神经系统疾病的定量脑容量测定:从疾病机制到软件解决方案。

Polish journal of radiology Pub Date : 2025-06-11 eCollection Date: 2025-01-01 DOI:10.5114/pjr/203781
Jakub Marek, Dominika Bachurska, Tomasz Wolak, Agata Borowiec, Michał Sajdek, Edyta Maj
{"title":"神经系统疾病的定量脑容量测定:从疾病机制到软件解决方案。","authors":"Jakub Marek, Dominika Bachurska, Tomasz Wolak, Agata Borowiec, Michał Sajdek, Edyta Maj","doi":"10.5114/pjr/203781","DOIUrl":null,"url":null,"abstract":"<p><p>Quantitative magnetic resonance imaging (MRI) volumetry has become a pivotal component in modern neurology, bridging the gap between detailed neuroimaging and clinical decision-making. By employing advanced imaging techniques like 3D T1-weighted, T2-weighted, and fluid-attenuated inversion recovery (FLAIR) sequences, MRI volumetry enables clinicians to objectively quantify brain volume changes associated with neurological conditions such as Alzheimer's disease, multiple sclerosis, epilepsy, and myotonic dystrophy. Automated segmentation tools, including FreeSurfer, NeuroQuant, volBrain, and AccuBrain, facilitate precise and reproducible analysis of structural brain changes, contributing significantly to early diagnosis, patient monitoring, and therapeutic planning. In Alzheimer's disease, volumetric MRI enables the detection of early hippocampal and temporal lobe atrophy, providing a crucial biomarker for diagnosis and monitoring disease progression. Similarly, in multiple sclerosis, volumetric analyses quantify grey and white matter degeneration, reflecting motor and cognitive impairment severity. Moreover, quantitative MRI techniques precisely delineate structural abnormalities like hippocampal sclerosis and focal cortical dysplasia in epilepsy, crucial for accurate surgical intervention. Ongoing advances in artificial intelligence and machine learning are set to further enhance these volumetric approaches, addressing current limitations such as inter-observer variability and expanding their clinical applicability. This review outlines the existing landscape and future trajectory of quantitative MRI volumetry, underscoring its expanding role in clinical neurology and personalised medicine.</p>","PeriodicalId":94174,"journal":{"name":"Polish journal of radiology","volume":"90 ","pages":"e299-e306"},"PeriodicalIF":0.0000,"publicationDate":"2025-06-11","publicationTypes":"Journal Article","fieldsOfStudy":null,"isOpenAccess":false,"openAccessPdf":"https://www.ncbi.nlm.nih.gov/pmc/articles/PMC12243520/pdf/","citationCount":"0","resultStr":"{\"title\":\"Quantitative brain volumetry in neurological disorders: from disease mechanisms to software solutions.\",\"authors\":\"Jakub Marek, Dominika Bachurska, Tomasz Wolak, Agata Borowiec, Michał Sajdek, Edyta Maj\",\"doi\":\"10.5114/pjr/203781\",\"DOIUrl\":null,\"url\":null,\"abstract\":\"<p><p>Quantitative magnetic resonance imaging (MRI) volumetry has become a pivotal component in modern neurology, bridging the gap between detailed neuroimaging and clinical decision-making. By employing advanced imaging techniques like 3D T1-weighted, T2-weighted, and fluid-attenuated inversion recovery (FLAIR) sequences, MRI volumetry enables clinicians to objectively quantify brain volume changes associated with neurological conditions such as Alzheimer's disease, multiple sclerosis, epilepsy, and myotonic dystrophy. Automated segmentation tools, including FreeSurfer, NeuroQuant, volBrain, and AccuBrain, facilitate precise and reproducible analysis of structural brain changes, contributing significantly to early diagnosis, patient monitoring, and therapeutic planning. In Alzheimer's disease, volumetric MRI enables the detection of early hippocampal and temporal lobe atrophy, providing a crucial biomarker for diagnosis and monitoring disease progression. Similarly, in multiple sclerosis, volumetric analyses quantify grey and white matter degeneration, reflecting motor and cognitive impairment severity. Moreover, quantitative MRI techniques precisely delineate structural abnormalities like hippocampal sclerosis and focal cortical dysplasia in epilepsy, crucial for accurate surgical intervention. Ongoing advances in artificial intelligence and machine learning are set to further enhance these volumetric approaches, addressing current limitations such as inter-observer variability and expanding their clinical applicability. This review outlines the existing landscape and future trajectory of quantitative MRI volumetry, underscoring its expanding role in clinical neurology and personalised medicine.</p>\",\"PeriodicalId\":94174,\"journal\":{\"name\":\"Polish journal of radiology\",\"volume\":\"90 \",\"pages\":\"e299-e306\"},\"PeriodicalIF\":0.0000,\"publicationDate\":\"2025-06-11\",\"publicationTypes\":\"Journal Article\",\"fieldsOfStudy\":null,\"isOpenAccess\":false,\"openAccessPdf\":\"https://www.ncbi.nlm.nih.gov/pmc/articles/PMC12243520/pdf/\",\"citationCount\":\"0\",\"resultStr\":null,\"platform\":\"Semanticscholar\",\"paperid\":null,\"PeriodicalName\":\"Polish journal of radiology\",\"FirstCategoryId\":\"1085\",\"ListUrlMain\":\"https://doi.org/10.5114/pjr/203781\",\"RegionNum\":0,\"RegionCategory\":null,\"ArticlePicture\":[],\"TitleCN\":null,\"AbstractTextCN\":null,\"PMCID\":null,\"EPubDate\":\"2025/1/1 0:00:00\",\"PubModel\":\"eCollection\",\"JCR\":\"\",\"JCRName\":\"\",\"Score\":null,\"Total\":0}","platform":"Semanticscholar","paperid":null,"PeriodicalName":"Polish journal of radiology","FirstCategoryId":"1085","ListUrlMain":"https://doi.org/10.5114/pjr/203781","RegionNum":0,"RegionCategory":null,"ArticlePicture":[],"TitleCN":null,"AbstractTextCN":null,"PMCID":null,"EPubDate":"2025/1/1 0:00:00","PubModel":"eCollection","JCR":"","JCRName":"","Score":null,"Total":0}
引用次数: 0

