罕见情况下的乳糜胸:肺结核和套细胞淋巴瘤。

IF 0.8 Q4 RESPIRATORY SYSTEM
Respirology Case Reports Pub Date : 2025-07-10 eCollection Date: 2025-07-01 DOI:10.1002/rcr2.70243
Guru Prasad T J, Athish Kannan Karur, Spurthy Padmanabha, K R Harshitha, Suggula Vamsi Krishna, Rashmi Priya Murthy, Samuel Olaniyan, Adewale Oyeneye, Anwadevi Arun, Franklin John
{"title":"罕见情况下的乳糜胸:肺结核和套细胞淋巴瘤。","authors":"Guru Prasad T J, Athish Kannan Karur, Spurthy Padmanabha, K R Harshitha, Suggula Vamsi Krishna, Rashmi Priya Murthy, Samuel Olaniyan, Adewale Oyeneye, Anwadevi Arun, Franklin John","doi":"10.1002/rcr2.70243","DOIUrl":null,"url":null,"abstract":"<p><p>Chylothorax, characterised by the accumulation of chyle in the pleural space, is a rare yet clinically significant condition. This lymphatic fluid, rich in fats absorbed from the intestine, can be caused by various factors including trauma, malignancy, and tuberculosis (TB). Traumatic causes, particularly iatrogenic procedures, account for a significant proportion of cases, followed by rare etiologies like malignancies such as lymphoma, and less commonly, tuberculosis. In the first two cases, the patient was diagnosed with tuberculosis during evaluation for chylothorax; however, in the third case, the patient developed chylothorax as a complication of mantle cell lymphoma (MCL). Two male patients, aged 43 and 45, presented with respiratory symptoms and milky pleural effusions (triglycerides > 180 mg/dL). In both, bronchoalveolar lavage confirmed rifampicin-sensitive TB. Both patients responded to anti-tubercular therapy and dietary modification. A 69-year-old male with a history of non-Hodgkin's lymphoma developed chylothorax (triglycerides 286 mg/dL) and lymphadenopathy; imaging and biopsy confirmed MCL. He responded to chemotherapy. This series underscores the importance of considering uncommon causes of chylothorax during evaluation and tailoring treatment based on specific etiologies.</p>","PeriodicalId":45846,"journal":{"name":"Respirology Case Reports","volume":"13 7","pages":"e70243"},"PeriodicalIF":0.8000,"publicationDate":"2025-07-10","publicationTypes":"Journal Article","fieldsOfStudy":null,"isOpenAccess":false,"openAccessPdf":"https://www.ncbi.nlm.nih.gov/pmc/articles/PMC12241696/pdf/","citationCount":"0","resultStr":"{\"title\":\"Chylothorax in Uncommon Contexts: Pulmonary Tuberculosis and Mantle Cell Lymphoma.\",\"authors\":\"Guru Prasad T J, Athish Kannan Karur, Spurthy Padmanabha, K R Harshitha, Suggula Vamsi Krishna, Rashmi Priya Murthy, Samuel Olaniyan, Adewale Oyeneye, Anwadevi Arun, Franklin John\",\"doi\":\"10.1002/rcr2.70243\",\"DOIUrl\":null,\"url\":null,\"abstract\":\"<p><p>Chylothorax, characterised by the accumulation of chyle in the pleural space, is a rare yet clinically significant condition. This lymphatic fluid, rich in fats absorbed from the intestine, can be caused by various factors including trauma, malignancy, and tuberculosis (TB). Traumatic causes, particularly iatrogenic procedures, account for a significant proportion of cases, followed by rare etiologies like malignancies such as lymphoma, and less commonly, tuberculosis. In the first two cases, the patient was diagnosed with tuberculosis during evaluation for chylothorax; however, in the third case, the patient developed chylothorax as a complication of mantle cell lymphoma (MCL). Two male patients, aged 43 and 45, presented with respiratory symptoms and milky pleural effusions (triglycerides > 180 mg/dL). In both, bronchoalveolar lavage confirmed rifampicin-sensitive TB. Both patients responded to anti-tubercular therapy and dietary modification. A 69-year-old male with a history of non-Hodgkin's lymphoma developed chylothorax (triglycerides 286 mg/dL) and lymphadenopathy; imaging and biopsy confirmed MCL. He responded to chemotherapy. This series underscores the importance of considering uncommon causes of chylothorax during evaluation and tailoring treatment based on specific etiologies.</p>\",\"PeriodicalId\":45846,\"journal\":{\"name\":\"Respirology Case Reports\",\"volume\":\"13 7\",\"pages\":\"e70243\"},\"PeriodicalIF\":0.8000,\"publicationDate\":\"2025-07-10\",\"publicationTypes\":\"Journal Article\",\"fieldsOfStudy\":null,\"isOpenAccess\":false,\"openAccessPdf\":\"https://www.ncbi.nlm.nih.gov/pmc/articles/PMC12241696/pdf/\",\"citationCount\":\"0\",\"resultStr\":null,\"platform\":\"Semanticscholar\",\"paperid\":null,\"PeriodicalName\":\"Respirology Case Reports\",\"FirstCategoryId\":\"1085\",\"ListUrlMain\":\"https://doi.org/10.1002/rcr2.70243\",\"RegionNum\":0,\"RegionCategory\":null,\"ArticlePicture\":[],\"TitleCN\":null,\"AbstractTextCN\":null,\"PMCID\":null,\"EPubDate\":\"2025/7/1 0:00:00\",\"PubModel\":\"eCollection\",\"JCR\":\"Q4\",\"JCRName\":\"RESPIRATORY SYSTEM\",\"Score\":null,\"Total\":0}","platform":"Semanticscholar","paperid":null,"PeriodicalName":"Respirology Case Reports","FirstCategoryId":"1085","ListUrlMain":"https://doi.org/10.1002/rcr2.70243","RegionNum":0,"RegionCategory":null,"ArticlePicture":[],"TitleCN":null,"AbstractTextCN":null,"PMCID":null,"EPubDate":"2025/7/1 0:00:00","PubModel":"eCollection","JCR":"Q4","JCRName":"RESPIRATORY SYSTEM","Score":null,"Total":0}
引用次数: 0

