的情况下。在低收入和中等收入国家,缺乏获得基因检测、先进成像和靶向治疗等障碍导致诊断不足和护理延误。病例介绍:我们报告一名来自坦桑尼亚农村的22岁男性,有20年难治性癫痫史。他也表现出皮肤的发现,包括面部血管纤维瘤、灰叶斑和一个粗绿色斑块。脑显像显示室管膜下结节,肾显像发现血管平滑肌脂肪瘤。尽管缺乏基因检测,临床诊断TSC作出。患者的病情因吸入性肺炎而进一步复杂化。治疗包括抗惊厥药物治疗、抗生素治疗和支持性护理。多系统评估显示囊性肺疾病和肾脏受累,强调需要全面随访。本病例强调在资源有限的情况下,诊断依赖临床专业知识和基本影像学。结论:本报告强调了在资源有限的情况下临床识别和多学科管理TSC的重要性。加强卫生保健基础设施、提高认识和促进合作,以增加获得基因检测和mtor靶向治疗的机会,对于改善中低收入国家TSC患者的预后至关重要。这一案例的教训强调了解决罕见遗传疾病保健差异的全球相关性。
本文章由计算机程序翻译,如有差异,请以英文原文为准。

Challenges in the Diagnosis and Care of Tuberous Sclerosis Complex in Resource-Limited Settings: A Case Report from Tanzania.

Challenges in the Diagnosis and Care of Tuberous Sclerosis Complex in Resource-Limited Settings: A Case Report from Tanzania.

Challenges in the Diagnosis and Care of Tuberous Sclerosis Complex in Resource-Limited Settings: A Case Report from Tanzania.

Challenges in the Diagnosis and Care of Tuberous Sclerosis Complex in Resource-Limited Settings: A Case Report from Tanzania.

Introduction: Tuberous sclerosis complex (TSC) is a rare, multisystem genetic disorder caused by mutations in the TSC1 or TSC2 genes, resulting in dysregulation of the mTOR pathway. Clinical manifestations include epilepsy, cutaneous lesions, and hamartomas in various organs, presenting diagnostic challenges, especially in resource-limited settings. In low- and middle-income countries (LMICs), barriers such as lack of access to genetic testing, advanced imaging, and targeted therapies contribute to underdiagnosis and delayed care.

Case presentation: We present a 22-year-old male from rural Tanzania with a 20-year history of intractable, treatment-refractory epilepsy. He also exhibited cutaneous findings, including facial angiofibromas, ash-leaf macules, and a shagreen patch. Brain imaging revealed subependymal nodules, and renal imaging identified angiomyolipomas. Despite the absence of genetic testing, a clinical diagnosis of TSC was made. The patient's condition was further complicated by aspiration pneumonia. Management included anticonvulsant therapy, antibiotics, and supportive care. Multisystem evaluation revealed cystic lung disease and renal involvement, underscoring the need for comprehensive follow-up. This case highlights the diagnostic reliance on clinical expertise and basic imaging in resource-limited settings.

Conclusion: This report emphasizes the importance of clinical recognition and multidisciplinary management of TSC in resource-constrained settings. Strengthening healthcare infrastructure, raising awareness, and fostering collaborations to enhance access to genetic testing and mTOR-targeted therapies are critical to improving outcomes for TSC patients in LMICs. The lessons from this case underscore the global relevance of addressing healthcare disparities in rare genetic disorders.

求助全文
通过发布文献求助,成功后即可免费获取论文全文。 去求助
来源期刊
Case Reports in Neurology
Case Reports in Neurology Medicine-Neurology (clinical)
CiteScore
1.50
自引率
0.00%
发文量
67
审稿时长
14 weeks
期刊介绍: This new peer-reviewed online-only journal publishes original case reports covering the entire spectrum of neurology. Clinicians and researchers are given a tool to disseminate their personal experience to a wider public as well as to review interesting cases encountered by colleagues all over the world. To complement the contributions supplementary material is welcomed. The reports are searchable according to the key words supplied by the authors; it will thus be possible to search across the entire growing collection of case reports with universally used terms, further facilitating the retrieval of specific information. Following the open access principle, the entire contents can be retrieved at no charge, guaranteeing easy access to this valuable source of anecdotal information at all times.
×
引用
GB/T 7714-2015
复制
MLA
复制
APA
复制
导出至
BibTeX EndNote RefMan NoteFirst NoteExpress
×
提示
您的信息不完整,为了账户安全,请先补充。
现在去补充
×
提示
您因"违规操作"
具体请查看互助需知
我知道了
×
提示
确定
请完成安全验证×
copy
已复制链接
快去分享给好友吧!
我知道了
右上角分享
点击右上角分享
0
联系我们:info@booksci.cn Book学术提供免费学术资源搜索服务,方便国内外学者检索中英文文献。致力于提供最便捷和优质的服务体验。 Copyright © 2023 布克学术 All rights reserved.
京ICP备2023020795号-1
ghs 京公网安备 11010802042870号
Book学术文献互助
Book学术文献互助群
群 号:604180095
Book学术官方微信