摘要

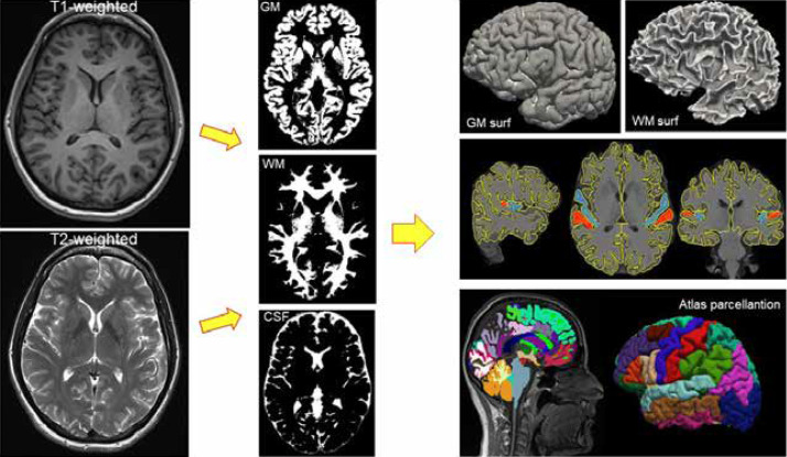
定量磁共振成像(MRI)容量法已成为现代神经病学的关键组成部分,弥合了详细神经成像和临床决策之间的差距。通过采用先进的成像技术,如3D t1加权、t2加权和液体衰减反转恢复(FLAIR)序列,MRI容量测定使临床医生能够客观地量化与阿尔茨海默病、多发性硬化症、癫痫和肌强直性营养不良等神经系统疾病相关的脑容量变化。自动分割工具,包括FreeSurfer、NeuroQuant、volBrain和AccuBrain,促进了对大脑结构变化的精确和可重复的分析,对早期诊断、患者监测和治疗计划做出了重大贡献。在阿尔茨海默病中,体积MRI可以检测早期海马和颞叶萎缩,为诊断和监测疾病进展提供重要的生物标志物。同样,在多发性硬化症中,体积分析量化了灰质和白质退化,反映了运动和认知障碍的严重程度。此外,定量MRI技术精确地描绘了癫痫的结构异常,如海马硬化和局灶性皮质发育不良,这对准确的手术干预至关重要。人工智能和机器学习的持续进步将进一步增强这些体积方法,解决当前的局限性,如观察者之间的可变性,并扩大其临床适用性。这篇综述概述了定量MRI体积测量的现状和未来发展轨迹,强调了其在临床神经病学和个性化医学中的扩展作用。
本文章由计算机程序翻译,如有差异,请以英文原文为准。

