兔腹腔内脓肿12例(2017-2023)的发病机制、手术治疗及术后疗效分析。

IF 1.7 3区 农林科学 Q2 VETERINARY SCIENCES
Iori Koizumi, Hirotaka Kondo
{"title":"兔腹腔内脓肿12例(2017-2023)的发病机制、手术治疗及术后疗效分析。","authors":"Iori Koizumi, Hirotaka Kondo","doi":"10.1002/vms3.70506","DOIUrl":null,"url":null,"abstract":"<p><strong>Background: </strong>The precise pathogenesis of intraabdominal abscess in pet rabbits remains unclear and descriptions of clinical findings are scant.</p><p><strong>Objectives: </strong>The objective of this retrospective study was to describe the clinical findings, possible pathogeneses and surgical treatments with long-term outcomes of rabbits presenting with intraabdominal abscess.</p><p><strong>Methods: </strong>Medical records of rabbits that underwent surgical excision and were diagnosed with intraabdominal abscess between 2017 and 2023 in a first-opinion hospital were retrospectively evaluated.</p><p><strong>Results: </strong>Medical records were available for a total of 2128 rabbits, with 13 confirmed cases of intraabdominal abscess. Twelve cases considered eligible for this study were reviewed. Median age of the rabbits at onset was 18 months. Rabbits comprised 7 males (1 castrated) and 5 females (3 spayed), with 9 Lop-eared, 2 Netherland Dwarf and 1 Mini Rex. Common clinical signs were anorexia, decreased activity and abnormality of fecal production. Abdominal ultrasound and radiography revealed intraabdominal lesions in 12 and 7 cases, respectively. Exploratory laparotomy revealed intraabdominal abscess in all cases. Abscesses arose from the vermiform appendix in 6 cases and were associated with previous gastrointestinal perforation in 3 cases. The abscess was excised or incised with irrigation of the intraabscess cavity and administration of antibiotics. Nine cases showed an uneventful outcome (median survival time, 1044 days), including five cases showing growth of residual intraabdominal abscess.</p><p><strong>Conclusions: </strong>Intraabdominal abscess in rabbits is commonly associated from the vermiform appendix and previous gastrointestinal perforation. Surgical intervention for intraabdominal abscess along with antibiotic therapy appears effective.</p>","PeriodicalId":23543,"journal":{"name":"Veterinary Medicine and Science","volume":"11 4","pages":"e70506"},"PeriodicalIF":1.7000,"publicationDate":"2025-07-01","publicationTypes":"Journal Article","fieldsOfStudy":null,"isOpenAccess":false,"openAccessPdf":"https://www.ncbi.nlm.nih.gov/pmc/articles/PMC12244258/pdf/","citationCount":"0","resultStr":"{\"title\":\"Pathogenesis, Surgical Treatment and Postoperative Outcome of Rabbits (Oryctolagus cuniculus) With Intraabdominal Abscess: 12 Cases (2017-2023).\",\"authors\":\"Iori Koizumi, Hirotaka Kondo\",\"doi\":\"10.1002/vms3.70506\",\"DOIUrl\":null,\"url\":null,\"abstract\":\"<p><strong>Background: </strong>The precise pathogenesis of intraabdominal abscess in pet rabbits remains unclear and descriptions of clinical findings are scant.</p><p><strong>Objectives: </strong>The objective of this retrospective study was to describe the clinical findings, possible pathogeneses and surgical treatments with long-term outcomes of rabbits presenting with intraabdominal abscess.</p><p><strong>Methods: </strong>Medical records of rabbits that underwent surgical excision and were diagnosed with intraabdominal abscess between 2017 and 2023 in a first-opinion hospital were retrospectively evaluated.</p><p><strong>Results: </strong>Medical records were available for a total of 2128 rabbits, with 13 confirmed cases of intraabdominal abscess. Twelve cases considered eligible for this study were reviewed. Median age of the rabbits at onset was 18 months. Rabbits comprised 7 males (1 castrated) and 5 females (3 spayed), with 9 Lop-eared, 2 Netherland Dwarf and 1 Mini Rex. Common clinical signs were anorexia, decreased activity and abnormality of fecal production. Abdominal ultrasound and radiography revealed intraabdominal lesions in 12 and 7 cases, respectively. Exploratory laparotomy revealed intraabdominal abscess in all cases. Abscesses arose from the vermiform appendix in 6 cases and were associated with previous gastrointestinal perforation in 3 cases. The abscess was excised or incised with irrigation of the intraabscess cavity and administration of antibiotics. Nine cases showed an uneventful outcome (median survival time, 1044 days), including five cases showing growth of residual intraabdominal abscess.</p><p><strong>Conclusions: </strong>Intraabdominal abscess in rabbits is commonly associated from the vermiform appendix and previous gastrointestinal perforation. Surgical intervention for intraabdominal abscess along with antibiotic therapy appears effective.</p>\",\"PeriodicalId\":23543,\"journal\":{\"name\":\"Veterinary Medicine and Science\",\"volume\":\"11 4\",\"pages\":\"e70506\"},\"PeriodicalIF\":1.7000,\"publicationDate\":\"2025-07-01\",\"publicationTypes\":\"Journal Article\",\"fieldsOfStudy\":null,\"isOpenAccess\":false,\"openAccessPdf\":\"https://www.ncbi.nlm.nih.gov/pmc/articles/PMC12244258/pdf/\",\"citationCount\":\"0\",\"resultStr\":null,\"platform\":\"Semanticscholar\",\"paperid\":null,\"PeriodicalName\":\"Veterinary Medicine and Science\",\"FirstCategoryId\":\"97\",\"ListUrlMain\":\"https://doi.org/10.1002/vms3.70506\",\"RegionNum\":3,\"RegionCategory\":\"农林科学\",\"ArticlePicture\":[],\"TitleCN\":null,\"AbstractTextCN\":null,\"PMCID\":null,\"EPubDate\":\"\",\"PubModel\":\"\",\"JCR\":\"Q2\",\"JCRName\":\"VETERINARY SCIENCES\",\"Score\":null,\"Total\":0}","platform":"Semanticscholar","paperid":null,"PeriodicalName":"Veterinary Medicine and Science","FirstCategoryId":"97","ListUrlMain":"https://doi.org/10.1002/vms3.70506","RegionNum":3,"RegionCategory":"农林科学","ArticlePicture":[],"TitleCN":null,"AbstractTextCN":null,"PMCID":null,"EPubDate":"","PubModel":"","JCR":"Q2","JCRName":"VETERINARY SCIENCES","Score":null,"Total":0}
引用次数: 0

