散发性前庭神经鞘瘤切除术后的MRI增强模式:乙状窦后入路与迷路入路的比较

IF 1.7 4区 医学 Q2 OTORHINOLARYNGOLOGY
Olivia La Monte, Joshua Lee, Peter R. Dixon, Omid Moshtaghi, Douglas M. Bennion, Marc Schwartz, Rick Friedman
{"title":"散发性前庭神经鞘瘤切除术后的MRI增强模式:乙状窦后入路与迷路入路的比较","authors":"Olivia La Monte,&nbsp;Joshua Lee,&nbsp;Peter R. Dixon,&nbsp;Omid Moshtaghi,&nbsp;Douglas M. Bennion,&nbsp;Marc Schwartz,&nbsp;Rick Friedman","doi":"10.1002/lio2.70200","DOIUrl":null,"url":null,"abstract":"<div>\n \n \n <section>\n \n <h3> Objective</h3>\n \n <p>One theoretical disadvantage of the retrosigmoid approach is the inability to visualize tumor at the fundus of the internal auditory canal, potentially leading to a higher risk of residual tumor even when the surgeon reports a gross total resection. We sought to compare MRI enhancement patterns and their persistence following retrosigmoid and translabyrinthine vestibular schwannoma (VS) resection.</p>\n </section>\n \n <section>\n \n <h3> Methods</h3>\n \n <p>Adults aged ≥ 18 years old who underwent translabyrinthine or retrosigmoid approaches for resection of a sporadic vestibular schwannoma (VS) at a single tertiary care institution were eligible for inclusion in this cohort study. Patterns of enhancement on postoperative MRI, when present, were qualitatively described as linear or nodular. Multivariable logistic regression was used to adjust for tumor size and resection extent.</p>\n </section>\n \n <section>\n \n <h3> Results</h3>\n \n <p>After surgeon-reported gross total resection, linear enhancement was present in 24/141 (17.0%) and nodular enhancement in 2/141 (1.4%) cases. Both patterns showed high rates of spontaneous resolution, with 3/24 (12.5%) of linear enhancements persisting on ≥ 2 scans and no nodular enhancements (0/2) persisting. Among patients with less than gross total resection, when present, nodular enhancement was more likely to persist (3/5, 60.0%) than linear enhancement (3/8, 38.0%, <i>p</i> &lt; 0.001). Approach was not associated with odds of nodular enhancement (OR for retrosigmoid vs. translabyrinthine 0.36, 95% Cl 0.05–1.89, <i>p</i> = 0.2). Similarly, surgical approach was not significantly associated with linear enhancement (<i>p</i> = 0.41). Surgeon-reported gross total resection was associated with reduced odds of nodular enhancement for translabyrinthine (OR 0.07, 95% CI 0.00–0.63, <i>p</i> = 0.04) but not retrosigmoid (OR 0.09, 95% CI 0.00–2.76, <i>p</i> = 0.13).</p>\n </section>\n \n <section>\n \n <h3> Conclusions</h3>\n \n <p>Postoperative enhancement typically resolves after gross total resection, but when present, surgeon-reported resection extent is a key predictor of persistence. However, our findings suggest that in retrosigmoid cases—where limited visualization of the fundus may increase the risk of residual tumor—surgeon reports of gross total resection may be less reliable.</p>\n </section>\n \n <section>\n \n <h3> Level of Evidence</h3>\n \n <p>IV.</p>\n </section>\n </div>","PeriodicalId":48529,"journal":{"name":"Laryngoscope Investigative Otolaryngology","volume":"10 4","pages":""},"PeriodicalIF":1.7000,"publicationDate":"2025-07-14","publicationTypes":"Journal Article","fieldsOfStudy":null,"isOpenAccess":false,"openAccessPdf":"https://onlinelibrary.wiley.com/doi/epdf/10.1002/lio2.70200","citationCount":"0","resultStr":"{\"title\":\"MRI Enhancement Patterns After Resection of Sporadic Vestibular Schwannoma: Comparing Retrosigmoid and Translabyrinthine Approaches\",\"authors\":\"Olivia La Monte,&nbsp;Joshua Lee,&nbsp;Peter R. Dixon,&nbsp;Omid Moshtaghi,&nbsp;Douglas M. Bennion,&nbsp;Marc Schwartz,&nbsp;Rick Friedman\",\"doi\":\"10.1002/lio2.70200\",\"DOIUrl\":null,\"url\":null,\"abstract\":\"<div>\\n \\n \\n <section>\\n \\n <h3> Objective</h3>\\n \\n <p>One theoretical disadvantage of the retrosigmoid approach is the inability to visualize tumor at the fundus of the internal auditory canal, potentially leading to a higher risk of residual tumor even when the surgeon reports a gross total resection. We sought to compare MRI enhancement patterns and their persistence following retrosigmoid and translabyrinthine vestibular schwannoma (VS) resection.