1例婴儿胸管插入后膈肌麻痹:病例报告及文献复习。

Q3 Medicine
Mohammed Al Ghafri, Said Al Hanshi, Ahmad E Elkhamisy, Ahmed M Fouad
{"title":"1例婴儿胸管插入后膈肌麻痹:病例报告及文献复习。","authors":"Mohammed Al Ghafri, Said Al Hanshi, Ahmad E Elkhamisy, Ahmed M Fouad","doi":"10.18295/squmj.10.2024.060","DOIUrl":null,"url":null,"abstract":"<p><p>Diaphragmatic paralysis (DP) can occur due to central nervous system pathology or peripheral nerve injury. Direct injury to the phrenic nerve after intercostal chest drain (ICD) insertion for treatment of pneumothorax is an infrequent complication. We present a 4-month-old infant, ex-preterm 27 weeks, who was admitted to a tertiary care hospital paediatric intensive care unit in Muscat, Oman, in 2023 with severe respiratory syncytial virus bronchiolitis and required intubation and mechanical ventilation (MV). His illness was complicated by right-side pneumothorax that required ICD insertion. Post-extubation, he had persistent tachypnoea with the inability to be weaned from non-invasive ventilation. Chest X-ray (CXR) and fluoroscopy showed a high right diaphragm dome with paradoxical movements. He improved dramatically after the plication of the right diaphragm and was discharged home on the 9th day after the plication.</p>","PeriodicalId":22083,"journal":{"name":"Sultan Qaboos University Medical Journal","volume":"25 1","pages":"154-158"},"PeriodicalIF":0.0000,"publicationDate":"2025-05-02","publicationTypes":"Journal Article","fieldsOfStudy":null,"isOpenAccess":false,"openAccessPdf":"https://www.ncbi.nlm.nih.gov/pmc/articles/PMC12244232/pdf/","citationCount":"0","resultStr":"{\"title\":\"Diaphragmatic Paralysis Following Chest Tube Insertion in an Infant: <i>Case report and literature review</i>.\",\"authors\":\"Mohammed Al Ghafri, Said Al Hanshi, Ahmad E Elkhamisy, Ahmed M Fouad\",\"doi\":\"10.18295/squmj.10.2024.060\",\"DOIUrl\":null,\"url\":null,\"abstract\":\"<p><p>Diaphragmatic paralysis (DP) can occur due to central nervous system pathology or peripheral nerve injury. Direct injury to the phrenic nerve after intercostal chest drain (ICD) insertion for treatment of pneumothorax is an infrequent complication. We present a 4-month-old infant, ex-preterm 27 weeks, who was admitted to a tertiary care hospital paediatric intensive care unit in Muscat, Oman, in 2023 with severe respiratory syncytial virus bronchiolitis and required intubation and mechanical ventilation (MV). His illness was complicated by right-side pneumothorax that required ICD insertion. Post-extubation, he had persistent tachypnoea with the inability to be weaned from non-invasive ventilation. Chest X-ray (CXR) and fluoroscopy showed a high right diaphragm dome with paradoxical movements. He improved dramatically after the plication of the right diaphragm and was discharged home on the 9th day after the plication.</p>\",\"PeriodicalId\":22083,\"journal\":{\"name\":\"Sultan Qaboos University Medical Journal\",\"volume\":\"25 1\",\"pages\":\"154-158\"},\"PeriodicalIF\":0.0000,\"publicationDate\":\"2025-05-02\",\"publicationTypes\":\"Journal Article\",\"fieldsOfStudy\":null,\"isOpenAccess\":false,\"openAccessPdf\":\"https://www.ncbi.nlm.nih.gov/pmc/articles/PMC12244232/pdf/\",\"citationCount\":\"0\",\"resultStr\":null,\"platform\":\"Semanticscholar\",\"paperid\":null,\"PeriodicalName\":\"Sultan Qaboos University Medical Journal\",\"FirstCategoryId\":\"1085\",\"ListUrlMain\":\"https://doi.org/10.18295/squmj.10.2024.060\",\"RegionNum\":0,\"RegionCategory\":null,\"ArticlePicture\":[],\"TitleCN\":null,\"AbstractTextCN\":null,\"PMCID\":null,\"EPubDate\":\"\",\"PubModel\":\"\",\"JCR\":\"Q3\",\"JCRName\":\"Medicine\",\"Score\":null,\"Total\":0}","platform":"Semanticscholar","paperid":null,"PeriodicalName":"Sultan Qaboos University Medical Journal","FirstCategoryId":"1085","ListUrlMain":"https://doi.org/10.18295/squmj.10.2024.060","RegionNum":0,"RegionCategory":null,"ArticlePicture":[],"TitleCN":null,"AbstractTextCN":null,"PMCID":null,"EPubDate":"","PubModel":"","JCR":"Q3","JCRName":"Medicine","Score":null,"Total":0}
引用次数: 0