摘要

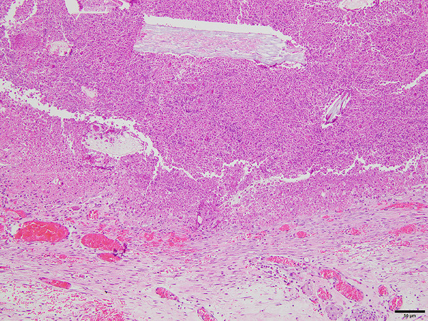
背景:家兔腹内脓肿的确切发病机制尚不清楚,临床表现描述不足。目的:本回顾性研究的目的是描述兔腹腔内脓肿的临床表现,可能的病因和手术治疗的长期结果。方法:回顾性分析2017年至2023年在第一意见医院接受手术切除并诊断为腹内脓肿的家兔病历。结果:共获得病历2128只家兔,确诊腹内脓肿13例。我们回顾了12例符合本研究条件的病例。发病兔的中位年龄为18个月。公兔7只(1只阉割),母兔5只(3只阉割),其中长耳兔9只,荷兰矮兔2只,迷你雷克斯兔1只。常见的临床症状为厌食、活动下降、排便异常。腹部超声和x线片分别显示腹腔内病变12例和7例。剖腹探查均发现腹腔内脓肿。6例脓肿源于蚓状阑尾,3例伴有既往胃肠道穿孔。切除或切开脓肿,冲洗脓肿腔并给予抗生素。9例患者预后良好(中位生存时间为1044天),其中5例显示腹内残余脓肿生长。结论:家兔腹内脓肿通常与蚓状阑尾和既往胃肠道穿孔有关。手术干预腹内脓肿与抗生素治疗是有效的。
本文章由计算机程序翻译,如有差异,请以英文原文为准。

Pathogenesis, Surgical Treatment and Postoperative Outcome of Rabbits (Oryctolagus cuniculus) With Intraabdominal Abscess: 12 Cases (2017-2023).

