四维CT与Sestamibi spect在原发性甲状旁腺功能亢进定位治疗中的比较。

IF 3.5 2区 医学 Q2 ONCOLOGY
Jun Yang, Xili Lu, Pingping Zhou, Zhonghui Gao, Cheng Ding, Wanwen Weng, Linpeng Yao, Xinhui Su
{"title":"四维CT与Sestamibi spect在原发性甲状旁腺功能亢进定位治疗中的比较。","authors":"Jun Yang, Xili Lu, Pingping Zhou, Zhonghui Gao, Cheng Ding, Wanwen Weng, Linpeng Yao, Xinhui Su","doi":"10.1186/s40644-025-00897-7","DOIUrl":null,"url":null,"abstract":"<p><strong>Objective: </strong>Accurate preoperative imaging localization is paramount to the success of targeted parathyroidectomy for primary hyperparathyroidism (PHPT). Four-dimensional (4D) CT is a promising method for preoperative localization of the parathyroid, but studies on the performance of 4D CT and technetium 99 m-sestamibi SPECT/CT for the diagnosis of diseases of the parathyroid are limited.</p><p><strong>Materials and methods: </strong>To compare the diagnostic performance of sestamibi SPECT/CT and 4D-CT for preoperative localization in patients with PHPT in a single-institution from August 2017 to May 2024.</p><p><strong>Results: </strong>Two hundred forty-two patients with PHPT (166 females; 52.5 years ± 13.4 [SD]) were evaluated. Among the 242 patients, 233 patients (96.3%) had single-gland disease, and 9 patients (3.7%) had multigland disease. Similar diagnostic performance was observed for sestamibi SPECT/CT and 4D-CT ([receiver operating characteristic ROC], 0.90 [95% CI: 0.87, 0.92] and 0.88 [95% CI: 0.85, 0.90], respectively; p = 0.11). Compared with 4D-CT, combined-modality sensitive reading and sestamibi SPECT/CT had the highest ROC, and, although there was no significant difference between the two (ROC, 0.91; 95% CI: 0.89, 0.93; p = 0.14), they significantly differed from 4D-CT (p = 0.0006). Sestamibi SPECT/CT showed an accuracy of 92% (95% CI: 90%, 94%), similar to 4D-CT (91%; 95% CI: 89%, 92%), combined-modality sensitive reading (91%; 95% CI: 89%, 93%) and combined-modality specificity reading (92%; 95% CI: 90%, 94%).</p><p><strong>Conclusion: </strong>Sestamibi SPECT/CT has high accuracy in preoperative localization in patients with PHPT. Compared with sestamibi SPECT/CT alone, 4D-CT and combined-modality reading did not improve diagnostic performance.</p>","PeriodicalId":9548,"journal":{"name":"Cancer Imaging","volume":"25 1","pages":"90"},"PeriodicalIF":3.5000,"publicationDate":"2025-07-11","publicationTypes":"Journal Article","fieldsOfStudy":null,"isOpenAccess":false,"openAccessPdf":"https://www.ncbi.nlm.nih.gov/pmc/articles/PMC12247383/pdf/","citationCount":"0","resultStr":"{\"title\":\"Comparison of four-dimensional CT and Sestamibi SPECTCT in the localization management of primary hyperparathyroidism.\",\"authors\":\"Jun Yang, Xili Lu, Pingping Zhou, Zhonghui Gao, Cheng Ding, Wanwen Weng, Linpeng Yao, Xinhui Su\",\"doi\":\"10.1186/s40644-025-00897-7\",\"DOIUrl\":null,\"url\":null,\"abstract\":\"<p><strong>Objective: </strong>Accurate preoperative imaging localization is paramount to the success of targeted parathyroidectomy for primary hyperparathyroidism (PHPT). Four-dimensional (4D) CT is a promising method for preoperative localization of the parathyroid, but studies on the performance of 4D CT and technetium 99 m-sestamibi SPECT/CT for the diagnosis of diseases of the parathyroid are limited.</p><p><strong>Materials and methods: </strong>To compare the diagnostic performance of sestamibi SPECT/CT and 4D-CT for preoperative localization in patients with PHPT in a single-institution from August 2017 to May 2024.</p><p><strong>Results: </strong>Two hundred forty-two patients with PHPT (166 females; 52.5 years ± 13.4 [SD]) were evaluated. Among the 242 patients, 233 patients (96.3%) had single-gland disease, and 9 patients (3.7%) had multigland disease. Similar diagnostic performance was observed for sestamibi SPECT/CT and 4D-CT ([receiver operating characteristic ROC], 0.90 [95% CI: 0.87, 0.92] and 0.88 [95% CI: 0.85, 0.90], respectively; p = 0.11). Compared with 4D-CT, combined-modality sensitive reading and sestamibi SPECT/CT had the highest ROC, and, although there was no significant difference between the two (ROC, 0.91; 95% CI: 0.89, 0.93; p = 0.14), they significantly differed from 4D-CT (p = 0.0006). Sestamibi SPECT/CT showed an accuracy of 92% (95% CI: 90%, 94%), similar to 4D-CT (91%; 95% CI: 89%, 92%), combined-modality sensitive reading (91%; 95% CI: 89%, 93%) and combined-modality specificity reading (92%; 95% CI: 90%, 94%).</p><p><strong>Conclusion: </strong>Sestamibi SPECT/CT has high accuracy in preoperative localization in patients with PHPT. Compared with sestamibi SPECT/CT alone, 4D-CT and combined-modality reading did not improve diagnostic performance.</p>\",\"PeriodicalId\":9548,\"journal\":{\"name\":\"Cancer Imaging\",\"volume\":\"25 1\",\"pages\":\"90\"},\"PeriodicalIF\":3.5000,\"publicationDate\":\"2025-07-11\",\"publicationTypes\":\"Journal Article\",\"fieldsOfStudy\":null,\"isOpenAccess\":false,\"openAccessPdf\":\"https://www.ncbi.nlm.nih.gov/pmc/articles/PMC12247383/pdf/\",\"citationCount\":\"0\",\"resultStr\":null,\"platform\":\"Semanticscholar\",\"paperid\":null,\"PeriodicalName\":\"Cancer Imaging\",\"FirstCategoryId\":\"3\",\"ListUrlMain\":\"https://doi.org/10.1186/s40644-025-00897-7\",\"RegionNum\":2,\"RegionCategory\":\"医学\",\"ArticlePicture\":[],\"TitleCN\":null,\"AbstractTextCN\":null,\"PMCID\":null,\"EPubDate\":\"\",\"PubModel\":\"\",\"JCR\":\"Q2\",\"JCRName\":\"ONCOLOGY\",\"Score\":null,\"Total\":0}","platform":"Semanticscholar","paperid":null,"PeriodicalName":"Cancer Imaging","FirstCategoryId":"3","ListUrlMain":"https://doi.org/10.1186/s40644-025-00897-7","RegionNum":2,"RegionCategory":"医学","ArticlePicture":[],"TitleCN":null,"AbstractTextCN":null,"PMCID":null,"EPubDate":"","PubModel":"","JCR":"Q2","JCRName":"ONCOLOGY","Score":null,"Total":0}
引用次数: 0

