Deucravacitinib改善间质性肺炎并降低银屑病患者的KL-6: 1例报告。

IF 2.2 4区 医学 Q3 DERMATOLOGY
Clinical, Cosmetic and Investigational Dermatology Pub Date : 2025-07-08 eCollection Date: 2025-01-01 DOI:10.2147/CCID.S536534
Yoshihito Mima, Tsutomu Ohtsuka, Norimichi Akiyama, Yuta Norimatsu
{"title":"Deucravacitinib改善间质性肺炎并降低银屑病患者的KL-6: 1例报告。","authors":"Yoshihito Mima, Tsutomu Ohtsuka, Norimichi Akiyama, Yuta Norimatsu","doi":"10.2147/CCID.S536534","DOIUrl":null,"url":null,"abstract":"<p><p>This case report describes a patient with psoriasis and interstitial pneumonia (IP) presenting with linear opacities who was treated with deucravacitinib, aiming to highlight the potential role of deucravacitinib in improving IP. Psoriasis is a chronic immune-mediated skin disease involving T helper (Th) 17 cells, often accompanied by systemic comorbidities. Deucravacitinib, a selective oral tyrosine kinase 2 (TYK2) inhibitor targeting interleukin (IL)-23 and type I interferons, has shown strong efficacy and safety in psoriasis treatment. Interstitial pneumonia (IP) is a group of lung diseases characterized by inflammation, fibrosis, and progressive respiratory decline. Cytokines play key roles in its pathogenesis. Emerging evidence suggests that psoriasis has higher risks of IP, possibly due to shared IL-23/IL-17 pathway. The patient showed marked improvement in skin and lung findings, along with KL-6 levels after deucravacitinib treatment. TYK2 mediates downstream signaling of key pro-fibrotic and pro-inflammatory cytokines involved in IP. Therefore, we consider that deucravacitinib may have contributed to the improvement of IP by blocking these signaling pathways, thereby suppressing chronic T cell-driven inflammation and fibrosis. Further accumulation of cases and continued research will be essential in advancing discussions on the clinical utility of TYK2 inhibitors in IP management.</p>","PeriodicalId":10447,"journal":{"name":"Clinical, Cosmetic and Investigational Dermatology","volume":"18 ","pages":"1677-1681"},"PeriodicalIF":2.2000,"publicationDate":"2025-07-08","publicationTypes":"Journal Article","fieldsOfStudy":null,"isOpenAccess":false,"openAccessPdf":"https://www.ncbi.nlm.nih.gov/pmc/articles/PMC12255260/pdf/","citationCount":"0","resultStr":"{\"title\":\"Deucravacitinib Improved Interstitial Pneumonia Along with KL-6 Reduction in a Patient with Psoriasis: A Case Report.\",\"authors\":\"Yoshihito Mima, Tsutomu Ohtsuka, Norimichi Akiyama, Yuta Norimatsu\",\"doi\":\"10.2147/CCID.S536534\",\"DOIUrl\":null,\"url\":null,\"abstract\":\"<p><p>This case report describes a patient with psoriasis and interstitial pneumonia (IP) presenting with linear opacities who was treated with deucravacitinib, aiming to highlight the potential role of deucravacitinib in improving IP. Psoriasis is a chronic immune-mediated skin disease involving T helper (Th) 17 cells, often accompanied by systemic comorbidities. Deucravacitinib, a selective oral tyrosine kinase 2 (TYK2) inhibitor targeting interleukin (IL)-23 and type I interferons, has shown strong efficacy and safety in psoriasis treatment. Interstitial pneumonia (IP) is a group of lung diseases characterized by inflammation, fibrosis, and progressive respiratory decline. Cytokines play key roles in its pathogenesis. Emerging evidence suggests that psoriasis has higher risks of IP, possibly due to shared IL-23/IL-17 pathway. The patient showed marked improvement in skin and lung findings, along with KL-6 levels after deucravacitinib treatment. TYK2 mediates downstream signaling of key pro-fibrotic and pro-inflammatory cytokines involved in IP. Therefore, we consider that deucravacitinib may have contributed to the improvement of IP by blocking these signaling pathways, thereby suppressing chronic T cell-driven inflammation and fibrosis. Further accumulation of cases and continued research will be essential in advancing discussions on the clinical utility of TYK2 inhibitors in IP management.</p>\",\"PeriodicalId\":10447,\"journal\":{\"name\":\"Clinical, Cosmetic and Investigational Dermatology\",\"volume\":\"18 \",\"pages\":\"1677-1681\"},\"PeriodicalIF\":2.2000,\"publicationDate\":\"2025-07-08\",\"publicationTypes\":\"Journal Article\",\"fieldsOfStudy\":null,\"isOpenAccess\":false,\"openAccessPdf\":\"https://www.ncbi.nlm.nih.gov/pmc/articles/PMC12255260/pdf/\",\"citationCount\":\"0\",\"resultStr\":null,\"platform\":\"Semanticscholar\",\"paperid\":null,\"PeriodicalName\":\"Clinical, Cosmetic and Investigational Dermatology\",\"FirstCategoryId\":\"3\",\"ListUrlMain\":\"https://doi.org/10.2147/CCID.S536534\",\"RegionNum\":4,\"RegionCategory\":\"医学\",\"ArticlePicture\":[],\"TitleCN\":null,\"AbstractTextCN\":null,\"PMCID\":null,\"EPubDate\":\"2025/1/1 0:00:00\",\"PubModel\":\"eCollection\",\"JCR\":\"Q3\",\"JCRName\":\"DERMATOLOGY\",\"Score\":null,\"Total\":0}","platform":"Semanticscholar","paperid":null,"PeriodicalName":"Clinical, Cosmetic and Investigational Dermatology","FirstCategoryId":"3","ListUrlMain":"https://doi.org/10.2147/CCID.S536534","RegionNum":4,"RegionCategory":"医学","ArticlePicture":[],"TitleCN":null,"AbstractTextCN":null,"PMCID":null,"EPubDate":"2025/1/1 0:00:00","PubModel":"eCollection","JCR":"Q3","JCRName":"DERMATOLOGY","Score":null,"Total":0}
引用次数: 0

