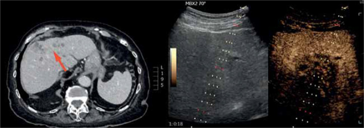
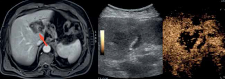
超声造影在肝活检中的应用。

Polish journal of radiology Pub Date : 2025-06-06 eCollection Date: 2025-01-01 DOI:10.5114/pjr/203333
Andrzej Fedak, Agnieszka Czapska, Jan Jamroś, Monika Stępień, Tadeusz Popiela
{"title":"超声造影在肝活检中的应用。","authors":"Andrzej Fedak, Agnieszka Czapska, Jan Jamroś, Monika Stępień, Tadeusz Popiela","doi":"10.5114/pjr/203333","DOIUrl":null,"url":null,"abstract":"<p><p>The aim of this study is to determine the usefulness of contrast-enhanced ultrasound (CEUS) in liver biopsy. The popularisation of imaging techniques that visualise the abdominal cavity, especially ultrasonography (USG), has resulted in an increase in the detection of focal liver lesions (FLL). If the results of other imaging modalities (magnetic resonance imaging [MRI] or computed tomography [CT]) are inconclusive, percutaneous liver biopsy should be considered. Taking into account the limitations of using MRI and CT in liver biopsy, this procedure is mostly performed with ultrasound. It is economical, safe, and swift. Whenever it is impossible to visualise lesions in B-mode (a condition necessary for a safe and effective biopsy), it is advisable to use advanced ultrasound techniques - CEUS or fusion imaging. Limitations of fusion imaging include prolonged time of data processing and difficulties in achieving optimal overlap of images. Conversely, CEUS enhances lesion visualisation but is devoid of the mentioned limitations - it is rapid and requires no additional processing. Furthermore, considering the potential of CEUS in the visualisation of focal liver lesions and differentiation of necrotic areas, accompanied by the ability to detect neuroendocrine tumours or its metastasis, we strongly believe that biopsy procedures - especially core needle biopsies - with CEUS assistance are potent tools in contemporary diagnostics. In this paper we want to share the experience of our centre and review the available literature on performing liver biopsies under CEUS guidance.</p>","PeriodicalId":94174,"journal":{"name":"Polish journal of radiology","volume":"90 ","pages":"e292-e298"},"PeriodicalIF":0.0000,"publicationDate":"2025-06-06","publicationTypes":"Journal Article","fieldsOfStudy":null,"isOpenAccess":false,"openAccessPdf":"https://www.ncbi.nlm.nih.gov/pmc/articles/PMC12243522/pdf/","citationCount":"0","resultStr":"{\"title\":\"Application of contrast-enhanced ultrasound in liver biopsy.\",\"authors\":\"Andrzej Fedak, Agnieszka Czapska, Jan Jamroś, Monika Stępień, Tadeusz Popiela\",\"doi\":\"10.5114/pjr/203333\",\"DOIUrl\":null,\"url\":null,\"abstract\":\"<p><p>The aim of this study is to determine the usefulness of contrast-enhanced ultrasound (CEUS) in liver biopsy. The popularisation of imaging techniques that visualise the abdominal cavity, especially ultrasonography (USG), has resulted in an increase in the detection of focal liver lesions (FLL). If the results of other imaging modalities (magnetic resonance imaging [MRI] or computed tomography [CT]) are inconclusive, percutaneous liver biopsy should be considered. Taking into account the limitations of using MRI and CT in liver biopsy, this procedure is mostly performed with ultrasound. It is economical, safe, and swift. Whenever it is impossible to visualise lesions in B-mode (a condition necessary for a safe and effective biopsy), it is advisable to use advanced ultrasound techniques - CEUS or fusion imaging. Limitations of fusion imaging include prolonged time of data processing and difficulties in achieving optimal overlap of images. Conversely, CEUS enhances lesion visualisation but is devoid of the mentioned limitations - it is rapid and requires no additional processing. Furthermore, considering the potential of CEUS in the visualisation of focal liver lesions and differentiation of necrotic areas, accompanied by the ability to detect neuroendocrine tumours or its metastasis, we strongly believe that biopsy procedures - especially core needle biopsies - with CEUS assistance are potent tools in contemporary diagnostics. In this paper we want to share the experience of our centre and review the available literature on performing liver biopsies under CEUS guidance.</p>\",\"PeriodicalId\":94174,\"journal\":{\"name\":\"Polish journal of radiology\",\"volume\":\"90 \",\"pages\":\"e292-e298\"},\"PeriodicalIF\":0.0000,\"publicationDate\":\"2025-06-06\",\"publicationTypes\":\"Journal Article\",\"fieldsOfStudy\":null,\"isOpenAccess\":false,\"openAccessPdf\":\"https://www.ncbi.nlm.nih.gov/pmc/articles/PMC12243522/pdf/\",\"citationCount\":\"0\",\"resultStr\":null,\"platform\":\"Semanticscholar\",\"paperid\":null,\"PeriodicalName\":\"Polish journal of radiology\",\"FirstCategoryId\":\"1085\",\"ListUrlMain\":\"https://doi.org/10.5114/pjr/203333\",\"RegionNum\":0,\"RegionCategory\":null,\"ArticlePicture\":[],\"TitleCN\":null,\"AbstractTextCN\":null,\"PMCID\":null,\"EPubDate\":\"2025/1/1 0:00:00\",\"PubModel\":\"eCollection\",\"JCR\":\"\",\"JCRName\":\"\",\"Score\":null,\"Total\":0}","platform":"Semanticscholar","paperid":null,"PeriodicalName":"Polish journal of radiology","FirstCategoryId":"1085","ListUrlMain":"https://doi.org/10.5114/pjr/203333","RegionNum":0,"RegionCategory":null,"ArticlePicture":[],"TitleCN":null,"AbstractTextCN":null,"PMCID":null,"EPubDate":"2025/1/1 0:00:00","PubModel":"eCollection","JCR":"","JCRName":"","Score":null,"Total":0}
引用次数: 0