</p>\\n </section>\\n \\n <section>\\n \\n <h3> Methods</h3>\\n \\n <p>Adults aged ≥ 18 years old who underwent translabyrinthine or retrosigmoid approaches for resection of a sporadic vestibular schwannoma (VS) at a single tertiary care institution were eligible for inclusion in this cohort study. Patterns of enhancement on postoperative MRI, when present, were qualitatively described as linear or nodular. Multivariable logistic regression was used to adjust for tumor size and resection extent.</p>\\n </section>\\n \\n <section>\\n \\n <h3> Results</h3>\\n \\n <p>After surgeon-reported gross total resection, linear enhancement was present in 24/141 (17.0%) and nodular enhancement in 2/141 (1.4%) cases. Both patterns showed high rates of spontaneous resolution, with 3/24 (12.5%) of linear enhancements persisting on ≥ 2 scans and no nodular enhancements (0/2) persisting. Among patients with less than gross total resection, when present, nodular enhancement was more likely to persist (3/5, 60.0%) than linear enhancement (3/8, 38.0%, <i>p</i> &lt; 0.001). Approach was not associated with odds of nodular enhancement (OR for retrosigmoid vs. translabyrinthine 0.36, 95% Cl 0.05–1.89, <i>p</i> = 0.2). Similarly, surgical approach was not significantly associated with linear enhancement (<i>p</i> = 0.41). Surgeon-reported gross total resection was associated with reduced odds of nodular enhancement for translabyrinthine (OR 0.07, 95% CI 0.00–0.63, <i>p</i> = 0.04) but not retrosigmoid (OR 0.09, 95% CI 0.00–2.76, <i>p</i> = 0.13).</p>\\n </section>\\n \\n <section>\\n \\n <h3> Conclusions</h3>\\n \\n <p>Postoperative enhancement typically resolves after gross total resection, but when present, surgeon-reported resection extent is a key predictor of persistence. However, our findings suggest that in retrosigmoid cases—where limited visualization of the fundus may increase the risk of residual tumor—surgeon reports of gross total resection may be less reliable.</p>\\n </section>\\n \\n <section>\\n \\n <h3> Level of Evidence</h3>\\n \\n <p>IV.</p>\\n </section>\\n </div>\",\"PeriodicalId\":48529,\"journal\":{\"name\":\"Laryngoscope Investigative Otolaryngology\",\"volume\":\"10 4\",\"pages\":\"\"},\"PeriodicalIF\":1.7000,\"publicationDate\":\"2025-07-14\",\"publicationTypes\":\"Journal Article\",\"fieldsOfStudy\":null,\"isOpenAccess\":false,\"openAccessPdf\":\"https://onlinelibrary.wiley.com/doi/epdf/10.1002/lio2.70200\",\"citationCount\":\"0\",\"resultStr\":null,\"platform\":\"Semanticscholar\",\"paperid\":null,\"PeriodicalName\":\"Laryngoscope Investigative Otolaryngology\",\"FirstCategoryId\":\"3\",\"ListUrlMain\":\"https://onlinelibrary.wiley.com/doi/10.1002/lio2.70200\",\"RegionNum\":4,\"RegionCategory\":\"医学\",\"ArticlePicture\":[],\"TitleCN\":null,\"AbstractTextCN\":null,\"PMCID\":null,\"EPubDate\":\"\",\"PubModel\":\"\",\"JCR\":\"Q2\",\"JCRName\":\"OTORHINOLARYNGOLOGY\",\"Score\":null,\"Total\":0}","platform":"Semanticscholar","paperid":null,"PeriodicalName":"Laryngoscope Investigative Otolaryngology","FirstCategoryId":"3","ListUrlMain":"https://onlinelibrary.wiley.com/doi/10.1002/lio2.70200","RegionNum":4,"RegionCategory":"医学","ArticlePicture":[],"TitleCN":null,"AbstractTextCN":null,"PMCID":null,"EPubDate":"","PubModel":"","JCR":"Q2","JCRName":"OTORHINOLARYNGOLOGY","Score":null,"Total":0}
引用次数: 0

