HLA-A29鸟射性视网膜脉络膜炎的特异性视网膜血管炎,与其他血管炎的区别:一项初步研究。

IF 1.2 Q4 OPHTHALMOLOGY
Saudi Journal of Ophthalmology Pub Date : 2025-02-25 eCollection Date: 2025-04-01 DOI:10.4103/sjopt.sjopt_230_24
Carl P Herbort, Ioannis Papasavvas
{"title":"HLA-A29鸟射性视网膜脉络膜炎的特异性视网膜血管炎,与其他血管炎的区别:一项初步研究。","authors":"Carl P Herbort, Ioannis Papasavvas","doi":"10.4103/sjopt.sjopt_230_24","DOIUrl":null,"url":null,"abstract":"<p><strong>Purpose: </strong>Human leukocyte antigen-A29 (HLA-A29) birdshot retinochoroiditis (BRC) is a noninfectious uveitis affecting independently the retina and the choroid. While the choroidal involvement is characterized by a stromal choroiditis, the retinal features of BRC were less well defined until a recent study determined a specific pattern of retinal involvement with seven features including profuse posterior retinal leakage, thick fluorescein angiography sheathing/staining, profuse disc hyperfluorescence, macular edema with foveal sparing, and circulatory arteriovenous pseudo delay. The aim of this study was to determine whether the specific pattern of retinal involvement was diagnostic for BRC distinguishing it from other causes of retinal vasculitis.</p><p><strong>Methods: </strong>A retrospective comparative study comparing patients diagnosed with BRC to patients with other causes of retinal vasculitis. A score based on seven retinal features was calculated. The maximum possible score was 16. If the score reached ≥ 9, the vasculitis was considered to be compatible with BRC.</p><p><strong>Results: </strong>Eighteen BRC and 18 non-BRC vasculitis were included in the study. The mean age of BRC patients was 49.5 ± 9.1 years, 11/18 females and 7/18 males (female 61%/male 39%). HLA-A29 antigen was present in all patients (100%). The mean age of patients in the control group with non-BRC vasculitis was 37 ± 17, 11/18 females and 7/18 males (female 61%/male 39%). The control group included nine cases of sarcoidosis chorioretinitis, six cases of intermediate uveitis of the pars planitis type, two cases of Behçet uveitis, and one case of tuberculosis chorioretinitis. The mean scores for the BRC group were 10.5 ± 1.7, while in the control group, it was 3.9 ± 2.8 (<i>P</i> < 0.0001, <i>t</i>-test). Using Fisher's exact test, the probability of the scores ≥ 9 to correspond to BRC was significantly different and higher than the scores of the group of non-BRC vasculitis (<i>P</i> < 0.0001). The positive predictive value was high amounting to 88.9%.</p><p><strong>Conclusion: </strong>Retinal vasculitis related to BRC has specific findings leading, if present, to the diagnosis of BRC that should be ascertained by the search of indocyanine green angiography lesions with the ultimate confirmation by the presence of the HLA-A29 antigen.</p>","PeriodicalId":46810,"journal":{"name":"Saudi Journal of Ophthalmology","volume":"39 2","pages":"192-197"},"PeriodicalIF":1.2000,"publicationDate":"2025-02-25","publicationTypes":"Journal Article","fieldsOfStudy":null,"isOpenAccess":false,"openAccessPdf":"https://www.ncbi.nlm.nih.gov/pmc/articles/PMC12240279/pdf/","citationCount":"0","resultStr":"{\"title\":\"Specific retinal vasculitis in HLA-A29 birdshot retinochoroiditis, distinguishing it from other causes of vasculitis: A pilot study.\",\"authors\":\"Carl P Herbort, Ioannis Papasavvas\",\"doi\":\"10.4103/sjopt.sjopt_230_24\",\"DOIUrl\":null,\"url\":null,\"abstract\":\"<p><strong>Purpose: </strong>Human leukocyte antigen-A29 (HLA-A29) birdshot retinochoroiditis (BRC) is a noninfectious uveitis affecting independently the retina and the choroid. While the choroidal involvement is characterized by a stromal choroiditis, the retinal features of BRC were less well defined until a recent study determined a specific pattern of retinal involvement with seven features including profuse posterior retinal leakage, thick fluorescein angiography sheathing/staining, profuse disc hyperfluorescence, macular edema with foveal sparing, and circulatory arteriovenous pseudo delay. The aim of this study was to determine whether the specific pattern of retinal involvement was diagnostic for BRC distinguishing it from other causes of retinal vasculitis.</p><p><strong>Methods: </strong>A retrospective comparative study comparing patients diagnosed with BRC to patients with other causes of retinal vasculitis. A score based on seven retinal features was calculated. The maximum possible score was 16. If the score reached ≥ 9, the vasculitis was considered to be compatible with BRC.</p><p><strong>Results: </strong>Eighteen BRC and 18 non-BRC vasculitis were included in the study. The mean age of BRC patients was 49.5 ± 9.1 years, 11/18 females and 7/18 males (female 61%/male 39%). HLA-A29 antigen was present in all patients (100%). The mean age of patients in the control group with non-BRC vasculitis was 37 ± 17, 11/18 females and 7/18 males (female 61%/male 39%). The control group included nine cases of sarcoidosis chorioretinitis, six cases of intermediate uveitis of the pars planitis type, two cases of Behçet uveitis, and one case of tuberculosis chorioretinitis. The mean scores for the BRC group were 10.5 ± 1.7, while in the control group, it was 3.9 ± 2.8 (<i>P</i> < 0.0001, <i>t</i>-test). Using Fisher's exact test, the probability of the scores ≥ 9 to correspond to BRC was significantly different and higher than the scores of the group of non-BRC vasculitis (<i>P</i> < 0.0001). The positive predictive value was high amounting to 88.9%.</p><p><strong>Conclusion: </strong>Retinal vasculitis related to BRC has specific findings leading, if present, to the diagnosis of BRC that should be ascertained by the search of indocyanine green angiography lesions with the ultimate confirmation by the presence of the HLA-A29 antigen.</p>\",\"PeriodicalId\":46810,\"journal\":{\"name\":\"Saudi Journal of Ophthalmology\",\"volume\":\"39 2\",\"pages\":\"192-197\"},\"PeriodicalIF\":1.2000,\"publicationDate\":\"2025-02-25\",\"publicationTypes\":\"Journal Article\",\"fieldsOfStudy\":null,\"isOpenAccess\":false,\"openAccessPdf\":\"https://www.ncbi.nlm.nih.gov/pmc/articles/PMC12240279/pdf/\",\"citationCount\":\"0\",\"resultStr\":null,\"platform\":\"Semanticscholar\",\"paperid\":null,\"PeriodicalName\":\"Saudi Journal of Ophthalmology\",\"FirstCategoryId\":\"1085\",\"ListUrlMain\":\"https://doi.org/10.4103/sjopt.sjopt_230_24\",\"RegionNum\":0,\"RegionCategory\":null,\"ArticlePicture\":[],\"TitleCN\":null,\"AbstractTextCN\":null,\"PMCID\":null,\"EPubDate\":\"2025/4/1 0:00:00\",\"PubModel\":\"eCollection\",\"JCR\":\"Q4\",\"JCRName\":\"OPHTHALMOLOGY\",\"Score\":null,\"Total\":0}","platform":"Semanticscholar","paperid":null,"PeriodicalName":"Saudi Journal of Ophthalmology","FirstCategoryId":"1085","ListUrlMain":"https://doi.org/10.4103/sjopt.sjopt_230_24","RegionNum":0,"RegionCategory":null,"ArticlePicture":[],"TitleCN":null,"AbstractTextCN":null,"PMCID":null,"EPubDate":"2025/4/1 0:00:00","PubModel":"eCollection","JCR":"Q4","JCRName":"OPHTHALMOLOGY","Score":null,"Total":0}
引用次数: 0