摘要

本研究的目的是确定对比增强超声(CEUS)在肝活检中的有用性。腹腔显像技术的普及,尤其是超声(USG),导致局灶性肝病变(FLL)的检出率增加。如果其他成像方式(磁共振成像[MRI]或计算机断层扫描[CT])的结果不确定,则应考虑经皮肝活检。考虑到在肝活检中使用MRI和CT的局限性,该程序主要是通过超声进行的。它经济、安全、快捷。无论何时,如果无法在b层显示病变(这是安全有效的活检所必需的条件),建议使用先进的超声技术-超声造影或融合成像。融合成像的局限性包括数据处理时间长,难以实现图像的最佳重叠。相反,超声造影增强病变的可视化,但没有上述限制-它是快速的,不需要额外的处理。此外,考虑到超声造影在肝局灶性病变的可视化和坏死区域的分化方面的潜力,以及检测神经内分泌肿瘤或其转移的能力,我们坚信超声造影辅助下的活检程序-特别是核心针活检-是当代诊断的有力工具。在本文中,我们想分享我们中心的经验,并回顾在超声造影指导下进行肝活检的现有文献。
本文章由计算机程序翻译,如有差异,请以英文原文为准。

Application of contrast-enhanced ultrasound in liver biopsy.

Application of contrast-enhanced ultrasound in liver biopsy.

Application of contrast-enhanced ultrasound in liver biopsy.

Application of contrast-enhanced ultrasound in liver biopsy.

The aim of this study is to determine the usefulness of contrast-enhanced ultrasound (CEUS) in liver biopsy. The popularisation of imaging techniques that visualise the abdominal cavity, especially ultrasonography (USG), has resulted in an increase in the detection of focal liver lesions (FLL). If the results of other imaging modalities (magnetic resonance imaging [MRI] or computed tomography [CT]) are inconclusive, percutaneous liver biopsy should be considered. Taking into account the limitations of using MRI and CT in liver biopsy, this procedure is mostly performed with ultrasound. It is economical, safe, and swift. Whenever it is impossible to visualise lesions in B-mode (a condition necessary for a safe and effective biopsy), it is advisable to use advanced ultrasound techniques - CEUS or fusion imaging. Limitations of fusion imaging include prolonged time of data processing and difficulties in achieving optimal overlap of images. Conversely, CEUS enhances lesion visualisation but is devoid of the mentioned limitations - it is rapid and requires no additional processing. Furthermore, considering the potential of CEUS in the visualisation of focal liver lesions and differentiation of necrotic areas, accompanied by the ability to detect neuroendocrine tumours or its metastasis, we strongly believe that biopsy procedures - especially core needle biopsies - with CEUS assistance are potent tools in contemporary diagnostics. In this paper we want to share the experience of our centre and review the available literature on performing liver biopsies under CEUS guidance.

求助全文
通过发布文献求助,成功后即可免费获取论文全文。 去求助
来源期刊
CiteScore
2.10
自引率
0.00%
发文量
0
×
引用
GB/T 7714-2015
复制
MLA
复制
APA
复制
导出至
BibTeX EndNote RefMan NoteFirst NoteExpress
×
提示
您的信息不完整,为了账户安全,请先补充。
现在去补充
×
提示
您因"违规操作"
具体请查看互助需知
我知道了
×
提示
确定
请完成安全验证×
copy
已复制链接
快去分享给好友吧!
我知道了
右上角分享
点击右上角分享
0
联系我们:info@booksci.cn Book学术提供免费学术资源搜索服务,方便国内外学者检索中英文文献。致力于提供最便捷和优质的服务体验。 Copyright © 2023 布克学术 All rights reserved.
京ICP备2023020795号-1
ghs 京公网安备 11010802042870号
Book学术文献互助
Book学术文献互助群
群 号:604180095
Book学术官方微信