摘要

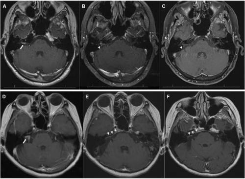
目的乙状结肠后入路的一个理论上的缺点是无法看到内耳道底部的肿瘤,即使外科医生报告大体全切除,也可能导致残留肿瘤的高风险。我们试图比较乙状结肠后和经迷路前庭神经鞘瘤(VS)切除术后的MRI增强模式及其持久性。方法年龄≥18岁的成人,在单一三级医疗机构接受经迷路或乙状结肠后入路切除散发性前庭神经鞘瘤(VS),符合纳入本队列研究的条件。术后MRI增强的模式,当存在时,定性描述为线状或结节状。采用多变量logistic回归对肿瘤大小和切除程度进行校正。结果手术报告的大体全切除后,24/141(17.0%)例出现线状强化,2/141(1.4%)例出现结节性强化。两种模式均显示高自发分辨率,3/24(12.5%)的线性增强持续≥2次扫描,无结节增强持续(0/2)。在小于总切除的患者中,结节性强化持续存在的可能性(3/ 5,60.0%)大于线性强化(3/ 8,38.0%,p < 0.001)。入路与结节增强的几率无关(乙状窦后与迷路后的OR为0.36,95% Cl为0.05-1.89,p = 0.2)。同样,手术入路与线性增强无显著相关(p = 0.41)。外科手术报道的总切除与经迷路结节增强的几率降低相关(OR 0.07, 95% CI 0.00-0.63, p = 0.04),但与乙状结肠后结节增强的几率无关(OR 0.09, 95% CI 0.00-2.76, p = 0.13)。结论:术后增强通常在大体全切除后消退,但当存在时,外科医生报告的切除程度是持续的关键预测因素。然而,我们的研究结果表明,在乙状结肠后的病例中,眼底的有限可见可能会增加残留肿瘤的风险,外科医生报告的全切除可能不太可靠。证据级别IV。
本文章由计算机程序翻译,如有差异,请以英文原文为准。

MRI Enhancement Patterns After Resection of Sporadic Vestibular Schwannoma: Comparing Retrosigmoid and Translabyrinthine Approaches

MRI Enhancement Patterns After Resection of Sporadic Vestibular Schwannoma: Comparing Retrosigmoid and Translabyrinthine Approaches

Objective

One theoretical disadvantage of the retrosigmoid approach is the inability to visualize tumor at the fundus of the internal auditory canal, potentially leading to a higher risk of residual tumor even when the surgeon reports a gross total resection. We sought to compare MRI enhancement patterns and their persistence following retrosigmoid and translabyrinthine vestibular schwannoma (VS) resection.

Methods

Adults aged ≥ 18 years old who underwent translabyrinthine or retrosigmoid approaches for resection of a sporadic vestibular schwannoma (VS) at a single tertiary care institution were eligible for inclusion in this cohort study. Patterns of enhancement on postoperative MRI, when present, were qualitatively described as linear or nodular. Multivariable logistic regression was used to adjust for tumor size and resection extent.

Results

After surgeon-reported gross total resection, linear enhancement was present in 24/141 (17.0%) and nodular enhancement in 2/141 (1.4%) cases. Both patterns showed high rates of spontaneous resolution, with 3/24 (12.5%) of linear enhancements persisting on ≥ 2 scans and no nodular enhancements (0/2) persisting. Among patients with less than gross total resection, when present, nodular enhancement was more likely to persist (3/5, 60.0%) than linear enhancement (3/8, 38.0%, p < 0.001). Approach was not associated with odds of nodular enhancement (OR for retrosigmoid vs. translabyrinthine 0.36, 95% Cl 0.05–1.89, p = 0.2). Similarly, surgical approach was not significantly associated with linear enhancement (p = 0.41). Surgeon-reported gross total resection was associated with reduced odds of nodular enhancement for translabyrinthine (OR 0.07, 95% CI 0.00–0.63, p = 0.04) but not retrosigmoid (OR 0.09, 95% CI 0.00–2.76, p = 0.13).

Conclusions

Postoperative enhancement typically resolves after gross total resection, but when present, surgeon-reported resection extent is a key predictor of persistence. However, our findings suggest that in retrosigmoid cases—where limited visualization of the fundus may increase the risk of residual tumor—surgeon reports of gross total resection may be less reliable.

Level of Evidence

IV.

求助全文
通过发布文献求助,成功后即可免费获取论文全文。 去求助
来源期刊
CiteScore
3.00
自引率
0.00%
发文量
245
审稿时长
11 weeks
×
引用
GB/T 7714-2015
复制
MLA
复制
APA
复制
导出至
BibTeX EndNote RefMan NoteFirst NoteExpress
×
提示
您的信息不完整,为了账户安全,请先补充。
现在去补充
×
提示
您因"违规操作"
具体请查看互助需知
我知道了
×
提示
确定
请完成安全验证×
copy
已复制链接
快去分享给好友吧!
我知道了
右上角分享
点击右上角分享
0
联系我们:info@booksci.cn Book学术提供免费学术资源搜索服务,方便国内外学者检索中英文文献。致力于提供最便捷和优质的服务体验。 Copyright © 2023 布克学术 All rights reserved.
京ICP备2023020795号-1
ghs 京公网安备 11010802042870号
Book学术文献互助
Book学术文献互助群
群 号:604180095
Book学术官方微信