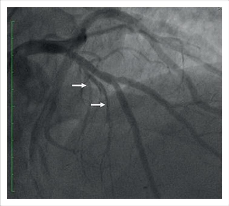
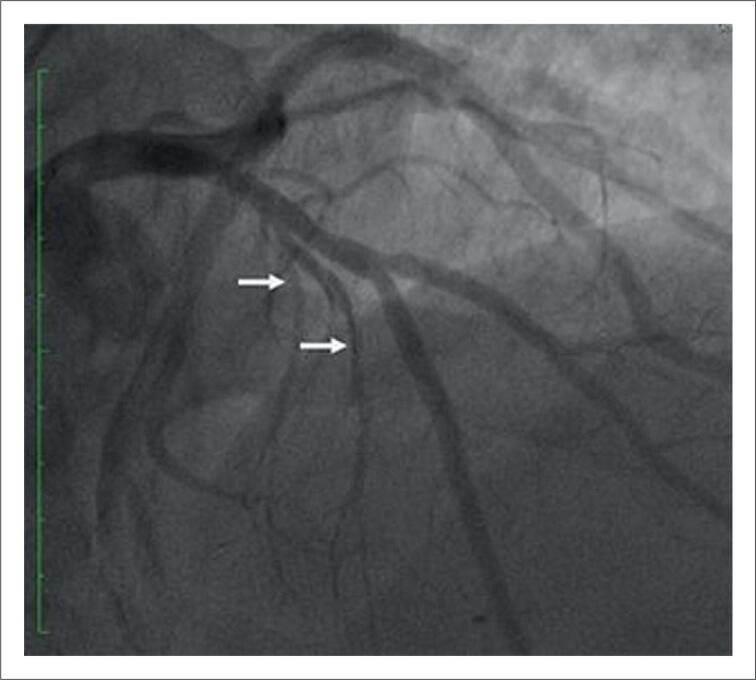
Onyx®治疗肥厚性心肌病中隔动脉栓塞2例报告

IF 1.9
Arquivos brasileiros de cardiologia Pub Date : 2025-07-07 eCollection Date: 2025-01-01 DOI:10.36660/abc.20240656
Anna Luiza Souza, Patrícia Ferreira Demuner, Giulliano Gardenghi, Débora Rodrigues, Fernando Henrique Fernandes, Sidney Munhoz Júnior, Maurício Lopes Prudente
{"title":"Onyx®治疗肥厚性心肌病中隔动脉栓塞2例报告","authors":"Anna Luiza Souza, Patrícia Ferreira Demuner, Giulliano Gardenghi, Débora Rodrigues, Fernando Henrique Fernandes, Sidney Munhoz Júnior, Maurício Lopes Prudente","doi":"10.36660/abc.20240656","DOIUrl":null,"url":null,"abstract":"","PeriodicalId":93887,"journal":{"name":"Arquivos brasileiros de cardiologia","volume":"122 5","pages":"e20240656"},"PeriodicalIF":1.9000,"publicationDate":"2025-07-07","publicationTypes":"Journal Article","fieldsOfStudy":null,"isOpenAccess":false,"openAccessPdf":"https://www.ncbi.nlm.nih.gov/pmc/articles/PMC12212384/pdf/","citationCount":"0","resultStr":"{\"title\":\"Septal Artery Embolization with Onyx® In Hypertrophic Cardiomyopathy: Report of Two Cases.\",\"authors\":\"Anna Luiza Souza, Patrícia Ferreira Demuner, Giulliano Gardenghi, Débora Rodrigues, Fernando Henrique Fernandes, Sidney Munhoz Júnior, Maurício Lopes Prudente\",\"doi\":\"10.36660/abc.20240656\",\"DOIUrl\":null,\"url\":null,\"abstract\":\"\",\"PeriodicalId\":93887,\"journal\":{\"name\":\"Arquivos brasileiros de cardiologia\",\"volume\":\"122 5\",\"pages\":\"e20240656\"},\"PeriodicalIF\":1.9000,\"publicationDate\":\"2025-07-07\",\"publicationTypes\":\"Journal Article\",\"fieldsOfStudy\":null,\"isOpenAccess\":false,\"openAccessPdf\":\"https://www.ncbi.nlm.nih.gov/pmc/articles/PMC12212384/pdf/\",\"citationCount\":\"0\",\"resultStr\":null,\"platform\":\"Semanticscholar\",\"paperid\":null,\"PeriodicalName\":\"Arquivos brasileiros de cardiologia\",\"FirstCategoryId\":\"1085\",\"ListUrlMain\":\"https://doi.org/10.36660/abc.20240656\",\"RegionNum\":0,\"RegionCategory\":null,\"ArticlePicture\":[],\"TitleCN\":null,\"AbstractTextCN\":null,\"PMCID\":null,\"EPubDate\":\"2025/1/1 0:00:00\",\"PubModel\":\"eCollection\",\"JCR\":\"\",\"JCRName\":\"\",\"Score\":null,\"Total\":0}","platform":"Semanticscholar","paperid":null,"PeriodicalName":"Arquivos brasileiros de cardiologia","FirstCategoryId":"1085","ListUrlMain":"https://doi.org/10.36660/abc.20240656","RegionNum":0,"RegionCategory":null,"ArticlePicture":[],"TitleCN":null,"AbstractTextCN":null,"PMCID":null,"EPubDate":"2025/1/1 0:00:00","PubModel":"eCollection","JCR":"","JCRName":"","Score":null,"Total":0}
引用次数: 0

摘要

本文章由计算机程序翻译,如有差异,请以英文原文为准。

Septal Artery Embolization with Onyx® In Hypertrophic Cardiomyopathy: Report of Two Cases.

Septal Artery Embolization with Onyx® In Hypertrophic Cardiomyopathy: Report of Two Cases.

Septal Artery Embolization with Onyx® In Hypertrophic Cardiomyopathy: Report of Two Cases.

Septal Artery Embolization with Onyx® In Hypertrophic Cardiomyopathy: Report of Two Cases.
求助全文
通过发布文献求助,成功后即可免费获取论文全文。 去求助
来源期刊
自引率
0.00%
发文量
0
×
引用
GB/T 7714-2015
复制
MLA
复制
APA
复制
导出至
BibTeX EndNote RefMan NoteFirst NoteExpress
×
提示
您的信息不完整,为了账户安全,请先补充。
现在去补充
×
提示
您因"违规操作"
具体请查看互助需知
我知道了
×
提示
确定
请完成安全验证×
copy
已复制链接
快去分享给好友吧!
我知道了
右上角分享
点击右上角分享
0
联系我们:info@booksci.cn Book学术提供免费学术资源搜索服务,方便国内外学者检索中英文文献。致力于提供最便捷和优质的服务体验。 Copyright © 2023 布克学术 All rights reserved.
京ICP备2023020795号-1
ghs 京公网安备 11010802042870号
Book学术文献互助
Book学术文献互助群
群 号:604180095
Book学术官方微信