摘要

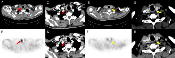
目的:准确的术前影像学定位是原发性甲状旁腺功能亢进(PHPT)靶向甲状旁腺切除术成功的关键。四维CT (4D)是一种很有前景的甲状旁腺术前定位方法,但关于4D CT和锝- 99 m-sestamibi SPECT/CT诊断甲状旁腺疾病的研究有限。材料与方法:比较2017年8月至2024年5月在同一医院使用的sestamibi SPECT/CT和4D-CT对PHPT患者术前定位的诊断效果。结果:PHPT患者242例(女性166例;52.5年±13.4 [SD])。242例患者中,单腺病变233例(96.3%),多腺病变9例(3.7%)。sestamibi SPECT/CT和4D-CT的诊断效果相似([受试者工作特征ROC],分别为0.90 [95% CI: 0.87, 0.92]和0.88 [95% CI: 0.85, 0.90];p = 0.11)。与4D-CT相比,联合模态敏感读数和sestamibi SPECT/CT的ROC最高,尽管两者之间无显著差异(ROC, 0.91;95% ci: 0.89, 0.93;p = 0.14),与4D-CT有显著差异(p = 0.0006)。Sestamibi SPECT/CT显示准确率为92% (95% CI: 90%, 94%),与4D-CT相似(91%;95% CI: 89%, 92%),组合模态敏感读数(91%;95% CI: 89%, 93%)和联合模态特异性读数(92%;95% ci: 90%, 94%)。结论:Sestamibi SPECT/CT对PHPT患者术前定位具有较高的准确性。与sestamibi SPECT/CT单独比较,4D-CT和联合模式读数没有提高诊断性能。
本文章由计算机程序翻译,如有差异,请以英文原文为准。

Comparison of four-dimensional CT and Sestamibi SPECTCT in the localization management of primary hyperparathyroidism.