摘要

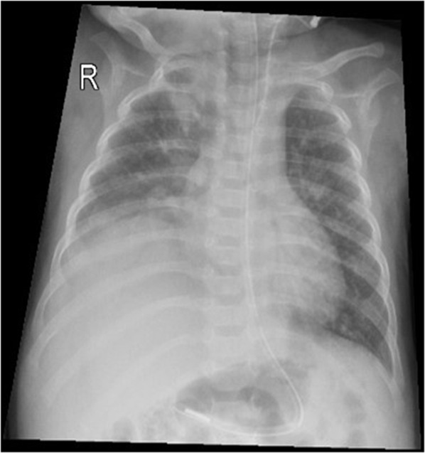
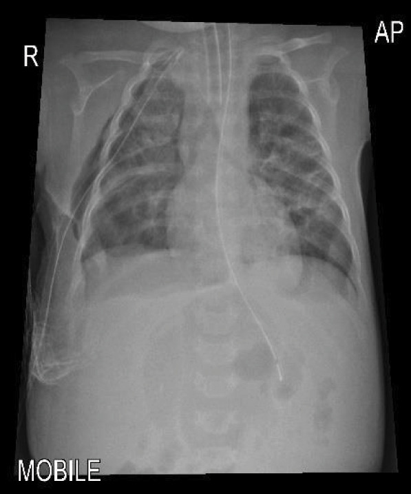
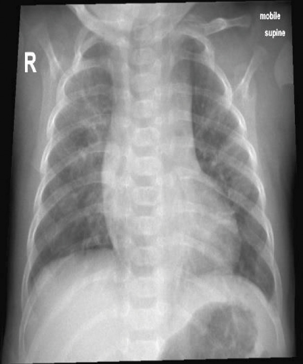
膈肌麻痹(DP)可由中枢神经系统病理或周围神经损伤引起。肋间胸引流术治疗气胸后直接损伤膈神经是一种少见的并发症。我们报告了一名4个月大的婴儿,早产27周,于2023年入住阿曼马斯喀特一家三级医院儿科重症监护室,患有严重呼吸道合胞病毒细支气管炎,需要插管和机械通气(MV)。他的病情因右侧气胸而复杂化,需要植入ICD。拔管后,患者持续呼吸急促,无法脱离无创通气。胸部x线及透视显示右侧膈球高且运动矛盾。他在右膈肌伸展术后明显好转,并于伸展术后第9天出院回家。
本文章由计算机程序翻译,如有差异,请以英文原文为准。

Diaphragmatic Paralysis Following Chest Tube Insertion in an Infant: <i>Case report and literature review</i>.

Diaphragmatic Paralysis Following Chest Tube Insertion in an Infant: <i>Case report and literature review</i>.

Diaphragmatic Paralysis Following Chest Tube Insertion in an Infant: <i>Case report and literature review</i>.

Diaphragmatic Paralysis Following Chest Tube Insertion in an Infant: Case report and literature review.

Diaphragmatic paralysis (DP) can occur due to central nervous system pathology or peripheral nerve injury. Direct injury to the phrenic nerve after intercostal chest drain (ICD) insertion for treatment of pneumothorax is an infrequent complication. We present a 4-month-old infant, ex-preterm 27 weeks, who was admitted to a tertiary care hospital paediatric intensive care unit in Muscat, Oman, in 2023 with severe respiratory syncytial virus bronchiolitis and required intubation and mechanical ventilation (MV). His illness was complicated by right-side pneumothorax that required ICD insertion. Post-extubation, he had persistent tachypnoea with the inability to be weaned from non-invasive ventilation. Chest X-ray (CXR) and fluoroscopy showed a high right diaphragm dome with paradoxical movements. He improved dramatically after the plication of the right diaphragm and was discharged home on the 9th day after the plication.

求助全文
通过发布文献求助,成功后即可免费获取论文全文。 去求助
来源期刊
CiteScore
2.00
自引率
0.00%
发文量
86
审稿时长
7 weeks
×
引用
GB/T 7714-2015
复制
MLA
复制
APA
复制
导出至
BibTeX EndNote RefMan NoteFirst NoteExpress
×
提示
您的信息不完整,为了账户安全,请先补充。
现在去补充
×
提示
您因"违规操作"
具体请查看互助需知
我知道了
×
提示
确定
请完成安全验证×
copy
已复制链接
快去分享给好友吧!
我知道了
右上角分享
点击右上角分享
0
联系我们:info@booksci.cn Book学术提供免费学术资源搜索服务,方便国内外学者检索中英文文献。致力于提供最便捷和优质的服务体验。 Copyright © 2023 布克学术 All rights reserved.
京ICP备2023020795号-1
ghs 京公网安备 11010802042870号
Book学术文献互助
Book学术文献互助群
群 号:604180095
Book学术官方微信