2例辅助因子I致病性变异体伴膜增生性IgA肾病及免疫抑制治疗耐药

IF 1.9
Tommaso Mazzierli, Pamela Gallo, Costanza Giuliani, Elisabetta Pelo, Pietro Dattolo, Chiara Somma
{"title":"2例辅助因子I致病性变异体伴膜增生性IgA肾病及免疫抑制治疗耐药","authors":"Tommaso Mazzierli, Pamela Gallo, Costanza Giuliani, Elisabetta Pelo, Pietro Dattolo, Chiara Somma","doi":"10.1111/nep.70092","DOIUrl":null,"url":null,"abstract":"<p><p>Complement system (CS) overactivation is one of the main causes of kidney damage in IgA nephropathy (IgAN), and it mainly involves the alternative pathway (AP). Additionally, pathogenic complement variants in CS-related genes are reported in IgAN with associated thrombotic microangiopathy (TMA). Here we report two patients with IgAN presenting membranoproliferative pattern, isolated C3 hypocomplementemia, resistance to multiple lines of immunosuppressive therapy, familiarity for proteinuric chronic kidney disease and pathogenic rare variants in cofactor I (CFI). To the best of our knowledge, no other cases of IgAN patients with a similar phenotype and genotype were previously reported in the literature. This work highlights the essential role of deep phenotyping and genotyping in providing tailored treatment strategies in IgAN patients.</p>","PeriodicalId":520716,"journal":{"name":"Nephrology (Carlton, Vic.)","volume":"30 7","pages":"e70092"},"PeriodicalIF":1.9000,"publicationDate":"2025-07-01","publicationTypes":"Journal Article","fieldsOfStudy":null,"isOpenAccess":false,"openAccessPdf":"https://www.ncbi.nlm.nih.gov/pmc/articles/PMC12254522/pdf/","citationCount":"0","resultStr":"{\"title\":\"IgA Nephropathy With Membranoproliferative Pattern and Resistance to Immunosuppressive Therapy in Two Patients With Cofactor I Pathogenic Variant.\",\"authors\":\"Tommaso Mazzierli, Pamela Gallo, Costanza Giuliani, Elisabetta Pelo, Pietro Dattolo, Chiara Somma\",\"doi\":\"10.1111/nep.70092\",\"DOIUrl\":null,\"url\":null,\"abstract\":\"<p><p>Complement system (CS) overactivation is one of the main causes of kidney damage in IgA nephropathy (IgAN), and it mainly involves the alternative pathway (AP). Additionally, pathogenic complement variants in CS-related genes are reported in IgAN with associated thrombotic microangiopathy (TMA). Here we report two patients with IgAN presenting membranoproliferative pattern, isolated C3 hypocomplementemia, resistance to multiple lines of immunosuppressive therapy, familiarity for proteinuric chronic kidney disease and pathogenic rare variants in cofactor I (CFI). To the best of our knowledge, no other cases of IgAN patients with a similar phenotype and genotype were previously reported in the literature. This work highlights the essential role of deep phenotyping and genotyping in providing tailored treatment strategies in IgAN patients.</p>\",\"PeriodicalId\":520716,\"journal\":{\"name\":\"Nephrology (Carlton, Vic.)\",\"volume\":\"30 7\",\"pages\":\"e70092\"},\"PeriodicalIF\":1.9000,\"publicationDate\":\"2025-07-01\",\"publicationTypes\":\"Journal Article\",\"fieldsOfStudy\":null,\"isOpenAccess\":false,\"openAccessPdf\":\"https://www.ncbi.nlm.nih.gov/pmc/articles/PMC12254522/pdf/\",\"citationCount\":\"0\",\"resultStr\":null,\"platform\":\"Semanticscholar\",\"paperid\":null,\"PeriodicalName\":\"Nephrology (Carlton, Vic.)\",\"FirstCategoryId\":\"1085\",\"ListUrlMain\":\"https://doi.org/10.1111/nep.70092\",\"RegionNum\":0,\"RegionCategory\":null,\"ArticlePicture\":[],\"TitleCN\":null,\"AbstractTextCN\":null,\"PMCID\":null,\"EPubDate\":\"\",\"PubModel\":\"\",\"JCR\":\"\",\"JCRName\":\"\",\"Score\":null,\"Total\":0}","platform":"Semanticscholar","paperid":null,"PeriodicalName":"Nephrology (Carlton, Vic.)","FirstCategoryId":"1085","ListUrlMain":"https://doi.org/10.1111/nep.70092","RegionNum":0,"RegionCategory":null,"ArticlePicture":[],"TitleCN":null,"AbstractTextCN":null,"PMCID":null,"EPubDate":"","PubModel":"","JCR":"","JCRName":"","Score":null,"Total":0}
引用次数: 0

