抗中性粒细胞细胞质抗体相关的中枢和周围神经系统血管炎。

Q3 Medicine
Abel T Oommen, Arunodaya R Gujjar, Suad Al-Jahdhami, Abdullah R Al-Asmi, Ali Sajjad
{"title":"抗中性粒细胞细胞质抗体相关的中枢和周围神经系统血管炎。","authors":"Abel T Oommen, Arunodaya R Gujjar, Suad Al-Jahdhami, Abdullah R Al-Asmi, Ali Sajjad","doi":"10.18295/2075-0528.2820","DOIUrl":null,"url":null,"abstract":"<p><p>The anti-neutrophil cytoplasmic antibody (ANCA)-associated vasculitis (AAV) usually manifests as systemic vasculitis. AAV with central nervous system involvement in the form of mesenrhombencephalitis and peripheral neuropathy is extremely rare. We report a 59-year-old male patient who presented to a tertiary care hospital in Muscat, Oman, in 2024. He had a subacute presentation of altered sensorium, multiple cranial nerve palsy and ataxia with 3 months history of bilateral foot drop. Brain imaging was suggestive of mesenrhombencephalitis with subarachnoid and intraparenchymal haemorrhage. Nerve conduction studies revealed sensorimotor axonal neuropathy. Vasculitis profile showed perinuclear-ANCA positivity and the nerve biopsy was suggestive of vasculitic neuropathy. He was treated with intravenous steroids and maintained on rituximab. His neurological deficits improved with residual bilateral foot drop.</p>","PeriodicalId":22083,"journal":{"name":"Sultan Qaboos University Medical Journal","volume":"25 1","pages":"282-287"},"PeriodicalIF":0.0000,"publicationDate":"2025-05-02","publicationTypes":"Journal Article","fieldsOfStudy":null,"isOpenAccess":false,"openAccessPdf":"https://www.ncbi.nlm.nih.gov/pmc/articles/PMC12240024/pdf/","citationCount":"0","resultStr":"{\"title\":\"Anti-Neutrophil Cytoplasmic Antibody-Associated Central and Peripheral Nervous System Vasculitis.\",\"authors\":\"Abel T Oommen, Arunodaya R Gujjar, Suad Al-Jahdhami, Abdullah R Al-Asmi, Ali Sajjad\",\"doi\":\"10.18295/2075-0528.2820\",\"DOIUrl\":null,\"url\":null,\"abstract\":\"<p><p>The anti-neutrophil cytoplasmic antibody (ANCA)-associated vasculitis (AAV) usually manifests as systemic vasculitis. AAV with central nervous system involvement in the form of mesenrhombencephalitis and peripheral neuropathy is extremely rare. We report a 59-year-old male patient who presented to a tertiary care hospital in Muscat, Oman, in 2024. He had a subacute presentation of altered sensorium, multiple cranial nerve palsy and ataxia with 3 months history of bilateral foot drop. Brain imaging was suggestive of mesenrhombencephalitis with subarachnoid and intraparenchymal haemorrhage. Nerve conduction studies revealed sensorimotor axonal neuropathy. Vasculitis profile showed perinuclear-ANCA positivity and the nerve biopsy was suggestive of vasculitic neuropathy. He was treated with intravenous steroids and maintained on rituximab. His neurological deficits improved with residual bilateral foot drop.</p>\",\"PeriodicalId\":22083,\"journal\":{\"name\":\"Sultan Qaboos University Medical Journal\",\"volume\":\"25 1\",\"pages\":\"282-287\"},\"PeriodicalIF\":0.0000,\"publicationDate\":\"2025-05-02\",\"publicationTypes\":\"Journal Article\",\"fieldsOfStudy\":null,\"isOpenAccess\":false,\"openAccessPdf\":\"https://www.ncbi.nlm.nih.gov/pmc/articles/PMC12240024/pdf/\",\"citationCount\":\"0\",\"resultStr\":null,\"platform\":\"Semanticscholar\",\"paperid\":null,\"PeriodicalName\":\"Sultan Qaboos University Medical Journal\",\"FirstCategoryId\":\"1085\",\"ListUrlMain\":\"https://doi.org/10.18295/2075-0528.2820\",\"RegionNum\":0,\"RegionCategory\":null,\"ArticlePicture\":[],\"TitleCN\":null,\"AbstractTextCN\":null,\"PMCID\":null,\"EPubDate\":\"\",\"PubModel\":\"\",\"JCR\":\"Q3\",\"JCRName\":\"Medicine\",\"Score\":null,\"Total\":0}","platform":"Semanticscholar","paperid":null,"PeriodicalName":"Sultan Qaboos University Medical Journal","FirstCategoryId":"1085","ListUrlMain":"https://doi.org/10.18295/2075-0528.2820","RegionNum":0,"RegionCategory":null,"ArticlePicture":[],"TitleCN":null,"AbstractTextCN":null,"PMCID":null,"EPubDate":"","PubModel":"","JCR":"Q3","JCRName":"Medicine","Score":null,"Total":0}
引用次数: 0