Comparison of four-dimensional CT and Sestamibi SPECTCT in the localization management of primary hyperparathyroidism.

Comparison of four-dimensional CT and Sestamibi SPECTCT in the localization management of primary hyperparathyroidism.

Comparison of four-dimensional CT and Sestamibi SPECTCT in the localization management of primary hyperparathyroidism.

Objective: Accurate preoperative imaging localization is paramount to the success of targeted parathyroidectomy for primary hyperparathyroidism (PHPT). Four-dimensional (4D) CT is a promising method for preoperative localization of the parathyroid, but studies on the performance of 4D CT and technetium 99 m-sestamibi SPECT/CT for the diagnosis of diseases of the parathyroid are limited.

Materials and methods: To compare the diagnostic performance of sestamibi SPECT/CT and 4D-CT for preoperative localization in patients with PHPT in a single-institution from August 2017 to May 2024.

Results: Two hundred forty-two patients with PHPT (166 females; 52.5 years ± 13.4 [SD]) were evaluated. Among the 242 patients, 233 patients (96.3%) had single-gland disease, and 9 patients (3.7%) had multigland disease. Similar diagnostic performance was observed for sestamibi SPECT/CT and 4D-CT ([receiver operating characteristic ROC], 0.90 [95% CI: 0.87, 0.92] and 0.88 [95% CI: 0.85, 0.90], respectively; p = 0.11). Compared with 4D-CT, combined-modality sensitive reading and sestamibi SPECT/CT had the highest ROC, and, although there was no significant difference between the two (ROC, 0.91; 95% CI: 0.89, 0.93; p = 0.14), they significantly differed from 4D-CT (p = 0.0006). Sestamibi SPECT/CT showed an accuracy of 92% (95% CI: 90%, 94%), similar to 4D-CT (91%; 95% CI: 89%, 92%), combined-modality sensitive reading (91%; 95% CI: 89%, 93%) and combined-modality specificity reading (92%; 95% CI: 90%, 94%).

Conclusion: Sestamibi SPECT/CT has high accuracy in preoperative localization in patients with PHPT. Compared with sestamibi SPECT/CT alone, 4D-CT and combined-modality reading did not improve diagnostic performance.

求助全文
通过发布文献求助,成功后即可免费获取论文全文。 去求助
来源期刊
Cancer Imaging
Cancer Imaging ONCOLOGY-RADIOLOGY, NUCLEAR MEDICINE & MEDICAL IMAGING
CiteScore
7.00
自引率
0.00%
发文量
66
审稿时长
>12 weeks
期刊介绍: Cancer Imaging is an open access, peer-reviewed journal publishing original articles, reviews and editorials written by expert international radiologists working in oncology. The journal encompasses CT, MR, PET, ultrasound, radionuclide and multimodal imaging in all kinds of malignant tumours, plus new developments, techniques and innovations. Topics of interest include: Breast Imaging Chest Complications of treatment Ear, Nose & Throat Gastrointestinal Hepatobiliary & Pancreatic Imaging biomarkers Interventional Lymphoma Measurement of tumour response Molecular functional imaging Musculoskeletal Neuro oncology Nuclear Medicine Paediatric.
×
引用
GB/T 7714-2015
复制
MLA
复制
APA
复制
导出至
BibTeX EndNote RefMan NoteFirst NoteExpress
×
提示
您的信息不完整,为了账户安全,请先补充。
现在去补充
×
提示
您因"违规操作"
具体请查看互助需知
我知道了
×
提示
确定
请完成安全验证×
copy
已复制链接
快去分享给好友吧!
我知道了
右上角分享
点击右上角分享
0
联系我们:info@booksci.cn Book学术提供免费学术资源搜索服务,方便国内外学者检索中英文文献。致力于提供最便捷和优质的服务体验。 Copyright © 2023 布克学术 All rights reserved.
京ICP备2023020795号-1
ghs 京公网安备 11010802042870号
Book学术文献互助
Book学术文献互助群
群 号:604180095
Book学术官方微信