自行给药治疗眼周皮肤利什曼病:1例报告及系统回顾。

IF 1.2 Q4 OPHTHALMOLOGY
Saudi Journal of Ophthalmology Pub Date : 2023-12-22 eCollection Date: 2025-04-01 DOI:10.4103/sjopt.sjopt_243_23
Rawan N AlThaqib, Faisal A Altahan, Hamad M Alsulaiman, Diego Strianese, Azza Maktabi
{"title":"自行给药治疗眼周皮肤利什曼病:1例报告及系统回顾。","authors":"Rawan N AlThaqib, Faisal A Altahan, Hamad M Alsulaiman, Diego Strianese, Azza Maktabi","doi":"10.4103/sjopt.sjopt_243_23","DOIUrl":null,"url":null,"abstract":"<p><p>Cutaneous leishmaniasis (CL) is the most common form of leishmaniasis worldwide, with an estimated annual incidence of 600.000-1 million. Periocular involvement is relatively rare and can be misdiagnosed in cases of atypical presentation. This systematic review comprehensively documents the anatomical distribution, associated ocular involvement, treatment, and outcomes of periocular CL. Databases from MEDLINE and Google Scholar were utilized, and 37 articles have been included over the span of 57 years (1965-2022), with a total of 5945 patients. Three hundred and two patients had periocular CL. Lower eyelid involvement was the most common area affected (39%), and the lateral canthus was rarely involved (6.4%). Conjunctivitis was the most common documented secondary ocular involvement (47.8%). Other serious complications were also noted (periocular ulceration, ankyloblepharon, and preseptal cellulitis). While rare, leishmaniasis is an endemic disease in some areas of the world. Leishmaniasis can be a diagnostic challenge due to the ability to clinically mimic many medical conditions, which can lead to delayed diagnosis and treatment. Physicians need to be watchful for the possibility of CL, especially if the patient presents with any unusual chronic lesions from endemic areas. In addition, we present the first reported case in the English literature of a medial canthal CL masquerading as basal cell carcinoma in an 82-year-old female and the sequela of using herbal treatment.</p>","PeriodicalId":46810,"journal":{"name":"Saudi Journal of Ophthalmology","volume":"39 2","pages":"174-180"},"PeriodicalIF":1.2000,"publicationDate":"2023-12-22","publicationTypes":"Journal Article","fieldsOfStudy":null,"isOpenAccess":false,"openAccessPdf":"https://www.ncbi.nlm.nih.gov/pmc/articles/PMC12240283/pdf/","citationCount":"0","resultStr":"{\"title\":\"Self-administration of herbal treatment for periocular cutaneous leishmaniasis: A case report and systematic review.\",\"authors\":\"Rawan N AlThaqib, Faisal A Altahan, Hamad M Alsulaiman, Diego Strianese, Azza Maktabi\",\"doi\":\"10.4103/sjopt.sjopt_243_23\",\"DOIUrl\":null,\"url\":null,\"abstract\":\"<p><p>Cutaneous leishmaniasis (CL) is the most common form of leishmaniasis worldwide, with an estimated annual incidence of 600.000-1 million. Periocular involvement is relatively rare and can be misdiagnosed in cases of atypical presentation. This systematic review comprehensively documents the anatomical distribution, associated ocular involvement, treatment, and outcomes of periocular CL. Databases from MEDLINE and Google Scholar were utilized, and 37 articles have been included over the span of 57 years (1965-2022), with a total of 5945 patients. Three hundred and two patients had periocular CL. Lower eyelid involvement was the most common area affected (39%), and the lateral canthus was rarely involved (6.4%). Conjunctivitis was the most common documented secondary ocular involvement (47.8%). Other serious complications were also noted (periocular ulceration, ankyloblepharon, and preseptal cellulitis). While rare, leishmaniasis is an endemic disease in some areas of the world. Leishmaniasis can be a diagnostic challenge due to the ability to clinically mimic many medical conditions, which can lead to delayed diagnosis and treatment. Physicians need to be watchful for the possibility of CL, especially if the patient presents with any unusual chronic lesions from endemic areas. In addition, we present the first reported case in the English literature of a medial canthal CL masquerading as basal cell carcinoma in an 82-year-old female and the sequela of using herbal treatment.</p>\",\"PeriodicalId\":46810,\"journal\":{\"name\":\"Saudi Journal of Ophthalmology\",\"volume\":\"39 2\",\"pages\":\"174-180\"},\"PeriodicalIF\":1.2000,\"publicationDate\":\"2023-12-22\",\"publicationTypes\":\"Journal Article\",\"fieldsOfStudy\":null,\"isOpenAccess\":false,\"openAccessPdf\":\"https://www.ncbi.nlm.nih.gov/pmc/articles/PMC12240283/pdf/\",\"citationCount\":\"0\",\"resultStr\":null,\"platform\":\"Semanticscholar\",\"paperid\":null,\"PeriodicalName\":\"Saudi Journal of Ophthalmology\",\"FirstCategoryId\":\"1085\",\"ListUrlMain\":\"https://doi.org/10.4103/sjopt.sjopt_243_23\",\"RegionNum\":0,\"RegionCategory\":null,\"ArticlePicture\":[],\"TitleCN\":null,\"AbstractTextCN\":null,\"PMCID\":null,\"EPubDate\":\"2025/4/1 0:00:00\",\"PubModel\":\"eCollection\",\"JCR\":\"Q4\",\"JCRName\":\"OPHTHALMOLOGY\",\"Score\":null,\"Total\":0}","platform":"Semanticscholar","paperid":null,"PeriodicalName":"Saudi Journal of Ophthalmology","FirstCategoryId":"1085","ListUrlMain":"https://doi.org/10.4103/sjopt.sjopt_243_23","RegionNum":0,"RegionCategory":null,"ArticlePicture":[],"TitleCN":null,"AbstractTextCN":null,"PMCID":null,"EPubDate":"2025/4/1 0:00:00","PubModel":"eCollection","JCR":"Q4","JCRName":"OPHTHALMOLOGY","Score":null,"Total":0}
引用次数: 0