摘要

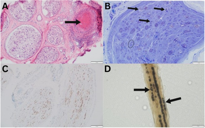
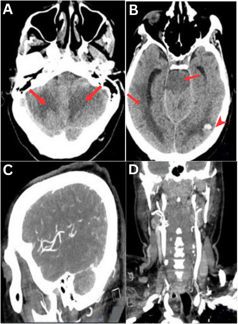
抗中性粒细胞细胞质抗体(ANCA)相关血管炎(AAV)通常表现为全身性血管炎。以间叶脑炎和周围神经病变的形式累及中枢神经系统的AAV是极为罕见的。我们报告了一位59岁男性患者,他于2024年在阿曼马斯喀特的一家三级保健医院就诊。他有亚急性的感觉改变、多发性脑神经麻痹和共济失调,并有3个月的双侧足下垂史。脑成像提示蛛网膜下腔和脑实质内出血的间膜脑炎。神经传导研究显示感觉运动轴索神经病。血管炎表现为核周anca阳性,神经活检提示血管性神经病。静脉注射类固醇并维持利妥昔单抗。他的神经功能减退,双侧足下垂。
本文章由计算机程序翻译,如有差异,请以英文原文为准。

Anti-Neutrophil Cytoplasmic Antibody-Associated Central and Peripheral Nervous System Vasculitis.

Anti-Neutrophil Cytoplasmic Antibody-Associated Central and Peripheral Nervous System Vasculitis.

Anti-Neutrophil Cytoplasmic Antibody-Associated Central and Peripheral Nervous System Vasculitis.

Anti-Neutrophil Cytoplasmic Antibody-Associated Central and Peripheral Nervous System Vasculitis.

The anti-neutrophil cytoplasmic antibody (ANCA)-associated vasculitis (AAV) usually manifests as systemic vasculitis. AAV with central nervous system involvement in the form of mesenrhombencephalitis and peripheral neuropathy is extremely rare. We report a 59-year-old male patient who presented to a tertiary care hospital in Muscat, Oman, in 2024. He had a subacute presentation of altered sensorium, multiple cranial nerve palsy and ataxia with 3 months history of bilateral foot drop. Brain imaging was suggestive of mesenrhombencephalitis with subarachnoid and intraparenchymal haemorrhage. Nerve conduction studies revealed sensorimotor axonal neuropathy. Vasculitis profile showed perinuclear-ANCA positivity and the nerve biopsy was suggestive of vasculitic neuropathy. He was treated with intravenous steroids and maintained on rituximab. His neurological deficits improved with residual bilateral foot drop.

求助全文
通过发布文献求助,成功后即可免费获取论文全文。 去求助
来源期刊
CiteScore
2.00
自引率
0.00%
发文量
86
审稿时长
7 weeks
×
引用
GB/T 7714-2015
复制
MLA
复制
APA
复制
导出至
BibTeX EndNote RefMan NoteFirst NoteExpress
×
提示
您的信息不完整,为了账户安全,请先补充。
现在去补充
×
提示
您因"违规操作"
具体请查看互助需知
我知道了
×
提示
确定
请完成安全验证×
copy
已复制链接
快去分享给好友吧!
我知道了
右上角分享
点击右上角分享
0
联系我们:info@booksci.cn Book学术提供免费学术资源搜索服务,方便国内外学者检索中英文文献。致力于提供最便捷和优质的服务体验。 Copyright © 2023 布克学术 All rights reserved.
京ICP备2023020795号-1
ghs 京公网安备 11010802042870号
Book学术文献互助
Book学术文献互助群
群 号:604180095
Book学术官方微信