摘要

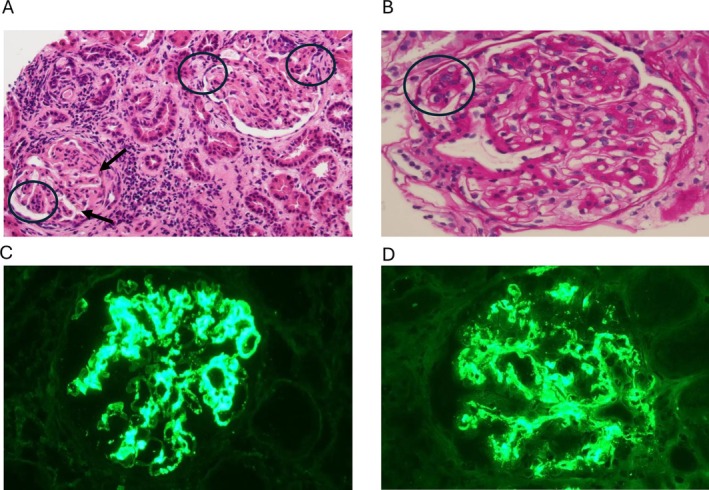
补体系统(CS)过度激活是IgA肾病(IgAN)肾损害的主要原因之一,主要涉及替代途径(AP)。此外,在伴有血栓性微血管病(TMA)的IgAN中,cs相关基因的致病性补体变异也有报道。在这里,我们报告了两例IgAN患者,表现为膜增生性模式,孤立的C3低补体血症,对多种免疫抑制治疗的耐药性,对蛋白尿慢性肾病的熟悉以及辅酶I (CFI)的致病性罕见变异。据我们所知,以前文献中没有报道过具有相似表型和基因型的IgAN患者的其他病例。这项工作强调了深度表型和基因分型在为IgAN患者提供量身定制的治疗策略方面的重要作用。
本文章由计算机程序翻译,如有差异,请以英文原文为准。

IgA Nephropathy With Membranoproliferative Pattern and Resistance to Immunosuppressive Therapy in Two Patients With Cofactor I Pathogenic Variant.

IgA Nephropathy With Membranoproliferative Pattern and Resistance to Immunosuppressive Therapy in Two Patients With Cofactor I Pathogenic Variant.

IgA Nephropathy With Membranoproliferative Pattern and Resistance to Immunosuppressive Therapy in Two Patients With Cofactor I Pathogenic Variant.

Complement system (CS) overactivation is one of the main causes of kidney damage in IgA nephropathy (IgAN), and it mainly involves the alternative pathway (AP). Additionally, pathogenic complement variants in CS-related genes are reported in IgAN with associated thrombotic microangiopathy (TMA). Here we report two patients with IgAN presenting membranoproliferative pattern, isolated C3 hypocomplementemia, resistance to multiple lines of immunosuppressive therapy, familiarity for proteinuric chronic kidney disease and pathogenic rare variants in cofactor I (CFI). To the best of our knowledge, no other cases of IgAN patients with a similar phenotype and genotype were previously reported in the literature. This work highlights the essential role of deep phenotyping and genotyping in providing tailored treatment strategies in IgAN patients.

求助全文
通过发布文献求助,成功后即可免费获取论文全文。 去求助
来源期刊
自引率
0.00%
发文量
0
×
引用
GB/T 7714-2015
复制
MLA
复制
APA
复制
导出至
BibTeX EndNote RefMan NoteFirst NoteExpress
×
提示
您的信息不完整,为了账户安全,请先补充。
现在去补充
×
提示
您因"违规操作"
具体请查看互助需知
我知道了
×
提示
确定
请完成安全验证×
copy
已复制链接
快去分享给好友吧!
我知道了
右上角分享
点击右上角分享
0
联系我们:info@booksci.cn Book学术提供免费学术资源搜索服务,方便国内外学者检索中英文文献。致力于提供最便捷和优质的服务体验。 Copyright © 2023 布克学术 All rights reserved.
京ICP备2023020795号-1
ghs 京公网安备 11010802042870号
Book学术文献互助
Book学术文献互助群
群 号:604180095
Book学术官方微信