摘要

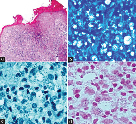
皮肤利什曼病(CL)是全世界最常见的利什曼病,估计年发病率为60万至100万。眼周受累是相对罕见的,可误诊的情况下,不典型的表现。本系统综述全面记录了眼周CL的解剖分布、相关的眼部受累、治疗和结果。利用MEDLINE和谷歌Scholar的数据库,在57年(1965-2022)的时间里纳入了37篇文章,共有5945名患者。312例患者有眼周CL。下眼睑受累是最常见的受累区域(39%),外眦很少受累(6.4%)。结膜炎是最常见的继发性眼部受累(47.8%)。其他严重的并发症也被发现(眼周溃疡、强直性睑球炎和隔膜前蜂窝织炎)。利什曼病虽然罕见,但在世界一些地区是一种地方病。利什曼病可能是一项诊断挑战,因为它能够在临床上模拟许多医疗条件,这可能导致诊断和治疗延迟。医生需要警惕CL的可能性,特别是如果患者表现出来自流行地区的任何不寻常的慢性病变。此外,我们在英文文献中报告了一例82岁女性内侧眦CL伪装成基底细胞癌,并使用草药治疗的后遗症。
本文章由计算机程序翻译,如有差异,请以英文原文为准。

Self-administration of herbal treatment for periocular cutaneous leishmaniasis: A case report and systematic review.

Self-administration of herbal treatment for periocular cutaneous leishmaniasis: A case report and systematic review.

Self-administration of herbal treatment for periocular cutaneous leishmaniasis: A case report and systematic review.

Self-administration of herbal treatment for periocular cutaneous leishmaniasis: A case report and systematic review.

Cutaneous leishmaniasis (CL) is the most common form of leishmaniasis worldwide, with an estimated annual incidence of 600.000-1 million. Periocular involvement is relatively rare and can be misdiagnosed in cases of atypical presentation. This systematic review comprehensively documents the anatomical distribution, associated ocular involvement, treatment, and outcomes of periocular CL. Databases from MEDLINE and Google Scholar were utilized, and 37 articles have been included over the span of 57 years (1965-2022), with a total of 5945 patients. Three hundred and two patients had periocular CL. Lower eyelid involvement was the most common area affected (39%), and the lateral canthus was rarely involved (6.4%). Conjunctivitis was the most common documented secondary ocular involvement (47.8%). Other serious complications were also noted (periocular ulceration, ankyloblepharon, and preseptal cellulitis). While rare, leishmaniasis is an endemic disease in some areas of the world. Leishmaniasis can be a diagnostic challenge due to the ability to clinically mimic many medical conditions, which can lead to delayed diagnosis and treatment. Physicians need to be watchful for the possibility of CL, especially if the patient presents with any unusual chronic lesions from endemic areas. In addition, we present the first reported case in the English literature of a medial canthal CL masquerading as basal cell carcinoma in an 82-year-old female and the sequela of using herbal treatment.

求助全文
通过发布文献求助,成功后即可免费获取论文全文。 去求助
来源期刊
CiteScore
0.90
自引率
0.00%
发文量
79
审稿时长
13 weeks
期刊介绍: Saudi Journal of Ophthalmology is an English language, peer-reviewed scholarly publication in the area of ophthalmology. Saudi Journal of Ophthalmology publishes original papers, clinical studies, reviews and case reports. Saudi Journal of Ophthalmology is the official publication of the Saudi Ophthalmological Society and is published by King Saud University in collaboration with Elsevier and is edited by an international group of eminent researchers.
×
引用
GB/T 7714-2015
复制
MLA
复制
APA
复制
导出至
BibTeX EndNote RefMan NoteFirst NoteExpress
×
提示
您的信息不完整,为了账户安全,请先补充。
现在去补充
×
提示
您因"违规操作"
具体请查看互助需知
我知道了
×
提示
确定
请完成安全验证×
copy
已复制链接
快去分享给好友吧!
我知道了
右上角分享
点击右上角分享
0
联系我们:info@booksci.cn Book学术提供免费学术资源搜索服务,方便国内外学者检索中英文文献。致力于提供最便捷和优质的服务体验。 Copyright © 2023 布克学术 All rights reserved.
京ICP备2023020795号-1
ghs 京公网安备 11010802042870号
Book学术文献互助
Book学术文献互助群
群 号:604180095
Book学术官方微信