摘要

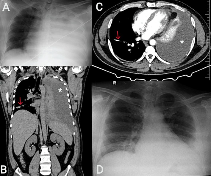
乳糜胸的特点是乳糜积聚在胸膜间隙,是一种罕见但临床意义重大的疾病。这种淋巴液富含从肠道吸收的脂肪,可由各种因素引起,包括创伤、恶性肿瘤和肺结核(TB)。创伤原因,特别是医源性手术,占病例的很大比例,其次是罕见的病因,如恶性肿瘤,如淋巴瘤,以及不太常见的结核病。在前两例中,患者在乳糜胸检查时被诊断为结核病;然而,在第三例中,患者发展为乳糜胸作为套细胞淋巴瘤(MCL)的并发症。2例男性患者,年龄分别为43岁和45岁,表现为呼吸道症状和乳白色胸腔积液(甘油三酯> 180 mg/dL)。在这两例患者中,支气管肺泡灌洗证实为利福平敏感性结核。两例患者均对抗结核治疗和饮食调整有反应。69岁男性,有非霍奇金淋巴瘤病史,乳糜胸(甘油三酯286 mg/dL)和淋巴结病变;影像学和活检证实MCL。他对化疗有反应。这一系列强调了在评估和根据特定病因定制治疗时考虑乳糜胸不常见原因的重要性。
本文章由计算机程序翻译,如有差异,请以英文原文为准。

Chylothorax in Uncommon Contexts: Pulmonary Tuberculosis and Mantle Cell Lymphoma.

Chylothorax in Uncommon Contexts: Pulmonary Tuberculosis and Mantle Cell Lymphoma.

Chylothorax in Uncommon Contexts: Pulmonary Tuberculosis and Mantle Cell Lymphoma.

Chylothorax in Uncommon Contexts: Pulmonary Tuberculosis and Mantle Cell Lymphoma.

Chylothorax, characterised by the accumulation of chyle in the pleural space, is a rare yet clinically significant condition. This lymphatic fluid, rich in fats absorbed from the intestine, can be caused by various factors including trauma, malignancy, and tuberculosis (TB). Traumatic causes, particularly iatrogenic procedures, account for a significant proportion of cases, followed by rare etiologies like malignancies such as lymphoma, and less commonly, tuberculosis. In the first two cases, the patient was diagnosed with tuberculosis during evaluation for chylothorax; however, in the third case, the patient developed chylothorax as a complication of mantle cell lymphoma (MCL). Two male patients, aged 43 and 45, presented with respiratory symptoms and milky pleural effusions (triglycerides > 180 mg/dL). In both, bronchoalveolar lavage confirmed rifampicin-sensitive TB. Both patients responded to anti-tubercular therapy and dietary modification. A 69-year-old male with a history of non-Hodgkin's lymphoma developed chylothorax (triglycerides 286 mg/dL) and lymphadenopathy; imaging and biopsy confirmed MCL. He responded to chemotherapy. This series underscores the importance of considering uncommon causes of chylothorax during evaluation and tailoring treatment based on specific etiologies.

求助全文
通过发布文献求助,成功后即可免费获取论文全文。 去求助
来源期刊
Respirology Case Reports
Respirology Case Reports RESPIRATORY SYSTEM-
CiteScore
1.40
自引率
0.00%
发文量
178
审稿时长
8 weeks
期刊介绍: Respirology Case Reports is an open-access online journal dedicated to the publication of original clinical case reports, case series, clinical images and clinical videos in all fields of respiratory medicine. The Journal encourages the international exchange between clinicians and researchers of experiences in diagnosing and treating uncommon diseases or diseases with unusual presentations. All manuscripts are peer-reviewed through a streamlined process that aims at providing a rapid turnaround time from submission to publication.
×
引用
GB/T 7714-2015
复制
MLA
复制
APA
复制
导出至
BibTeX EndNote RefMan NoteFirst NoteExpress
×
提示
您的信息不完整,为了账户安全,请先补充。
现在去补充
×
提示
您因"违规操作"
具体请查看互助需知
我知道了
×
提示
确定
请完成安全验证×
copy
已复制链接
快去分享给好友吧!
我知道了
右上角分享
点击右上角分享
0
联系我们:info@booksci.cn Book学术提供免费学术资源搜索服务,方便国内外学者检索中英文文献。致力于提供最便捷和优质的服务体验。 Copyright © 2023 布克学术 All rights reserved.
京ICP备2023020795号-1
ghs 京公网安备 11010802042870号
Book学术文献互助
Book学术文献互助群
群 号:604180095
Book学术官方微信