Pathogenesis, Surgical Treatment and Postoperative Outcome of Rabbits (Oryctolagus cuniculus) With Intraabdominal Abscess: 12 Cases (2017-2023).

Pathogenesis, Surgical Treatment and Postoperative Outcome of Rabbits (Oryctolagus cuniculus) With Intraabdominal Abscess: 12 Cases (2017-2023).

Pathogenesis, Surgical Treatment and Postoperative Outcome of Rabbits (Oryctolagus cuniculus) With Intraabdominal Abscess: 12 Cases (2017-2023).

Background: The precise pathogenesis of intraabdominal abscess in pet rabbits remains unclear and descriptions of clinical findings are scant.

Objectives: The objective of this retrospective study was to describe the clinical findings, possible pathogeneses and surgical treatments with long-term outcomes of rabbits presenting with intraabdominal abscess.

Methods: Medical records of rabbits that underwent surgical excision and were diagnosed with intraabdominal abscess between 2017 and 2023 in a first-opinion hospital were retrospectively evaluated.

Results: Medical records were available for a total of 2128 rabbits, with 13 confirmed cases of intraabdominal abscess. Twelve cases considered eligible for this study were reviewed. Median age of the rabbits at onset was 18 months. Rabbits comprised 7 males (1 castrated) and 5 females (3 spayed), with 9 Lop-eared, 2 Netherland Dwarf and 1 Mini Rex. Common clinical signs were anorexia, decreased activity and abnormality of fecal production. Abdominal ultrasound and radiography revealed intraabdominal lesions in 12 and 7 cases, respectively. Exploratory laparotomy revealed intraabdominal abscess in all cases. Abscesses arose from the vermiform appendix in 6 cases and were associated with previous gastrointestinal perforation in 3 cases. The abscess was excised or incised with irrigation of the intraabscess cavity and administration of antibiotics. Nine cases showed an uneventful outcome (median survival time, 1044 days), including five cases showing growth of residual intraabdominal abscess.

Conclusions: Intraabdominal abscess in rabbits is commonly associated from the vermiform appendix and previous gastrointestinal perforation. Surgical intervention for intraabdominal abscess along with antibiotic therapy appears effective.

求助全文
通过发布文献求助,成功后即可免费获取论文全文。 去求助
来源期刊
Veterinary Medicine and Science
Veterinary Medicine and Science Veterinary-General Veterinary
CiteScore
3.00
自引率
0.00%
发文量
296
期刊介绍: Veterinary Medicine and Science is the peer-reviewed journal for rapid dissemination of research in all areas of veterinary medicine and science. The journal aims to serve the research community by providing a vehicle for authors wishing to publish interesting and high quality work in both fundamental and clinical veterinary medicine and science. Veterinary Medicine and Science publishes original research articles, systematic reviews, meta-analyses, and research methods papers, along with invited editorials and commentaries. Original research papers must report well-conducted research with conclusions supported by the data presented in the paper. We aim to be a truly global forum for high-quality research in veterinary medicine and science, and believe that the best research should be published and made widely accessible as quickly as possible. Veterinary Medicine and Science publishes papers submitted directly to the journal and those referred from a select group of prestigious journals published by Wiley-Blackwell. Veterinary Medicine and Science is a Wiley Open Access journal, one of a new series of peer-reviewed titles publishing quality research with speed and efficiency. For further information visit the Wiley Open Access website.
×
引用
GB/T 7714-2015
复制
MLA
复制
APA
复制
导出至
BibTeX EndNote RefMan NoteFirst NoteExpress
×
提示
您的信息不完整,为了账户安全,请先补充。
现在去补充
×
提示
您因"违规操作"
具体请查看互助需知
我知道了
×
提示
确定
请完成安全验证×
copy
已复制链接
快去分享给好友吧!
我知道了
右上角分享
点击右上角分享
0
联系我们:info@booksci.cn Book学术提供免费学术资源搜索服务,方便国内外学者检索中英文文献。致力于提供最便捷和优质的服务体验。 Copyright © 2023 布克学术 All rights reserved.
京ICP备2023020795号-1
ghs 京公网安备 11010802042870号
Book学术文献互助
Book学术文献互助群
群 号:604180095
Book学术官方微信