摘要

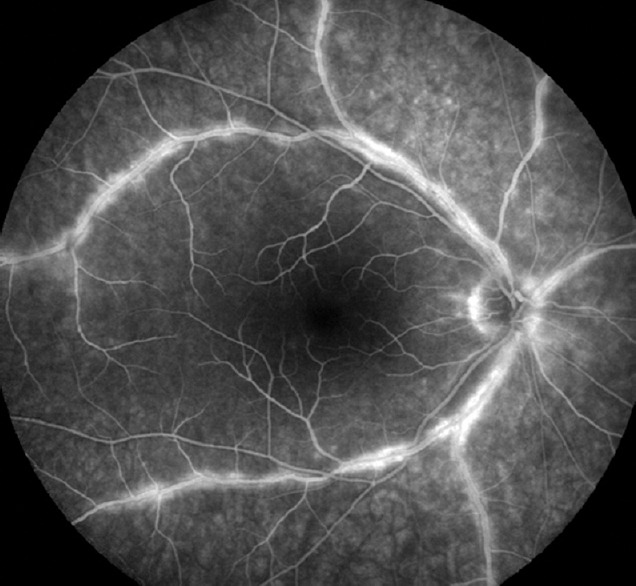
目的:人白细胞抗原a29 (HLA-A29)鸟射性视网膜脉络膜炎(BRC)是一种独立影响视网膜和脉络膜的非感染性葡萄膜炎。虽然脉络膜受累的特征是间质脉络膜炎,但BRC的视网膜特征不太明确,直到最近的一项研究确定了视网膜受累的具体模式,包括大量后视网膜渗漏、荧光素血管造影厚膜/染色、大量椎间盘高荧光、黄斑水肿伴中央凹保留和循环动静脉假性延迟。本研究的目的是确定视网膜受累的特定模式是否可以诊断BRC与其他原因的视网膜血管炎。方法:回顾性比较研究,比较诊断为BRC的患者与其他原因的视网膜血管炎患者。根据7个视网膜特征计算得分。可能的最高分数是16分。如果评分达到≥9分,则认为血管炎符合BRC。结果:18例BRC血管炎和18例非BRC血管炎纳入研究。BRC患者的平均年龄为49.5±9.1岁,女性11/18,男性7/18(女性61%/男性39%)。所有患者(100%)均存在HLA-A29抗原。对照组非brc血管炎患者的平均年龄为37±17岁,女性11/18,男性7/18(女性61%/男性39%)。对照组为结节病性脉络膜视网膜炎9例,中跖部型葡萄膜炎6例,behet型葡萄膜炎2例,结核性脉络膜视网膜炎1例。BRC组平均评分为10.5±1.7分,对照组平均评分为3.9±2.8分(P < 0.0001, t检验)。采用Fisher精确检验,评分≥9分对应BRC的概率显著高于非BRC血管炎组(P < 0.0001)。阳性预测值较高,达88.9%。结论:与BRC相关的视网膜血管炎具有特异性的表现,如果存在,则可诊断为BRC,应通过寻找吲哚菁绿血管造影病变来确定,最终通过HLA-A29抗原的存在来确认。
本文章由计算机程序翻译,如有差异,请以英文原文为准。