Quantitative brain volumetry in neurological disorders: from disease mechanisms to software solutions.

Quantitative brain volumetry in neurological disorders: from disease mechanisms to software solutions.

Quantitative magnetic resonance imaging (MRI) volumetry has become a pivotal component in modern neurology, bridging the gap between detailed neuroimaging and clinical decision-making. By employing advanced imaging techniques like 3D T1-weighted, T2-weighted, and fluid-attenuated inversion recovery (FLAIR) sequences, MRI volumetry enables clinicians to objectively quantify brain volume changes associated with neurological conditions such as Alzheimer's disease, multiple sclerosis, epilepsy, and myotonic dystrophy. Automated segmentation tools, including FreeSurfer, NeuroQuant, volBrain, and AccuBrain, facilitate precise and reproducible analysis of structural brain changes, contributing significantly to early diagnosis, patient monitoring, and therapeutic planning. In Alzheimer's disease, volumetric MRI enables the detection of early hippocampal and temporal lobe atrophy, providing a crucial biomarker for diagnosis and monitoring disease progression. Similarly, in multiple sclerosis, volumetric analyses quantify grey and white matter degeneration, reflecting motor and cognitive impairment severity. Moreover, quantitative MRI techniques precisely delineate structural abnormalities like hippocampal sclerosis and focal cortical dysplasia in epilepsy, crucial for accurate surgical intervention. Ongoing advances in artificial intelligence and machine learning are set to further enhance these volumetric approaches, addressing current limitations such as inter-observer variability and expanding their clinical applicability. This review outlines the existing landscape and future trajectory of quantitative MRI volumetry, underscoring its expanding role in clinical neurology and personalised medicine.

求助全文
通过发布文献求助,成功后即可免费获取论文全文。 去求助
来源期刊
CiteScore
2.10
自引率
0.00%
发文量
0
×
引用
GB/T 7714-2015
复制
MLA
复制
APA
复制
导出至
BibTeX EndNote RefMan NoteFirst NoteExpress
×
提示
您的信息不完整,为了账户安全,请先补充。
现在去补充
×
提示
您因"违规操作"
具体请查看互助需知
我知道了
×
提示
确定
请完成安全验证×
copy
已复制链接
快去分享给好友吧!
我知道了
右上角分享
点击右上角分享
0
联系我们:info@booksci.cn Book学术提供免费学术资源搜索服务,方便国内外学者检索中英文文献。致力于提供最便捷和优质的服务体验。 Copyright © 2023 布克学术 All rights reserved.
京ICP备2023020795号-1
ghs 京公网安备 11010802042870号
Book学术文献互助
Book学术文献互助群
群 号:604180095
Book学术官方微信