摘要

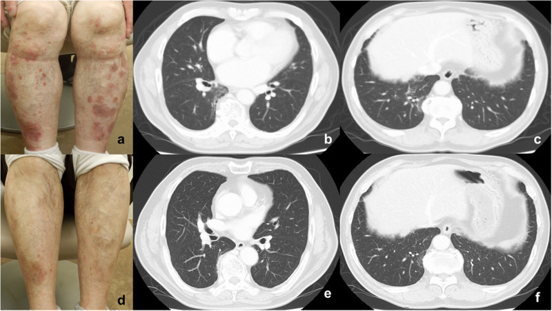
本病例报告描述了一名银屑病合并间质性肺炎(IP)的患者,其表现为线状混浊,接受了deucravacitinib治疗,旨在强调deucravacitinib在改善IP方面的潜在作用。银屑病是一种慢性免疫介导的皮肤疾病,涉及辅助性T (Th) 17细胞,常伴有全身合并症。Deucravacitinib是一种选择性口服酪氨酸激酶2 (TYK2)抑制剂,靶向白介素(IL)-23和I型干扰素,在银屑病治疗中显示出很强的疗效和安全性。间质性肺炎(IP)是一组以炎症、纤维化和进行性呼吸衰退为特征的肺部疾病。细胞因子在其发病机制中起关键作用。新的证据表明,银屑病具有更高的IP风险,可能是由于共享IL-23/IL-17途径。患者在deucravacitinib治疗后,皮肤和肺部表现明显改善,KL-6水平也有明显改善。TYK2介导与IP相关的关键促纤维化和促炎症细胞因子的下游信号传导。因此,我们认为deucravacitinib可能通过阻断这些信号通路来促进IP的改善,从而抑制慢性T细胞驱动的炎症和纤维化。进一步积累病例和持续的研究对于推进TYK2抑制剂在知识产权管理中的临床应用的讨论至关重要。
本文章由计算机程序翻译,如有差异,请以英文原文为准。

Deucravacitinib Improved Interstitial Pneumonia Along with KL-6 Reduction in a Patient with Psoriasis: A Case Report.

Deucravacitinib Improved Interstitial Pneumonia Along with KL-6 Reduction in a Patient with Psoriasis: A Case Report.

This case report describes a patient with psoriasis and interstitial pneumonia (IP) presenting with linear opacities who was treated with deucravacitinib, aiming to highlight the potential role of deucravacitinib in improving IP. Psoriasis is a chronic immune-mediated skin disease involving T helper (Th) 17 cells, often accompanied by systemic comorbidities. Deucravacitinib, a selective oral tyrosine kinase 2 (TYK2) inhibitor targeting interleukin (IL)-23 and type I interferons, has shown strong efficacy and safety in psoriasis treatment. Interstitial pneumonia (IP) is a group of lung diseases characterized by inflammation, fibrosis, and progressive respiratory decline. Cytokines play key roles in its pathogenesis. Emerging evidence suggests that psoriasis has higher risks of IP, possibly due to shared IL-23/IL-17 pathway. The patient showed marked improvement in skin and lung findings, along with KL-6 levels after deucravacitinib treatment. TYK2 mediates downstream signaling of key pro-fibrotic and pro-inflammatory cytokines involved in IP. Therefore, we consider that deucravacitinib may have contributed to the improvement of IP by blocking these signaling pathways, thereby suppressing chronic T cell-driven inflammation and fibrosis. Further accumulation of cases and continued research will be essential in advancing discussions on the clinical utility of TYK2 inhibitors in IP management.

求助全文
通过发布文献求助,成功后即可免费获取论文全文。 去求助
来源期刊
CiteScore
2.80
自引率
4.30%
发文量
353
审稿时长
16 weeks
期刊介绍: Clinical, Cosmetic and Investigational Dermatology is an international, peer-reviewed, open access journal that focuses on the latest clinical and experimental research in all aspects of skin disease and cosmetic interventions. Normal and pathological processes in skin development and aging, their modification and treatment, as well as basic research into histology of dermal and dermal structures that provide clinical insights and potential treatment options are key topics for the journal. Patient satisfaction, preference, quality of life, compliance, persistence and their role in developing new management options to optimize outcomes for target conditions constitute major areas of interest. The journal is characterized by the rapid reporting of clinical studies, reviews and original research in skin research and skin care. All areas of dermatology will be covered; contributions will be welcomed from all clinicians and basic science researchers globally.
×
引用
GB/T 7714-2015
复制
MLA
复制
APA
复制
导出至
BibTeX EndNote RefMan NoteFirst NoteExpress
×
提示
您的信息不完整,为了账户安全,请先补充。
现在去补充
×
提示
您因"违规操作"
具体请查看互助需知
我知道了
×
提示
确定
请完成安全验证×
copy
已复制链接
快去分享给好友吧!
我知道了
右上角分享
点击右上角分享
0
联系我们:info@booksci.cn Book学术提供免费学术资源搜索服务,方便国内外学者检索中英文文献。致力于提供最便捷和优质的服务体验。 Copyright © 2023 布克学术 All rights reserved.
京ICP备2023020795号-1
ghs 京公网安备 11010802042870号
Book学术文献互助
Book学术文献互助群
群 号:604180095
Book学术官方微信