Specific retinal vasculitis in HLA-A29 birdshot retinochoroiditis, distinguishing it from other causes of vasculitis: A pilot study.

Specific retinal vasculitis in HLA-A29 birdshot retinochoroiditis, distinguishing it from other causes of vasculitis: A pilot study.

Specific retinal vasculitis in HLA-A29 birdshot retinochoroiditis, distinguishing it from other causes of vasculitis: A pilot study.

Specific retinal vasculitis in HLA-A29 birdshot retinochoroiditis, distinguishing it from other causes of vasculitis: A pilot study.

Purpose: Human leukocyte antigen-A29 (HLA-A29) birdshot retinochoroiditis (BRC) is a noninfectious uveitis affecting independently the retina and the choroid. While the choroidal involvement is characterized by a stromal choroiditis, the retinal features of BRC were less well defined until a recent study determined a specific pattern of retinal involvement with seven features including profuse posterior retinal leakage, thick fluorescein angiography sheathing/staining, profuse disc hyperfluorescence, macular edema with foveal sparing, and circulatory arteriovenous pseudo delay. The aim of this study was to determine whether the specific pattern of retinal involvement was diagnostic for BRC distinguishing it from other causes of retinal vasculitis.

Methods: A retrospective comparative study comparing patients diagnosed with BRC to patients with other causes of retinal vasculitis. A score based on seven retinal features was calculated. The maximum possible score was 16. If the score reached ≥ 9, the vasculitis was considered to be compatible with BRC.

Results: Eighteen BRC and 18 non-BRC vasculitis were included in the study. The mean age of BRC patients was 49.5 ± 9.1 years, 11/18 females and 7/18 males (female 61%/male 39%). HLA-A29 antigen was present in all patients (100%). The mean age of patients in the control group with non-BRC vasculitis was 37 ± 17, 11/18 females and 7/18 males (female 61%/male 39%). The control group included nine cases of sarcoidosis chorioretinitis, six cases of intermediate uveitis of the pars planitis type, two cases of Behçet uveitis, and one case of tuberculosis chorioretinitis. The mean scores for the BRC group were 10.5 ± 1.7, while in the control group, it was 3.9 ± 2.8 (P < 0.0001, t-test). Using Fisher's exact test, the probability of the scores ≥ 9 to correspond to BRC was significantly different and higher than the scores of the group of non-BRC vasculitis (P < 0.0001). The positive predictive value was high amounting to 88.9%.

Conclusion: Retinal vasculitis related to BRC has specific findings leading, if present, to the diagnosis of BRC that should be ascertained by the search of indocyanine green angiography lesions with the ultimate confirmation by the presence of the HLA-A29 antigen.

求助全文
通过发布文献求助,成功后即可免费获取论文全文。 去求助
来源期刊
CiteScore
0.90
自引率
0.00%
发文量
79
审稿时长
13 weeks
期刊介绍: Saudi Journal of Ophthalmology is an English language, peer-reviewed scholarly publication in the area of ophthalmology. Saudi Journal of Ophthalmology publishes original papers, clinical studies, reviews and case reports. Saudi Journal of Ophthalmology is the official publication of the Saudi Ophthalmological Society and is published by King Saud University in collaboration with Elsevier and is edited by an international group of eminent researchers.
×
引用
GB/T 7714-2015
复制
MLA
复制
APA
复制
导出至
BibTeX EndNote RefMan NoteFirst NoteExpress
×
提示
您的信息不完整,为了账户安全,请先补充。
现在去补充
×
提示
您因"违规操作"
具体请查看互助需知
我知道了
×
提示
确定
请完成安全验证×
copy
已复制链接
快去分享给好友吧!
我知道了
右上角分享
点击右上角分享
0
联系我们:info@booksci.cn Book学术提供免费学术资源搜索服务,方便国内外学者检索中英文文献。致力于提供最便捷和优质的服务体验。 Copyright © 2023 布克学术 All rights reserved.
京ICP备2023020795号-1
ghs 京公网安备 11010802042870号
Book学术文献互助
Book学术文献互助群
群 号:604180095
Book学术官方微信